针吸PTH诊断甲状旁腺囊肿所致原发性甲状旁腺功能亢进。

IF 0.7
Deep Dutta, Chitra Selvan, Manoj Kumar, Saumik Datta, Ram Narayan Das, Sujoy Ghosh, Satinath Mukhopadhyay, Subhankar Chowdhury
{"title":"针吸PTH诊断甲状旁腺囊肿所致原发性甲状旁腺功能亢进。","authors":"Deep Dutta,&nbsp;Chitra Selvan,&nbsp;Manoj Kumar,&nbsp;Saumik Datta,&nbsp;Ram Narayan Das,&nbsp;Sujoy Ghosh,&nbsp;Satinath Mukhopadhyay,&nbsp;Subhankar Chowdhury","doi":"10.1530/EDM-13-0019","DOIUrl":null,"url":null,"abstract":"<p><strong>Unlabelled: </strong>Parathyroid cysts are rare (0.8-3.41% of all parathyroid lesions) and usually arise secondary to cystic degeneration of parathyroid adenomas. Intrathyroidal parathyroid cysts are extremely rare with only three cases reported till date. We present a 24-year-old female with clinical and biochemical features of primary hyperparathyroidism (PHPT; Ca(2) (+): 12.1 mg/dl; intact parathyroid hormone (iPTH): 1283 pg/ml) and poor radiotracer uptake with minimal residual uptake in the left thyroid lobe at 2 and 4 h on Tc(99m) sestamibi imaging. Neck ultrasonography (USG) revealed 0.6×1 cm parathyroid posterior left lobe of thyroid along with 22×18 mm simple thyroid cyst. USG-guided fine-needle aspiration (FNA) and needle tip iPTH estimation (FNA-iPTH) from parathyroid lesion was inconclusive (114 pg/ml), necessitating FNA of thyroid cyst, which revealed high iPTH (3480 pg/ml) from the aspirate. The patient underwent a left hemithyroidectomy. A >50% drop in serum iPTH 20 min after left hemithyroidectomy (29.4 pg/ml) along with histopathology suggestive of intrathyroidal cystic parathyroid adenoma (cystic lesion lined by chief cell variant parathyroid cells without any nuclear atypia, capsular or vascular invasion surrounded by normal thyroid follicles) confirmed that the parathyroid cyst was responsible for PHPT. This report highlights the importance of FNA-iPTH in localizing and differentiating a functional parathyroid lesion from nonfunctional tissue in PHPT.</p><p><strong>Learning points: </strong>Fine-needle aspiration from suspected parathyroid lesion and needle tip iPTH (FNA-iPTH) estimation from the saline washing has an important role in localizing primary hyperparathyroidism (PHPT).FNA-iPTH estimation may help in differentiating functional from nonfunctional parathyroid lesion responsible for PHPT.iPTH estimation from aspirate of an intrathyroid cyst is helpful in differentiating intrathyroidal parathyroid cyst from thyroid cyst.</p>","PeriodicalId":520608,"journal":{"name":"Endocrinology, diabetes & metabolism case reports","volume":" ","pages":"130019"},"PeriodicalIF":0.7000,"publicationDate":"2013-01-01","publicationTypes":"Journal Article","fieldsOfStudy":null,"isOpenAccess":false,"openAccessPdf":"https://www.ncbi.nlm.nih.gov/pmc/articles/PMC3922279/pdf/","citationCount":"18","resultStr":"{\"title\":\"Needle aspirate PTH in diagnosis of primary hyperparathyroidism due to intrathyroidal parathyroid cyst.