miRNA-141-5p通过调节MAPK1影响子痫前期中性粒细胞弹性蛋白酶水平

IF 1.7
Keyan Cheng, Jialei Cui, Wenli Zhou, Huiqiang Liu, Taotao Yang, Yonghong Wang
{"title":"miRNA-141-5p通过调节MAPK1影响子痫前期中性粒细胞弹性蛋白酶水平","authors":"Keyan Cheng, Jialei Cui, Wenli Zhou, Huiqiang Liu, Taotao Yang, Yonghong Wang","doi":"10.1097/FM9.0000000000000169","DOIUrl":null,"url":null,"abstract":"<p><strong>Objective: </strong>The objective of this study was to investigate the expression levels of microRNA-141-5p(miRNA-141-5p), MAPK1 and neutrophil elastase in patients with and without preeclampsia (PE), and the relationship between miRNA-141-5p and MAPK1 with respect to the secretion of elastase by neutrophils in patients with PE.</p><p><strong>Methods: </strong>Thirty patients with PE and 30 healthy pregnant (HP) women were recruited from The Second Hospital of Shanxi Medical University, Taiyuan, China, between February 2017 and July 2018. Neutrophils were isolated from 8 mL peripheral blood samples and cultured. We recorded neutrophil count and morphology during culture. Apoptosis was detected by flow cytometry in different groups at 0, 24, and 48 h. The expression levels of elastase were detected in neutrophils by enzyme-linked immunosorbent assay, whereas the expression levels of miRNA-141-5p in peripheral blood neutrophils were detected by real-time polymerase chain reaction. We used TargetScanHuman Release 7.2 to analyze the target genes of miRNA-141-5p. The expression of MAPK1 in peripheral blood neutrophils was detected by western blotting. Data were analyzed by SPSS version 21.0 software, and comparisons between groups were carried out with the Student <i>t</i> test.</p><p><strong>Results: </strong>There was no significant difference between the PE and HP groups (<i>P</i> > 0.050) with regard to age or body mass index. The weight of newborns in the PE group (2846.00 ± 600.00 g) was significantly lower than that in the HP group (3055.00 ± 230.68 g). The number of neutrophilic granulocytes(NGs) in blood samples from the PE group was significantly higher than that in the HP group (<i>P</i> = 0.003). There was no significant difference between the groups with regard to morphology. Apoptosis in the PE group was delayed when compared with the HP group at different time points. The <i>P</i> value of apoptosis in the PE and HP groups were respectively 0.790, < 0.001 and 0.030 at 0 h, 24 h and 48 h. The expression levels of miRNA-141-5p in the PE group were significantly lower than those in the HP group (<i>P</i> < 0.050). The expression levels of MAPK1 in neutrophils from the PE group were significantly higher than those in the HP group (<i>P</i> < 0.050) by western blot. The expression levels of elastase in neutrophils from the PE group were significantly higher than those in the HP group (<i>P</i> < 0.050). Furthermore, the number of NGs in peripheral blood from the PE group was higher than that of the HP group; however, the levels of apoptosis were lower. The expression levels of miRNA-141-5p in NGs decreased, the expression of MAPK1 increased, and the secretion of neutrophil elastase in the NG medium increased in the PE group than those in the HP group.</p><p><strong>Conclusion: </strong>Collectively, our analysis suggested that miRNA-141-5p may be involved in the pathogenesis of PE by regulating the MAPK1 signaling pathway to activate neutrophils and increase the secretion of elastase.</p>","PeriodicalId":74121,"journal":{"name":"Maternal-fetal medicine (Wolters Kluwer Health, Inc.)","volume":"4 1","pages":"238-244"},"PeriodicalIF":1.7000,"publicationDate":"2022-09-27","publicationTypes":"Journal Article","fieldsOfStudy":null,"isOpenAccess":false,"openAccessPdf":"https://www.ncbi.nlm.nih.gov/pmc/articles/PMC12087888/pdf/","citationCount":"0","resultStr":"{\"title\":\"miRNA-141-5p Affects the Levels of Neutrophil Elastase in Preeclampsia by Regulating MAPK1.\",\"authors\":\"Keyan Cheng, Jialei Cui, Wenli Zhou, Huiqiang Liu, Taotao Yang, Yonghong Wang\",\"doi\":\"10.1097/FM9.0000000000000169\",\"DOIUrl\":null,\"url\":null,\"abstract\":\"<p><strong>Objective: </strong>The objective of this study was to investigate the expression levels of microRNA-141-5p(miRNA-141-5p), MAPK1 and neutrophil elastase in patients with and without preeclampsia (PE), and the relationship between miRNA-141-5p and MAPK1 with respect to the secretion of elastase by neutrophils in patients with PE.