右臂血管瘤样纤维组织细胞瘤(AFH):一例肺转移和确证性EWSR1::CREB1易位

IF 3.3
Gerardo Cazzato, Carmelo Lupo, Nadia Casatta, Flavia Riefoli, Andrea Marzullo, Anna Colagrande, Eliano Cascardi, Senia Maria Rosaria Trabucco, Giuseppe Ingravallo, Biagio Moretti, Eugenio Maiorano, Vito Pesce, Leonardo Resta
{"title":"右臂血管瘤样纤维组织细胞瘤(AFH):一例肺转移和确证性EWSR1::CREB1易位","authors":"Gerardo Cazzato,&nbsp;Carmelo Lupo,&nbsp;Nadia Casatta,&nbsp;Flavia Riefoli,&nbsp;Andrea Marzullo,&nbsp;Anna Colagrande,&nbsp;Eliano Cascardi,&nbsp;Senia Maria Rosaria Trabucco,&nbsp;Giuseppe Ingravallo,&nbsp;Biagio Moretti,&nbsp;Eugenio Maiorano,&nbsp;Vito Pesce,&nbsp;Leonardo Resta","doi":"10.3390/diagnostics12112616","DOIUrl":null,"url":null,"abstract":"<p><p>Angiomatoid fibrous histiocytoma (AFH) is a rare neoplasm described for the first time by Enzinger in 1979, and classified by World Health Organization 2020 as intermediate malignant potential neoplasm. It mostly occurs in the subcutis and is characterized by varying proportions of epithelioid, ovoid and spindle cells in a nodular and syncytial growth pattern, with some hemorrhagic pseudovascular spaces. In this paper, we report the clinical case of a 62-year-old man who presented with AFH on the right arm, and relapsed three years after first surgical excision. After a further three years, the patient presented with an intramuscular localization of AFH, and 12 months after this, a pulmonary metastasis of AFH was diagnosed. Given the rarity of the spreading of AFH, we performed Fluorescence In Situ Hybridization (FISH) and we detected EWSR1::CREB1 gene fusion.</p>","PeriodicalId":520604,"journal":{"name":"Diagnostics (Basel, Switzerland)","volume":" ","pages":""},"PeriodicalIF":3.3000,"publicationDate":"2022-10-28","publicationTypes":"Journal Article","fieldsOfStudy":null,"isOpenAccess":false,"openAccessPdf":"https://www.ncbi.nlm.nih.gov/pmc/articles/PMC9689933/pdf/","citationCount":"2","resultStr":"{\"title\":\"Angiomatoid Fibrous Histiocytoma (AFH) of the Right Arm: An Exceptional Case with Pulmonary Metastasis and Confirmatory EWSR1::CREB1 Translocation.\",\"authors\":\"Gerardo Cazzato,&nbsp;Carmelo Lupo,&nbsp;Nadia Casatta,&nbsp;Flavia Riefoli,&nbsp;Andrea Marzullo,&nbsp;Anna Colagrande,&nbsp;Eliano Cascardi,&nbsp;Senia Maria Rosaria Trabucco,&nbsp;Giuseppe Ingravallo,&nbsp;Biagio Moretti,&nbsp;Eugenio Maiorano,&nbsp;Vito Pesce,&nbsp;Leonardo Resta\",\"doi\":\"10.3390/diagnostics12112616\",\"DOIUrl\":null,\"url\":null,\"abstract\":\"<p><p>Angiomatoid fibrous histiocytoma (AFH) is a rare neoplasm described for the first time by Enzinger in 1979, and classified by World Health Organization 2020 as intermediate malignant potential neoplasm. It mostly occurs in the subcutis and is characterized by varying proportions of epithelioid, ovoid and spindle cells in a nodular and syncytial growth pattern, with some hemorrhagic pseudovascular spaces. In this paper, we report the clinical case of a 62-year-old man who presented with AFH on the right arm, and relapsed three years after first surgical excision. After a further three years, the patient presented with an intramuscular localization of AFH, and 12 months after this, a pulmonary metastasis of AFH was diagnosed. Given the rarity of the spreading of AFH, we performed Fluorescence In Situ Hybridization (FISH) and we detected EWSR1::CREB1 gene fusion.</p>\",\"PeriodicalId\":520604,\"journal\":{\"name\":\"Diagnostics (Basel, Switzerland)\",\"volume\":\" \",\"pages\":\"\"},\"PeriodicalIF\":3.3000,\"publicationDate\":\"2022-10-28\",\"publicationTypes\":\"Journal Article\",\"fieldsOfStudy\":null,\"isOpenAccess\":false,\"openAccessPdf\":\"https://www.ncbi.nlm.nih.gov/pmc/articles/PMC9689933/pdf/\",\"citationCount\":\"2\",\"resultStr\":null,\"platform\":\"Semanticscholar\",\"paperid\":null,\"PeriodicalName\":\"Diagnostics (Basel, Switzerland)\",\"FirstCategoryId\":\"3\",\"ListUrlMain\":\"https://doi.org/10.3390/diagnostics12112616\",\"RegionNum\":0,\"RegionCategory\":null,\"ArticlePicture\":[],\"TitleCN\":null,\"AbstractTextCN\":null,\"PMCID\":null,\"EPubDate\":\"\",\"PubModel\":\"\",\"JCR\":\"\",\"JCRName\":\"\",\"Score\":null,\"Total\":0}","platform":"Semanticscholar","paperid":null,"PeriodicalName":"Diagnostics (Basel, Switzerland)","FirstCategoryId":"3","ListUrlMain":"https://doi.org/10.3390/diagnostics12112616","RegionNum":0,"RegionCategory":null,"ArticlePicture":[],"TitleCN":null,"AbstractTextCN":null,"PMCID":null,"EPubDate":"","PubModel":"","JCR":"","JCRName":"","Score":null,"Total":0}
引用次数: 2

