孤立性肺毛细血管瘤:CT和PET-CT表现与临床病理的相关性。

IF 3.3
Min Ju Kim, Wonju Hong, Tae Jung Kim, Joungho Han, Yoon-La Choi, Joon Young Choi, Sang Min Lee, Sung Ho Hwang
{"title":"孤立性肺毛细血管瘤:CT和PET-CT表现与临床病理的相关性。","authors":"Min Ju Kim,&nbsp;Wonju Hong,&nbsp;Tae Jung Kim,&nbsp;Joungho Han,&nbsp;Yoon-La Choi,&nbsp;Joon Young Choi,&nbsp;Sang Min Lee,&nbsp;Sung Ho Hwang","doi":"10.3390/diagnostics12112618","DOIUrl":null,"url":null,"abstract":"<p><p>The aim of this study was to evaluate the CT and PET-CT features of solitary pulmonary capillary hemangioma (SPCH) with clinicopathologic correlations. This retrospective study included 17 patients with histologically proven SPCH from four tertiary institutions. The clinical, pathological and imaging findings of SPCH were reviewed. The CT features assessed included lesion location, size, density, contour, margin, enhancement, presence of air bronchogram, perivascular lucency and pleural retraction, and <sup>18</sup>F-fluorodeoxyglucose uptake on PET-CT. Changes in the size during the follow-up period were also evaluated. Imaging features were correlated with the clinicopathologic findings. The mean age of the patients was 47 years (range 30-60 years). All SPCHs were incidentally detected during screening CT examinations (<i>n</i> = 13, 76%) or during cancer work-up (<i>n</i> = 4, 24%). Most SPCHs appeared as part-solid nodules (<i>n</i> = 15, 88%), the remaining appeared as a pure ground-glass nodule or a pure solid nodule, respectively. Most had smooth contours (<i>n</i> = 16, 94%), while one had a lobulated contour. Nine SPCHs (53%) showed ill-defined margins. Air bronchogram was present in ten (59%) SPCHs, and perivascular lucency in two (12%). All SPCHs exhibited hypoattenuation on contrast-enhanced CT and hypometabolism on PET-CT. During the follow-up period (mean 14.8 ± 17.7 months), the lesions showed no change in size or density in ten SPCHs (59%), decreased or fluctuation in size and density in three (18%). SPCH is often incidentally detected in young and middle-aged adults, commonly as an ill-defined part-solid nodule that may accompany air bronchogram, perivascular lucency, and fluctuation in size or density on CT and hypometabolism on PET-CT.</p>","PeriodicalId":520604,"journal":{"name":"Diagnostics (Basel, Switzerland)","volume":" ","pages":""},"PeriodicalIF":3.3000,"publicationDate":"2022-10-28","publicationTypes":"Journal Article","fieldsOfStudy":null,"isOpenAccess":false,"openAccessPdf":"https://www.ncbi.nlm.nih.gov/pmc/articles/PMC9689303/pdf/","citationCount":"1","resultStr":"{\"title\":\"Solitary Pulmonary Capillary Hemangioma: CT and PET-CT Features with Clinicopathologic Correlation.\",\"authors\":\"Min Ju Kim,&nbsp;Wonju Hong,&nbsp;Tae Jung Kim,&nbsp;Joungho Han,&nbsp;Yoon-La Choi,&nbsp;Joon Young Choi,&nbsp;Sang Min Lee,&nbsp;Sung Ho Hwang\",\"doi\":\"10.3390/diagnostics12112618\",\"DOIUrl\":null,\"url\":null,\"abstract\":\"<p><p>The aim of this study was to evaluate the CT and PET-CT features of solitary pulmonary capillary hemangioma (SPCH) with clinicopathologic correlations. This retrospective study included 17 patients with histologically proven SPCH from four tertiary institutions. The clinical, pathological and imaging findings of SPCH were reviewed. The CT features assessed included lesion location, size, density, contour, margin, enhancement, presence of air bronchogram, perivascular lucency and pleural retraction, and <sup>18</sup>F-fluorodeoxyglucose uptake on PET-CT. Changes in the size during the follow-up period were also evaluated. Imaging features were correlated with the clinicopathologic findings. The mean age of the patients was 47 years (range 30-60 years). All SPCHs were incidentally detected during screening CT examinations (<i>n</i> = 13, 76%) or during cancer work-up (<i>n</i> = 4, 24%). Most SPCHs appeared as part-solid nodules (<i>n</i> = 15, 88%), the remaining appeared as a pure ground-glass nodule or a pure solid nodule, respectively. Most had smooth contours (<i>n</i> = 16, 94%), while one had a lobulated contour. Nine SPCHs (53%) showed ill-defined margins. Air bronchogram was present in ten (59%) SPCHs, and perivascular lucency in two (12%). All SPCHs exhibited hypoattenuation on contrast-enhanced CT and hypometabolism on PET-CT. During the follow-up period (mean 14.8 ± 17.7 months), the lesions showed no change in size or density in ten SPCHs (59%), decreased or fluctuation in size and density in three (18%). SPCH is often incidentally detected in young and middle-aged adults, commonly as an ill-defined part-solid nodule that may accompany air bronchogram, perivascular lucency, and fluctuation in size or density on CT and hypometabolism on PET-CT.</p>\",\"PeriodicalId\":520604,\"journal\":{\"name\":\"Diagnostics (Basel, Switzerland)\",\"volume\":\" \",\"pages\":\"\"},\"PeriodicalIF\":3.3000,\"publicationDate\":\"2022-10-28\",\"publicationTypes\":\"Journal Article\",\"fieldsOfStudy\":null,\"isOpenAccess\":false,\"openAccessPdf\":\"https://www.ncbi.nlm.nih.gov/pmc/articles/PMC9689303/pdf/\",\"citationCount\":\"1\",\"resultStr\":null,\"platform\":\"Semanticscholar\",\"paperid\":null,\"PeriodicalName\":\"Diagnostics (Basel, Switzerland)\",\"FirstCategoryId\":\"3\",\"ListUrlMain\":\"https://doi.org/10.3390/diagnostics12112618\",\"RegionNum\":0,\"RegionCategory\":null,\"ArticlePicture\":[],\"TitleCN\":null,\"AbstractTextCN\":null,\"PMCID\":null,\"EPubDate\":\"\",\"PubModel\":\"\",\"JCR\":\"\",\"JCRName\":\"\",\"Score\":null,\"Total\":0}","platform":"Semanticscholar","paperid":null,"PeriodicalName":"Diagnostics (Basel, Switzerland)","FirstCategoryId":"3","ListUrlMain":"https://doi.org/10.3390/diagnostics12112618","RegionNum":0,"RegionCategory":null,"ArticlePicture":[],"TitleCN":null,"AbstractTextCN":null,"PMCID":null,"EPubDate":"","PubModel":"","JCR":"","JCRName":"","Score":null,"Total":0}
引用次数: 1

