单侧胸膜实质纤维弹性增生是肺癌术后显著的晚期并发症:发病率及围手术期相关因素。

IF 2.1 4区 医学 Q3 CARDIAC & CARDIOVASCULAR SYSTEMS
Kenji Inafuku, Akimasa Sekine, Hiromasa Arai, Eri Hagiwara, Shigeru Komatsu, Tae Iwasawa, Toshihiro Misumi, Noritake Kikunishi, Michihiko Tajiri, Koji Okudela, Yasushi Rino, Takashi Ogura
{"title":"单侧胸膜实质纤维弹性增生是肺癌术后显著的晚期并发症:发病率及围手术期相关因素。","authors":"Kenji Inafuku,&nbsp;Akimasa Sekine,&nbsp;Hiromasa Arai,&nbsp;Eri Hagiwara,&nbsp;Shigeru Komatsu,&nbsp;Tae Iwasawa,&nbsp;Toshihiro Misumi,&nbsp;Noritake Kikunishi,&nbsp;Michihiko Tajiri,&nbsp;Koji Okudela,&nbsp;Yasushi Rino,&nbsp;Takashi Ogura","doi":"10.1093/icvts/ivac223","DOIUrl":null,"url":null,"abstract":"<p><strong>Objectives: </strong>Pleuroparenchymal fibroelastosis (PPFE) is a rare idiopathic interstitial pneumonia characterized by pleural-parenchymal involvement, predominantly in the upper lobes. Unilateral upper lung field pulmonary fibrosis (upper-PF) that is radiologically consistent with PPFE reportedly develops after lung cancer surgery in the operated side and presents many clinical characteristics in common with PPFE. However, the incidence and perioperative associated factors remain unclear.</p><p><strong>Methods: </strong>All consecutive patients with lung cancer resected completely from 2008 to 2016 were investigated retrospectively. Pre-/postoperative characteristics were compared between patients with and without unilateral upper-PF. Cumulative incidence curves were estimated using competing risk analysis.</p><p><strong>Results: </strong>Among the 587 included patients, 25 patients (4.3%) were diagnosed as unilateral upper-PF. The 3-, 5- and 10-year cumulative incidence of unilateral upper-PF was 2.3%, 3.3% and 5.3%, respectively. In multivariable analysis, male sex, presence of a pulmonary apical cap, lobar resection and low % vital capacity (%VC < 80%) were independent perioperative associated factors. The 10-year cumulative incidence was 6.3% in patients treated with lobar resection, 8.0% in male patients, 10.3% in patients with pulmonary apical cap and 14.5% in patients with low %VC. Postoperative pleural effusion at 6 months after surgery was much more common in the patients who later developed unilateral upper-PF (96.0% vs 24.2%). This pleural effusion persisted and was accompanied thereafter by pleural thickening and subpleural pulmonary fibrosis. During the clinical courses of 25 patients with unilateral upper-PF, 18 patients presented symptoms related to upper-PF and 6 patients died.</p><p><strong>Conclusions: </strong>Unilateral upper-PF is an occasional but under-recognized late complication after lung cancer surgery.</p>","PeriodicalId":13621,"journal":{"name":"Interactive cardiovascular and thoracic surgery","volume":" ","pages":""},"PeriodicalIF":2.1000,"publicationDate":"2022-09-09","publicationTypes":"Journal Article","fieldsOfStudy":null,"isOpenAccess":false,"openAccessPdf":"https://www.ncbi.nlm.nih.gov/pmc/articles/PMC9487195/pdf/","citationCount":"2","resultStr":"{\"title\":\"Radiological unilateral pleuroparenchymal fibroelastosis as a notable late complication after lung cancer surgery: incidence and perioperative associated factors.\",\"authors\":\"Kenji Inafuku,&nbsp;Akimasa Sekine,&nbsp;Hiromasa Arai,&nbsp;Eri Hagiwara,&nbsp;Shigeru Komatsu,&nbsp;Tae Iwasawa,&nbsp;Toshihiro Misumi,&nbsp;Noritake Kikunishi,&nbsp;Michihiko Tajiri,&nbsp;Koji Okudela,&nbsp;Yasushi Rino,&nbsp;Takashi Ogura\",\"doi\":\"10.1093/icvts/ivac223\",\"DOIUrl\":null,\"url\":null,\"abstract\":\"<p><strong>Objectives: </strong>Pleuroparenchymal fibroelastosis (PPFE) is a rare idiopathic interstitial pneumonia characterized by pleural-parenchymal involvement, predominantly in the upper lobes. Unilateral upper lung field pulmonary fibrosis (upper-PF) that is radiologically consistent with PPFE reportedly develops after lung cancer surgery in the operated side and presents many clinical characteristics in common with PPFE. However, the incidence and perioperative associated factors remain unclear.</p><p><strong>Methods: </strong>All consecutive patients with lung cancer resected completely from 2008 to 2016 were investigated retrospectively. Pre-/postoperative characteristics were compared between patients with and without unilateral upper-PF. Cumulative incidence curves were estimated using competing risk analysis.</p><p><strong>Results: </strong>Among the 587 included patients, 25 patients (4.3%) were diagnosed as unilateral upper-PF. The 3-, 5- and 10-year cumulative incidence of unilateral upper-PF was 2.3%, 3.3% and 5.3%, respectively. In multivariable analysis, male sex, presence of a pulmonary apical cap, lobar resection and low % vital capacity (%VC < 80%) were independent perioperative associated factors. The 10-year cumulative incidence was 6.3% in patients treated with lobar resection, 8.0% in male patients, 10.3% in patients with pulmonary apical cap and 14.5% in patients with low %VC. Postoperative pleural effusion at 6 months after surgery was much more common in the patients who later developed unilateral upper-PF (96.0% vs 24.2%). This pleural effusion persisted and was accompanied thereafter by pleural thickening and subpleural pulmonary fibrosis. During the clinical courses of 25 patients with unilateral upper-PF, 18 patients presented symptoms related to upper-PF and 6 patients died.</p><p><strong>Conclusions: </strong>Unilateral upper-PF is an occasional but under-recognized late complication after lung cancer surgery.</p>\",\"PeriodicalId\":13621,\"journal\":{\"name\":\"Interactive cardiovascular and thoracic surgery\",\"volume\":\" \",\"pages\":\"\"},\"PeriodicalIF\":2.1000,\"publicationDate\":\"2022-09-09\",\"publicationTypes\":\"Journal Article\",\"fieldsOfStudy\":null,\"isOpenAccess\":false,\"openAccessPdf\":\"https://www.ncbi.nlm.nih.gov/pmc/articles/PMC9487195/pdf/\",\"citationCount\":\"2\",\"resultStr\":null,\"platform\":\"Semanticscholar\",\"paperid\":null,\"PeriodicalName\":\"Interactive cardiovascular and thoracic surgery\",\"FirstCategoryId\":\"3\",\"ListUrlMain\":\"https://doi.org/10.1093/icvts/ivac223\",\"RegionNum\":4,\"RegionCategory\":\"医学\",\"ArticlePicture\":[],\"TitleCN\":null,\"AbstractTextCN\":null,\"PMCID\":null,\"EPubDate\":\"\",\"PubModel\":\"\",\"JCR\":\"Q3\",\"JCRName\":\"CARDIAC & CARDIOVASCULAR SYSTEMS\",\"Score\":null,\"Total\":0}","platform":"Semanticscholar","paperid":null,"PeriodicalName":"Interactive cardiovascular and thoracic surgery","FirstCategoryId":"3","ListUrlMain":"https://doi.org/10.1093/icvts/ivac223","RegionNum":4,"RegionCategory":"医学","ArticlePicture":[],"TitleCN":null,"AbstractTextCN":null,"PMCID":null,"EPubDate":"","PubModel":"","JCR":"Q3","JCRName":"CARDIAC & CARDIOVASCULAR SYSTEMS","Score":null,"Total":0}
引用次数: 2

