三维适形质子治疗、调强质子治疗和调强光子治疗腹膜后肉瘤的比较

Q2 Medicine
Sarcoma Pub Date : 2022-03-19 eCollection Date: 2022-01-01 DOI:10.1155/2022/5540615
Christine Chung, Alexei Trofimov, Judith Adams, Jong Kung, David G Kirsch, Sam Yoon, Karen Doppke, Thomas Bortfeld, Thomas F Delaney
{"title":"三维适形质子治疗、调强质子治疗和调强光子治疗腹膜后肉瘤的比较","authors":"Christine Chung, Alexei Trofimov, Judith Adams, Jong Kung, David G Kirsch, Sam Yoon, Karen Doppke, Thomas Bortfeld, Thomas F Delaney","doi":"10.1155/2022/5540615","DOIUrl":null,"url":null,"abstract":"<p><strong>Background: </strong>External beam radiation therapy (RT) for retroperitoneal sarcoma often requires treatment of large target volumes close to critical normal tissues. Radiation may be limited by adjacent organs at risk (OAR). Intensity-modulated radiation therapy has been shown to improve target coverage and reduce doses to OAR.</p><p><strong>Objectives: </strong>To compare target coverage and dose to OAR with 3D conformal proton therapy (3D CPT), intensity-modulated proton therapy (IMPT), and intensity-modulated photon therapy (IMXT).</p><p><strong>Methods: </strong>We performed a comparative study of treatment plans with 3D CPT, IMPT, and IMXT for ten patients with retroperitoneal sarcomas. RT was delivered to 50.4 Gy to the clinical target volume (CTV), the structures considered at risk for microscopic disease.</p><p><strong>Results: </strong>CTVs ranged from 74 to 357 cc (mean 188 cc). Dose conformity was improved with IMPT, while 3D CPT provided better dose homogeneity. Mean dose to the liver, small bowel, and stomach was reduced with IMPT compared with 3D CPT or IMXT.</p><p><strong>Conclusions: </strong>IMPT, 3D CPT, and IMXT provide excellent target coverage for retroperitoneal sarcomas. OAR dose is lower with IMPT and 3D CPT, and IMPT achieves the closest conformity. These techniques offer the opportunity for further dose escalation to areas with positive margins.</p>","PeriodicalId":21431,"journal":{"name":"Sarcoma","volume":" ","pages":"5540615"},"PeriodicalIF":0.0000,"publicationDate":"2022-03-19","publicationTypes":"Journal Article","fieldsOfStudy":null,"isOpenAccess":false,"openAccessPdf":"https://www.ncbi.nlm.nih.gov/pmc/articles/PMC8957461/pdf/","citationCount":"0","resultStr":"{\"title\":\"Comparison of 3D Conformal Proton Therapy, Intensity-Modulated Proton Therapy, and Intensity-Modulated Photon Therapy for Retroperitoneal Sarcoma.\",\"authors\":\"Christine Chung, Alexei Trofimov, Judith Adams, Jong Kung, David G Kirsch, Sam Yoon, Karen Doppke, Thomas Bortfeld, Thomas F Delaney\",\"doi\":\"10.1155/2022/5540615\",\"DOIUrl\":null,\"url\":null,\"abstract\":\"<p><strong>Background: </strong>External beam radiation therapy (RT) for retroperitoneal sarcoma often requires treatment of large target volumes close to critical normal tissues. Radiation may be limited by adjacent organs at risk (OAR). Intensity-modulated radiation therapy has been shown to improve target coverage and reduce doses to OAR.</p><p><strong>Objectives: </strong>To compare target coverage and dose to OAR with 3D conformal proton therapy (3D CPT), intensity-modulated proton therapy (IMPT), and intensity-modulated photon therapy (IMXT).</p><p><strong>Methods: </strong>We performed a comparative study of treatment plans with 3D CPT, IMPT, and IMXT for ten patients with retroperitoneal sarcomas. RT was delivered to 50.4 Gy to the clinical target volume (CTV), the structures considered at risk for microscopic disease.</p><p><strong>Results: </strong>CTVs ranged from 74 to 357 cc (mean 188 cc). Dose conformity was improved with IMPT, while 3D CPT provided better dose homogeneity. Mean dose to the liver, small bowel, and stomach was reduced with IMPT compared with 3D CPT or IMXT.</p><p><strong>Conclusions: </strong>IMPT, 3D CPT, and IMXT provide excellent target coverage for retroperitoneal sarcomas. OAR dose is lower with IMPT and 3D CPT, and IMPT achieves the closest conformity. These techniques offer the opportunity for further dose escalation to areas with positive margins.</p>\",\"PeriodicalId\":21431,\"journal\":{\"name\":\"Sarcoma\",\"volume\":\" \",\"pages\":\"5540615\"},\"PeriodicalIF\":0.0000,\"publicationDate\":\"2022-03-19\",\"publicationTypes\":\"Journal Article\",\"fieldsOfStudy\":null,\"isOpenAccess\":false,\"openAccessPdf\":\"https://www.ncbi.nlm.nih.gov/pmc/articles/PMC8957461/pdf/\",\"citationCount\":\"0\",\"resultStr\":null,\"platform\":\"Semanticscholar\",\"paperid\":null,\"PeriodicalName\":\"Sarcoma\",\"FirstCategoryId\":\"1085\",\"ListUrlMain\":\"https://doi.org/10.1155/2022/5540615\",\"RegionNum\":0,\"RegionCategory\":null,\"ArticlePicture\":[],\"TitleCN\":null,\"AbstractTextCN\":null,\"PMCID\":null,\"EPubDate\":\"2022/1/1 0:00:00\",\"PubModel\":\"eCollection\",\"JCR\":\"Q2\",\"JCRName\":\"Medicine\",\"Score\":null,\"Total\":0}","platform":"Semanticscholar","paperid":null,"PeriodicalName":"Sarcoma","FirstCategoryId":"1085","ListUrlMain":"https://doi.org/10.1155/2022/5540615","RegionNum":0,"RegionCategory":null,"ArticlePicture":[],"TitleCN":null,"AbstractTextCN":null,"PMCID":null,"EPubDate":"2022/1/1 0:00:00","PubModel":"eCollection","JCR":"Q2","JCRName":"Medicine","Score":null,"Total":0}
引用次数: 0

