Valsalva窦钙化血栓,酷似主动脉瓣肿瘤。

IF 2.1 4区 医学 Q3 CARDIAC & CARDIOVASCULAR SYSTEMS
Ryo Nakamura, Kentaro Honda, Hideki Kunimoto, Yoshiharu Nishimura
{"title":"Valsalva窦钙化血栓,酷似主动脉瓣肿瘤。","authors":"Ryo Nakamura,&nbsp;Kentaro Honda,&nbsp;Hideki Kunimoto,&nbsp;Yoshiharu Nishimura","doi":"10.1093/icvts/ivac232","DOIUrl":null,"url":null,"abstract":"<p><p>Tumours or tumour-like lesions around the aortic valve are relatively rare and are difficult to diagnose. We report an interesting case of calcified thrombi in the Valsalva sinuses and coronary cusps that mimicked an aortic valve tumour. A 68-year-old man presented with a 20-mm calcified mass in the non-coronary and left-coronary cusps extending to their corresponding Valsalva sinuses, which was detected by echocardiography and contrast-enhanced computed tomography. The lesions were resected to establish the diagnosis and prevent systemic embolization. Intraoperative and histopathological examination revealed an atrophied non-coronary leaflet and calcified atherosclerotic lesions of the Valsalva sinuses and contiguous parts of the cusps, with ulceration and fibrin thrombi. The lesions were resected and aortic valve replacement was performed to avoid aortic valve dysfunction. The patient's atrial fibrillation was controlled, and anticoagulants were discontinued 3 months postoperatively. Surgery to establish the diagnosis and to prevent systemic thromboembolism was thought to be reasonable, even in the absence of valvular dysfunction.</p>","PeriodicalId":13621,"journal":{"name":"Interactive cardiovascular and thoracic surgery","volume":" ","pages":""},"PeriodicalIF":2.1000,"publicationDate":"2022-09-09","publicationTypes":"Journal Article","fieldsOfStudy":null,"isOpenAccess":false,"openAccessPdf":"https://www.ncbi.nlm.nih.gov/pmc/articles/PMC9536284/pdf/","citationCount":"0","resultStr":"{\"title\":\"Calcified thrombi of the Valsalva sinuses mimicking an aortic valve tumour.\",\"authors\":\"Ryo Nakamura,&nbsp;Kentaro Honda,&nbsp;Hideki Kunimoto,&nbsp;Yoshiharu Nishimura\",\"doi\":\"10.1093/icvts/ivac232\",\"DOIUrl\":null,\"url\":null,\"abstract\":\"<p><p>Tumours or tumour-like lesions around the aortic valve are relatively rare and are difficult to diagnose. We report an interesting case of calcified thrombi in the Valsalva sinuses and coronary cusps that mimicked an aortic valve tumour. A 68-year-old man presented with a 20-mm calcified mass in the non-coronary and left-coronary cusps extending to their corresponding Valsalva sinuses, which was detected by echocardiography and contrast-enhanced computed tomography. The lesions were resected to establish the diagnosis and prevent systemic embolization. Intraoperative and histopathological examination revealed an atrophied non-coronary leaflet and calcified atherosclerotic lesions of the Valsalva sinuses and contiguous parts of the cusps, with ulceration and fibrin thrombi. The lesions were resected and aortic valve replacement was performed to avoid aortic valve dysfunction. The patient's atrial fibrillation was controlled, and anticoagulants were discontinued 3 months postoperatively. Surgery to establish the diagnosis and to prevent systemic thromboembolism was thought to be reasonable, even in the absence of valvular dysfunction.</p>\",\"PeriodicalId\":13621,\"journal\":{\"name\":\"Interactive cardiovascular and thoracic surgery\",\"volume\":\" \",\"pages\":\"\"},\"PeriodicalIF\":2.1000,\"publicationDate\":\"2022-09-09\",\"publicationTypes\":\"Journal Article\",\"fieldsOfStudy\":null,\"isOpenAccess\":false,\"openAccessPdf\":\"https://www.ncbi.nlm.nih.gov/pmc/articles/PMC9536284/pdf/\",\"citationCount\":\"0\",\"resultStr\":null,\"platform\":\"Semanticscholar\",\"paperid\":null,\"PeriodicalName\":\"Interactive cardiovascular and thoracic surgery\",\"FirstCategoryId\":\"3\",\"ListUrlMain\":\"https://doi.org/10.1093/icvts/ivac232\",\"RegionNum\":4,\"RegionCategory\":\"医学\",\"ArticlePicture\":[],\"TitleCN\":null,\"AbstractTextCN\":null,\"PMCID\":null,\"EPubDate\":\"\",\"PubModel\":\"\",\"JCR\":\"Q3\",\"JCRName\":\"CARDIAC & CARDIOVASCULAR SYSTEMS\",\"Score\":null,\"Total\":0}","platform":"Semanticscholar","paperid":null,"PeriodicalName":"Interactive cardiovascular and thoracic surgery","FirstCategoryId":"3","ListUrlMain":"https://doi.org/10.1093/icvts/ivac232","RegionNum":4,"RegionCategory":"医学","ArticlePicture":[],"TitleCN":null,"AbstractTextCN":null,"PMCID":null,"EPubDate":"","PubModel":"","JCR":"Q3","JCRName":"CARDIAC & CARDIOVASCULAR SYSTEMS","Score":null,"Total":0}
引用次数: 0

