人类后内侧(楔前叶)皮层的纺锤状神经元。

IF 4.1 4区 医学 Q2 NEUROSCIENCES
Frontiers in Synaptic Neuroscience Pub Date : 2022-01-11 eCollection Date: 2021-01-01 DOI:10.3389/fnsyn.2021.769228
Francisco Javier Fuentealba-Villarroel, Josué Renner, Arlete Hilbig, Oliver J Bruton, Alberto A Rasia-Filho
{"title":"人类后内侧(楔前叶)皮层的纺锤状神经元。","authors":"Francisco Javier Fuentealba-Villarroel,&nbsp;Josué Renner,&nbsp;Arlete Hilbig,&nbsp;Oliver J Bruton,&nbsp;Alberto A Rasia-Filho","doi":"10.3389/fnsyn.2021.769228","DOIUrl":null,"url":null,"abstract":"<p><p>The human posteromedial cortex (PMC), which includes the precuneus (PC), represents a multimodal brain area implicated in emotion, conscious awareness, spatial cognition, and social behavior. Here, we describe the presence of Nissl-stained elongated spindle-shaped neurons (suggestive of von Economo neurons, VENs) in the cortical layer V of the anterior and central PC of adult humans. The adapted \"single-section\" Golgi method for <i>postmortem</i> tissue was used to study these neurons close to pyramidal ones in layer V until merging with layer VI polymorphic cells. From three-dimensional (3D) reconstructed images, we describe the cell body, two main longitudinally oriented ascending and descending dendrites as well as the occurrence of spines from proximal to distal segments. The primary dendritic shafts give rise to thin collateral branches with a radial orientation, and pleomorphic spines were observed with a sparse to moderate density along the dendritic length. Other spindle-shaped cells were observed with straight dendritic shafts and rare branches or with an axon emerging from the soma. We discuss the morphology of these cells and those considered VENs in cortical areas forming integrated brain networks for higher-order activities. The presence of spindle-shaped neurons and the current discussion on the morphology of putative VENs address the need for an in-depth neurochemical and transcriptomic characterization of the PC cytoarchitecture. These findings would include these spindle-shaped cells in the synaptic and information processing by the default mode network and for general intelligence in healthy individuals and in neuropsychiatric disorders involving the PC in the context of the PMC functioning.</p>","PeriodicalId":12650,"journal":{"name":"Frontiers in Synaptic Neuroscience","volume":" ","pages":"769228"},"PeriodicalIF":4.1000,"publicationDate":"2022-01-11","publicationTypes":"Journal Article","fieldsOfStudy":null,"isOpenAccess":false,"openAccessPdf":"https://www.ncbi.nlm.nih.gov/pmc/articles/PMC8787311/pdf/","citationCount":"4","resultStr":"{\"title\":\"Spindle-Shaped Neurons in the Human Posteromedial (Precuneus) Cortex.\",\"authors\":\"Francisco Javier Fuentealba-Villarroel,&nbsp;Josué Renner,&nbsp;Arlete Hilbig,&nbsp;Oliver J Bruton,&nbsp;Alberto A Rasia-Filho\",\"doi\":\"10.3389/fnsyn.2021.769228\",\"DOIUrl\":null,\"url\":null,\"abstract\":\"<p><p>The human posteromedial cortex (PMC), which includes the precuneus (PC), represents a multimodal brain area implicated in emotion, conscious awareness, spatial cognition, and social behavior. Here, we describe the presence of Nissl-stained elongated spindle-shaped neurons (suggestive of von Economo neurons, VENs) in the cortical layer V of the anterior and central PC of adult humans. The adapted \\\"single-section\\\" Golgi method for <i>postmortem</i> tissue was used to study these neurons close to pyramidal ones in layer V until merging with layer VI polymorphic cells. From three-dimensional (3D) reconstructed images, we describe the cell body, two main longitudinally oriented ascending and descending dendrites as well as the occurrence of spines from proximal to distal segments. The primary dendritic shafts give rise to thin collateral branches with a radial orientation, and pleomorphic spines were observed with a sparse to moderate density along the dendritic length. Other spindle-shaped cells were observed with straight dendritic shafts and rare branches or with an axon emerging from the soma. We discuss the morphology of these cells and those considered VENs in cortical areas forming integrated brain networks for higher-order activities. The presence of spindle-shaped neurons and the current discussion on the morphology of putative VENs address the need for an in-depth neurochemical and transcriptomic characterization of the PC cytoarchitecture. These findings would include these spindle-shaped cells in the synaptic and information processing by the default mode network and for general intelligence in healthy individuals and in neuropsychiatric disorders involving the PC in the context of the PMC functioning.</p>\",\"PeriodicalId\":12650,\"journal\":{\"name\":\"Frontiers in Synaptic Neuroscience\",\"volume\":\" \",\"pages\":\"769228\"},\"PeriodicalIF\":4.1000,\"publicationDate\":\"2022-01-11\",\"publicationTypes\":\"Journal Article\",\"fieldsOfStudy\":null,\"isOpenAccess\":false,\"openAccessPdf\":\"https://www.ncbi.nlm.nih.gov/pmc/articles/PMC8787311/pdf/\",\"citationCount\":\"4\",\"resultStr\":null,\"platform\":\"Semanticscholar\",\"paperid\":null,\"PeriodicalName\":\"Frontiers in Synaptic Neuroscience\",\"FirstCategoryId\":\"3\",\"ListUrlMain\":\"https://doi.org/10.3389/fnsyn.2021.769228\",\"RegionNum\":4,\"RegionCategory\":\"医学\",\"ArticlePicture\":[],\"TitleCN\":null,\"AbstractTextCN\":null,\"PMCID\":null,\"EPubDate\":\"2021/1/1 0:00:00\",\"PubModel\":\"eCollection\",\"JCR\":\"Q2\",\"JCRName\":\"NEUROSCIENCES\",\"Score\":null,\"Total\":0}","platform":"Semanticscholar","paperid":null,"PeriodicalName":"Frontiers in Synaptic Neuroscience","FirstCategoryId":"3","ListUrlMain":"https://doi.org/10.3389/fnsyn.2021.769228","RegionNum":4,"RegionCategory":"医学","ArticlePicture":[],"TitleCN":null,"AbstractTextCN":null,"PMCID":null,"EPubDate":"2021/1/1 0:00:00","PubModel":"eCollection","JCR":"Q2","JCRName":"NEUROSCIENCES","Score":null,"Total":0}
引用次数: 4

