意大利狼(Canis lupus italicus)脊柱骨折脱位的诊断与治疗。

Domenico Fugazzotto, Chiara Costa Devoti, Maria Pia Dumas, Chiara Teani, Elisa Berti, Offer Zeira
{"title":"意大利狼(Canis lupus italicus)脊柱骨折脱位的诊断与治疗。","authors":"Domenico Fugazzotto,&nbsp;Chiara Costa Devoti,&nbsp;Maria Pia Dumas,&nbsp;Chiara Teani,&nbsp;Elisa Berti,&nbsp;Offer Zeira","doi":"10.3390/ani12213044","DOIUrl":null,"url":null,"abstract":"<p><p>The medical records of 14 Italian wolves (<i>Canis lupus italicus</i>) with a vertebral fracture or luxation (SFL) between C1 and L7 treated at Ospedale Veterinario San Michele from 2017 and 2022 were reviewed. The most common cause of SFL was \"road traffic accident\". Neurological signs were graded from 0 to 6 using a modified Frankel scale. Spinal fractures occurred in C1-C5 in 1 case, in T3-L3 in 11 cases and in L4-L7 in 2 cases. Six wolves were euthanized without treatment because they presented paraplegia without deep pain perception (DPP). Two animals with motor function were treated conservatively, and later on one of them was euthanized because of neurological impairment. Six wolves were surgically treated. Seven wolves had good neurological recovery, and six of them were released into the wild. Our results suggest that wolves with DPP before surgery may have a good functional recovery.</p>","PeriodicalId":519482,"journal":{"name":"Animals : an Open Access Journal from MDPI","volume":" ","pages":""},"PeriodicalIF":0.0000,"publicationDate":"2022-11-05","publicationTypes":"Journal Article","fieldsOfStudy":null,"isOpenAccess":false,"openAccessPdf":"https://www.ncbi.nlm.nih.gov/pmc/articles/PMC9656418/pdf/","citationCount":"1","resultStr":"{\"title\":\"Diagnostic and Treatment of Spinal Fracture and Luxation in Italian Wolves (<i>Canis lupus italicus</i>).\",\"authors\":\"Domenico Fugazzotto,&nbsp;Chiara Costa Devoti,&nbsp;Maria Pia Dumas,&nbsp;Chiara Teani,&nbsp;Elisa Berti,&nbsp;Offer Zeira\",\"doi\":\"10.3390/ani12213044\",\"DOIUrl\":null,\"url\":null,\"abstract\":\"<p><p>The medical records of 14 Italian wolves (<i>Canis lupus italicus</i>) with a vertebral fracture or luxation (SFL) between C1 and L7 treated at Ospedale Veterinario San Michele from 2017 and 2022 were reviewed. The most common cause of SFL was \\\"road traffic accident\\\". Neurological signs were graded from 0 to 6 using a modified Frankel scale. Spinal fractures occurred in C1-C5 in 1 case, in T3-L3 in 11 cases and in L4-L7 in 2 cases. Six wolves were euthanized without treatment because they presented paraplegia without deep pain perception (DPP). Two animals with motor function were treated conservatively, and later on one of them was euthanized because of neurological impairment. Six wolves were surgically treated. Seven wolves had good neurological recovery, and six of them were released into the wild. Our results suggest that wolves with DPP before surgery may have a good functional recovery.</p>\",\"PeriodicalId\":519482,\"journal\":{\"name\":\"Animals : an Open Access Journal from MDPI\",\"volume\":\" \",\"pages\":\"\"},\"PeriodicalIF\":0.0000,\"publicationDate\":\"2022-11-05\",\"publicationTypes\":\"Journal Article\",\"fieldsOfStudy\":null,\"isOpenAccess\":false,\"openAccessPdf\":\"https://www.ncbi.nlm.nih.gov/pmc/articles/PMC9656418/pdf/\",\"citationCount\":\"1\",\"resultStr\":null,\"platform\":\"Semanticscholar\",\"paperid\":null,\"PeriodicalName\":\"Animals : an Open Access Journal from MDPI\",\"FirstCategoryId\":\"97\",\"ListUrlMain\":\"https://doi.org/10.3390/ani12213044\",\"RegionNum\":0,\"RegionCategory\":null,\"ArticlePicture\":[],\"TitleCN\":null,\"AbstractTextCN\":null,\"PMCID\":null,\"EPubDate\":\"\",\"PubModel\":\"\",\"JCR\":\"\",\"JCRName\":\"\",\"Score\":null,\"Total\":0}","platform":"Semanticscholar","paperid":null,"PeriodicalName":"Animals : an Open Access Journal from MDPI","FirstCategoryId":"97","ListUrlMain":"https://doi.org/10.3390/ani12213044","RegionNum":0,"RegionCategory":null,"ArticlePicture":[],"TitleCN":null,"AbstractTextCN":null,"PMCID":null,"EPubDate":"","PubModel":"","JCR":"","JCRName":"","Score":null,"Total":0}
引用次数: 1

