肉芽肿性前列腺炎:模仿局部晚期前列腺癌。

Domenico Mannatrizio, Laura Eusebi, Mamhmoud Yehia, Alessandra Filosa, Giuseppe Guglielmi
{"title":"肉芽肿性前列腺炎:模仿局部晚期前列腺癌。","authors":"Domenico Mannatrizio, Laura Eusebi, Mamhmoud Yehia, Alessandra Filosa, Giuseppe Guglielmi","doi":"10.23750/abm.v94i5.13751","DOIUrl":null,"url":null,"abstract":"<p><p>We report the case of a 63-year-old male who came to the urology clinic with an increasing value of the prostate specific antigen and an asymmetrical enlargement at the digital rectal examination. The man was subjected to an MRI of the prostate following which a convincing radiological diagnosis of prostate cancer was made. The patient was assigned a provisional stage of disease T3a N0. In order to confirm this diagnosis, a prostate biopsy was performed but the histological analysis reported non-specific granulomatous prostatitis (GP). It is an uncommon condition that both clinically and radiologically on TRUS and MRI usually mimics prostate cancer (PCa), representing a diagnostic challenge due to its non-specific symptoms and aspecific radiological findings. In this case report we discuss the magnetic resonance imaging features of this rare clinical condition in order to help radiologists in the timely diagnosis for a correct diagnostic framing.</p>","PeriodicalId":93849,"journal":{"name":"Acta bio-medica : Atenei Parmensis","volume":"94 5","pages":"e2023245"},"PeriodicalIF":0.0000,"publicationDate":"2023-10-17","publicationTypes":"Journal Article","fieldsOfStudy":null,"isOpenAccess":false,"openAccessPdf":"https://www.ncbi.nlm.nih.gov/pmc/articles/PMC10644919/pdf/","citationCount":"0","resultStr":"{\"title\":\"Granulomatous prostatitis: mimicking locally advanced prostate adenocarcinoma.\",\"authors\":\"Domenico Mannatrizio, Laura Eusebi, Mamhmoud Yehia, Alessandra Filosa, Giuseppe Guglielmi\",\"doi\":\"10.23750/abm.v94i5.13751\",\"DOIUrl\":null,\"url\":null,\"abstract\":\"<p><p>We report the case of a 63-year-old male who came to the urology clinic with an increasing value of the prostate specific antigen and an asymmetrical enlargement at the digital rectal examination. The man was subjected to an MRI of the prostate following which a convincing radiological diagnosis of prostate cancer was made. The patient was assigned a provisional stage of disease T3a N0. In order to confirm this diagnosis, a prostate biopsy was performed but the histological analysis reported non-specific granulomatous prostatitis (GP). It is an uncommon condition that both clinically and radiologically on TRUS and MRI usually mimics prostate cancer (PCa), representing a diagnostic challenge due to its non-specific symptoms and aspecific radiological findings. In this case report we discuss the magnetic resonance imaging features of this rare clinical condition in order to help radiologists in the timely diagnosis for a correct diagnostic framing.</p>\",\"PeriodicalId\":93849,\"journal\":{\"name\":\"Acta bio-medica : Atenei Parmensis\",\"volume\":\"94 5\",\"pages\":\"e2023245\"},\"PeriodicalIF\":0.0000,\"publicationDate\":\"2023-10-17\",\"publicationTypes\":\"Journal Article\",\"fieldsOfStudy\":null,\"isOpenAccess\":false,\"openAccessPdf\":\"https://www.ncbi.nlm.nih.gov/pmc/articles/PMC10644919/pdf/\",\"citationCount\":\"0\",\"resultStr\":null,\"platform\":\"Semanticscholar\",\"paperid\":null,\"PeriodicalName\":\"Acta bio-medica : Atenei Parmensis\",\"FirstCategoryId\":\"1085\",\"ListUrlMain\":\"https://doi.org/10.23750/abm.v94i5.13751\",\"RegionNum\":0,\"RegionCategory\":null,\"ArticlePicture\":[],\"TitleCN\":null,\"AbstractTextCN\":null,\"PMCID\":null,\"EPubDate\":\"\",\"PubModel\":\"\",\"JCR\":\"\",\"JCRName\":\"\",\"Score\":null,\"Total\":0}","platform":"Semanticscholar","paperid":null,"PeriodicalName":"Acta bio-medica : Atenei Parmensis","FirstCategoryId":"1085","ListUrlMain":"https://doi.org/10.23750/abm.v94i5.13751","RegionNum":0,"RegionCategory":null,"ArticlePicture":[],"TitleCN":null,"AbstractTextCN":null,"PMCID":null,"EPubDate":"","PubModel":"","JCR":"","JCRName":"","Score":null,"Total":0}
引用次数: 0