摘要

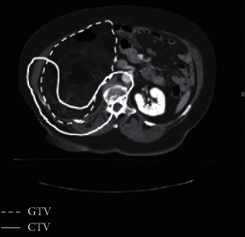
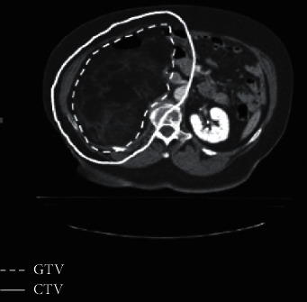
背景腹膜后肉瘤的外束放射治疗(RT)通常需要治疗接近关键正常组织的大靶体积。辐射可能受到邻近危险器官(OAR)的限制。调强放射治疗已被证明可以提高目标覆盖率并减少OAR的剂量。目的比较三维适形质子治疗(3DCPT)、强度调制质子治疗(IMPT)和强度调制光子治疗(IMXT)对OAR的靶向覆盖率和剂量。方法我们对10例腹膜后肉瘤患者的3DCPT、IMPT和IMXT治疗方案进行了比较研究。RT交付至50.4 Gy到临床目标体积(CTV),即被认为有显微镜疾病风险的结构。结果CTV介于74到357之间 cc(平均188 cc)。IMPT改善了剂量一致性,而3DCPT提供了更好的剂量均匀性。与3D CPT或IMXT相比,IMPT减少了肝脏、小肠和胃的平均剂量。结论IMPT、3DCPT和IMXT为腹膜后肉瘤提供了良好的靶点覆盖。IMPT和3D CPT的OAR剂量较低,并且IMPT实现了最接近的一致性。这些技术为剂量进一步增加到具有正边缘的区域提供了机会。
本文章由计算机程序翻译,如有差异,请以英文原文为准。

Comparison of 3D Conformal Proton Therapy, Intensity-Modulated Proton Therapy, and Intensity-Modulated Photon Therapy for Retroperitoneal Sarcoma.

