一个完整的计算机工作流程计划手术辅助快速腭扩张和正颌手术在骨骼III类患者。

Case Reports in Dentistry Pub Date : 2022-10-19 eCollection Date: 2022-01-01 DOI:10.1155/2022/6413898
Orazio Bennici, Alessia Malgioglio, Serena Moschitto, Gianrico Spagnuolo, Alberta Greco Lucchina, Vincenzo Ronsivalle, Gaetano Isola, Antonino Lo Giudice
{"title":"一个完整的计算机工作流程计划手术辅助快速腭扩张和正颌手术在骨骼III类患者。","authors":"Orazio Bennici,&nbsp;Alessia Malgioglio,&nbsp;Serena Moschitto,&nbsp;Gianrico Spagnuolo,&nbsp;Alberta Greco Lucchina,&nbsp;Vincenzo Ronsivalle,&nbsp;Gaetano Isola,&nbsp;Antonino Lo Giudice","doi":"10.1155/2022/6413898","DOIUrl":null,"url":null,"abstract":"<p><p>In the present case report, we present and discuss the digital workflow involved in the orthodontic/orthognathic combined treatment of a skeletal malocclusion correction in a 17-year-old male patient affected by a skeletal class III, facial asymmetry, sagittal and transversal deficiency of the medium third of the skull, dental crowding, and bilateral cross-bite. The first stage of the treatment involved surgically assisted rapid palatal expansion and occlusal decompensation, using fixed self-ligating appliance. An orthodontic software package (i.e., Dolphin 3D Surgery module) was used to perform virtual treatment objective evaluation by integrating data from cone beam computer tomography acquisition, intraoral scan, and extraoral photographs. The software allowed a comprehensive evaluation of skeletal, dento-alveolar, and soft-tissue disharmonies, qualitative and quantitative simulation of surgical procedure according to skeletal and aesthetic objectives, and, consequently, the treatment of the malocclusion. Using a specific function of the software, the surgical splint was designed according to the pre-programmed skeletal movements, and subsequently, the physical splint was generated with a three-dimensional (3D) printing technology. Once a proper occlusal decompensation was reached, a Le Fort I osteotomy of the maxilla and a bilateral sagittal surgical osteotomy of the mandible were executed to restore proper skeletal relations. The whole treatment time was 8 months. The orthodontic/orthognathic combined treatment allowed to correct the skeletal and the dental imbalance, as well as the improvement of facial aesthetics. Accordingly, the treatment objectives planned in the virtual environment were achieved. Virtual planning offers new possibilities for visualizing the relationship between dental arches and surrounding bone and soft structures in a single virtual 3D model, allowing the specialists to simulate different surgical and orthodontic procedures to achieve the best possible result for the patient and providing an accurate and predictable outcome in the treatment of challenging malocclusions.</p>","PeriodicalId":505487,"journal":{"name":"Case Reports in Dentistry","volume":" ","pages":"6413898"},"PeriodicalIF":0.0000,"publicationDate":"2022-10-19","publicationTypes":"Journal Article","fieldsOfStudy":null,"isOpenAccess":false,"openAccessPdf":"https://www.ncbi.nlm.nih.gov/pmc/articles/PMC9605851/pdf/","citationCount":"1","resultStr":"{\"title\":\"A Full Computerized Workflow for Planning Surgically Assisted Rapid Palatal Expansion and Orthognathic Surgery in a Skeletal Class III Patient.\",\"authors\":\"Orazio Bennici,&nbsp;Alessia Malgioglio,&nbsp;Serena Moschitto,&nbsp;Gianrico Spagnuolo,&nbsp;Alberta Greco Lucchina,&nbsp;Vincenzo Ronsivalle,&nbsp;Gaetano Isola,&nbsp;Antonino Lo Giudice\",\"doi\":\"10.1155/2022/6413898\",\"DOIUrl\":null,\"url\":null,\"abstract\":\"<p><p>In the present case report, we present and discuss the digital workflow involved in the orthodontic/orthognathic combined treatment of a skeletal malocclusion correction in a 17-year-old male patient affected by a skeletal class III, facial asymmetry, sagittal and transversal deficiency of the medium third of the skull, dental crowding, and bilateral cross-bite. The first stage of the treatment involved surgically assisted rapid palatal expansion and occlusal decompensation, using fixed self-ligating appliance. An orthodontic software package (i.e., Dolphin 3D Surgery module) was used to perform virtual treatment objective evaluation by integrating data from cone beam computer tomography acquisition, intraoral scan, and extraoral photographs. The software allowed a comprehensive evaluation of skeletal, dento-alveolar, and soft-tissue disharmonies, qualitative and quantitative simulation of surgical procedure according to skeletal and aesthetic objectives, and, consequently, the treatment of the malocclusion. Using a specific function of the software, the surgical splint was designed according to the pre-programmed skeletal movements, and subsequently, the physical splint was generated with a three-dimensional (3D) printing technology. Once a proper occlusal decompensation was reached, a Le Fort I osteotomy of the maxilla and a bilateral sagittal surgical osteotomy of the mandible were executed to restore proper skeletal relations. The whole treatment time was 8 months. The orthodontic/orthognathic combined treatment allowed to correct the skeletal and the dental imbalance, as well as the improvement of facial aesthetics. Accordingly, the treatment objectives planned in the virtual environment were achieved. Virtual planning offers new possibilities for visualizing the relationship between dental arches and surrounding bone and soft structures in a single virtual 3D model, allowing the specialists to simulate different surgical and orthodontic procedures to achieve the best possible result for the patient and providing an accurate and predictable outcome in the treatment of challenging malocclusions.</p>\",\"PeriodicalId\":505487,\"journal\":{\"name\":\"Case Reports in Dentistry\",\"volume\":\" \",\"pages\":\"6413898\"},\"PeriodicalIF\":0.0000,\"publicationDate\":\"2022-10-19\",\"publicationTypes\":\"Journal Article\",\"fieldsOfStudy\":null,\"isOpenAccess\":false,\"openAccessPdf\":\"https://www.ncbi.nlm.nih.gov/pmc/articles/PMC9605851/pdf/\",\"citationCount\":\"1\",\"resultStr\":null,\"platform\":\"Semanticscholar\",\"paperid\":null,\"PeriodicalName\":\"Case Reports in Dentistry\",\"FirstCategoryId\":\"1085\",\"ListUrlMain\":\"https://doi.org/10.1155/2022/6413898\",\"RegionNum\":0,\"RegionCategory\":null,\"ArticlePicture\":[],\"TitleCN\":null,\"AbstractTextCN\":null,\"PMCID\":null,\"EPubDate\":\"2022/1/1 0:00:00\",\"PubModel\":\"eCollection\",\"JCR\":\"\",\"JCRName\":\"\",\"Score\":null,\"Total\":0}","platform":"Semanticscholar","paperid":null,"PeriodicalName":"Case Reports in Dentistry","FirstCategoryId":"1085","ListUrlMain":"https://doi.org/10.1155/2022/6413898","RegionNum":0,"RegionCategory":null,"ArticlePicture":[],"TitleCN":null,"AbstractTextCN":null,"PMCID":null,"EPubDate":"2022/1/1 0:00:00","PubModel":"eCollection","JCR":"","JCRName":"","Score":null,"Total":0}
引用次数: 1