摘要

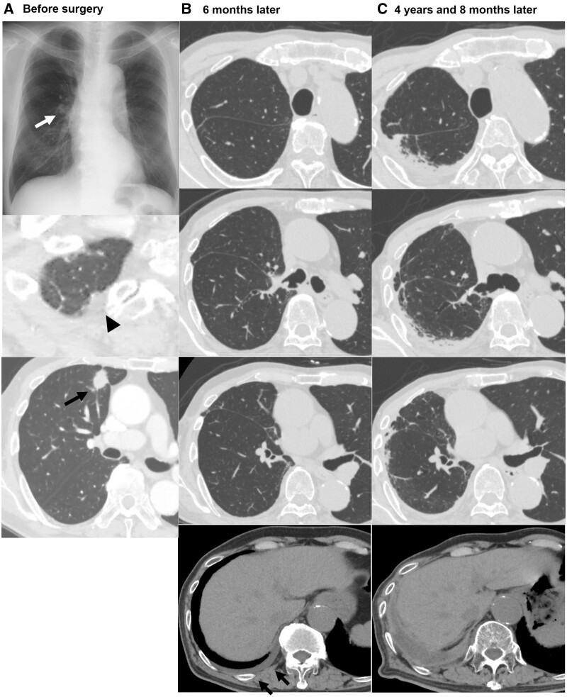
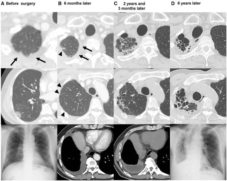
目的:胸膜实质纤维弹性增生症(PPFE)是一种罕见的特发性间质性肺炎,以胸膜实质受累为特征,主要发生在上肺叶。据报道,单侧肺上野肺纤维化(upper- pf)在肺癌手术后发生,放射学上与PPFE一致,并表现出许多与PPFE共同的临床特征。然而,发病率和围手术期相关因素尚不清楚。方法:回顾性分析2008 - 2016年连续全部切除的肺癌患者。比较单侧上pf患者和非单侧上pf患者的术前/术后特征。利用竞争风险分析估计累积发生率曲线。结果:587例患者中,25例(4.3%)诊断为单侧上pf。3年、5年和10年的累积发病率分别为2.3%、3.3%和5.3%。在多变量分析中,男性、肺尖帽的存在、肺叶切除和肺活量低(%VC)结论:单侧上pf是肺癌手术后偶发但未被充分认识的晚期并发症。
本文章由计算机程序翻译,如有差异,请以英文原文为准。

