经皮肝脏导向疗法对非结肠直肠肝转移患者的疗效如何?

Viszeralmedizin Pub Date : 2015-12-01 DOI:10.1159/000440677
Thomas J Vogl, Ahmed Emam, Nagy N Naguib, Katrin Eichler, Stefan Zangos
{"title":"经皮肝脏导向疗法对非结肠直肠肝转移患者的疗效如何?","authors":"Thomas J Vogl, Ahmed Emam, Nagy N Naguib, Katrin Eichler, Stefan Zangos","doi":"10.1159/000440677","DOIUrl":null,"url":null,"abstract":"<p><strong>Background: </strong>The purpose of this review is to demonstrate the clinical indications, technical developments, and outcome of liver-directed therapies in interventional oncology of non-colorectal liver metastases.</p><p><strong>Methods: </strong>Liver-directed therapies are classified into vascular transarterial techniques such as chemoperfusion (TACP), chemoembolization (TACE), radioembolization (selective internal radiation therapy (SIRT)), and chemosaturation, as well as thermal ablation techniques like microwave ablation (MWA), radiofrequency ablation (RFA), laser-induced thermotherapy (LITT), cryotherapy, and irreversible electroporation (IRE). The authors searched the database PubMed using the following terms: 'image-guided tumor ablation', 'thermal ablation therapies', 'liver metastases of uveal melanoma', 'neuroendocrine carcinoma', 'breast cancer', and 'non-colorectal liver metastases'.</p><p><strong>Results: </strong>Various combinations of the above-mentioned therapy protocols are possible. In neuroendocrine carcinomas, oligonodular liver metastases are treated successfully via thermal ablation like RFA, LITT, or MWA, and diffuse involvement via TACE or SIRT. Although liver involvement in breast cancer is a systemic disease, non-responding nodular metastases can be controlled via RFA or LITT. In ocular or cutaneous melanoma, thermal ablation is rarely considered as an interventional treatment option, as opposed to TACE, SIRT, or chemosaturation. Rarely liver-directed therapies are used in pancreatic cancer, most likely due to problems such as biliary digestive communications after surgery and the risk of infections. Rare indications for thermal ablation are liver metastases of other primary cancers like non-small cell lung, gastric, and ovarian cancer.</p><p><strong>Conclusion: </strong>Interventional oncological techniques play a role in patients with liver-dominant metastases.</p>","PeriodicalId":49114,"journal":{"name":"Viszeralmedizin","volume":"31 1","pages":"406-13"},"PeriodicalIF":0.0000,"publicationDate":"2015-12-01","publicationTypes":"Journal Article","fieldsOfStudy":null,"isOpenAccess":false,"openAccessPdf":"https://www.ncbi.nlm.nih.gov/pmc/articles/PMC4748795/pdf/","citationCount":"0","resultStr":"{\"title\":\"How Effective Are Percutaneous Liver-Directed Therapies in Patients with Non-Colorectal Liver Metastases?\",\"authors\":\"Thomas J Vogl, Ahmed Emam, Nagy N Naguib, Katrin Eichler, Stefan Zangos\",\"doi\":\"10.1159/000440677\",\"DOIUrl\":null,\"url\":null,\"abstract\":\"<p><strong>Background: </strong>The purpose of this review is to demonstrate the clinical indications, technical developments, and outcome of liver-directed therapies in interventional oncology of non-colorectal liver metastases.</p><p><strong>Methods: </strong>Liver-directed therapies are classified into vascular transarterial techniques such as chemoperfusion (TACP), chemoembolization (TACE), radioembolization (selective internal radiation therapy (SIRT)), and chemosaturation, as well as thermal ablation techniques like microwave ablation (MWA), radiofrequency ablation (RFA), laser-induced thermotherapy (LITT), cryotherapy, and irreversible electroporation (IRE). The authors searched the database PubMed using the following terms: 'image-guided tumor ablation', 'thermal ablation therapies', 'liver metastases of uveal melanoma', 'neuroendocrine carcinoma', 'breast cancer', and 'non-colorectal liver metastases'.</p><p><strong>Results: </strong>Various combinations of the above-mentioned therapy protocols are possible. In neuroendocrine carcinomas, oligonodular liver metastases are treated successfully via thermal ablation like RFA, LITT, or MWA, and diffuse involvement via TACE or SIRT. Although liver involvement in breast cancer is a systemic disease, non-responding nodular metastases can be controlled via RFA or LITT. In ocular or cutaneous melanoma, thermal ablation is rarely considered as an interventional treatment option, as opposed to TACE, SIRT, or chemosaturation. Rarely liver-directed therapies are used in pancreatic cancer, most likely due to problems such as biliary digestive communications after surgery and the risk of infections. Rare indications for thermal ablation are liver metastases of other primary cancers like non-small cell lung, gastric, and ovarian cancer.</p><p><strong>Conclusion: </strong>Interventional oncological techniques play a role in patients with liver-dominant metastases.</p>\",\"PeriodicalId\":49114,\"journal\":{\"name\":\"Viszeralmedizin\",\"volume\":\"31 1\",\"pages\":\"406-13\"},\"PeriodicalIF\":0.0000,\"publicationDate\":\"2015-12-01\",\"publicationTypes\":\"Journal Article\",\"fieldsOfStudy\":null,\"isOpenAccess\":false,\"openAccessPdf\":\"https://www.ncbi.nlm.nih.gov/pmc/articles/PMC4748795/pdf/\",\"citationCount\":\"0\",\"resultStr\":null,\"platform\":\"Semanticscholar\",\"paperid\":null,\"PeriodicalName\":\"Viszeralmedizin\",\"FirstCategoryId\":\"1085\",\"ListUrlMain\":\"https://doi.org/10.1159/000440677\",\"RegionNum\":0,\"RegionCategory\":null,\"ArticlePicture\":[],\"TitleCN\":null,\"AbstractTextCN\":null,\"PMCID\":null,\"EPubDate\":\"\",\"PubModel\":\"\",\"JCR\":\"\",\"JCRName\":\"\",\"Score\":null,\"Total\":0}","platform":"Semanticscholar","paperid":null,"PeriodicalName":"Viszeralmedizin","FirstCategoryId":"1085","ListUrlMain":"https://doi.org/10.1159/000440677","RegionNum":0,"RegionCategory":null,"ArticlePicture":[],"TitleCN":null,"AbstractTextCN":null,"PMCID":null,"EPubDate":"","PubModel":"","JCR":"","JCRName":"","Score":null,"Total":0}
引用次数: 0

