小细胞肺癌合并复发性多软骨炎1例报告并文献复习。

IF 2.6 3区 医学 Q3 IMMUNOLOGY
Yuan Liu, Ning Wang, Jian Xu, Ying Bi, Xue Han, Meng Dai, Chunfang Liu
{"title":"小细胞肺癌合并复发性多软骨炎1例报告并文献复习。","authors":"Yuan Liu,&nbsp;Ning Wang,&nbsp;Jian Xu,&nbsp;Ying Bi,&nbsp;Xue Han,&nbsp;Meng Dai,&nbsp;Chunfang Liu","doi":"10.1177/03946320221120962","DOIUrl":null,"url":null,"abstract":"<p><p>The present study reports the clinical data of a patient with small cell lung cancer who developed relapsing polychondritis. We report a case of a 57-year-old female presented with cough, expectoration, and fever. A Computed Tomography (CT) scan performed at the hospital revealed diffuse thickening of bronchial walls in both lungs. Bronchoscopy revealed that the tracheal mucosa was thickened, narrowed, and collapsed, and the bronchoscope could pass through. The bronchial mucosa on both sides was thickened and edematous, the surface was rough, each bronchus was narrow, and the intervertebral ridges were widened. Needle biopsy: considering small cell carcinoma in combination with immunohistochemical results. Her symptom was not improved after anti-infective therapy. The left auricle was red and swollen, the auricle collapsed, and the left eye had subconjunctival hemorrhage during her hospitalization without obvious cause. After multidisciplinary consultation, pulmonary small cell lung cancer cT0N2Mx rumen lymph node metastasis and RP were considered. Treatment: Prednisone, orally for RP. Chemotherapy combined with radiotherapy was given for small cell lung cancer. The chemotherapy regimen was carboplatin combined with etoposide. The patient has already been followed for 1 year after receiving chemoradiotherapy; the condition of the patient is stable at present. Based on the case of our patient, for cases of RP with symptoms such as auricle chondritis, ocular inflammatory disease, and nasal chondritis, we should pay great attention to whether the case is caused by lung cancer with relapsing polychondritis. Because of the rarity of the disease, the clinician should improve the recognition of the disease in order to strive for early diagnosis and therapy.</p>","PeriodicalId":14046,"journal":{"name":"International Journal of Immunopathology and Pharmacology","volume":" ","pages":"3946320221120962"},"PeriodicalIF":2.6000,"publicationDate":"2022-01-01","publicationTypes":"Journal Article","fieldsOfStudy":null,"isOpenAccess":false,"openAccessPdf":"https://ftp.ncbi.nlm.nih.gov/pub/pmc/oa_pdf/50/b9/10.1177_03946320221120962.PMC9379949.pdf","citationCount":"0","resultStr":"{\"title\":\"Small cell lung cancer with relapsing polychondritis: A report of one case and the review of literature.\",\"authors\":\"Yuan Liu,&nbsp;Ning Wang,&nbsp;Jian Xu,&nbsp;Ying Bi,&nbsp;Xue Han,&nbsp;Meng Dai,&nbsp;Chunfang Liu\",\"doi\":\"10.1177/03946320221120962\",\"DOIUrl\":null,\"url\":null,\"abstract\":\"<p><p>The present study reports the clinical data of a patient with small cell lung cancer who developed relapsing polychondritis. We report a case of a 57-year-old female presented with cough, expectoration, and fever. A Computed Tomography (CT) scan performed at the hospital revealed diffuse thickening of bronchial walls in both lungs. Bronchoscopy revealed that the tracheal mucosa was thickened, narrowed, and collapsed, and the bronchoscope could pass through. The bronchial mucosa on both sides was thickened and edematous, the surface was rough, each bronchus was narrow, and the intervertebral ridges were widened. Needle biopsy: considering small cell carcinoma in combination with immunohistochemical results. Her symptom was not improved after anti-infective therapy. The left auricle was red and swollen, the auricle collapsed, and the left eye had subconjunctival hemorrhage during her hospitalization without obvious cause. After multidisciplinary consultation, pulmonary small cell lung cancer cT0N2Mx rumen lymph node metastasis and RP were considered. Treatment: Prednisone, orally for RP. Chemotherapy combined with radiotherapy was given for small cell lung cancer. The chemotherapy regimen was carboplatin combined with etoposide. The patient has already been followed for 1 year after receiving chemoradiotherapy; the condition of the patient is stable at present. Based on the case of our patient, for cases of RP with symptoms such as auricle chondritis, ocular inflammatory disease, and nasal chondritis, we should pay great attention to whether the case is caused by lung cancer with relapsing polychondritis. Because of the rarity of the disease, the clinician should improve the recognition of the disease in order to strive for early diagnosis and therapy.</p>\",\"PeriodicalId\":14046,\"journal\":{\"name\":\"International Journal of Immunopathology and Pharmacology\",\"volume\":\" \",\"pages\":\"3946320221120962\"},\"PeriodicalIF\":2.6000,\"publicationDate\":\"2022-01-01\",\"publicationTypes\":\"Journal Article\",\"fieldsOfStudy\":null,\"isOpenAccess\":false,\"openAccessPdf\":\"https://ftp.ncbi.nlm.nih.gov/pub/pmc/oa_pdf/50/b9/10.1177_03946320221120962.PMC9379949.pdf\",\"citationCount\":\"0\",\"resultStr\":null,\"platform\":\"Semanticscholar\",\"paperid\":null,\"PeriodicalName\":\"International Journal of Immunopathology and Pharmacology\",\"FirstCategoryId\":\"3\",\"ListUrlMain\":\"https://doi.org/10.1177/03946320221120962\",\"RegionNum\":3,\"RegionCategory\":\"医学\",\"ArticlePicture\":[],\"TitleCN\":null,\"AbstractTextCN\":null,\"PMCID\":null,\"EPubDate\":\"\",\"PubModel\":\"\",\"JCR\":\"Q3\",\"JCRName\":\"IMMUNOLOGY\",\"Score\":null,\"Total\":0}","platform":"Semanticscholar","paperid":null,"PeriodicalName":"International Journal of Immunopathology and Pharmacology","FirstCategoryId":"3","ListUrlMain":"https://doi.org/10.1177/03946320221120962","RegionNum":3,"RegionCategory":"医学","ArticlePicture":[],"TitleCN":null,"AbstractTextCN":null,"PMCID":null,"EPubDate":"","PubModel":"","JCR":"Q3","JCRName":"IMMUNOLOGY","Score":null,"Total":0}
引用次数: 0