摘要

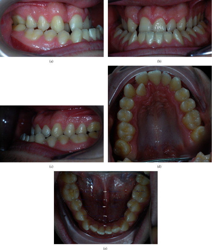
在本病例报告中,我们介绍并讨论了一名17岁男性患者的正畸/正颌联合治疗骨骼错颌矫正的数字工作流程,该患者患有骨骼III类,面部不对称,颅骨中三分之一矢状和横向缺陷,牙齿拥挤和双侧交叉咬合。第一阶段的治疗包括手术辅助快速腭扩张和咬合失代偿,使用固定的自结扎器。使用正畸软件包(即Dolphin 3D Surgery模块)通过整合锥束计算机断层扫描采集、口内扫描和口外照片的数据进行虚拟治疗客观评估。该软件可以对骨骼、牙槽牙和软组织的不和谐进行综合评估,根据骨骼和美学目标对手术过程进行定性和定量模拟,从而对错牙合进行治疗。利用该软件的特定功能,根据预先编程的骨骼运动设计手术夹板,随后使用三维(3D)打印技术生成物理夹板。一旦达到适当的咬合失代偿,就进行上颌骨的Le Fort I截骨术和双侧下颌矢状面手术截骨术以恢复适当的骨骼关系。治疗时间8个月。正畸/正颌联合治疗可以纠正骨骼和牙齿的不平衡,改善面部美观。因此,在虚拟环境中计划的治疗目标得以实现。虚拟规划为在单个虚拟3D模型中可视化牙弓与周围骨骼和软结构之间的关系提供了新的可能性,允许专家模拟不同的手术和正畸手术,以实现患者的最佳结果,并在治疗具有挑战性的错颌时提供准确和可预测的结果。
本文章由计算机程序翻译,如有差异,请以英文原文为准。

