源自增生性脉络膜前动脉的破裂动脉瘤的线圈栓塞和复发。

Susy Youn, Sang Kyu Park, Min Jeoung Kim
{"title":"源自增生性脉络膜前动脉的破裂动脉瘤的线圈栓塞和复发。","authors":"Susy Youn, Sang Kyu Park, Min Jeoung Kim","doi":"10.7461/jcen.2023.E2023.08.003","DOIUrl":null,"url":null,"abstract":"<p><p>Hyperplastic anterior choroidal artery (AchA) is an extremely rare congenital vascular variant that can be mistaken for other cerebral arteries. This case report presents a 38-year-old man who presented with a severe sudden-onset headache and was diagnosed with a ruptured aneurysm originating from a hyperplastic AchA. The aneurysm was successfully treated with coil embolization, but recurrence was detected after eight months, leading to additional surgical intervention. The discussion highlights the classification of hyperplastic AchA and emphasizes the importance of recognizing this anatomical variant to avoid complications during treatment. This case report underscores the need for awareness and understanding of hyperplastic AchA in the management of cerebral aneurysms.</p>","PeriodicalId":94072,"journal":{"name":"Journal of cerebrovascular and endovascular neurosurgery","volume":" ","pages":"181-186"},"PeriodicalIF":0.0000,"publicationDate":"2024-06-01","publicationTypes":"Journal Article","fieldsOfStudy":null,"isOpenAccess":false,"openAccessPdf":"https://www.ncbi.nlm.nih.gov/pmc/articles/PMC11220297/pdf/","citationCount":"0","resultStr":"{\"title\":\"Coil embolization and recurrence of ruptured aneurysm originating from hyperplastic anterior choroidal artery.\",\"authors\":\"Susy Youn, Sang Kyu Park, Min Jeoung Kim\",\"doi\":\"10.7461/jcen.2023.E2023.08.003\",\"DOIUrl\":null,\"url\":null,\"abstract\":\"<p><p>Hyperplastic anterior choroidal artery (AchA) is an extremely rare congenital vascular variant that can be mistaken for other cerebral arteries. This case report presents a 38-year-old man who presented with a severe sudden-onset headache and was diagnosed with a ruptured aneurysm originating from a hyperplastic AchA. The aneurysm was successfully treated with coil embolization, but recurrence was detected after eight months, leading to additional surgical intervention. The discussion highlights the classification of hyperplastic AchA and emphasizes the importance of recognizing this anatomical variant to avoid complications during treatment. This case report underscores the need for awareness and understanding of hyperplastic AchA in the management of cerebral aneurysms.</p>\",\"PeriodicalId\":94072,\"journal\":{\"name\":\"Journal of cerebrovascular and endovascular neurosurgery\",\"volume\":\" \",\"pages\":\"181-186\"},\"PeriodicalIF\":0.0000,\"publicationDate\":\"2024-06-01\",\"publicationTypes\":\"Journal Article\",\"fieldsOfStudy\":null,\"isOpenAccess\":false,\"openAccessPdf\":\"https://www.ncbi.nlm.nih.gov/pmc/articles/PMC11220297/pdf/\",\"citationCount\":\"0\",\"resultStr\":null,\"platform\":\"Semanticscholar\",\"paperid\":null,\"PeriodicalName\":\"Journal of cerebrovascular and endovascular neurosurgery\",\"FirstCategoryId\":\"1085\",\"ListUrlMain\":\"https://doi.org/10.7461/jcen.2023.E2023.08.003\",\"RegionNum\":0,\"RegionCategory\":null,\"ArticlePicture\":[],\"TitleCN\":null,\"AbstractTextCN\":null,\"PMCID\":null,\"EPubDate\":\"2023/10/10 0:00:00\",\"PubModel\":\"Epub\",\"JCR\":\"\",\"JCRName\":\"\",\"Score\":null,\"Total\":0}","platform":"Semanticscholar","paperid":null,"PeriodicalName":"Journal of cerebrovascular and endovascular neurosurgery","FirstCategoryId":"1085","ListUrlMain":"https://doi.org/10.7461/jcen.2023.E2023.08.003","RegionNum":0,"RegionCategory":null,"ArticlePicture":[],"TitleCN":null,"AbstractTextCN":null,"PMCID":null,"EPubDate":"2023/10/10 0:00:00","PubModel":"Epub","JCR":"","JCRName":"","Score":null,"Total":0}
引用次数: 0