\",\"authors\":\"Deep Dutta,&nbsp;Chitra Selvan,&nbsp;Manoj Kumar,&nbsp;Saumik Datta,&nbsp;Ram Narayan Das,&nbsp;Sujoy Ghosh,&nbsp;Satinath Mukhopadhyay,&nbsp;Subhankar Chowdhury\",\"doi\":\"10.1530/EDM-13-0019\",\"DOIUrl\":null,\"url\":null,\"abstract\":\"<p><strong>Unlabelled: </strong>Parathyroid cysts are rare (0.8-3.41% of all parathyroid lesions) and usually arise secondary to cystic degeneration of parathyroid adenomas. Intrathyroidal parathyroid cysts are extremely rare with only three cases reported till date. We present a 24-year-old female with clinical and biochemical features of primary hyperparathyroidism (PHPT; Ca(2) (+): 12.1 mg/dl; intact parathyroid hormone (iPTH): 1283 pg/ml) and poor radiotracer uptake with minimal residual uptake in the left thyroid lobe at 2 and 4 h on Tc(99m) sestamibi imaging. Neck ultrasonography (USG) revealed 0.6×1 cm parathyroid posterior left lobe of thyroid along with 22×18 mm simple thyroid cyst. USG-guided fine-needle aspiration (FNA) and needle tip iPTH estimation (FNA-iPTH) from parathyroid lesion was inconclusive (114 pg/ml), necessitating FNA of thyroid cyst, which revealed high iPTH (3480 pg/ml) from the aspirate. The patient underwent a left hemithyroidectomy. A >50% drop in serum iPTH 20 min after left hemithyroidectomy (29.4 pg/ml) along with histopathology suggestive of intrathyroidal cystic parathyroid adenoma (cystic lesion lined by chief cell variant parathyroid cells without any nuclear atypia, capsular or vascular invasion surrounded by normal thyroid follicles) confirmed that the parathyroid cyst was responsible for PHPT. This report highlights the importance of FNA-iPTH in localizing and differentiating a functional parathyroid lesion from nonfunctional tissue in PHPT.</p><p><strong>Learning points: </strong>Fine-needle aspiration from suspected parathyroid lesion and needle tip iPTH (FNA-iPTH) estimation from the saline washing has an important role in localizing primary hyperparathyroidism (PHPT).FNA-iPTH estimation may help in differentiating functional from nonfunctional parathyroid lesion responsible for PHPT.iPTH estimation from aspirate of an intrathyroid cyst is helpful in differentiating intrathyroidal parathyroid cyst from thyroid cyst.</p>\",\"PeriodicalId\":520608,\"journal\":{\"name\":\"Endocrinology, diabetes & metabolism case reports\",\"volume\":\" \",\"pages\":\"130019\"},\"PeriodicalIF\":0.7000,\"publicationDate\":\"2013-01-01\",\"publicationTypes\":\"Journal Article\",\"fieldsOfStudy\":null,\"isOpenAccess\":false,\"openAccessPdf\":\"https://www.ncbi.nlm.nih.gov/pmc/articles/PMC3922279/pdf/\",\"citationCount\":\"18\",\"resultStr\":null,\"platform\":\"Semanticscholar\",\"paperid\":null,\"PeriodicalName\":\"Endocrinology, diabetes & metabolism case reports\",\"FirstCategoryId\":\"1085\",\"ListUrlMain\":\"https://doi.org/10.1530/EDM-13-0019\",\"RegionNum\":0,\"RegionCategory\":null,\"ArticlePicture\":[],\"TitleCN\":null,\"AbstractTextCN\":null,\"PMCID\":null,\"EPubDate\":\"2013/7/1 0:00:00\",\"PubModel\":\"Epub\",\"JCR\":\"\",\"JCRName\":\"\",\"Score\":null,\"Total\":0}","platform":"Semanticscholar","paperid":null,"PeriodicalName":"Endocrinology, diabetes & metabolism case reports","FirstCategoryId":"1085","ListUrlMain":"https://doi.org/10.1530/EDM-13-0019","RegionNum":0,"RegionCategory":null,"ArticlePicture":[],"TitleCN":null,"AbstractTextCN":null,"PMCID":null,"EPubDate":"2013/7/1 0:00:00","PubModel":"Epub","JCR":"","JCRName":"","Score":null,"Total":0}
引用次数: 18

