甲状腺乳头状癌致垂体转移1例并文献复习。

IF 0.7
Viral Chikani, Duncan Lambie, Anthony Russell
{"title":"甲状腺乳头状癌致垂体转移1例并文献复习。","authors":"Viral Chikani,&nbsp;Duncan Lambie,&nbsp;Anthony Russell","doi":"10.1530/EDM-13-0024","DOIUrl":null,"url":null,"abstract":"<p><strong>Unlabelled: </strong>Metastases to the pituitary gland are an uncommon complication of thyroid cancer. They resemble pituitary neoplasms posing a diagnostic challenge. We present a case of an aggressive non-radioiodine avid papillary thyroid cancer with recurrent pituitary metastases and a review of the literature. A 70-year-old woman with a history of papillary thyroid cancer and bony metastases presented with symptoms of hypoadrenalism and peripheral vision loss. Magnetic resonance imaging showed a large pituitary mass impinging on the optic chiasm. She underwent transsphenoidal resection followed by (131)I ablation. Post-therapy scintigraphy showed no iodine uptake in the sellar region or bony metastases. Histology of the pituitary mass confirmed metastatic papillary thyroid cancer. Fifteen months later, she had a recurrence of pituitary metastases affecting her vision. This was resected and followed with external beam radiotherapy. Over 2 years, the pituitary metastases increased in size and required two further operations. Radioactive iodine was not considered due to poor response in the past. Progressively, she developed a left-sided III and IV cranial nerve palsy and permanent bitemporal hemianopia. There was a rapid decline in the patient's health with further imaging revealing new lung and bony metastases, and she eventually died 8 months later. To our knowledge, this is the first case of pituitary metastases from a radioiodine-resistant papillary thyroid cancer. Radioiodine-resistant metastatic thyroid cancer may exhibit rapid aggressive growth and remain poorly responsive to the currently available treatment.</p><p><strong>Learning points: </strong>Differentiated thyroid cancer (DTC) has an excellent prognosis with <5% of the cases presenting with distant metastases, usually to lung and bone.Metastasis to the pituitary is a rare complication of DTC.The diagnosis of pituitary insufficiency secondary to pituitary metastases from DTC may be delayed due to the non-specific systemic symptoms of underlying malignancy and TSH suppression therapy for thyroid cancer.The imaging characteristics of metastases to the pituitary may be similar to non-functioning pituitary adenoma.Radioiodine refractory metastatic thyroid cancer has significantly lower survival rates compared with radioactive iodine-avid metastases due to limited therapeutic options.</p>","PeriodicalId":520608,"journal":{"name":"Endocrinology, diabetes & metabolism case reports","volume":" ","pages":"130024"},"PeriodicalIF":0.7000,"publicationDate":"2013-01-01","publicationTypes":"Journal Article","fieldsOfStudy":null,"isOpenAccess":false,"openAccessPdf":"https://www.ncbi.nlm.nih.gov/pmc/articles/PMC3922192/pdf/","citationCount":"8","resultStr":"{\"title\":\"Pituitary metastases from papillary carcinoma of thyroid: a case report and literature review.\",\"authors\":\"Viral Chikani,&nbsp;Duncan Lambie,&nbsp;Anthony Russell\",\"doi\":\"10.1530/EDM-13-0024\",\"DOIUrl\":null,\"url\":null,\"abstract\":\"<p><strong>Unlabelled: </strong>Metastases to the pituitary gland are an uncommon complication of thyroid cancer. They resemble pituitary neoplasms posing a diagnostic challenge. We present a case of an aggressive non-radioiodine avid papillary thyroid cancer with recurrent pituitary metastases and a review of the literature. A 70-year-old woman with a history of papillary thyroid cancer and bony metastases presented with symptoms of hypoadrenalism and peripheral vision loss. Magnetic resonance imaging showed a large pituitary mass impinging on the optic chiasm. She underwent transsphenoidal resection followed by (131)I ablation. Post-therapy scintigraphy showed no iodine uptake in the sellar region or bony metastases. Histology of the pituitary mass confirmed metastatic papillary thyroid cancer. Fifteen months later, she had a recurrence of pituitary metastases affecting her vision. This was resected and followed with external beam radiotherapy. Over 2 years, the pituitary metastases increased in size and required two further operations. Radioactive iodine was not considered due to poor response in the past. Progressively, she developed a left-sided III and IV cranial nerve palsy and permanent bitemporal hemianopia. There was a rapid decline in the patient's health with further imaging revealing new lung and bony metastases, and she eventually died 8 months later. To our knowledge, this is the first case of pituitary metastases from a radioiodine-resistant papillary thyroid cancer. Radioiodine-resistant metastatic thyroid cancer may exhibit rapid aggressive growth and remain poorly responsive to the currently available treatment.</p><p><strong>Learning points: </strong>Differentiated thyroid cancer (DTC) has an excellent prognosis with <5% of the cases presenting with distant metastases, usually to lung and bone.Metastasis to the pituitary is a rare complication of DTC.The diagnosis of pituitary insufficiency secondary to pituitary metastases from DTC may be delayed due to the non-specific systemic symptoms of underlying malignancy and TSH suppression therapy for thyroid cancer.The imaging characteristics of metastases to the pituitary may be similar to non-functioning pituitary adenoma.Radioiodine refractory metastatic thyroid cancer has significantly lower survival rates compared with radioactive iodine-avid metastases due to limited therapeutic options.</p>\",\"PeriodicalId\":520608,\"journal\":{\"name\":\"Endocrinology, diabetes & metabolism case reports\",\"volume\":\" \",\"pages\":\"130024\"},\"PeriodicalIF\":0.7000,\"publicationDate\":\"2013-01-01\",\"publicationTypes\":\"Journal Article\",\"fieldsOfStudy\":null,\"isOpenAccess\":false,\"openAccessPdf\":\"https://www.ncbi.nlm.nih.gov/pmc/articles/PMC3922192/pdf/\",\"citationCount\":\"8\",\"resultStr\":null,\"platform\":\"Semanticscholar\",\"paperid\":null,\"PeriodicalName\":\"Endocrinology, diabetes & metabolism case reports\",\"FirstCategoryId\":\"1085\",\"ListUrlMain\":\"https://doi.org/10.1530/EDM-13-0024\",\"RegionNum\":0,\"RegionCategory\":null,\"ArticlePicture\":[],\"TitleCN\":null,\"AbstractTextCN\":null,\"PMCID\":null,\"EPubDate\":\"2013/8/30 0:00:00\",\"PubModel\":\"Epub\",\"JCR\":\"\",\"JCRName\":\"\",\"Score\":null,\"Total\":0}","platform":"Semanticscholar","paperid":null,"PeriodicalName":"Endocrinology, diabetes & metabolism case reports","FirstCategoryId":"1085","ListUrlMain":"https://doi.org/10.1530/EDM-13-0024","RegionNum":0,"RegionCategory":null,"ArticlePicture":[],"TitleCN":null,"AbstractTextCN":null,"PMCID":null,"EPubDate":"2013/8/30 0:00:00","PubModel":"Epub","JCR":"","JCRName":"","Score":null,"Total":0}
引用次数: 8