摘要

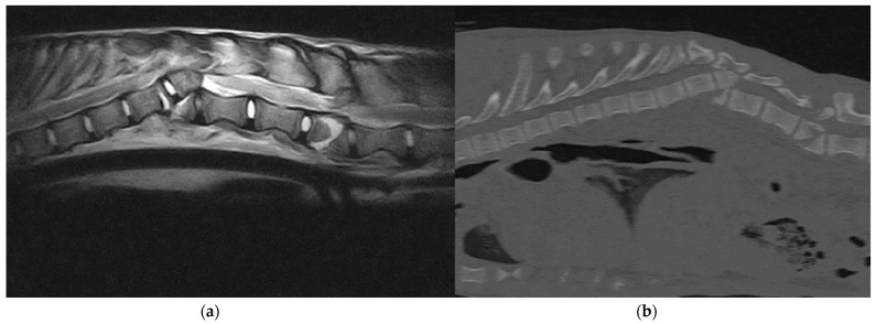
回顾了2017年至2022年在圣米歇尔Ospedale兽医医院治疗的14只C1至L7椎体骨折或脱位(SFL)的意大利狼(Canis lupus italicus)的医疗记录。导致SFL最常见的原因是“道路交通事故”。使用改良的Frankel量表将神经症状从0到6分级。C1-C5骨折1例,T3-L3骨折11例,L4-L7骨折2例。6只狼在没有治疗的情况下被安乐死,因为它们表现出没有深度疼痛感知(DPP)的截瘫。两只有运动功能的动物被保守治疗,后来其中一只因为神经损伤而被安乐死。六只狼接受了手术治疗。7只狼的神经系统恢复良好,其中6只被放归野外。我们的研究结果表明,术前患有DPP的狼可能有良好的功能恢复。
本文章由计算机程序翻译,如有差异,请以英文原文为准。

Diagnostic and Treatment of Spinal Fracture and Luxation in Italian Wolves (<i>Canis lupus italicus</i>).

Diagnostic and Treatment of Spinal Fracture and Luxation in Italian Wolves (<i>Canis lupus italicus</i>).

Diagnostic and Treatment of Spinal Fracture and Luxation in Italian Wolves (<i>Canis lupus italicus</i>).

Diagnostic and Treatment of Spinal Fracture and Luxation in Italian Wolves (Canis lupus italicus).

The medical records of 14 Italian wolves (Canis lupus italicus) with a vertebral fracture or luxation (SFL) between C1 and L7 treated at Ospedale Veterinario San Michele from 2017 and 2022 were reviewed. The most common cause of SFL was "road traffic accident". Neurological signs were graded from 0 to 6 using a modified Frankel scale. Spinal fractures occurred in C1-C5 in 1 case, in T3-L3 in 11 cases and in L4-L7 in 2 cases. Six wolves were euthanized without treatment because they presented paraplegia without deep pain perception (DPP). Two animals with motor function were treated conservatively, and later on one of them was euthanized because of neurological impairment. Six wolves were surgically treated. Seven wolves had good neurological recovery, and six of them were released into the wild. Our results suggest that wolves with DPP before surgery may have a good functional recovery.

求助全文
通过发布文献求助,成功后即可免费获取论文全文。 去求助
来源期刊
自引率
0.00%
发文量
0
×
引用
GB/T 7714-2015
复制
MLA
复制
APA
复制
导出至
BibTeX EndNote RefMan NoteFirst NoteExpress
×
提示
您的信息不完整,为了账户安全,请先补充。
现在去补充
×
提示
您因"违规操作"
具体请查看互助需知
我知道了
×
提示
确定
请完成安全验证×
copy
已复制链接
快去分享给好友吧!
我知道了
右上角分享
点击右上角分享
0
联系我们:info@booksci.cn Book学术提供免费学术资源搜索服务,方便国内外学者检索中英文文献。致力于提供最便捷和优质的服务体验。 Copyright © 2023 布克学术 All rights reserved.
京ICP备2023020795号-1
ghs 京公网安备 11010802042870号
Book学术文献互助
Book学术文献互助群
群 号:604180095
Book学术官方微信