摘要

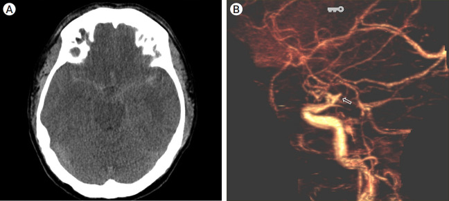
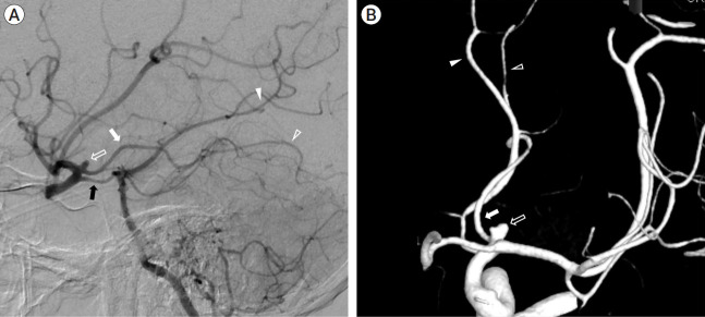
增生性脉络膜前动脉(AchA)是一种极为罕见的先天性血管变体,可被误认为是其他脑动脉。本病例报告介绍了一名38岁的男子,他表现出严重的突发性头痛,并被诊断为由增生性AchA引起的动脉瘤破裂。动脉瘤用线圈栓塞成功治疗,但8个月后发现复发,需要额外的手术干预。讨论强调了增生性AchA的分类,并强调了识别这种解剖变异以避免治疗过程中并发症的重要性。本病例报告强调了在脑动脉瘤治疗中对增生性AchA的认识和理解的必要性。
本文章由计算机程序翻译,如有差异,请以英文原文为准。

Coil embolization and recurrence of ruptured aneurysm originating from hyperplastic anterior choroidal artery.

Coil embolization and recurrence of ruptured aneurysm originating from hyperplastic anterior choroidal artery.

Coil embolization and recurrence of ruptured aneurysm originating from hyperplastic anterior choroidal artery.

Coil embolization and recurrence of ruptured aneurysm originating from hyperplastic anterior choroidal artery.

Hyperplastic anterior choroidal artery (AchA) is an extremely rare congenital vascular variant that can be mistaken for other cerebral arteries. This case report presents a 38-year-old man who presented with a severe sudden-onset headache and was diagnosed with a ruptured aneurysm originating from a hyperplastic AchA. The aneurysm was successfully treated with coil embolization, but recurrence was detected after eight months, leading to additional surgical intervention. The discussion highlights the classification of hyperplastic AchA and emphasizes the importance of recognizing this anatomical variant to avoid complications during treatment. This case report underscores the need for awareness and understanding of hyperplastic AchA in the management of cerebral aneurysms.

求助全文
通过发布文献求助,成功后即可免费获取论文全文。 去求助
来源期刊
CiteScore
1.10
自引率
0.00%
发文量
0
×
引用
GB/T 7714-2015
复制
MLA
复制
APA
复制
导出至
BibTeX EndNote RefMan NoteFirst NoteExpress
×
提示
您的信息不完整,为了账户安全,请先补充。
现在去补充
×
提示
您因"违规操作"
具体请查看互助需知
我知道了
×
提示
确定
请完成安全验证×
copy
已复制链接
快去分享给好友吧!
我知道了
右上角分享
点击右上角分享
0
联系我们:info@booksci.cn Book学术提供免费学术资源搜索服务,方便国内外学者检索中英文文献。致力于提供最便捷和优质的服务体验。 Copyright © 2023 布克学术 All rights reserved.
京ICP备2023020795号-1
ghs 京公网安备 11010802042870号
Book学术文献互助
Book学术文献互助群
群 号:604180095
Book学术官方微信