妊娠合并巨大胰腺肿瘤及肝硬化失代偿1例报告及文献复习

IF 1.7
Yi Yu, Lirong Teng, Juntao Liu, Xinyan Liu, Ping Peng, Qian Zhou, Congcong Liu
{"title":"妊娠合并巨大胰腺肿瘤及肝硬化失代偿1例报告及文献复习","authors":"Yi Yu, Lirong Teng, Juntao Liu, Xinyan Liu, Ping Peng, Qian Zhou, Congcong Liu","doi":"10.1097/FM9.0000000000000168","DOIUrl":null,"url":null,"abstract":"<p><p>Pregnancy with solid pseudopapillary tumor of the pancreas (SPTP) is rare. Because pregnancy hormones may cause tumor progression, the management and treatment of SPTP need to balance the safety of pregnant women and fetuses with surgical treatment. We reported a case of a giant pancreatic tumor diagnosed during pregnancy that was considered to be SPTP. Examinations also showed hepatitis B virus infection and severe decompensation of liver cirrhosis. Medical termination of pregnancy was performed. The patient has lived with the tumor until now without surgery. We retrieved the published case reports, summarized the clinical characteristics of pregnancy with SPTP, and explored its management during the perinatal period. Most patients with SPTP have a good prognosis with good maternal and fetal outcomes, and it is important to choose an appropriate treatment method and timing. However, pregnancy combined with decompensated liver cirrhosis needs to be terminated in a timely manner because of its high-risk status.</p>","PeriodicalId":74121,"journal":{"name":"Maternal-fetal medicine (Wolters Kluwer Health, Inc.)","volume":" ","pages":"50-53"},"PeriodicalIF":1.7000,"publicationDate":"2022-09-14","publicationTypes":"Journal Article","fieldsOfStudy":null,"isOpenAccess":false,"openAccessPdf":"https://www.ncbi.nlm.nih.gov/pmc/articles/PMC12094364/pdf/","citationCount":"0","resultStr":"{\"title\":\"Pregnancy Complicated With a Giant Pancreatic Tumor and Decompensation of Liver Cirrhosis: A Case Report and Literature Review.\",\"authors\":\"Yi Yu, Lirong Teng, Juntao Liu, Xinyan Liu, Ping Peng, Qian Zhou, Congcong Liu\",\"doi\":\"10.1097/FM9.0000000000000168\",\"DOIUrl\":null,\"url\":null,\"abstract\":\"<p><p>Pregnancy with solid pseudopapillary tumor of the pancreas (SPTP) is rare. Because pregnancy hormones may cause tumor progression, the management and treatment of SPTP need to balance the safety of pregnant women and fetuses with surgical treatment. We reported a case of a giant pancreatic tumor diagnosed during pregnancy that was considered to be SPTP. Examinations also showed hepatitis B virus infection and severe decompensation of liver cirrhosis. Medical termination of pregnancy was performed. The patient has lived with the tumor until now without surgery. We retrieved the published case reports, summarized the clinical characteristics of pregnancy with SPTP, and explored its management during the perinatal period. Most patients with SPTP have a good prognosis with good maternal and fetal outcomes, and it is important to choose an appropriate treatment method and timing. However, pregnancy combined with decompensated liver cirrhosis needs to be terminated in a timely manner because of its high-risk status.</p>\",\"PeriodicalId\":74121,\"journal\":{\"name\":\"Maternal-fetal medicine (Wolters Kluwer Health, Inc.)\",\"volume\":\" \",\"pages\":\"50-53\"},\"PeriodicalIF\":1.7000,\"publicationDate\":\"2022-09-14\",\"publicationTypes\":\"Journal Article\",\"fieldsOfStudy\":null,\"isOpenAccess\":false,\"openAccessPdf\":\"https://www.ncbi.nlm.nih.gov/pmc/articles/PMC12094364/pdf/\",\"citationCount\":\"0\",\"resultStr\":null,\"platform\":\"Semanticscholar\",\"paperid\":null,\"PeriodicalName\":\"Maternal-fetal medicine (Wolters Kluwer Health, Inc.)\",\"FirstCategoryId\":\"1085\",\"ListUrlMain\":\"https://doi.org/10.1097/FM9.0000000000000168\",\"RegionNum\":0,\"RegionCategory\":null,\"ArticlePicture\":[],\"TitleCN\":null,\"AbstractTextCN\":null,\"PMCID\":null,\"EPubDate\":\"2024/1/1 0:00:00\",\"PubModel\":\"eCollection\",\"JCR\":\"\",\"JCRName\":\"\",\"Score\":null,\"Total\":0}","platform":"Semanticscholar","paperid":null,"PeriodicalName":"Maternal-fetal medicine (Wolters Kluwer Health, Inc.)","FirstCategoryId":"1085","ListUrlMain":"https://doi.org/10.1097/FM9.0000000000000168","RegionNum":0,"RegionCategory":null,"ArticlePicture":[],"TitleCN":null,"AbstractTextCN":null,"PMCID":null,"EPubDate":"2024/1/1 0:00:00","PubModel":"eCollection","JCR":"","JCRName":"","Score":null,"Total":0}
引用次数: 0