摘要

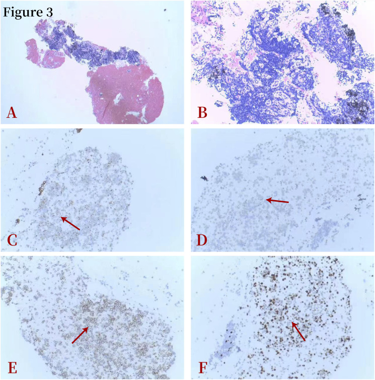
本研究报告了一例小细胞肺癌并发复发性多软骨炎的临床资料。我们报告一例57岁女性,表现为咳嗽、咳痰和发烧。在医院进行的计算机断层扫描显示双肺支气管壁弥漫性增厚。支气管镜检查显示气管黏膜增厚、变窄、塌陷,支气管镜可通过。两侧支气管黏膜增厚水肿,表面粗糙,各支气管狭窄,椎脊增宽。针活检:结合免疫组化结果考虑小细胞癌。经抗感染治疗后症状未见改善。住院期间左耳廓红肿,耳廓塌陷,左眼结膜下出血,无明显原因。经多学科会诊,考虑肺小细胞肺癌cT0N2Mx瘤胃淋巴结转移及RP。治疗:强的松,口服治疗RP。小细胞肺癌采用化疗与放疗联合治疗。化疗方案为卡铂联合依托泊苷。患者接受放化疗后已随访1年;目前病人的病情稳定。结合我们患者的病例,对于出现耳廓软骨炎、眼部炎性疾病、鼻软骨炎等症状的RP,我们要特别注意该病例是否由肺癌合并复发性多软骨炎引起。由于本病罕见,临床医师应提高对本病的认识,争取早期诊断和治疗。
本文章由计算机程序翻译,如有差异,请以英文原文为准。

