甲巯咪唑致肌炎1例报告及文献复习。

IF 0.7
R Bou Khalil, M Abou Salbi, S Sissi, N El Kara, E Azar, M Khoury, G Abdallah, J Hreiki, S Farhat
{"title":"甲巯咪唑致肌炎1例报告及文献复习。","authors":"R Bou Khalil,&nbsp;M Abou Salbi,&nbsp;S Sissi,&nbsp;N El Kara,&nbsp;E Azar,&nbsp;M Khoury,&nbsp;G Abdallah,&nbsp;J Hreiki,&nbsp;S Farhat","doi":"10.1530/EDM-13-0008","DOIUrl":null,"url":null,"abstract":"<p><strong>Unlabelled: </strong>Methimazole is an anti-thyroid drug commonly used to treat hyperthyroidism and is a relatively safe medication. Several side effects have been reported and usually develop within 3 months of therapy. Well-known adverse reactions include agranulocytosis, hepatitis, skin eruptions, and musculoskeletal complaints such as myalgia, arthralgia, and arthritis. So far, myositis secondary to carbimazole was described in the context of a lupus-like syndrome or other rare cases of anti-neutrophil cytoplasmic antibodies-associated vasculitis. Methimazole-induced myositis occurring independently of such reactions was rarely stated. We report a patient with hyperthyroidism who, early after therapy with methimazole, developed hepatitis, eosinophilia, and fever that resolved completely after stopping the medication as well as a delayed onset of biopsy-proven eosinophilic myositis and fasciitis of gluteal muscles that resolved eventually without any additional therapy. Therefore, we raise the awareness regarding a rare side effect of methimazole: myositis.</p><p><strong>Learning points: </strong>Several differential diagnoses arise when managing a hyperthyroid patient with muscle complaints.Both hyperthyroidism and methimazole are associated with myositis.Methimazole-induced myositis is a rare clinical entity.Resolution of symptoms may occur after stopping methimazole.</p>","PeriodicalId":520608,"journal":{"name":"Endocrinology, diabetes & metabolism case reports","volume":" ","pages":"130008"},"PeriodicalIF":0.7000,"publicationDate":"2013-01-01","publicationTypes":"Journal Article","fieldsOfStudy":null,"isOpenAccess":false,"openAccessPdf":"https://sci-hub-pdf.com/10.1530/EDM-13-0008","citationCount":"10","resultStr":"{\"title\":\"Methimazole-induced myositis: a case report and review of the literature.\",\"authors\":\"R Bou Khalil,&nbsp;M Abou Salbi,&nbsp;S Sissi,&nbsp;N El Kara,&nbsp;E Azar,&nbsp;M Khoury,&nbsp;G Abdallah,&nbsp;J Hreiki,&nbsp;S Farhat\",\"doi\":\"10.1530/EDM-13-0008\",\"DOIUrl\":null,\"url\":null,\"abstract\":\"<p><strong>Unlabelled: </strong>Methimazole is an anti-thyroid drug commonly used to treat hyperthyroidism and is a relatively safe medication. Several side effects have been reported and usually develop within 3 months of therapy. Well-known adverse reactions include agranulocytosis, hepatitis, skin eruptions, and musculoskeletal complaints such as myalgia, arthralgia, and arthritis. So far, myositis secondary to carbimazole was described in the context of a lupus-like syndrome or other rare cases of anti-neutrophil cytoplasmic antibodies-associated vasculitis. Methimazole-induced myositis occurring independently of such reactions was rarely stated. We report a patient with hyperthyroidism who, early after therapy with methimazole, developed hepatitis, eosinophilia, and fever that resolved completely after stopping the medication as well as a delayed onset of biopsy-proven eosinophilic myositis and fasciitis of gluteal muscles that resolved eventually without any additional therapy. Therefore, we raise the awareness regarding a rare side effect of methimazole: myositis.</p><p><strong>Learning points: </strong>Several differential diagnoses arise when managing a hyperthyroid patient with muscle complaints.Both hyperthyroidism and methimazole are associated with myositis.Methimazole-induced myositis is a rare clinical entity.Resolution of symptoms may occur after stopping methimazole.</p>\",\"PeriodicalId\":520608,\"journal\":{\"name\":\"Endocrinology, diabetes & metabolism case reports\",\"volume\":\" \",\"pages\":\"130008\"},\"PeriodicalIF\":0.7000,\"publicationDate\":\"2013-01-01\",\"publicationTypes\":\"Journal Article\",\"fieldsOfStudy\":null,\"isOpenAccess\":false,\"openAccessPdf\":\"https://sci-hub-pdf.com/10.1530/EDM-13-0008\",\"citationCount\":\"10\",\"resultStr\":null,\"platform\":\"Semanticscholar\",\"paperid\":null,\"PeriodicalName\":\"Endocrinology, diabetes & metabolism case reports\",\"FirstCategoryId\":\"1085\",\"ListUrlMain\":\"https://doi.org/10.1530/EDM-13-0008\",\"RegionNum\":0,\"RegionCategory\":null,\"ArticlePicture\":[],\"TitleCN\":null,\"AbstractTextCN\":null,\"PMCID\":null,\"EPubDate\":\"2013/8/30 0:00:00\",\"PubModel\":\"Epub\",\"JCR\":\"\",\"JCRName\":\"\",\"Score\":null,\"Total\":0}","platform":"Semanticscholar","paperid":null,"PeriodicalName":"Endocrinology, diabetes & metabolism case reports","FirstCategoryId":"1085","ListUrlMain":"https://doi.org/10.1530/EDM-13-0008","RegionNum":0,"RegionCategory":null,"ArticlePicture":[],"TitleCN":null,"AbstractTextCN":null,"PMCID":null,"EPubDate":"2013/8/30 0:00:00","PubModel":"Epub","JCR":"","JCRName":"","Score":null,"Total":0}
引用次数: 10