摘要

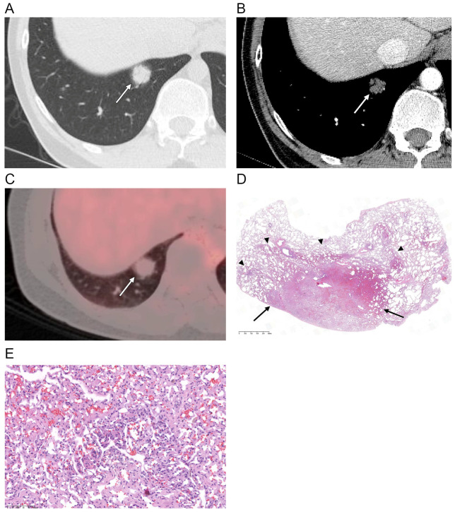
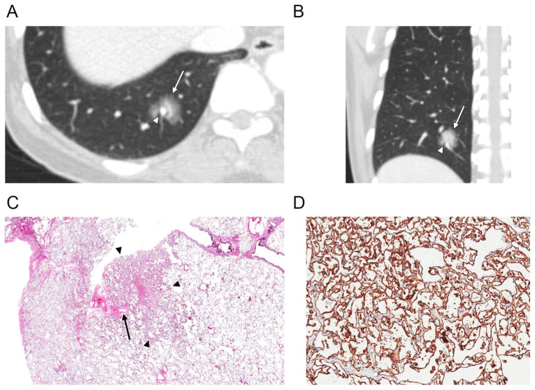
本研究的目的是评价孤立性肺毛细血管瘤(SPCH)的CT和PET-CT表现与临床病理的相关性。本回顾性研究包括来自四所高等院校的17例组织学证实的SPCH患者。本文对SPCH的临床、病理及影像学表现进行综述。评估的CT特征包括病灶位置、大小、密度、轮廓、边缘、增强、支气管充气征的存在、血管周围透光和胸膜缩回,以及PET-CT上的18f -氟脱氧葡萄糖摄取。在随访期间,还评估了大小的变化。影像学表现与临床病理表现相关。患者平均年龄47岁(范围30-60岁)。所有SPCHs都是在筛查CT检查(n = 13,76%)或癌症检查期间偶然发现的(n = 4,24%)。大多数SPCHs表现为半实性结节(n = 15.88%),其余分别表现为纯磨玻璃结节或纯实性结节。大多数具有平滑轮廓(n = 16.94%),而一个具有分叶状轮廓。9家SPCHs(53%)的利润率不明确。10例(59%)SPCHs存在空气支气管征,2例(12%)血管周围透光。所有SPCHs在增强CT上表现为低衰减,在PET-CT上表现为低代谢。在随访期间(平均14.8±17.7个月),10例(59%)SPCHs病变大小和密度无变化,3例(18%)SPCHs病变大小和密度减小或波动。SPCH常在中青年偶然发现,通常表现为不明确的部分实性结节,CT上可伴有支气管充气征、血管周围透光、大小或密度波动,PET-CT上可伴有代谢低下。
本文章由计算机程序翻译,如有差异,请以英文原文为准。