</p><p><strong>Methods: </strong>Thirty patients with PE and 30 healthy pregnant (HP) women were recruited from The Second Hospital of Shanxi Medical University, Taiyuan, China, between February 2017 and July 2018. Neutrophils were isolated from 8 mL peripheral blood samples and cultured. We recorded neutrophil count and morphology during culture. Apoptosis was detected by flow cytometry in different groups at 0, 24, and 48 h. The expression levels of elastase were detected in neutrophils by enzyme-linked immunosorbent assay, whereas the expression levels of miRNA-141-5p in peripheral blood neutrophils were detected by real-time polymerase chain reaction. We used TargetScanHuman Release 7.2 to analyze the target genes of miRNA-141-5p. The expression of MAPK1 in peripheral blood neutrophils was detected by western blotting. Data were analyzed by SPSS version 21.0 software, and comparisons between groups were carried out with the Student <i>t</i> test.</p><p><strong>Results: </strong>There was no significant difference between the PE and HP groups (<i>P</i> > 0.050) with regard to age or body mass index. The weight of newborns in the PE group (2846.00 ± 600.00 g) was significantly lower than that in the HP group (3055.00 ± 230.68 g). The number of neutrophilic granulocytes(NGs) in blood samples from the PE group was significantly higher than that in the HP group (<i>P</i> = 0.003). There was no significant difference between the groups with regard to morphology. Apoptosis in the PE group was delayed when compared with the HP group at different time points. The <i>P</i> value of apoptosis in the PE and HP groups were respectively 0.790, < 0.001 and 0.030 at 0 h, 24 h and 48 h. The expression levels of miRNA-141-5p in the PE group were significantly lower than those in the HP group (<i>P</i> < 0.050). The expression levels of MAPK1 in neutrophils from the PE group were significantly higher than those in the HP group (<i>P</i> < 0.050) by western blot. The expression levels of elastase in neutrophils from the PE group were significantly higher than those in the HP group (<i>P</i> < 0.050). Furthermore, the number of NGs in peripheral blood from the PE group was higher than that of the HP group; however, the levels of apoptosis were lower. The expression levels of miRNA-141-5p in NGs decreased, the expression of MAPK1 increased, and the secretion of neutrophil elastase in the NG medium increased in the PE group than those in the HP group.</p><p><strong>Conclusion: </strong>Collectively, our analysis suggested that miRNA-141-5p may be involved in the pathogenesis of PE by regulating the MAPK1 signaling pathway to activate neutrophils and increase the secretion of elastase.</p>\",\"PeriodicalId\":74121,\"journal\":{\"name\":\"Maternal-fetal medicine (Wolters Kluwer Health, Inc.)\",\"volume\":\"4 1\",\"pages\":\"238-244\"},\"PeriodicalIF\":1.7000,\"publicationDate\":\"2022-09-27\",\"publicationTypes\":\"Journal Article\",\"fieldsOfStudy\":null,\"isOpenAccess\":false,\"openAccessPdf\":\"https://www.ncbi.nlm.nih.gov/pmc/articles/PMC12087888/pdf/\",\"citationCount\":\"0\",\"resultStr\":null,\"platform\":\"Semanticscholar\",\"paperid\":null,\"PeriodicalName\":\"Maternal-fetal medicine (Wolters Kluwer Health, Inc.)\",\"FirstCategoryId\":\"1085\",\"ListUrlMain\":\"https://doi.org/10.1097/FM9.0000000000000169\",\"RegionNum\":0,\"RegionCategory\":null,\"ArticlePicture\":[],\"TitleCN\":null,\"AbstractTextCN\":null,\"PMCID\":null,\"EPubDate\":\"2022/10/1 0:00:00\",\"PubModel\":\"eCollection\",\"JCR\":\"\",\"JCRName\":\"\",\"Score\":null,\"Total\":0}","platform":"Semanticscholar","paperid":null,"PeriodicalName":"Maternal-fetal medicine (Wolters Kluwer Health, Inc.)","FirstCategoryId":"1085","ListUrlMain":"https://doi.org/10.1097/FM9.0000000000000169","RegionNum":0,"RegionCategory":null,"ArticlePicture":[],"TitleCN":null,"AbstractTextCN":null,"PMCID":null,"EPubDate":"2022/10/1 0:00:00","PubModel":"eCollection","JCR":"","JCRName":"","Score":null,"Total":0}
引用次数: 0

