罕见食管胃合并黑色1例

IF 0.6
Annals of esophagus Pub Date : 2023-09-25 Epub Date: 2022-09-21 DOI:10.21037/aoe-21-70
Jessica Magarinos, Andrew Akcelik, Alexandra Schmidt, Roman Petrov, Charles Bakhos
{"title":"罕见食管胃合并黑色1例","authors":"Jessica Magarinos, Andrew Akcelik, Alexandra Schmidt, Roman Petrov, Charles Bakhos","doi":"10.21037/aoe-21-70","DOIUrl":null,"url":null,"abstract":"<p><strong>Background: </strong>Black esophagus is a relatively rare phenomenon that seems to occur in a morbid patient population, however, this entity may be more common than we currently know. Additionally, black esophagus may even be reversible in some cases. There are far fewer cases of black stomach described. The exact etiology and cause are less well known but may have similar risk factors as black esophagus. These disease pathologies are devastating to the patients they affect and can pose clinical challenges for the providers that encounter them.</p><p><strong>Case description: </strong>This case report details our experience with a moribund patient who was found to have extensive pneumomediastinum and gastric perforation secondary to black esophagus and black stomach. This was diagnosed on endoscopy following imaging that showed extensive pneumomediastinum. Initially the intent was to temporize the disease process in an attempt to stabilize the patient however at the time of diagnosis, the degree of ischemia had led to perforation and the disease process was not reversible or recoverable. He ultimately expired after comfort directed care measures were put in place.</p><p><strong>Conclusions: </strong>To the best of our knowledge, this case will be the first reported in current literature and will hopefully shed some light on this unusual and devastating pathology.</p>","PeriodicalId":72217,"journal":{"name":"Annals of esophagus","volume":" ","pages":""},"PeriodicalIF":0.6000,"publicationDate":"2023-09-25","publicationTypes":"Journal Article","fieldsOfStudy":null,"isOpenAccess":false,"openAccessPdf":"https://www.ncbi.nlm.nih.gov/pmc/articles/PMC10883423/pdf/","citationCount":"0","resultStr":"{\"title\":\"A rare case of combined black esophagus and stomach: a case report.\",\"authors\":\"Jessica Magarinos, Andrew Akcelik, Alexandra Schmidt, Roman Petrov, Charles Bakhos\",\"doi\":\"10.21037/aoe-21-70\",\"DOIUrl\":null,\"url\":null,\"abstract\":\"<p><strong>Background: </strong>Black esophagus is a relatively rare phenomenon that seems to occur in a morbid patient population, however, this entity may be more common than we currently know. Additionally, black esophagus may even be reversible in some cases. There are far fewer cases of black stomach described. The exact etiology and cause are less well known but may have similar risk factors as black esophagus. These disease pathologies are devastating to the patients they affect and can pose clinical challenges for the providers that encounter them.</p><p><strong>Case description: </strong>This case report details our experience with a moribund patient who was found to have extensive pneumomediastinum and gastric perforation secondary to black esophagus and black stomach. This was diagnosed on endoscopy following imaging that showed extensive pneumomediastinum. Initially the intent was to temporize the disease process in an attempt to stabilize the patient however at the time of diagnosis, the degree of ischemia had led to perforation and the disease process was not reversible or recoverable. He ultimately expired after comfort directed care measures were put in place.</p><p><strong>Conclusions: </strong>To the best of our knowledge, this case will be the first reported in current literature and will hopefully shed some light on this unusual and devastating pathology.</p>\",\"PeriodicalId\":72217,\"journal\":{\"name\":\"Annals of esophagus\",\"volume\":\" \",\"pages\":\"\"},\"PeriodicalIF\":0.6000,\"publicationDate\":\"2023-09-25\",\"publicationTypes\":\"Journal Article\",\"fieldsOfStudy\":null,\"isOpenAccess\":false,\"openAccessPdf\":\"https://www.ncbi.nlm.nih.gov/pmc/articles/PMC10883423/pdf/\",\"citationCount\":\"0\",\"resultStr\":null,\"platform\":\"Semanticscholar\",\"paperid\":null,\"PeriodicalName\":\"Annals of esophagus\",\"FirstCategoryId\":\"1085\",\"ListUrlMain\":\"https://doi.org/10.21037/aoe-21-70\",\"RegionNum\":0,\"RegionCategory\":null,\"ArticlePicture\":[],\"TitleCN\":null,\"AbstractTextCN\":null,\"PMCID\":null,\"EPubDate\":\"2022/9/21 0:00:00\",\"PubModel\":\"Epub\",\"JCR\":\"\",\"JCRName\":\"\",\"Score\":null,\"Total\":0}","platform":"Semanticscholar","paperid":null,"PeriodicalName":"Annals of esophagus","FirstCategoryId":"1085","ListUrlMain":"https://doi.org/10.21037/aoe-21-70","RegionNum":0,"RegionCategory":null,"ArticlePicture":[],"TitleCN":null,"AbstractTextCN":null,"PMCID":null,"EPubDate":"2022/9/21 0:00:00","PubModel":"Epub","JCR":"","JCRName":"","Score":null,"Total":0}
引用次数: 0