摘要

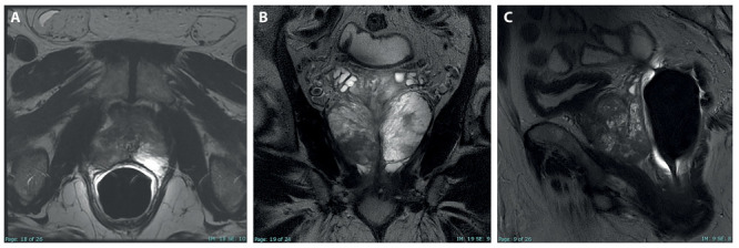
我们报告了一例63岁的男性患者,他来到泌尿外科诊所,前列腺特异性抗原值增加,直肠指检时不对称增大。该男子接受了前列腺MRI检查,随后对前列腺癌症进行了令人信服的放射学诊断。患者被指定为T3a N0疾病的临时阶段。为了证实这一诊断,进行了前列腺活检,但组织学分析报告了非特异性肉芽肿性前列腺炎(GP)。TRUS和MRI在临床和放射学上通常模拟前列腺癌症(PCa),这是一种罕见的情况,由于其非特异性症状和特定的放射学发现,这是诊断挑战。在本病例报告中,我们讨论了这种罕见临床疾病的磁共振成像特征,以帮助放射科医生及时诊断,获得正确的诊断框架。
本文章由计算机程序翻译,如有差异,请以英文原文为准。

Granulomatous prostatitis: mimicking locally advanced prostate adenocarcinoma.

Granulomatous prostatitis: mimicking locally advanced prostate adenocarcinoma.

Granulomatous prostatitis: mimicking locally advanced prostate adenocarcinoma.

Granulomatous prostatitis: mimicking locally advanced prostate adenocarcinoma.

We report the case of a 63-year-old male who came to the urology clinic with an increasing value of the prostate specific antigen and an asymmetrical enlargement at the digital rectal examination. The man was subjected to an MRI of the prostate following which a convincing radiological diagnosis of prostate cancer was made. The patient was assigned a provisional stage of disease T3a N0. In order to confirm this diagnosis, a prostate biopsy was performed but the histological analysis reported non-specific granulomatous prostatitis (GP). It is an uncommon condition that both clinically and radiologically on TRUS and MRI usually mimics prostate cancer (PCa), representing a diagnostic challenge due to its non-specific symptoms and aspecific radiological findings. In this case report we discuss the magnetic resonance imaging features of this rare clinical condition in order to help radiologists in the timely diagnosis for a correct diagnostic framing.

求助全文
通过发布文献求助,成功后即可免费获取论文全文。 去求助
来源期刊
自引率
0.00%
发文量
0
×
引用
GB/T 7714-2015
复制
MLA
复制
APA
复制
导出至
BibTeX EndNote RefMan NoteFirst NoteExpress
×
提示
您的信息不完整,为了账户安全,请先补充。
现在去补充
×
提示
您因"违规操作"
具体请查看互助需知
我知道了
×
提示
确定
请完成安全验证×
copy
已复制链接
快去分享给好友吧!
我知道了
右上角分享
点击右上角分享
0
联系我们:info@booksci.cn Book学术提供免费学术资源搜索服务,方便国内外学者检索中英文文献。致力于提供最便捷和优质的服务体验。 Copyright © 2023 布克学术 All rights reserved.
京ICP备2023020795号-1
ghs 京公网安备 11010802042870号
Book学术文献互助
Book学术文献互助群
群 号:604180095
Book学术官方微信