摘要

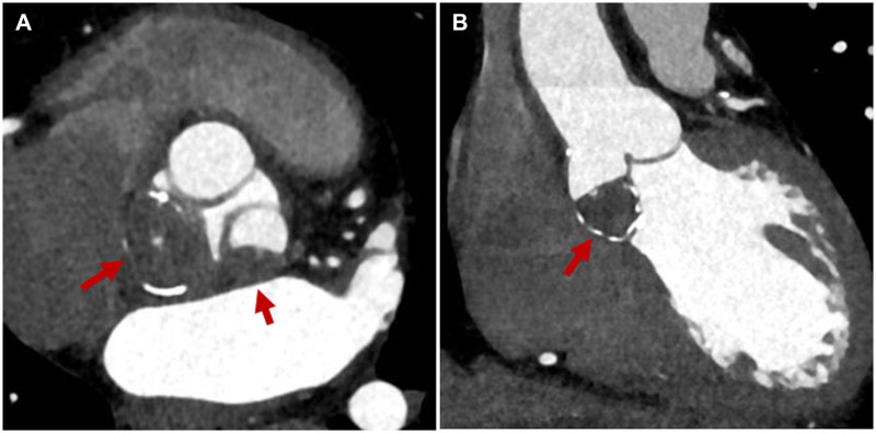
主动脉瓣周围的肿瘤或肿瘤样病变相对罕见且难以诊断。我们报告一个有趣的病例钙化血栓在Valsalva窦和冠状动脉尖,模仿主动脉瓣肿瘤。68岁男性,经超声心动图和增强计算机断层扫描发现,非冠状动脉和左冠状动脉尖部有20毫米钙化肿块,延伸至相应的Valsalva窦。切除病变以确定诊断并防止全身栓塞。术中及组织病理学检查显示非冠状动脉小叶萎缩,Valsalva鼻窦及鼻尖邻近部分动脉粥样硬化灶钙化,伴有溃疡和纤维蛋白血栓。切除病变并行主动脉瓣置换术以避免主动脉瓣功能障碍。患者房颤得到控制,术后3个月停用抗凝药物。手术来确定诊断和预防系统性血栓栓塞被认为是合理的,即使在没有瓣膜功能障碍的情况下。
本文章由计算机程序翻译,如有差异,请以英文原文为准。

Calcified thrombi of the Valsalva sinuses mimicking an aortic valve tumour.

Calcified thrombi of the Valsalva sinuses mimicking an aortic valve tumour.

Calcified thrombi of the Valsalva sinuses mimicking an aortic valve tumour.

Tumours or tumour-like lesions around the aortic valve are relatively rare and are difficult to diagnose. We report an interesting case of calcified thrombi in the Valsalva sinuses and coronary cusps that mimicked an aortic valve tumour. A 68-year-old man presented with a 20-mm calcified mass in the non-coronary and left-coronary cusps extending to their corresponding Valsalva sinuses, which was detected by echocardiography and contrast-enhanced computed tomography. The lesions were resected to establish the diagnosis and prevent systemic embolization. Intraoperative and histopathological examination revealed an atrophied non-coronary leaflet and calcified atherosclerotic lesions of the Valsalva sinuses and contiguous parts of the cusps, with ulceration and fibrin thrombi. The lesions were resected and aortic valve replacement was performed to avoid aortic valve dysfunction. The patient's atrial fibrillation was controlled, and anticoagulants were discontinued 3 months postoperatively. Surgery to establish the diagnosis and to prevent systemic thromboembolism was thought to be reasonable, even in the absence of valvular dysfunction.

求助全文
通过发布文献求助,成功后即可免费获取论文全文。 去求助
来源期刊
Interactive cardiovascular and thoracic surgery
Interactive cardiovascular and thoracic surgery CARDIAC & CARDIOVASCULAR SYSTEMS-
CiteScore
3.30
自引率
0.00%
发文量
292
审稿时长
2-4 weeks
期刊介绍: Interactive CardioVascular and Thoracic Surgery (ICVTS) publishes scientific contributions in the field of cardiovascular and thoracic surgery, covering all aspects of surgery of the heart, vessels and the chest. The journal publishes a range of article types including: Best Evidence Topics; Brief Communications; Case Reports; Original Articles; State-of-the-Art; Work in Progress Report.
×
引用
GB/T 7714-2015
复制
MLA
复制
APA
复制
导出至
BibTeX EndNote RefMan NoteFirst NoteExpress
×
提示
您的信息不完整,为了账户安全,请先补充。
现在去补充
×
提示
您因"违规操作"
具体请查看互助需知
我知道了
×
提示
确定
请完成安全验证×
copy
已复制链接
快去分享给好友吧!
我知道了
右上角分享
点击右上角分享
0
联系我们:info@booksci.cn Book学术提供免费学术资源搜索服务,方便国内外学者检索中英文文献。致力于提供最便捷和优质的服务体验。 Copyright © 2023 布克学术 All rights reserved.
京ICP备2023020795号-1
ghs 京公网安备 11010802042870号
Book学术文献互助
Book学术文献互助群
群 号:604180095
Book学术官方微信