Small cell lung cancer with relapsing polychondritis: A report of one case and the review of literature.

Small cell lung cancer with relapsing polychondritis: A report of one case and the review of literature.

Small cell lung cancer with relapsing polychondritis: A report of one case and the review of literature.

Small cell lung cancer with relapsing polychondritis: A report of one case and the review of literature.

The present study reports the clinical data of a patient with small cell lung cancer who developed relapsing polychondritis. We report a case of a 57-year-old female presented with cough, expectoration, and fever. A Computed Tomography (CT) scan performed at the hospital revealed diffuse thickening of bronchial walls in both lungs. Bronchoscopy revealed that the tracheal mucosa was thickened, narrowed, and collapsed, and the bronchoscope could pass through. The bronchial mucosa on both sides was thickened and edematous, the surface was rough, each bronchus was narrow, and the intervertebral ridges were widened. Needle biopsy: considering small cell carcinoma in combination with immunohistochemical results. Her symptom was not improved after anti-infective therapy. The left auricle was red and swollen, the auricle collapsed, and the left eye had subconjunctival hemorrhage during her hospitalization without obvious cause. After multidisciplinary consultation, pulmonary small cell lung cancer cT0N2Mx rumen lymph node metastasis and RP were considered. Treatment: Prednisone, orally for RP. Chemotherapy combined with radiotherapy was given for small cell lung cancer. The chemotherapy regimen was carboplatin combined with etoposide. The patient has already been followed for 1 year after receiving chemoradiotherapy; the condition of the patient is stable at present. Based on the case of our patient, for cases of RP with symptoms such as auricle chondritis, ocular inflammatory disease, and nasal chondritis, we should pay great attention to whether the case is caused by lung cancer with relapsing polychondritis. Because of the rarity of the disease, the clinician should improve the recognition of the disease in order to strive for early diagnosis and therapy.

求助全文
通过发布文献求助,成功后即可免费获取论文全文。 去求助
来源期刊
CiteScore
4.00
自引率
0.00%
发文量
88
审稿时长
15 weeks
期刊介绍: International Journal of Immunopathology and Pharmacology is an Open Access peer-reviewed journal publishing original papers describing research in the fields of immunology, pathology and pharmacology. The intention is that the journal should reflect both the experimental and clinical aspects of immunology as well as advances in the understanding of the pathology and pharmacology of the immune system.
×
引用
GB/T 7714-2015
复制
MLA
复制
APA
复制
导出至
BibTeX EndNote RefMan NoteFirst NoteExpress
×
提示
您的信息不完整,为了账户安全,请先补充。
现在去补充
×
提示
您因"违规操作"
具体请查看互助需知
我知道了
×
提示
确定
请完成安全验证×
copy
已复制链接
快去分享给好友吧!
我知道了
右上角分享
点击右上角分享
0
联系我们:info@booksci.cn Book学术提供免费学术资源搜索服务,方便国内外学者检索中英文文献。致力于提供最便捷和优质的服务体验。 Copyright © 2023 布克学术 All rights reserved.
京ICP备2023020795号-1
ghs 京公网安备 11010802042870号
Book学术文献互助
Book学术文献互助群
群 号:604180095
Book学术官方微信