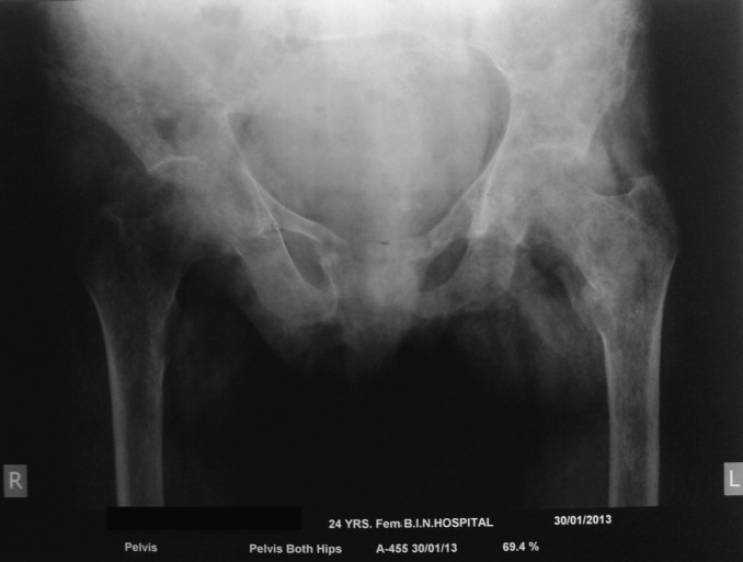
摘要

未标记:甲状旁腺囊肿罕见(占所有甲状旁腺病变的0.8-3.41%),通常继发于甲状旁腺瘤囊变性。甲状旁腺囊肿极为罕见,至今仅报告3例。我们报告一位24岁女性,其临床和生化特征为原发性甲状旁腺功能亢进(PHPT;Ca(2) (+): 12.1 mg/dl;完整的甲状旁腺激素(iPTH): 1283 pg/ml)和放射性示踪剂摄取不良,在Tc(99m) sestamibi成像2和4 h时左甲状腺叶残留少量摄取。颈部超声(USG)示0.6×1厘米甲状旁腺左后叶伴22×18毫米单纯性甲状腺囊肿。usg引导下甲状旁腺病变的细针穿刺(FNA)和针尖iPTH (FNA-iPTH)不确定(114 pg/ml),需要对甲状腺囊肿进行FNA检查,结果显示抽吸物iPTH高(3480 pg/ml)。患者接受了左侧甲状腺切除术。左侧甲状旁腺切除术后20分钟血清iPTH下降>50% (29.4 pg/ml),组织病理学提示甲状腺内囊性甲状旁腺腺瘤(囊性病变由主要细胞变异型甲状旁腺细胞排列,无核异型,被正常甲状腺滤泡包围的包膜或血管浸润),证实甲状旁腺囊肿是PHPT的原因。本报告强调了FNA-iPTH在PHPT中定位和区分功能性甲状旁腺病变与非功能性组织的重要性。学习要点:疑似甲状旁腺病变的细针穿刺和生理盐水冲洗的针尖iPTH (FNA-iPTH)估计在原发性甲状旁腺功能亢进(PHPT)的定位中具有重要作用。FNA-iPTH估计可能有助于区分PHPT的功能性和非功能性甲状旁腺病变。从抽吸的甲状旁腺囊肿估计iPTH有助于区分甲状旁腺囊肿和甲状腺囊肿。
本文章由计算机程序翻译,如有差异,请以英文原文为准。

Needle aspirate PTH in diagnosis of primary hyperparathyroidism due to intrathyroidal parathyroid cyst.

Needle aspirate PTH in diagnosis of primary hyperparathyroidism due to intrathyroidal parathyroid cyst.

Needle aspirate PTH in diagnosis of primary hyperparathyroidism due to intrathyroidal parathyroid cyst.

Needle aspirate PTH in diagnosis of primary hyperparathyroidism due to intrathyroidal parathyroid cyst.

Unlabelled: Parathyroid cysts are rare (0.8-3.41% of all parathyroid lesions) and usually arise secondary to cystic degeneration of parathyroid adenomas. Intrathyroidal parathyroid cysts are extremely rare with only three cases reported till date. We present a 24-year-old female with clinical and biochemical features of primary hyperparathyroidism (PHPT; Ca(2) (+): 12.1 mg/dl; intact parathyroid hormone (iPTH): 1283 pg/ml) and poor radiotracer uptake with minimal residual uptake in the left thyroid lobe at 2 and 4 h on Tc(99m) sestamibi imaging. Neck ultrasonography (USG) revealed 0.6×1 cm parathyroid posterior left lobe of thyroid along with 22×18 mm simple thyroid cyst. USG-guided fine-needle aspiration (FNA) and needle tip iPTH estimation (FNA-iPTH) from parathyroid lesion was inconclusive (114 pg/ml), necessitating FNA of thyroid cyst, which revealed high iPTH (3480 pg/ml) from the aspirate. The patient underwent a left hemithyroidectomy. A >50% drop in serum iPTH 20 min after left hemithyroidectomy (29.4 pg/ml) along with histopathology suggestive of intrathyroidal cystic parathyroid adenoma (cystic lesion lined by chief cell variant parathyroid cells without any nuclear atypia, capsular or vascular invasion surrounded by normal thyroid follicles) confirmed that the parathyroid cyst was responsible for PHPT. This report highlights the importance of FNA-iPTH in localizing and differentiating a functional parathyroid lesion from nonfunctional tissue in PHPT.

Learning points: Fine-needle aspiration from suspected parathyroid lesion and needle tip iPTH (FNA-iPTH) estimation from the saline washing has an important role in localizing primary hyperparathyroidism (PHPT).FNA-iPTH estimation may help in differentiating functional from nonfunctional parathyroid lesion responsible for PHPT.iPTH estimation from aspirate of an intrathyroid cyst is helpful in differentiating intrathyroidal parathyroid cyst from thyroid cyst.

求助全文
通过发布文献求助,成功后即可免费获取论文全文。 去求助
来源期刊
自引率
0.00%
发文量
0
×
引用
GB/T 7714-2015
复制
MLA
复制
APA
复制
导出至
BibTeX EndNote RefMan NoteFirst NoteExpress
×
提示
您的信息不完整,为了账户安全,请先补充。
现在去补充
×
提示
您因"违规操作"
具体请查看互助需知
我知道了
×
提示
确定
请完成安全验证×
copy
已复制链接
快去分享给好友吧!
我知道了
右上角分享
点击右上角分享
0
联系我们:info@booksci.cn Book学术提供免费学术资源搜索服务,方便国内外学者检索中英文文献。致力于提供最便捷和优质的服务体验。 Copyright © 2023 布克学术 All rights reserved.
京ICP备2023020795号-1
ghs 京公网安备 11010802042870号
Book学术文献互助
Book学术文献互助群
群 号:604180095
Book学术官方微信