新生NAD+生物合成酶的缺失加速了卵巢衰老

IF 7.1 1区 医学 Q1 CELL BIOLOGY
Aging Cell Pub Date : 2023-06-18 DOI:10.1111/acel.13904
Qingling Yang, Hui Li, Huan Wang, Wenhui Chen, Xinxin Zeng, Xiaoyan Luo, Jianmin Xu, Yingpu Sun
{"title":"新生NAD+生物合成酶的缺失加速了卵巢衰老","authors":"Qingling Yang,&nbsp;Hui Li,&nbsp;Huan Wang,&nbsp;Wenhui Chen,&nbsp;Xinxin Zeng,&nbsp;Xiaoyan Luo,&nbsp;Jianmin Xu,&nbsp;Yingpu Sun","doi":"10.1111/acel.13904","DOIUrl":null,"url":null,"abstract":"<p>Recent advances highlight the pivotal role of nicotinamide adenine dinucleotide (NAD<sup>+</sup>) in ovarian aging. However, the roles of de novo NAD<sup>+</sup> biosynthesis on ovarian aging are still unknown. Here, we found that genetic ablation of <i>Ido1</i> (indoleamine-2,3-dioxygenase 1) or <i>Qprt</i> (Quinolinate phosphoribosyl transferase), two critical genes in de novo NAD<sup>+</sup> biosynthesis, resulted in decreased ovarian NAD<sup>+</sup> levels in middle-aged mice, leading to subfertility, irregular estrous cycles, reduced ovarian reserve, and accelerated aging. Moreover, we observed impaired oocyte quality, characterized by increased reactive oxygen species and spindle anomalies, which ultimately led to reduced fertilization ability and impaired early embryonic development. A transcriptomic analysis of ovaries in both mutant and wild-type mice revealed alterations in gene expression related to mitochondrial metabolism. Our findings were further supported by the observation of impaired mitochondrial distribution and decreased mitochondrial membrane potential in the oocytes of knockout mice. Supplementation with nicotinamide riboside (NR), an NAD<sup>+</sup> booster, in mutant mice increased ovarian reserve and improved oocyte quality. Our study highlights the importance of the NAD<sup>+</sup> de novo pathway in middle-aged female fertility.</p>","PeriodicalId":119,"journal":{"name":"Aging Cell","volume":"22 9","pages":""},"PeriodicalIF":7.1000,"publicationDate":"2023-06-18","publicationTypes":"Journal Article","fieldsOfStudy":null,"isOpenAccess":false,"openAccessPdf":"https://onlinelibrary.wiley.com/doi/epdf/10.1111/acel.13904","citationCount":"0","resultStr":"{\"title\":\"Deletion of enzymes for de novo NAD+ biosynthesis accelerated ovarian aging\",\"authors\":\"Qingling Yang,&nbsp;Hui Li,&nbsp;Huan Wang,&nbsp;Wenhui Chen,&nbsp;Xinxin Zeng,&nbsp;Xiaoyan Luo,&nbsp;Jianmin Xu,&nbsp;Yingpu Sun\",\"doi\":\"10.1111/acel.13904\",\"DOIUrl\":null,\"url\":null,\"abstract\":\"<p>Recent advances highlight the pivotal role of nicotinamide adenine dinucleotide (NAD<sup>+</sup>) in ovarian aging. However, the roles of de novo NAD<sup>+</sup> biosynthesis on ovarian aging are still unknown. Here, we found that genetic ablation of <i>Ido1</i> (indoleamine-2,3-dioxygenase 1) or <i>Qprt</i> (Quinolinate phosphoribosyl transferase), two critical genes in de novo NAD<sup>+</sup> biosynthesis, resulted in decreased ovarian NAD<sup>+</sup> levels in middle-aged mice, leading to subfertility, irregular estrous cycles, reduced ovarian reserve, and accelerated aging. Moreover, we observed impaired oocyte quality, characterized by increased reactive oxygen species and spindle anomalies, which ultimately led to reduced fertilization ability and impaired early embryonic development. A transcriptomic analysis of ovaries in both mutant and wild-type mice revealed alterations in gene expression related to mitochondrial metabolism. Our findings were further supported by the observation of impaired mitochondrial distribution and decreased mitochondrial membrane potential in the oocytes of knockout mice. Supplementation with nicotinamide riboside (NR), an NAD<sup>+</sup> booster, in mutant mice increased ovarian reserve and improved oocyte quality. Our study highlights the importance of the NAD<sup>+</sup> de novo pathway in middle-aged female fertility.</p>\",\"PeriodicalId\":119,\"journal\":{\"name\":\"Aging Cell\",\"volume\":\"22 9\",\"pages\":\"\"},\"PeriodicalIF\":7.1000,\"publicationDate\":\"2023-06-18\",\"publicationTypes\":\"Journal Article\",\"fieldsOfStudy\":null,\"isOpenAccess\":false,\"openAccessPdf\":\"https://onlinelibrary.wiley.com/doi/epdf/10.1111/acel.13904\",\"citationCount\":\"0\",\"resultStr\":null,\"platform\":\"Semanticscholar\",\"paperid\":null,\"PeriodicalName\":\"Aging Cell\",\"FirstCategoryId\":\"99\",\"ListUrlMain\":\"https://onlinelibrary.wiley.com/doi/10.1111/acel.13904\",\"RegionNum\":1,\"RegionCategory\":\"医学\",\"ArticlePicture\":[],\"TitleCN\":null,\"AbstractTextCN\":null,\"PMCID\":null,\"EPubDate\":\"\",\"PubModel\":\"\",\"JCR\":\"Q1\",\"JCRName\":\"CELL BIOLOGY\",\"Score\":null,\"Total\":0}","platform":"Semanticscholar","paperid":null,"PeriodicalName":"Aging Cell","FirstCategoryId":"99","ListUrlMain":"https://onlinelibrary.wiley.com/doi/10.1111/acel.13904","RegionNum":1,"RegionCategory":"医学","ArticlePicture":[],"TitleCN":null,"AbstractTextCN":null,"PMCID":null,"EPubDate":"","PubModel":"","JCR":"Q1","JCRName":"CELL BIOLOGY","Score":null,"Total":0}
引用次数: 0