摘要

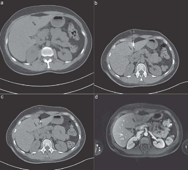
背景:本综述旨在展示非结肠直肠癌肝转移介入疗法的临床适应症、技术发展和结果:本综述旨在展示非结肠直肠肝转移介入肿瘤学中肝导向疗法的临床适应症、技术发展和结果:肝脏导向疗法分为血管经动脉技术,如化学灌注(TACP)、化疗栓塞(TACE)、放射栓塞(选择性内放射治疗(SIRT))和化学饱和,以及热消融技术,如微波消融(MWA)、射频消融(RFA)、激光诱导热疗(LITT)、冷冻疗法和不可逆电穿孔(IRE)。作者使用以下术语在 PubMed 数据库中进行了搜索:图像引导下的肿瘤消融"、"热消融疗法"、"葡萄膜黑色素瘤肝转移"、"神经内分泌癌"、"乳腺癌 "和 "非结直肠肝转移":上述治疗方案可以有多种组合。在神经内分泌癌中,少结节性肝转移可通过 RFA、LITT 或 MWA 等热消融术成功治疗,而弥漫性受累则可通过 TACE 或 SIRT 治疗。虽然乳腺癌的肝脏受累是一种全身性疾病,但无反应的结节性转移灶可通过 RFA 或 LITT 得到控制。对于眼部或皮肤黑色素瘤,相对于TACE、SIRT或化疗,热消融很少被考虑作为介入治疗方案。胰腺癌很少使用肝脏导向疗法,这很可能是由于术后胆道消化道沟通等问题以及感染风险所致。热消融的罕见适应症是非小细胞肺癌、胃癌和卵巢癌等其他原发性癌症的肝转移:结论:肿瘤介入技术在肝转移患者中发挥着作用。
本文章由计算机程序翻译,如有差异,请以英文原文为准。