摘要

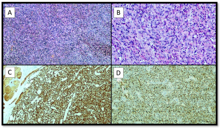
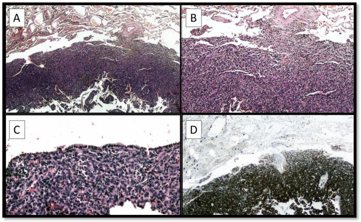
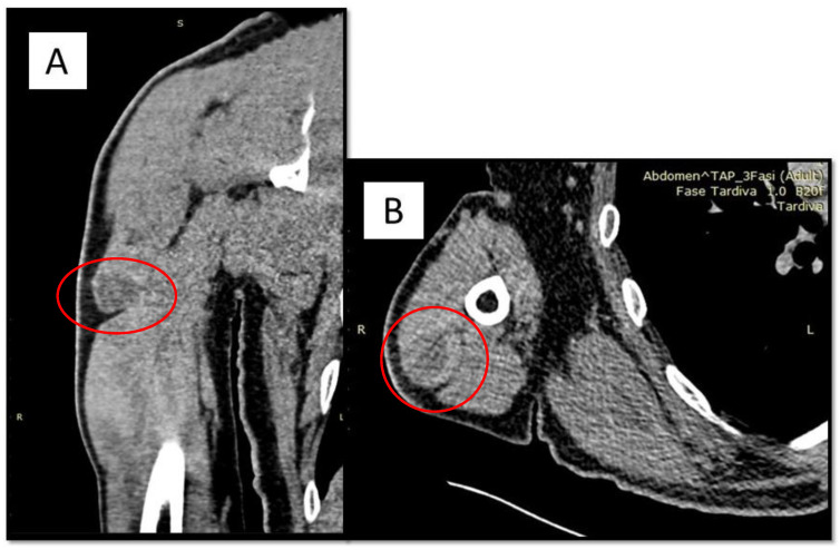
血管瘤样纤维组织细胞瘤(Angiomatoid fibrous histotiocytoma, AFH)是Enzinger于1979年首次描述的一种罕见肿瘤,世界卫生组织(World Health Organization) 2020年将其分类为中级恶性潜在肿瘤。它主要发生在皮下,其特征是不同比例的上皮样细胞、卵形细胞和梭形细胞以结节和合胞生长方式生长,并伴有一些出血性假血管间隙。在本文中,我们报告了一名62岁男性的临床病例,他在右臂出现AFH,并在第一次手术切除三年后复发。三年后,患者出现AFH肌肉内定位,12个月后,诊断为AFH肺转移。考虑到AFH传播的罕见性,我们进行了荧光原位杂交(FISH),我们检测了EWSR1::CREB1基因融合。
本文章由计算机程序翻译,如有差异,请以英文原文为准。

Angiomatoid Fibrous Histiocytoma (AFH) of the Right Arm: An Exceptional Case with Pulmonary Metastasis and Confirmatory EWSR1::CREB1 Translocation.

Angiomatoid Fibrous Histiocytoma (AFH) of the Right Arm: An Exceptional Case with Pulmonary Metastasis and Confirmatory EWSR1::CREB1 Translocation.

Angiomatoid Fibrous Histiocytoma (AFH) of the Right Arm: An Exceptional Case with Pulmonary Metastasis and Confirmatory EWSR1::CREB1 Translocation.

Angiomatoid Fibrous Histiocytoma (AFH) of the Right Arm: An Exceptional Case with Pulmonary Metastasis and Confirmatory EWSR1::CREB1 Translocation.

Angiomatoid fibrous histiocytoma (AFH) is a rare neoplasm described for the first time by Enzinger in 1979, and classified by World Health Organization 2020 as intermediate malignant potential neoplasm. It mostly occurs in the subcutis and is characterized by varying proportions of epithelioid, ovoid and spindle cells in a nodular and syncytial growth pattern, with some hemorrhagic pseudovascular spaces. In this paper, we report the clinical case of a 62-year-old man who presented with AFH on the right arm, and relapsed three years after first surgical excision. After a further three years, the patient presented with an intramuscular localization of AFH, and 12 months after this, a pulmonary metastasis of AFH was diagnosed. Given the rarity of the spreading of AFH, we performed Fluorescence In Situ Hybridization (FISH) and we detected EWSR1::CREB1 gene fusion.

求助全文
通过发布文献求助,成功后即可免费获取论文全文。 去求助
来源期刊
自引率
0.00%
发文量
0
×
引用
GB/T 7714-2015
复制
MLA
复制
APA
复制
导出至
BibTeX EndNote RefMan NoteFirst NoteExpress
×
提示
您的信息不完整,为了账户安全,请先补充。
现在去补充
×
提示
您因"违规操作"
具体请查看互助需知
我知道了
×
提示
确定
请完成安全验证×
copy
已复制链接
快去分享给好友吧!
我知道了
右上角分享
点击右上角分享
0
联系我们:info@booksci.cn Book学术提供免费学术资源搜索服务,方便国内外学者检索中英文文献。致力于提供最便捷和优质的服务体验。 Copyright © 2023 布克学术 All rights reserved.
京ICP备2023020795号-1
ghs 京公网安备 11010802042870号
Book学术文献互助
Book学术文献互助群
群 号:604180095
Book学术官方微信