脑胶质母细胞瘤合并严重失语症患者的苏醒手术1例报告

Neurosurgery open Pub Date : 2023-02-09 eCollection Date: 2023-03-01 DOI:10.1227/neuprac.0000000000000029
Daisuke Kawauchi, Aiko Matsuoka, Makoto Ohno, Yasuji Miyakita, Masamichi Takahashi, Shunsuke Yanagisawa, Yukie Tamura, Miyu Kikuchi, Takahiro Naka, Tetsufumi Sato, Yoshitaka Narita
{"title":"脑胶质母细胞瘤合并严重失语症患者的苏醒手术1例报告","authors":"Daisuke Kawauchi, Aiko Matsuoka, Makoto Ohno, Yasuji Miyakita, Masamichi Takahashi, Shunsuke Yanagisawa, Yukie Tamura, Miyu Kikuchi, Takahiro Naka, Tetsufumi Sato, Yoshitaka Narita","doi":"10.1227/neuprac.0000000000000029","DOIUrl":null,"url":null,"abstract":"<p><strong>Background and importance: </strong>Patients with severe aphasia rarely become candidates for awake surgery because the intraoperative tasks of awake surgery for patients with aphasia have not been established.</p><p><strong>Clinical presentation: </strong>A 50-year-old, right-handed woman presented with recurrent glioblastoma invading her left superior temporal gyrus and inferior parietal lobule. She had severe aphasia, as she could barely verbalize her own name. However, we noticed that she could sing nursery rhymes with simple melodies and applied her singing ability as an axis of awake surgery. During awake surgery, she continuously sang simple songs to detect language dysfunction. As a result, 90% of the tumor was resected, preserving her language function and allowing for improvement. She was discharged 9 days after surgery without further neurological deterioration.</p><p><strong>Conclusion: </strong>Awake surgery is usually not indicated in patients with severe aphasia. However, for patients with aphasia who retain the ability to sing, intraoperative singing could be a possible alternative to maximize tumor resection while minimizing neurological dysfunction.</p>","PeriodicalId":93342,"journal":{"name":"Neurosurgery open","volume":" ","pages":"e00029"},"PeriodicalIF":0.0000,"publicationDate":"2023-02-09","publicationTypes":"Journal Article","fieldsOfStudy":null,"isOpenAccess":false,"openAccessPdf":"https://www.ncbi.nlm.nih.gov/pmc/articles/PMC11809968/pdf/","citationCount":"0","resultStr":"{\"title\":\"Awake Surgery for a Patient With Glioblastoma and Severe Aphasia: Case Report.\",\"authors\":\"Daisuke Kawauchi, Aiko Matsuoka, Makoto Ohno, Yasuji Miyakita, Masamichi Takahashi, Shunsuke Yanagisawa, Yukie Tamura, Miyu Kikuchi, Takahiro Naka, Tetsufumi Sato, Yoshitaka Narita\",\"doi\":\"10.1227/neuprac.0000000000000029\",\"DOIUrl\":null,\"url\":null,\"abstract\":\"<p><strong>Background and importance: </strong>Patients with severe aphasia rarely become candidates for awake surgery because the intraoperative tasks of awake surgery for patients with aphasia have not been established.</p><p><strong>Clinical presentation: </strong>A 50-year-old, right-handed woman presented with recurrent glioblastoma invading her left superior temporal gyrus and inferior parietal lobule. She had severe aphasia, as she could barely verbalize her own name. However, we noticed that she could sing nursery rhymes with simple melodies and applied her singing ability as an axis of awake surgery. During awake surgery, she continuously sang simple songs to detect language dysfunction. As a result, 90% of the tumor was resected, preserving her language function and allowing for improvement. She was discharged 9 days after surgery without further neurological deterioration.</p><p><strong>Conclusion: </strong>Awake surgery is usually not indicated in patients with severe aphasia. However, for patients with aphasia who retain the ability to sing, intraoperative singing could be a possible alternative to maximize tumor resection while minimizing neurological dysfunction.</p>\",\"PeriodicalId\":93342,\"journal\":{\"name\":\"Neurosurgery open\",\"volume\":\" \",\"pages\":\"e00029\"},\"PeriodicalIF\":0.0000,\"publicationDate\":\"2023-02-09\",\"publicationTypes\":\"Journal Article\",\"fieldsOfStudy\":null,\"isOpenAccess\":false,\"openAccessPdf\":\"https://www.ncbi.nlm.nih.gov/pmc/articles/PMC11809968/pdf/\",\"citationCount\":\"0\",\"resultStr\":null,\"platform\":\"Semanticscholar\",\"paperid\":null,\"PeriodicalName\":\"Neurosurgery open\",\"FirstCategoryId\":\"1085\",\"ListUrlMain\":\"https://doi.org/10.1227/neuprac.0000000000000029\",\"RegionNum\":0,\"RegionCategory\":null,\"ArticlePicture\":[],\"TitleCN\":null,\"AbstractTextCN\":null,\"PMCID\":null,\"EPubDate\":\"2023/3/1 0:00:00\",\"PubModel\":\"eCollection\",\"JCR\":\"\",\"JCRName\":\"\",\"Score\":null,\"Total\":0}","platform":"Semanticscholar","paperid":null,"PeriodicalName":"Neurosurgery open","FirstCategoryId":"1085","ListUrlMain":"https://doi.org/10.1227/neuprac.0000000000000029","RegionNum":0,"RegionCategory":null,"ArticlePicture":[],"TitleCN":null,"AbstractTextCN":null,"PMCID":null,"EPubDate":"2023/3/1 0:00:00","PubModel":"eCollection","JCR":"","JCRName":"","Score":null,"Total":0}
引用次数: 0

