人类牙髓干细胞老化特征的变化反映了增殖和再生能力的对比

Q1 Biochemistry, Genetics and Molecular Biology
Amr Alraies, Nadia Y A Alaidaroos, Rachel J Waddington, Ryan Moseley, Alastair J Sloan
{"title":"人类牙髓干细胞老化特征的变化反映了增殖和再生能力的对比","authors":"Amr Alraies, Nadia Y A Alaidaroos, Rachel J Waddington, Ryan Moseley, Alastair J Sloan","doi":"10.1186/s12860-017-0128-x","DOIUrl":null,"url":null,"abstract":"<p><strong>Background: </strong>Dental pulp stem cells (DPSCs) are increasingly being recognized as a viable cell source for regenerative medicine. Although significant variations in their ex vivo expansion are well-established, DPSC proliferative heterogeneity remains poorly understood, despite such characteristics influencing their regenerative and therapeutic potential. This study assessed clonal human DPSC regenerative potential and the impact of cellular senescence on these responses, to better understand DPSC functional behaviour.</p><p><strong>Results: </strong>All DPSCs were negative for hTERT. Whilst one DPSC population reached >80 PDs before senescence, other populations only achieved <40 PDs, correlating with DPSCs with high proliferative capacities possessing longer telomeres (18.9 kb) than less proliferative populations (5-13 kb). High proliferative capacity DPSCs exhibited prolonged stem cell marker expression, but lacked CD271. Early-onset senescence, stem cell marker loss and positive CD271 expression in DPSCs with low proliferative capacities were associated with impaired osteogenic and chondrogenic differentiation, favouring adipogenesis. DPSCs with high proliferative capacities only demonstrated impaired differentiation following prolonged expansion (>60 PDs).</p><p><strong>Conclusions: </strong>This study has identified that proliferative and regenerative heterogeneity is related to contrasting telomere lengths and CD271 expression between DPSC populations. These characteristics may ultimately be used to selectively screen and isolate high proliferative capacity/multi-potent DPSCs for regenerative medicine exploitation.</p>","PeriodicalId":9051,"journal":{"name":"BMC Cell Biology","volume":" ","pages":"12"},"PeriodicalIF":0.0000,"publicationDate":"2017-02-02","publicationTypes":"Journal Article","fieldsOfStudy":null,"isOpenAccess":false,"openAccessPdf":"https://www.ncbi.nlm.nih.gov/pmc/articles/PMC5288874/pdf/","citationCount":"0","resultStr":"{\"title\":\"Variation in human dental pulp stem cell ageing profiles reflect contrasting proliferative and regenerative capabilities.\",\"authors\":\"Amr Alraies, Nadia Y A Alaidaroos, Rachel J Waddington, Ryan Moseley, Alastair J Sloan\",\"doi\":\"10.1186/s12860-017-0128-x\",\"DOIUrl\":null,\"url\":null,\"abstract\":\"<p><strong>Background: </strong>Dental pulp stem cells (DPSCs) are increasingly being recognized as a viable cell source for regenerative medicine. Although significant variations in their ex vivo expansion are well-established, DPSC proliferative heterogeneity remains poorly understood, despite such characteristics influencing their regenerative and therapeutic potential. This study assessed clonal human DPSC regenerative potential and the impact of cellular senescence on these responses, to better understand DPSC functional behaviour.</p><p><strong>Results: </strong>All DPSCs were negative for hTERT. Whilst one DPSC population reached >80 PDs before senescence, other populations only achieved <40 PDs, correlating with DPSCs with high proliferative capacities possessing longer telomeres (18.9 kb) than less proliferative populations (5-13 kb). High proliferative capacity DPSCs exhibited prolonged stem cell marker expression, but lacked CD271. Early-onset senescence, stem cell marker loss and positive CD271 expression in DPSCs with low proliferative capacities were associated with impaired osteogenic and chondrogenic differentiation, favouring adipogenesis. DPSCs with high proliferative capacities only demonstrated impaired differentiation following prolonged expansion (>60 PDs).</p><p><strong>Conclusions: </strong>This study has identified that proliferative and regenerative heterogeneity is related to contrasting telomere lengths and CD271 expression between DPSC populations. These characteristics may ultimately be used to selectively screen and isolate high proliferative capacity/multi-potent DPSCs for regenerative medicine exploitation.</p>\",\"PeriodicalId\":9051,\"journal\":{\"name\":\"BMC Cell Biology\",\"volume\":\" \",\"pages\":\"12\"},\"PeriodicalIF\":0.0000,\"publicationDate\":\"2017-02-02\",\"publicationTypes\":\"Journal Article\",\"fieldsOfStudy\":null,\"isOpenAccess\":false,\"openAccessPdf\":\"https://www.ncbi.nlm.nih.gov/pmc/articles/PMC5288874/pdf/\",\"citationCount\":\"0\",\"resultStr\":null,\"platform\":\"Semanticscholar\",\"paperid\":null,\"PeriodicalName\":\"BMC Cell Biology\",\"FirstCategoryId\":\"1085\",\"ListUrlMain\":\"https://doi.org/10.1186/s12860-017-0128-x\",\"RegionNum\":0,\"RegionCategory\":null,\"ArticlePicture\":[],\"TitleCN\":null,\"AbstractTextCN\":null,\"PMCID\":null,\"EPubDate\":\"\",\"PubModel\":\"\",\"JCR\":\"Q1\",\"JCRName\":\"Biochemistry, Genetics and Molecular Biology\",\"Score\":null,\"Total\":0}","platform":"Semanticscholar","paperid":null,"PeriodicalName":"BMC Cell Biology","FirstCategoryId":"1085","ListUrlMain":"https://doi.org/10.1186/s12860-017-0128-x","RegionNum":0,"RegionCategory":null,"ArticlePicture":[],"TitleCN":null,"AbstractTextCN":null,"PMCID":null,"EPubDate":"","PubModel":"","JCR":"Q1","JCRName":"Biochemistry, Genetics and Molecular Biology","Score":null,"Total":0}
引用次数: 0