摘要

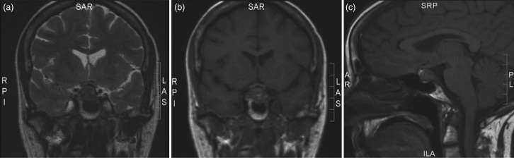
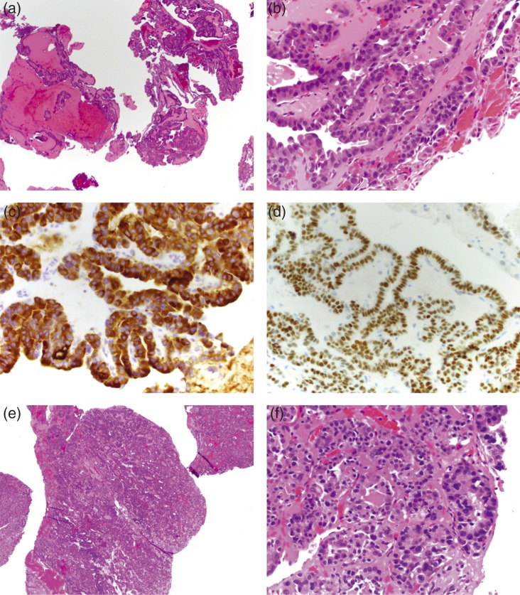
未标记:转移到垂体是一个罕见的并发症甲状腺癌。它们类似于脑垂体肿瘤,给诊断带来了挑战。我们报告一例侵袭性非放射性碘性甲状腺乳头状癌伴复发性垂体转移,并复习文献。一位70岁女性,有甲状腺乳头状癌和骨转移病史,表现为肾上腺功能减退和周围视力丧失。磁共振显示一个大的垂体肿块冲击视交叉。她接受了经蝶窦切除术和(131)I消融。治疗后显像显示鞍区无碘摄取或骨转移。垂体肿块的组织学证实转移性甲状腺乳头状癌。15个月后,她的垂体转移瘤复发,影响了她的视力。切除后进行外束放疗。超过2年,垂体转移增大,需要两次进一步的手术。过去由于反应不佳,没有考虑放射性碘。她逐渐发展为左侧III型和IV型脑神经麻痹和永久性双颞偏盲。患者的健康状况迅速下降,进一步的影像学显示新的肺部和骨骼转移,最终在8个月后死亡。据我们所知,这是第一例垂体转移从放射性碘抵抗乳头状甲状腺癌。放射性碘耐药转移性甲状腺癌可能表现出快速的侵袭性生长,并且对目前可用的治疗反应不佳。学习要点:分化型甲状腺癌(DTC)预后良好
本文章由计算机程序翻译,如有差异,请以英文原文为准。