Radiological unilateral pleuroparenchymal fibroelastosis as a notable late complication after lung cancer surgery: incidence and perioperative associated factors.

Radiological unilateral pleuroparenchymal fibroelastosis as a notable late complication after lung cancer surgery: incidence and perioperative associated factors.

Radiological unilateral pleuroparenchymal fibroelastosis as a notable late complication after lung cancer surgery: incidence and perioperative associated factors.

Radiological unilateral pleuroparenchymal fibroelastosis as a notable late complication after lung cancer surgery: incidence and perioperative associated factors.

Objectives: Pleuroparenchymal fibroelastosis (PPFE) is a rare idiopathic interstitial pneumonia characterized by pleural-parenchymal involvement, predominantly in the upper lobes. Unilateral upper lung field pulmonary fibrosis (upper-PF) that is radiologically consistent with PPFE reportedly develops after lung cancer surgery in the operated side and presents many clinical characteristics in common with PPFE. However, the incidence and perioperative associated factors remain unclear.

Methods: All consecutive patients with lung cancer resected completely from 2008 to 2016 were investigated retrospectively. Pre-/postoperative characteristics were compared between patients with and without unilateral upper-PF. Cumulative incidence curves were estimated using competing risk analysis.

Results: Among the 587 included patients, 25 patients (4.3%) were diagnosed as unilateral upper-PF. The 3-, 5- and 10-year cumulative incidence of unilateral upper-PF was 2.3%, 3.3% and 5.3%, respectively. In multivariable analysis, male sex, presence of a pulmonary apical cap, lobar resection and low % vital capacity (%VC < 80%) were independent perioperative associated factors. The 10-year cumulative incidence was 6.3% in patients treated with lobar resection, 8.0% in male patients, 10.3% in patients with pulmonary apical cap and 14.5% in patients with low %VC. Postoperative pleural effusion at 6 months after surgery was much more common in the patients who later developed unilateral upper-PF (96.0% vs 24.2%). This pleural effusion persisted and was accompanied thereafter by pleural thickening and subpleural pulmonary fibrosis. During the clinical courses of 25 patients with unilateral upper-PF, 18 patients presented symptoms related to upper-PF and 6 patients died.

Conclusions: Unilateral upper-PF is an occasional but under-recognized late complication after lung cancer surgery.

求助全文
通过发布文献求助,成功后即可免费获取论文全文。 去求助
来源期刊
Interactive cardiovascular and thoracic surgery
Interactive cardiovascular and thoracic surgery CARDIAC & CARDIOVASCULAR SYSTEMS-
CiteScore
3.30
自引率
0.00%
发文量
292
审稿时长
2-4 weeks
期刊介绍: Interactive CardioVascular and Thoracic Surgery (ICVTS) publishes scientific contributions in the field of cardiovascular and thoracic surgery, covering all aspects of surgery of the heart, vessels and the chest. The journal publishes a range of article types including: Best Evidence Topics; Brief Communications; Case Reports; Original Articles; State-of-the-Art; Work in Progress Report.
×
引用
GB/T 7714-2015
复制
MLA
复制
APA
复制
导出至
BibTeX EndNote RefMan NoteFirst NoteExpress
×
提示
您的信息不完整,为了账户安全,请先补充。
现在去补充
×
提示
您因"违规操作"
具体请查看互助需知
我知道了
×
提示
确定
请完成安全验证×
copy
已复制链接
快去分享给好友吧!
我知道了
右上角分享
点击右上角分享
0
联系我们:info@booksci.cn Book学术提供免费学术资源搜索服务,方便国内外学者检索中英文文献。致力于提供最便捷和优质的服务体验。 Copyright © 2023 布克学术 All rights reserved.
京ICP备2023020795号-1
ghs 京公网安备 11010802042870号
Book学术文献互助
Book学术文献互助群
群 号:604180095
Book学术官方微信