A Full Computerized Workflow for Planning Surgically Assisted Rapid Palatal Expansion and Orthognathic Surgery in a Skeletal Class III Patient.

A Full Computerized Workflow for Planning Surgically Assisted Rapid Palatal Expansion and Orthognathic Surgery in a Skeletal Class III Patient.

A Full Computerized Workflow for Planning Surgically Assisted Rapid Palatal Expansion and Orthognathic Surgery in a Skeletal Class III Patient.

A Full Computerized Workflow for Planning Surgically Assisted Rapid Palatal Expansion and Orthognathic Surgery in a Skeletal Class III Patient.

In the present case report, we present and discuss the digital workflow involved in the orthodontic/orthognathic combined treatment of a skeletal malocclusion correction in a 17-year-old male patient affected by a skeletal class III, facial asymmetry, sagittal and transversal deficiency of the medium third of the skull, dental crowding, and bilateral cross-bite. The first stage of the treatment involved surgically assisted rapid palatal expansion and occlusal decompensation, using fixed self-ligating appliance. An orthodontic software package (i.e., Dolphin 3D Surgery module) was used to perform virtual treatment objective evaluation by integrating data from cone beam computer tomography acquisition, intraoral scan, and extraoral photographs. The software allowed a comprehensive evaluation of skeletal, dento-alveolar, and soft-tissue disharmonies, qualitative and quantitative simulation of surgical procedure according to skeletal and aesthetic objectives, and, consequently, the treatment of the malocclusion. Using a specific function of the software, the surgical splint was designed according to the pre-programmed skeletal movements, and subsequently, the physical splint was generated with a three-dimensional (3D) printing technology. Once a proper occlusal decompensation was reached, a Le Fort I osteotomy of the maxilla and a bilateral sagittal surgical osteotomy of the mandible were executed to restore proper skeletal relations. The whole treatment time was 8 months. The orthodontic/orthognathic combined treatment allowed to correct the skeletal and the dental imbalance, as well as the improvement of facial aesthetics. Accordingly, the treatment objectives planned in the virtual environment were achieved. Virtual planning offers new possibilities for visualizing the relationship between dental arches and surrounding bone and soft structures in a single virtual 3D model, allowing the specialists to simulate different surgical and orthodontic procedures to achieve the best possible result for the patient and providing an accurate and predictable outcome in the treatment of challenging malocclusions.

求助全文
通过发布文献求助,成功后即可免费获取论文全文。 去求助
来源期刊
自引率
0.00%
发文量
0
×
引用
GB/T 7714-2015
复制
MLA
复制
APA
复制
导出至
BibTeX EndNote RefMan NoteFirst NoteExpress
×
提示
您的信息不完整,为了账户安全,请先补充。
现在去补充
×
提示
您因"违规操作"
具体请查看互助需知
我知道了
×
提示
确定
请完成安全验证×
copy
已复制链接
快去分享给好友吧!
我知道了
右上角分享
点击右上角分享
0
联系我们:info@booksci.cn Book学术提供免费学术资源搜索服务,方便国内外学者检索中英文文献。致力于提供最便捷和优质的服务体验。 Copyright © 2023 布克学术 All rights reserved.
京ICP备2023020795号-1
ghs 京公网安备 11010802042870号
Book学术文献互助
Book学术文献互助群
群 号:604180095
Book学术官方微信