摘要

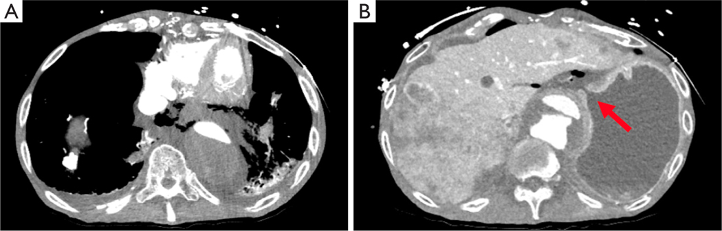
背景:食管黑色是一种相对罕见的现象,似乎发生在病态患者人群中,然而,这种实体可能比我们目前所知道的更常见。此外,在某些情况下,食道黑色甚至可能是可逆的。关于黑胃的描述要少得多。确切的病因和原因尚不清楚,但可能与黑色食道有相似的危险因素。这些疾病病理对受其影响的患者是毁灭性的,并可能对遇到它们的提供者构成临床挑战。病例描述:本病例报告详细介绍了我们的经验,病人被发现有广泛纵隔气肿和胃穿孔继发于黑色食道和黑色胃。内窥镜检查显示广泛纵隔气肿。最初的目的是延缓疾病进程,试图稳定患者,但在诊断时,缺血的程度已经导致穿孔,疾病进程是不可逆转或可恢复的。在采取了舒适指导护理措施后,他最终去世了。结论:据我们所知,该病例将是当前文献中首次报道的病例,并有望阐明这种不寻常的破坏性病理。
本文章由计算机程序翻译,如有差异,请以英文原文为准。

A rare case of combined black esophagus and stomach: a case report.

A rare case of combined black esophagus and stomach: a case report.

A rare case of combined black esophagus and stomach: a case report.

A rare case of combined black esophagus and stomach: a case report.

Background: Black esophagus is a relatively rare phenomenon that seems to occur in a morbid patient population, however, this entity may be more common than we currently know. Additionally, black esophagus may even be reversible in some cases. There are far fewer cases of black stomach described. The exact etiology and cause are less well known but may have similar risk factors as black esophagus. These disease pathologies are devastating to the patients they affect and can pose clinical challenges for the providers that encounter them.

Case description: This case report details our experience with a moribund patient who was found to have extensive pneumomediastinum and gastric perforation secondary to black esophagus and black stomach. This was diagnosed on endoscopy following imaging that showed extensive pneumomediastinum. Initially the intent was to temporize the disease process in an attempt to stabilize the patient however at the time of diagnosis, the degree of ischemia had led to perforation and the disease process was not reversible or recoverable. He ultimately expired after comfort directed care measures were put in place.

Conclusions: To the best of our knowledge, this case will be the first reported in current literature and will hopefully shed some light on this unusual and devastating pathology.

求助全文
通过发布文献求助,成功后即可免费获取论文全文。 去求助
来源期刊
CiteScore
0.70
自引率
0.00%
发文量
0
×
引用
GB/T 7714-2015
复制
MLA
复制
APA
复制
导出至
BibTeX EndNote RefMan NoteFirst NoteExpress
×
提示
您的信息不完整,为了账户安全,请先补充。
现在去补充
×
提示
您因"违规操作"
具体请查看互助需知
我知道了
×
提示
确定
请完成安全验证×
copy
已复制链接
快去分享给好友吧!
我知道了
右上角分享
点击右上角分享
0
联系我们:info@booksci.cn Book学术提供免费学术资源搜索服务,方便国内外学者检索中英文文献。致力于提供最便捷和优质的服务体验。 Copyright © 2023 布克学术 All rights reserved.
京ICP备2023020795号-1
ghs 京公网安备 11010802042870号
Book学术文献互助
Book学术文献互助群
群 号:604180095
Book学术官方微信