摘要

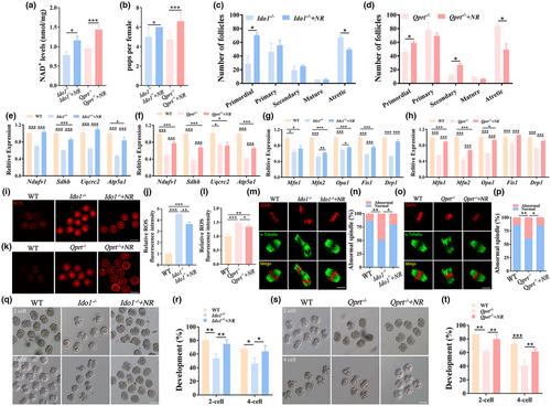
近年来的研究进展强调了烟酰胺腺嘌呤二核苷酸(NAD+)在卵巢衰老中的关键作用。然而,新生NAD+生物合成在卵巢衰老中的作用尚不清楚。在这里,我们发现Ido1(吲哚胺-2,3-双加氧酶1)或Qprt(喹啉酸磷酸核糖转移酶)这两个新生NAD+生物合成的关键基因的基因切除,导致中年小鼠卵巢NAD+水平下降,导致生育能力低下、发情周期不规则、卵巢储备减少和衰老加速。此外,我们观察到卵母细胞质量受损,其特征是活性氧增加和纺锤体异常,最终导致受精能力下降和早期胚胎发育受损。对突变型和野生型小鼠卵巢的转录组学分析揭示了与线粒体代谢相关的基因表达的改变。我们的发现进一步得到了敲除小鼠卵母细胞线粒体分布受损和线粒体膜电位下降的观察的支持。在突变小鼠中补充烟酰胺核苷(NR),一种NAD+增强剂,增加卵巢储备并改善卵母细胞质量。我们的研究强调了NAD+ de novo通路在中年女性生育能力中的重要性。
本文章由计算机程序翻译,如有差异,请以英文原文为准。

