一名患有早发性中枢性糖尿病的8岁男孩因抗血友病-3A抗体检测呈阳性而被诊断为淋巴细胞性Infundbuloneuro垂体炎。

IF 1.5 4区 医学 Q4 ENDOCRINOLOGY & METABOLISM
Yukino Shoji, Yuki Naruse, Naoko Iwata, Haruki Fujisawa, Atsushi Suzuki, Yoshihisa Sugimura, Masato Mori, Ryugo Hiramoto
{"title":"一名患有早发性中枢性糖尿病的8岁男孩因抗血友病-3A抗体检测呈阳性而被诊断为淋巴细胞性Infundbuloneuro垂体炎。","authors":"Yukino Shoji, Yuki Naruse, Naoko Iwata, Haruki Fujisawa, Atsushi Suzuki, Yoshihisa Sugimura, Masato Mori, Ryugo Hiramoto","doi":"10.4274/jcrpe.galenos.2023.2023-5-7","DOIUrl":null,"url":null,"abstract":"<p><p>Childhood-onset lymphocytic infundibuloneurohypophysitis (LINH) has rarely been reported. Pathological evaluation via pituitary biopsy is necessary for a definitive diagnosis of LINH. However, pituitary biopsy is a highly invasive procedure. Recently, anti-rabphilin-3A antibody (RPH3A-Ab) has been reported as a promising diagnostic marker for LINH in adults but.there are few reports of this association in the pediatric population. We report the case of an 8-year-old boy with central diabetes insipidus (CDI) who was diagnosed clinically with LINH, based on RPH3A-Ab positivity. He was initially diagnosed with CDI using a water deprivation test combined with desmopressin administration. Serum and cerebrospinal fluid tumor markers were negative, and T1-weighted magnetic resonance imaging (MRI) revealed the absence of high signal intensity in the posterior pituitary gland and an enlarged pituitary stalk. Anterior pituitary function tests revealed no abnormalities. No pituitary biopsy was performed because of its invasive nature, and desmopressin treatment was initiated. Three months after the diagnosis of CDI, the patient tested positive for RPH3A-Ab. MRI performed nine months after CDI diagnosis revealed amelioration of the pituitary stalk enlargement, and this clinical course corroborated our diagnosis of LINH. RPH3A-Ab may be useful as an early diagnostic tool for LINH in the pediatric population.</p>","PeriodicalId":48805,"journal":{"name":"Journal of Clinical Research in Pediatric Endocrinology","volume":" ","pages":"332-336"},"PeriodicalIF":1.5000,"publicationDate":"2025-08-22","publicationTypes":"Journal Article","fieldsOfStudy":null,"isOpenAccess":false,"openAccessPdf":"https://www.ncbi.nlm.nih.gov/pmc/articles/PMC12372633/pdf/","citationCount":"0","resultStr":"{\"title\":\"Diagnosis of Lymphocytic Infundibuloneurohypophysitis After Positive Anti-rabphilin-3A Antibody Test in an 8-year-old Boy with Early-onset Central Diabetes Insipidus\",\"authors\":\"Yukino Shoji, Yuki Naruse, Naoko Iwata, Haruki Fujisawa, Atsushi Suzuki, Yoshihisa Sugimura, Masato Mori, Ryugo Hiramoto\",\"doi\":\"10.4274/jcrpe.galenos.2023.2023-5-7\",\"DOIUrl\":null,\"url\":null,\"abstract\":\"<p><p>Childhood-onset lymphocytic infundibuloneurohypophysitis (LINH) has rarely been reported. Pathological evaluation via pituitary biopsy is necessary for a definitive diagnosis of LINH. However, pituitary biopsy is a highly invasive procedure. Recently, anti-rabphilin-3A antibody (RPH3A-Ab) has been reported as a promising diagnostic marker for LINH in adults but.there are few reports of this association in the pediatric population. We report the case of an 8-year-old boy with central diabetes insipidus (CDI) who was diagnosed clinically with LINH, based on RPH3A-Ab positivity. He was initially diagnosed with CDI using a water deprivation test combined with desmopressin administration. Serum and cerebrospinal fluid tumor markers were negative, and T1-weighted magnetic resonance imaging (MRI) revealed the absence of high signal intensity in the posterior pituitary gland and an enlarged pituitary stalk. Anterior pituitary function tests revealed no abnormalities. No pituitary biopsy was performed because of its invasive nature, and desmopressin treatment was initiated. Three months after the diagnosis of CDI, the patient tested positive for RPH3A-Ab. MRI performed nine months after CDI diagnosis revealed amelioration of the pituitary stalk enlargement, and this clinical course corroborated our diagnosis of LINH. RPH3A-Ab may be useful as an early diagnostic tool for LINH in the pediatric population.</p>\",\"PeriodicalId\":48805,\"journal\":{\"name\":\"Journal of Clinical Research in Pediatric Endocrinology\",\"volume\":\" \",\"pages\":\"332-336\"},\"PeriodicalIF\":1.5000,\"publicationDate\":\"2025-08-22\",\"publicationTypes\":\"Journal Article\",\"fieldsOfStudy\":null,\"isOpenAccess\":false,\"openAccessPdf\":\"https://www.ncbi.nlm.nih.gov/pmc/articles/PMC12372633/pdf/\",\"citationCount\":\"0\",\"resultStr\":null,\"platform\":\"Semanticscholar\",\"paperid\":null,\"PeriodicalName\":\"Journal of Clinical Research in Pediatric Endocrinology\",\"FirstCategoryId\":\"3\",\"ListUrlMain\":\"https://doi.org/10.4274/jcrpe.galenos.2023.2023-5-7\",\"RegionNum\":4,\"RegionCategory\":\"医学\",\"ArticlePicture\":[],\"TitleCN\":null,\"AbstractTextCN\":null,\"PMCID\":null,\"EPubDate\":\"2023/9/25 0:00:00\",\"PubModel\":\"Epub\",\"JCR\":\"Q4\",\"JCRName\":\"ENDOCRINOLOGY & METABOLISM\",\"Score\":null,\"Total\":0}","platform":"Semanticscholar","paperid":null,"PeriodicalName":"Journal of Clinical Research in Pediatric Endocrinology","FirstCategoryId":"3","ListUrlMain":"https://doi.org/10.4274/jcrpe.galenos.2023.2023-5-7","RegionNum":4,"RegionCategory":"医学","ArticlePicture":[],"TitleCN":null,"AbstractTextCN":null,"PMCID":null,"EPubDate":"2023/9/25 0:00:00","PubModel":"Epub","JCR":"Q4","JCRName":"ENDOCRINOLOGY & METABOLISM","Score":null,"Total":0}
引用次数: 0