Solitary Pulmonary Capillary Hemangioma: CT and PET-CT Features with Clinicopathologic Correlation.

Solitary Pulmonary Capillary Hemangioma: CT and PET-CT Features with Clinicopathologic Correlation.

Solitary Pulmonary Capillary Hemangioma: CT and PET-CT Features with Clinicopathologic Correlation.

Solitary Pulmonary Capillary Hemangioma: CT and PET-CT Features with Clinicopathologic Correlation.

The aim of this study was to evaluate the CT and PET-CT features of solitary pulmonary capillary hemangioma (SPCH) with clinicopathologic correlations. This retrospective study included 17 patients with histologically proven SPCH from four tertiary institutions. The clinical, pathological and imaging findings of SPCH were reviewed. The CT features assessed included lesion location, size, density, contour, margin, enhancement, presence of air bronchogram, perivascular lucency and pleural retraction, and 18F-fluorodeoxyglucose uptake on PET-CT. Changes in the size during the follow-up period were also evaluated. Imaging features were correlated with the clinicopathologic findings. The mean age of the patients was 47 years (range 30-60 years). All SPCHs were incidentally detected during screening CT examinations (n = 13, 76%) or during cancer work-up (n = 4, 24%). Most SPCHs appeared as part-solid nodules (n = 15, 88%), the remaining appeared as a pure ground-glass nodule or a pure solid nodule, respectively. Most had smooth contours (n = 16, 94%), while one had a lobulated contour. Nine SPCHs (53%) showed ill-defined margins. Air bronchogram was present in ten (59%) SPCHs, and perivascular lucency in two (12%). All SPCHs exhibited hypoattenuation on contrast-enhanced CT and hypometabolism on PET-CT. During the follow-up period (mean 14.8 ± 17.7 months), the lesions showed no change in size or density in ten SPCHs (59%), decreased or fluctuation in size and density in three (18%). SPCH is often incidentally detected in young and middle-aged adults, commonly as an ill-defined part-solid nodule that may accompany air bronchogram, perivascular lucency, and fluctuation in size or density on CT and hypometabolism on PET-CT.

求助全文
通过发布文献求助,成功后即可免费获取论文全文。 去求助
来源期刊
自引率
0.00%
发文量
0
×
引用
GB/T 7714-2015
复制
MLA
复制
APA
复制
导出至
BibTeX EndNote RefMan NoteFirst NoteExpress
×
提示
您的信息不完整,为了账户安全,请先补充。
现在去补充
×
提示
您因"违规操作"
具体请查看互助需知
我知道了
×
提示
确定
请完成安全验证×
copy
已复制链接
快去分享给好友吧!
我知道了
右上角分享
点击右上角分享
0
联系我们:info@booksci.cn Book学术提供免费学术资源搜索服务,方便国内外学者检索中英文文献。致力于提供最便捷和优质的服务体验。 Copyright © 2023 布克学术 All rights reserved.
京ICP备2023020795号-1
ghs 京公网安备 11010802042870号
Book学术文献互助
Book学术文献互助群
群 号:604180095
Book学术官方微信