Comparison of 3D Conformal Proton Therapy, Intensity-Modulated Proton Therapy, and Intensity-Modulated Photon Therapy for Retroperitoneal Sarcoma.

Comparison of 3D Conformal Proton Therapy, Intensity-Modulated Proton Therapy, and Intensity-Modulated Photon Therapy for Retroperitoneal Sarcoma.

Comparison of 3D Conformal Proton Therapy, Intensity-Modulated Proton Therapy, and Intensity-Modulated Photon Therapy for Retroperitoneal Sarcoma.

Background: External beam radiation therapy (RT) for retroperitoneal sarcoma often requires treatment of large target volumes close to critical normal tissues. Radiation may be limited by adjacent organs at risk (OAR). Intensity-modulated radiation therapy has been shown to improve target coverage and reduce doses to OAR.

Objectives: To compare target coverage and dose to OAR with 3D conformal proton therapy (3D CPT), intensity-modulated proton therapy (IMPT), and intensity-modulated photon therapy (IMXT).

Methods: We performed a comparative study of treatment plans with 3D CPT, IMPT, and IMXT for ten patients with retroperitoneal sarcomas. RT was delivered to 50.4 Gy to the clinical target volume (CTV), the structures considered at risk for microscopic disease.

Results: CTVs ranged from 74 to 357 cc (mean 188 cc). Dose conformity was improved with IMPT, while 3D CPT provided better dose homogeneity. Mean dose to the liver, small bowel, and stomach was reduced with IMPT compared with 3D CPT or IMXT.

Conclusions: IMPT, 3D CPT, and IMXT provide excellent target coverage for retroperitoneal sarcomas. OAR dose is lower with IMPT and 3D CPT, and IMPT achieves the closest conformity. These techniques offer the opportunity for further dose escalation to areas with positive margins.

求助全文
通过发布文献求助,成功后即可免费获取论文全文。 去求助
来源期刊
Sarcoma
Sarcoma Medicine-Radiology, Nuclear Medicine and Imaging
CiteScore
5.00
自引率
0.00%
发文量
15
审稿时长
14 weeks
期刊介绍: Sarcoma is dedicated to publishing papers covering all aspects of connective tissue oncology research. It brings together work from scientists and clinicians carrying out a broad range of research in this field, including the basic sciences, molecular biology and pathology and the clinical sciences of epidemiology, surgery, radiotherapy and chemotherapy. High-quality papers concerning the entire range of bone and soft tissue sarcomas in both adults and children, including Kaposi"s sarcoma, are published as well as preclinical and animal studies. This journal provides a central forum for the description of advances in diagnosis, assessment and treatment of this rarely seen, but often mismanaged, group of patients.
×
引用
GB/T 7714-2015
复制
MLA
复制
APA
复制
导出至
BibTeX EndNote RefMan NoteFirst NoteExpress
×
提示
您的信息不完整,为了账户安全,请先补充。
现在去补充
×
提示
您因"违规操作"
具体请查看互助需知
我知道了
×
提示
确定
请完成安全验证×
copy
已复制链接
快去分享给好友吧!
我知道了
右上角分享
点击右上角分享
0
联系我们:info@booksci.cn Book学术提供免费学术资源搜索服务,方便国内外学者检索中英文文献。致力于提供最便捷和优质的服务体验。 Copyright © 2023 布克学术 All rights reserved.
京ICP备2023020795号-1
ghs 京公网安备 11010802042870号
Book学术文献互助
Book学术文献互助群
群 号:604180095
Book学术官方微信