摘要

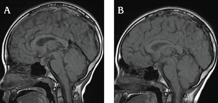
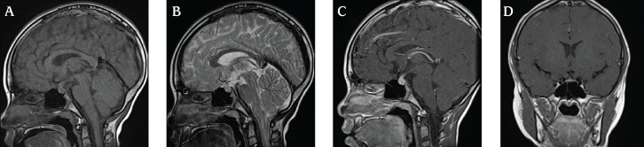
儿童期发作的淋巴细胞性漏斗状尿路垂体炎(LINH)很少报道。通过垂体活检进行病理学评估对于明确诊断LINH是必要的。然而,垂体活检是一种高度侵入性的手术。最近,抗Raphilin-3A抗体(RPH3A-Ab)已被报道为成人LINH的一种有前途的诊断标志物;然而,在儿科人群中很少有这样的报道。我们报告了一例患有中枢性尿崩症(CDI)的8岁男孩,根据RPH3A抗体阳性,他被临床诊断为LINH。他被诊断为CDI,使用脱水测试结合去氨加压素给药。血清和脑脊液肿瘤标志物均为阴性,T1加权磁共振成像(MRI)显示垂体后叶缺乏高信号强度,垂体柄增大。垂体前叶功能检查未发现异常。由于其侵袭性,未进行垂体活检,并开始使用去氨加压素治疗。CDI发病三个月后,患者RPH3A-Ab检测呈阳性。CDI发病9个月后进行的MRI检查显示垂体柄增大有所改善,临床过程证实了我们对LINH的诊断。RPH3A-Ab可能是儿科人群中LINH的早期诊断工具。
本文章由计算机程序翻译,如有差异,请以英文原文为准。