Deletion of enzymes for de novo NAD+ biosynthesis accelerated ovarian aging

Deletion of enzymes for de novo NAD+ biosynthesis accelerated ovarian aging

Recent advances highlight the pivotal role of nicotinamide adenine dinucleotide (NAD+) in ovarian aging. However, the roles of de novo NAD+ biosynthesis on ovarian aging are still unknown. Here, we found that genetic ablation of Ido1 (indoleamine-2,3-dioxygenase 1) or Qprt (Quinolinate phosphoribosyl transferase), two critical genes in de novo NAD+ biosynthesis, resulted in decreased ovarian NAD+ levels in middle-aged mice, leading to subfertility, irregular estrous cycles, reduced ovarian reserve, and accelerated aging. Moreover, we observed impaired oocyte quality, characterized by increased reactive oxygen species and spindle anomalies, which ultimately led to reduced fertilization ability and impaired early embryonic development. A transcriptomic analysis of ovaries in both mutant and wild-type mice revealed alterations in gene expression related to mitochondrial metabolism. Our findings were further supported by the observation of impaired mitochondrial distribution and decreased mitochondrial membrane potential in the oocytes of knockout mice. Supplementation with nicotinamide riboside (NR), an NAD+ booster, in mutant mice increased ovarian reserve and improved oocyte quality. Our study highlights the importance of the NAD+ de novo pathway in middle-aged female fertility.

求助全文
通过发布文献求助,成功后即可免费获取论文全文。 去求助
来源期刊
Aging Cell
Aging Cell Biochemistry, Genetics and Molecular Biology-Cell Biology
自引率
2.60%
发文量
212
期刊介绍: Aging Cell is an Open Access journal that focuses on the core aspects of the biology of aging, encompassing the entire spectrum of geroscience. The journal's content is dedicated to publishing research that uncovers the mechanisms behind the aging process and explores the connections between aging and various age-related diseases. This journal aims to provide a comprehensive understanding of the biological underpinnings of aging and its implications for human health. The journal is widely recognized and its content is abstracted and indexed by numerous databases and services, which facilitates its accessibility and impact in the scientific community. These include: Academic Search (EBSCO Publishing) Academic Search Alumni Edition (EBSCO Publishing) Academic Search Premier (EBSCO Publishing) Biological Science Database (ProQuest) CAS: Chemical Abstracts Service (ACS) Embase (Elsevier) InfoTrac (GALE Cengage) Ingenta Select ISI Alerting Services Journal Citation Reports/Science Edition (Clarivate Analytics) MEDLINE/PubMed (NLM) Natural Science Collection (ProQuest) PubMed Dietary Supplement Subset (NLM) Science Citation Index Expanded (Clarivate Analytics) SciTech Premium Collection (ProQuest) Web of Science (Clarivate Analytics) Being indexed in these databases ensures that the research published in Aging Cell is discoverable by researchers, clinicians, and other professionals interested in the field of aging and its associated health issues. This broad coverage helps to disseminate the journal's findings and contributes to the advancement of knowledge in geroscience.
×
引用
GB/T 7714-2015
复制
MLA
复制
APA
复制
导出至
BibTeX EndNote RefMan NoteFirst NoteExpress
×
提示
您的信息不完整,为了账户安全,请先补充。
现在去补充
×
提示
您因"违规操作"
具体请查看互助需知
我知道了
×
提示
确定
请完成安全验证×
copy
已复制链接
快去分享给好友吧!
我知道了
右上角分享
点击右上角分享
0
联系我们:info@booksci.cn Book学术提供免费学术资源搜索服务,方便国内外学者检索中英文文献。致力于提供最便捷和优质的服务体验。 Copyright © 2023 布克学术 All rights reserved.
京ICP备2023020795号-1
ghs 京公网安备 11010802042870号
Book学术文献互助
Book学术文献互助群
群 号:604180095
Book学术官方微信