How Effective Are Percutaneous Liver-Directed Therapies in Patients with Non-Colorectal Liver Metastases?

How Effective Are Percutaneous Liver-Directed Therapies in Patients with Non-Colorectal Liver Metastases?

How Effective Are Percutaneous Liver-Directed Therapies in Patients with Non-Colorectal Liver Metastases?

How Effective Are Percutaneous Liver-Directed Therapies in Patients with Non-Colorectal Liver Metastases?

Background: The purpose of this review is to demonstrate the clinical indications, technical developments, and outcome of liver-directed therapies in interventional oncology of non-colorectal liver metastases.

Methods: Liver-directed therapies are classified into vascular transarterial techniques such as chemoperfusion (TACP), chemoembolization (TACE), radioembolization (selective internal radiation therapy (SIRT)), and chemosaturation, as well as thermal ablation techniques like microwave ablation (MWA), radiofrequency ablation (RFA), laser-induced thermotherapy (LITT), cryotherapy, and irreversible electroporation (IRE). The authors searched the database PubMed using the following terms: 'image-guided tumor ablation', 'thermal ablation therapies', 'liver metastases of uveal melanoma', 'neuroendocrine carcinoma', 'breast cancer', and 'non-colorectal liver metastases'.

Results: Various combinations of the above-mentioned therapy protocols are possible. In neuroendocrine carcinomas, oligonodular liver metastases are treated successfully via thermal ablation like RFA, LITT, or MWA, and diffuse involvement via TACE or SIRT. Although liver involvement in breast cancer is a systemic disease, non-responding nodular metastases can be controlled via RFA or LITT. In ocular or cutaneous melanoma, thermal ablation is rarely considered as an interventional treatment option, as opposed to TACE, SIRT, or chemosaturation. Rarely liver-directed therapies are used in pancreatic cancer, most likely due to problems such as biliary digestive communications after surgery and the risk of infections. Rare indications for thermal ablation are liver metastases of other primary cancers like non-small cell lung, gastric, and ovarian cancer.

Conclusion: Interventional oncological techniques play a role in patients with liver-dominant metastases.

求助全文
通过发布文献求助,成功后即可免费获取论文全文。 去求助
来源期刊
Viszeralmedizin
Viszeralmedizin GASTROENTEROLOGY & HEPATOLOGY-SURGERY
自引率
0.00%
发文量
0
审稿时长
>12 weeks
×
引用
GB/T 7714-2015
复制
MLA
复制
APA
复制
导出至
BibTeX EndNote RefMan NoteFirst NoteExpress
×
提示
您的信息不完整,为了账户安全,请先补充。
现在去补充
×
提示
您因"违规操作"
具体请查看互助需知
我知道了
×
提示
确定
请完成安全验证×
copy
已复制链接
快去分享给好友吧!
我知道了
右上角分享
点击右上角分享
0
联系我们:info@booksci.cn Book学术提供免费学术资源搜索服务,方便国内外学者检索中英文文献。致力于提供最便捷和优质的服务体验。 Copyright © 2023 布克学术 All rights reserved.
京ICP备2023020795号-1
ghs 京公网安备 11010802042870号
Book学术文献互助
Book学术文献互助群
群 号:604180095
Book学术官方微信