Diagnosis of Lymphocytic Infundibuloneurohypophysitis After Positive Anti-rabphilin-3A Antibody Test in an 8-year-old Boy with Early-onset Central Diabetes Insipidus

Diagnosis of Lymphocytic Infundibuloneurohypophysitis After Positive Anti-rabphilin-3A Antibody Test in an 8-year-old Boy with Early-onset Central Diabetes Insipidus

Diagnosis of Lymphocytic Infundibuloneurohypophysitis After Positive Anti-rabphilin-3A Antibody Test in an 8-year-old Boy with Early-onset Central Diabetes Insipidus

Diagnosis of Lymphocytic Infundibuloneurohypophysitis After Positive Anti-rabphilin-3A Antibody Test in an 8-year-old Boy with Early-onset Central Diabetes Insipidus

Childhood-onset lymphocytic infundibuloneurohypophysitis (LINH) has rarely been reported. Pathological evaluation via pituitary biopsy is necessary for a definitive diagnosis of LINH. However, pituitary biopsy is a highly invasive procedure. Recently, anti-rabphilin-3A antibody (RPH3A-Ab) has been reported as a promising diagnostic marker for LINH in adults but.there are few reports of this association in the pediatric population. We report the case of an 8-year-old boy with central diabetes insipidus (CDI) who was diagnosed clinically with LINH, based on RPH3A-Ab positivity. He was initially diagnosed with CDI using a water deprivation test combined with desmopressin administration. Serum and cerebrospinal fluid tumor markers were negative, and T1-weighted magnetic resonance imaging (MRI) revealed the absence of high signal intensity in the posterior pituitary gland and an enlarged pituitary stalk. Anterior pituitary function tests revealed no abnormalities. No pituitary biopsy was performed because of its invasive nature, and desmopressin treatment was initiated. Three months after the diagnosis of CDI, the patient tested positive for RPH3A-Ab. MRI performed nine months after CDI diagnosis revealed amelioration of the pituitary stalk enlargement, and this clinical course corroborated our diagnosis of LINH. RPH3A-Ab may be useful as an early diagnostic tool for LINH in the pediatric population.

求助全文
通过发布文献求助,成功后即可免费获取论文全文。 去求助
来源期刊
Journal of Clinical Research in Pediatric Endocrinology
Journal of Clinical Research in Pediatric Endocrinology ENDOCRINOLOGY & METABOLISM-PEDIATRICS
CiteScore
3.60
自引率
5.30%
发文量
73
审稿时长
20 weeks
期刊介绍: The Journal of Clinical Research in Pediatric Endocrinology (JCRPE) publishes original research articles, reviews, short communications, letters, case reports and other special features related to the field of pediatric endocrinology. JCRPE is published in English by the Turkish Pediatric Endocrinology and Diabetes Society quarterly (March, June, September, December). The target audience is physicians, researchers and other healthcare professionals in all areas of pediatric endocrinology.
×
引用
GB/T 7714-2015
复制
MLA
复制
APA
复制
导出至
BibTeX EndNote RefMan NoteFirst NoteExpress
×
提示
您的信息不完整,为了账户安全,请先补充。
现在去补充
×
提示
您因"违规操作"
具体请查看互助需知
我知道了
×
提示
确定
请完成安全验证×
copy
已复制链接
快去分享给好友吧!
我知道了
右上角分享
点击右上角分享
0
联系我们:info@booksci.cn Book学术提供免费学术资源搜索服务,方便国内外学者检索中英文文献。致力于提供最便捷和优质的服务体验。 Copyright © 2023 布克学术 All rights reserved.
京ICP备2023020795号-1
ghs 京公网安备 11010802042870号
Book学术文献互助
Book学术文献互助群
群 号:604180095
Book学术官方微信