Pituitary metastases from papillary carcinoma of thyroid: a case report and literature review.

Pituitary metastases from papillary carcinoma of thyroid: a case report and literature review.

Pituitary metastases from papillary carcinoma of thyroid: a case report and literature review.

Pituitary metastases from papillary carcinoma of thyroid: a case report and literature review.

Unlabelled: Metastases to the pituitary gland are an uncommon complication of thyroid cancer. They resemble pituitary neoplasms posing a diagnostic challenge. We present a case of an aggressive non-radioiodine avid papillary thyroid cancer with recurrent pituitary metastases and a review of the literature. A 70-year-old woman with a history of papillary thyroid cancer and bony metastases presented with symptoms of hypoadrenalism and peripheral vision loss. Magnetic resonance imaging showed a large pituitary mass impinging on the optic chiasm. She underwent transsphenoidal resection followed by (131)I ablation. Post-therapy scintigraphy showed no iodine uptake in the sellar region or bony metastases. Histology of the pituitary mass confirmed metastatic papillary thyroid cancer. Fifteen months later, she had a recurrence of pituitary metastases affecting her vision. This was resected and followed with external beam radiotherapy. Over 2 years, the pituitary metastases increased in size and required two further operations. Radioactive iodine was not considered due to poor response in the past. Progressively, she developed a left-sided III and IV cranial nerve palsy and permanent bitemporal hemianopia. There was a rapid decline in the patient's health with further imaging revealing new lung and bony metastases, and she eventually died 8 months later. To our knowledge, this is the first case of pituitary metastases from a radioiodine-resistant papillary thyroid cancer. Radioiodine-resistant metastatic thyroid cancer may exhibit rapid aggressive growth and remain poorly responsive to the currently available treatment.

Learning points: Differentiated thyroid cancer (DTC) has an excellent prognosis with <5% of the cases presenting with distant metastases, usually to lung and bone.Metastasis to the pituitary is a rare complication of DTC.The diagnosis of pituitary insufficiency secondary to pituitary metastases from DTC may be delayed due to the non-specific systemic symptoms of underlying malignancy and TSH suppression therapy for thyroid cancer.The imaging characteristics of metastases to the pituitary may be similar to non-functioning pituitary adenoma.Radioiodine refractory metastatic thyroid cancer has significantly lower survival rates compared with radioactive iodine-avid metastases due to limited therapeutic options.

求助全文
通过发布文献求助,成功后即可免费获取论文全文。 去求助
来源期刊
自引率
0.00%
发文量
0
×
引用
GB/T 7714-2015
复制
MLA
复制
APA
复制
导出至
BibTeX EndNote RefMan NoteFirst NoteExpress
×
提示
您的信息不完整,为了账户安全,请先补充。
现在去补充
×
提示
您因"违规操作"
具体请查看互助需知
我知道了
×
提示
确定
请完成安全验证×
copy
已复制链接
快去分享给好友吧!
我知道了
右上角分享
点击右上角分享
0
联系我们:info@booksci.cn Book学术提供免费学术资源搜索服务,方便国内外学者检索中英文文献。致力于提供最便捷和优质的服务体验。 Copyright © 2023 布克学术 All rights reserved.
京ICP备2023020795号-1
ghs 京公网安备 11010802042870号
Book学术文献互助
Book学术文献互助群
群 号:604180095
Book学术官方微信