摘要

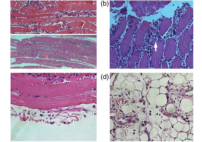
未标示:甲巯咪唑是一种抗甲状腺药物,通常用于治疗甲状腺功能亢进,是一种相对安全的药物。据报道,一些副作用通常在治疗3个月内出现。众所周知的不良反应包括粒细胞缺乏症、肝炎、皮肤皮疹和肌肉骨骼疾病,如肌痛、关节痛和关节炎。到目前为止,卡马唑继发的肌炎是在狼疮样综合征或其他罕见的抗中性粒细胞细胞质抗体相关血管炎的情况下描述的。甲巯咪唑引起的肌炎独立于这些反应发生的报道很少。我们报告一位甲状腺机能亢进患者,在甲巯咪唑治疗后早期,出现肝炎、嗜酸性粒细胞增多和发热,停药后完全消退,以及活检证实的嗜酸性粒细胞性肌炎和臀肌筋膜炎的延迟发作,最终不需要任何额外治疗即可消退。因此,我们提高对甲巯咪唑罕见副作用的认识:肌炎。学习要点:在治疗甲状腺功能亢进患者的肌肉疾病时,会出现几种鉴别诊断。甲亢和甲巯咪唑均与肌炎有关。甲巯咪唑诱发的肌炎是一种罕见的临床疾病。停用甲巯咪唑后症状可得到缓解。
本文章由计算机程序翻译,如有差异,请以英文原文为准。

Methimazole-induced myositis: a case report and review of the literature.

Methimazole-induced myositis: a case report and review of the literature.

Methimazole-induced myositis: a case report and review of the literature.

Methimazole-induced myositis: a case report and review of the literature.

Unlabelled: Methimazole is an anti-thyroid drug commonly used to treat hyperthyroidism and is a relatively safe medication. Several side effects have been reported and usually develop within 3 months of therapy. Well-known adverse reactions include agranulocytosis, hepatitis, skin eruptions, and musculoskeletal complaints such as myalgia, arthralgia, and arthritis. So far, myositis secondary to carbimazole was described in the context of a lupus-like syndrome or other rare cases of anti-neutrophil cytoplasmic antibodies-associated vasculitis. Methimazole-induced myositis occurring independently of such reactions was rarely stated. We report a patient with hyperthyroidism who, early after therapy with methimazole, developed hepatitis, eosinophilia, and fever that resolved completely after stopping the medication as well as a delayed onset of biopsy-proven eosinophilic myositis and fasciitis of gluteal muscles that resolved eventually without any additional therapy. Therefore, we raise the awareness regarding a rare side effect of methimazole: myositis.

Learning points: Several differential diagnoses arise when managing a hyperthyroid patient with muscle complaints.Both hyperthyroidism and methimazole are associated with myositis.Methimazole-induced myositis is a rare clinical entity.Resolution of symptoms may occur after stopping methimazole.

求助全文
通过发布文献求助,成功后即可免费获取论文全文。 去求助
来源期刊
自引率
0.00%
发文量
0
×
引用
GB/T 7714-2015
复制
MLA
复制
APA
复制
导出至
BibTeX EndNote RefMan NoteFirst NoteExpress
×
提示
您的信息不完整,为了账户安全,请先补充。
现在去补充
×
提示
您因"违规操作"
具体请查看互助需知
我知道了
×
提示
确定
请完成安全验证×
copy
已复制链接
快去分享给好友吧!
我知道了
右上角分享
点击右上角分享
0
联系我们:info@booksci.cn Book学术提供免费学术资源搜索服务,方便国内外学者检索中英文文献。致力于提供最便捷和优质的服务体验。 Copyright © 2023 布克学术 All rights reserved.
京ICP备2023020795号-1
ghs 京公网安备 11010802042870号
Book学术文献互助
Book学术文献互助群
群 号:604180095
Book学术官方微信