摘要

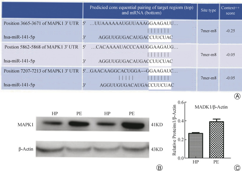
摘要目的研究子痫前期(PE)患者和非子痫前期患者微小核糖核酸-141-5p(miRNA-141-5p)、MAPK1和中性粒细胞弹性蛋白酶的表达水平,以及miRNA-141-3p和MAPK1与PE患者中性粒细胞分泌弹性蛋白酶之间的关系。方法2017年2月至2018年7月,在中国太原山西医科大学第二医院招募30名PE患者和30名健康孕妇。从8mL外周血样本中分离并培养中性粒细胞。我们记录了培养过程中中性粒细胞的计数和形态。在0、24和48小时,通过流式细胞术检测不同组的细胞凋亡。通过酶联免疫吸附法检测中性粒细胞中弹性蛋白酶的表达水平,而通过实时聚合酶链反应检测外周血中性粒细胞的miRNA-141-5p的表达水平。我们使用TargetScanHuman Release 7.2来分析miRNA-141-5p的靶基因。免疫印迹法检测MAPK1在外周血中性粒细胞中的表达。数据采用SPSS 21.0版软件进行分析,组间比较采用Student t检验。结果PE组和HP组在年龄和体重指数方面无显著性差异(P>0.05)。PE组新生儿体重(2846.00±600.00 g)显著低于HP组(3055.00±230.68 g)。PE组血液样本中中性粒细胞(NGs)的数量显著高于HP组(P=0.003)。两组在形态学方面没有显著差异。与HP组相比,PE组在不同时间点的细胞凋亡延迟。PE组和HP组在0小时、24小时和48小时的细胞凋亡P值分别为0.790、<0.001和0.030。PE组的miRNA-141-5p表达水平显著低于HP组(P<0.05)。PE组中性粒细胞弹性蛋白酶的表达水平显著高于HP组(P<0.05 0),PE组外周血NGs数量高于HP组;但细胞凋亡水平较低。PE组NGs中miRNA-141-5p的表达水平比HP组降低,MAPK1的表达增加,中性粒细胞弹性蛋白酶在NG培养基中的分泌增加。结论总之,我们的分析表明,miRNA-141-5p可能通过调节MAPK1信号通路来激活中性粒细胞并增加弹性蛋白酶的分泌,从而参与PE的发病机制。
本文章由计算机程序翻译,如有差异,请以英文原文为准。

miRNA-141-5p Affects the Levels of Neutrophil Elastase in Preeclampsia by Regulating MAPK1.

miRNA-141-5p Affects the Levels of Neutrophil Elastase in Preeclampsia by Regulating MAPK1.

miRNA-141-5p Affects the Levels of Neutrophil Elastase in Preeclampsia by Regulating MAPK1.

miRNA-141-5p Affects the Levels of Neutrophil Elastase in Preeclampsia by Regulating MAPK1.