摘要

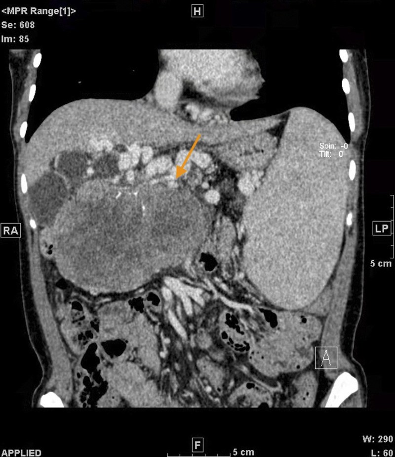
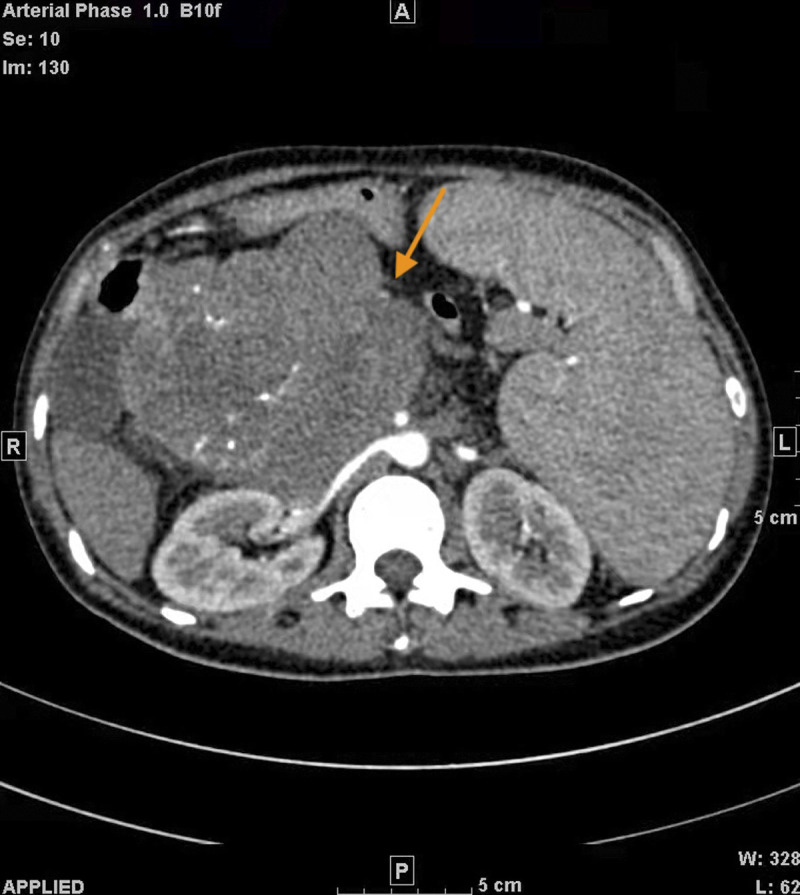
妊娠合并胰腺实性假乳头状瘤(SPTP)是罕见的。由于妊娠激素可能导致肿瘤进展,SPTP的管理和治疗需要在手术治疗中平衡孕妇和胎儿的安全性。我们报告一例巨大的胰腺肿瘤诊断在怀孕期间,被认为是SPTP。检查还显示乙型肝炎病毒感染和严重的肝硬化失代偿。进行了医学终止妊娠。这个病人直到现在还没有接受手术。我们检索已发表的病例报告,总结SPTP妊娠的临床特点,并探讨围生期的处理方法。大多数SPTP患者预后良好,母胎结局良好,选择合适的治疗方法和时机十分重要。但妊娠合并失代偿性肝硬化,因其高危地位,需及时终止妊娠。
本文章由计算机程序翻译,如有差异,请以英文原文为准。

Pregnancy Complicated With a Giant Pancreatic Tumor and Decompensation of Liver Cirrhosis: A Case Report and Literature Review.

Pregnancy Complicated With a Giant Pancreatic Tumor and Decompensation of Liver Cirrhosis: A Case Report and Literature Review.

Pregnancy Complicated With a Giant Pancreatic Tumor and Decompensation of Liver Cirrhosis: A Case Report and Literature Review.

Pregnancy with solid pseudopapillary tumor of the pancreas (SPTP) is rare. Because pregnancy hormones may cause tumor progression, the management and treatment of SPTP need to balance the safety of pregnant women and fetuses with surgical treatment. We reported a case of a giant pancreatic tumor diagnosed during pregnancy that was considered to be SPTP. Examinations also showed hepatitis B virus infection and severe decompensation of liver cirrhosis. Medical termination of pregnancy was performed. The patient has lived with the tumor until now without surgery. We retrieved the published case reports, summarized the clinical characteristics of pregnancy with SPTP, and explored its management during the perinatal period. Most patients with SPTP have a good prognosis with good maternal and fetal outcomes, and it is important to choose an appropriate treatment method and timing. However, pregnancy combined with decompensated liver cirrhosis needs to be terminated in a timely manner because of its high-risk status.

求助全文
通过发布文献求助,成功后即可免费获取论文全文。 去求助
来源期刊
自引率
0.00%
发文量
0
×
引用
GB/T 7714-2015
复制
MLA
复制
APA
复制
导出至
BibTeX EndNote RefMan NoteFirst NoteExpress
×
提示
您的信息不完整,为了账户安全,请先补充。
现在去补充
×
提示
您因"违规操作"
具体请查看互助需知
我知道了
×
提示
确定
请完成安全验证×
copy
已复制链接
快去分享给好友吧!
我知道了
右上角分享
点击右上角分享
0
联系我们:info@booksci.cn Book学术提供免费学术资源搜索服务,方便国内外学者检索中英文文献。致力于提供最便捷和优质的服务体验。 Copyright © 2023 布克学术 All rights reserved.
京ICP备2023020795号-1
ghs 京公网安备 11010802042870号
Book学术文献互助
Book学术文献互助群
群 号:604180095
Book学术官方微信