摘要

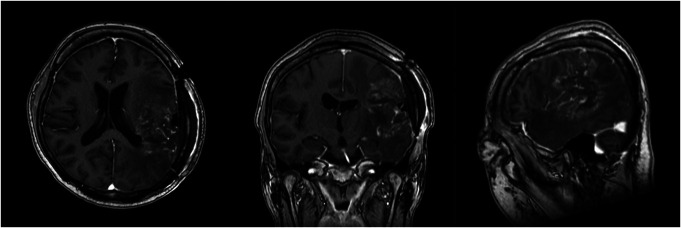
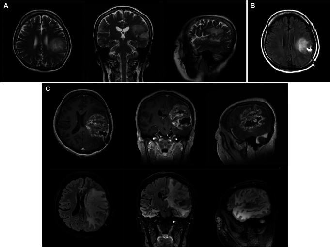
背景和重要性:严重失语症患者很少成为清醒手术的候选人,因为失语症患者的清醒手术术中任务尚未建立。临床表现:一位50岁的右撇子女性,因复发性胶质母细胞瘤侵犯左侧颞上回和下顶叶。她患有严重的失语症,因为她几乎不能说出自己的名字。然而,我们注意到她可以用简单的旋律唱童谣,并将她的唱歌能力作为清醒手术的轴心。在清醒的手术过程中,她不断地唱一些简单的歌曲来检测语言功能障碍。结果,90%的肿瘤被切除,保留了她的语言功能,并允许改善。术后9天出院,神经系统无进一步恶化。结论:严重失语症患者通常不需要清醒手术。然而,对于保留唱歌能力的失语症患者,术中唱歌可能是最大限度地切除肿瘤同时最小化神经功能障碍的一种可能的选择。
本文章由计算机程序翻译,如有差异,请以英文原文为准。

Awake Surgery for a Patient With Glioblastoma and Severe Aphasia: Case Report.

Awake Surgery for a Patient With Glioblastoma and Severe Aphasia: Case Report.

Awake Surgery for a Patient With Glioblastoma and Severe Aphasia: Case Report.

Awake Surgery for a Patient With Glioblastoma and Severe Aphasia: Case Report.

Background and importance: Patients with severe aphasia rarely become candidates for awake surgery because the intraoperative tasks of awake surgery for patients with aphasia have not been established.

Clinical presentation: A 50-year-old, right-handed woman presented with recurrent glioblastoma invading her left superior temporal gyrus and inferior parietal lobule. She had severe aphasia, as she could barely verbalize her own name. However, we noticed that she could sing nursery rhymes with simple melodies and applied her singing ability as an axis of awake surgery. During awake surgery, she continuously sang simple songs to detect language dysfunction. As a result, 90% of the tumor was resected, preserving her language function and allowing for improvement. She was discharged 9 days after surgery without further neurological deterioration.

Conclusion: Awake surgery is usually not indicated in patients with severe aphasia. However, for patients with aphasia who retain the ability to sing, intraoperative singing could be a possible alternative to maximize tumor resection while minimizing neurological dysfunction.

求助全文
通过发布文献求助,成功后即可免费获取论文全文。 去求助
来源期刊
自引率
0.00%
发文量
0
×
引用
GB/T 7714-2015
复制
MLA
复制
APA
复制
导出至
BibTeX EndNote RefMan NoteFirst NoteExpress
×
提示
您的信息不完整,为了账户安全,请先补充。
现在去补充
×
提示
您因"违规操作"
具体请查看互助需知
我知道了
×
提示
确定
请完成安全验证×
copy
已复制链接
快去分享给好友吧!
我知道了
右上角分享
点击右上角分享
0
联系我们:info@booksci.cn Book学术提供免费学术资源搜索服务,方便国内外学者检索中英文文献。致力于提供最便捷和优质的服务体验。 Copyright © 2023 布克学术 All rights reserved.
京ICP备2023020795号-1
ghs 京公网安备 11010802042870号
Book学术文献互助
Book学术文献互助群
群 号:604180095
Book学术官方微信