Objective: The objective of this study was to investigate the expression levels of microRNA-141-5p(miRNA-141-5p), MAPK1 and neutrophil elastase in patients with and without preeclampsia (PE), and the relationship between miRNA-141-5p and MAPK1 with respect to the secretion of elastase by neutrophils in patients with PE.

Methods: Thirty patients with PE and 30 healthy pregnant (HP) women were recruited from The Second Hospital of Shanxi Medical University, Taiyuan, China, between February 2017 and July 2018. Neutrophils were isolated from 8 mL peripheral blood samples and cultured. We recorded neutrophil count and morphology during culture. Apoptosis was detected by flow cytometry in different groups at 0, 24, and 48 h. The expression levels of elastase were detected in neutrophils by enzyme-linked immunosorbent assay, whereas the expression levels of miRNA-141-5p in peripheral blood neutrophils were detected by real-time polymerase chain reaction. We used TargetScanHuman Release 7.2 to analyze the target genes of miRNA-141-5p. The expression of MAPK1 in peripheral blood neutrophils was detected by western blotting. Data were analyzed by SPSS version 21.0 software, and comparisons between groups were carried out with the Student t test.

Results: There was no significant difference between the PE and HP groups (P > 0.050) with regard to age or body mass index. The weight of newborns in the PE group (2846.00 ± 600.00 g) was significantly lower than that in the HP group (3055.00 ± 230.68 g). The number of neutrophilic granulocytes(NGs) in blood samples from the PE group was significantly higher than that in the HP group (P = 0.003). There was no significant difference between the groups with regard to morphology. Apoptosis in the PE group was delayed when compared with the HP group at different time points. The P value of apoptosis in the PE and HP groups were respectively 0.790, < 0.001 and 0.030 at 0 h, 24 h and 48 h. The expression levels of miRNA-141-5p in the PE group were significantly lower than those in the HP group (P < 0.050). The expression levels of MAPK1 in neutrophils from the PE group were significantly higher than those in the HP group (P < 0.050) by western blot. The expression levels of elastase in neutrophils from the PE group were significantly higher than those in the HP group (P < 0.050). Furthermore, the number of NGs in peripheral blood from the PE group was higher than that of the HP group; however, the levels of apoptosis were lower. The expression levels of miRNA-141-5p in NGs decreased, the expression of MAPK1 increased, and the secretion of neutrophil elastase in the NG medium increased in the PE group than those in the HP group.

Conclusion: Collectively, our analysis suggested that miRNA-141-5p may be involved in the pathogenesis of PE by regulating the MAPK1 signaling pathway to activate neutrophils and increase the secretion of elastase.

求助全文
通过发布文献求助,成功后即可免费获取论文全文。 去求助
来源期刊
自引率
0.00%
发文量
0
×
引用
GB/T 7714-2015
复制
MLA
复制
APA
复制
导出至
BibTeX EndNote RefMan NoteFirst NoteExpress
×
提示
您的信息不完整,为了账户安全,请先补充。
现在去补充
×
提示
您因"违规操作"
具体请查看互助需知
我知道了
×
提示
确定
请完成安全验证×
copy
已复制链接
快去分享给好友吧!
我知道了
右上角分享
点击右上角分享
0
联系我们:info@booksci.cn Book学术提供免费学术资源搜索服务,方便国内外学者检索中英文文献。致力于提供最便捷和优质的服务体验。 Copyright © 2023 布克学术 All rights reserved.
京ICP备2023020795号-1
ghs 京公网安备 11010802042870号
Book学术文献互助
Book学术文献互助群
群 号:604180095
Book学术官方微信