摘要

背景:牙髓干细胞(DPSCs)越来越被认为是一种可行的再生医学细胞来源。尽管其体外扩增的显著差异已被证实,但DPSC增殖异质性仍然知之甚少,尽管这些特征影响了它们的再生和治疗潜力。本研究评估了克隆人类DPSC的再生潜力以及细胞衰老对这些反应的影响,以更好地了解DPSC的功能行为。结果:所有DPSCs均为hTERT阴性。虽然一个DPSC种群在衰老前达到了80个PDs,但其他种群仅达到60个PDs)。结论:本研究发现,增殖和再生异质性与DPSC群体之间端粒长度和CD271表达的差异有关。这些特征可能最终用于选择性筛选和分离高增殖能力/多能DPSCs用于再生医学开发。
本文章由计算机程序翻译,如有差异,请以英文原文为准。

Variation in human dental pulp stem cell ageing profiles reflect contrasting proliferative and regenerative capabilities.

Variation in human dental pulp stem cell ageing profiles reflect contrasting proliferative and regenerative capabilities.

Variation in human dental pulp stem cell ageing profiles reflect contrasting proliferative and regenerative capabilities.

Variation in human dental pulp stem cell ageing profiles reflect contrasting proliferative and regenerative capabilities.

Background: Dental pulp stem cells (DPSCs) are increasingly being recognized as a viable cell source for regenerative medicine. Although significant variations in their ex vivo expansion are well-established, DPSC proliferative heterogeneity remains poorly understood, despite such characteristics influencing their regenerative and therapeutic potential. This study assessed clonal human DPSC regenerative potential and the impact of cellular senescence on these responses, to better understand DPSC functional behaviour.

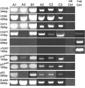
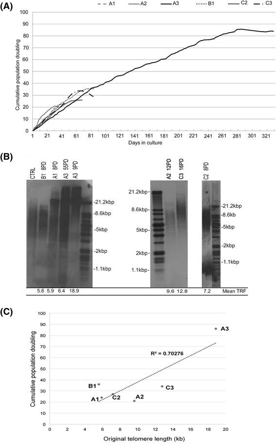
Results: All DPSCs were negative for hTERT. Whilst one DPSC population reached >80 PDs before senescence, other populations only achieved <40 PDs, correlating with DPSCs with high proliferative capacities possessing longer telomeres (18.9 kb) than less proliferative populations (5-13 kb). High proliferative capacity DPSCs exhibited prolonged stem cell marker expression, but lacked CD271. Early-onset senescence, stem cell marker loss and positive CD271 expression in DPSCs with low proliferative capacities were associated with impaired osteogenic and chondrogenic differentiation, favouring adipogenesis. DPSCs with high proliferative capacities only demonstrated impaired differentiation following prolonged expansion (>60 PDs).

Conclusions: This study has identified that proliferative and regenerative heterogeneity is related to contrasting telomere lengths and CD271 expression between DPSC populations. These characteristics may ultimately be used to selectively screen and isolate high proliferative capacity/multi-potent DPSCs for regenerative medicine exploitation.

求助全文
通过发布文献求助,成功后即可免费获取论文全文。 去求助
来源期刊
BMC Cell Biology
BMC Cell Biology 生物-细胞生物学
CiteScore
7.30
自引率
0.00%
发文量
0
审稿时长
12 months
期刊介绍: BMC Molecular and Cell Biology, formerly known as BMC Cell Biology, is an open access journal that considers articles on all aspects of both eukaryotic and prokaryotic cell and molecular biology, including structural and functional cell biology, DNA and RNA in a cellular context and biochemistry, as well as research using both the experimental and theoretical aspects of physics to study biological processes and investigations into the structure of biological macromolecules.
×
引用
GB/T 7714-2015
复制
MLA
复制
APA
复制
导出至
BibTeX EndNote RefMan NoteFirst NoteExpress
×
提示
您的信息不完整,为了账户安全,请先补充。
现在去补充
×
提示
您因"违规操作"
具体请查看互助需知
我知道了
×
提示
确定
请完成安全验证×
copy
已复制链接
快去分享给好友吧!
我知道了
右上角分享
点击右上角分享
0
联系我们:info@booksci.cn Book学术提供免费学术资源搜索服务,方便国内外学者检索中英文文献。致力于提供最便捷和优质的服务体验。 Copyright © 2023 布克学术 All rights reserved.
京ICP备2023020795号-1
ghs 京公网安备 11010802042870号
Book学术文献互助
Book学术文献互助群
群 号:604180095
Book学术官方微信