摘要

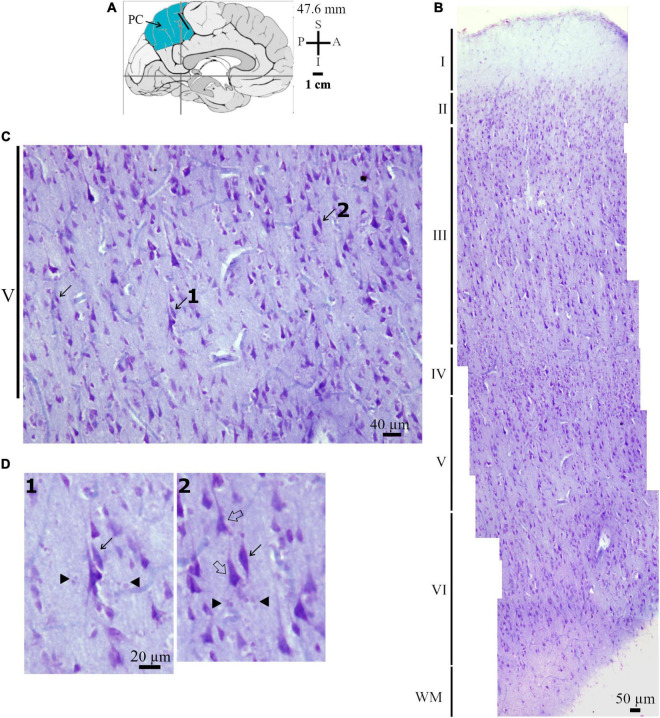
人类后内侧皮层(PMC),包括楔前叶(PC),是一个涉及情感、意识意识、空间认知和社会行为的多模态脑区。在这里,我们描述了nisl染色的细长纺锤形神经元(提示von Economo神经元,VENs)在成人前和中央PC皮层V层的存在。采用死后组织的“单切片”高尔基方法研究V层中靠近锥体的神经元,直到与VI层多态细胞融合。从三维(3D)重建图像中,我们描述了细胞体,两个主要的纵向上行和下行树突以及从近端到远端节段的棘的出现。初生枝晶轴产生细的径向侧枝,沿枝晶长度分布有稀疏到中等密度的多形性棘。其他纺锤形细胞有直的树突轴和罕见的分支,或有轴突从体细胞中伸出。我们讨论了这些细胞的形态和那些被认为是大脑皮层区域形成高阶活动的综合脑网络的细胞。纺锤形神经元的存在和目前对假定的VENs形态的讨论解决了对PC细胞结构进行深入的神经化学和转录组学表征的需要。这些发现将包括这些纺锤形细胞在突触和信息处理中的默认模式网络,以及健康个体的一般智力,以及涉及PC在PMC功能背景下的神经精神疾病。
本文章由计算机程序翻译,如有差异,请以英文原文为准。

Spindle-Shaped Neurons in the Human Posteromedial (Precuneus) Cortex.

Spindle-Shaped Neurons in the Human Posteromedial (Precuneus) Cortex.

Spindle-Shaped Neurons in the Human Posteromedial (Precuneus) Cortex.

Spindle-Shaped Neurons in the Human Posteromedial (Precuneus) Cortex.

The human posteromedial cortex (PMC), which includes the precuneus (PC), represents a multimodal brain area implicated in emotion, conscious awareness, spatial cognition, and social behavior. Here, we describe the presence of Nissl-stained elongated spindle-shaped neurons (suggestive of von Economo neurons, VENs) in the cortical layer V of the anterior and central PC of adult humans. The adapted "single-section" Golgi method for postmortem tissue was used to study these neurons close to pyramidal ones in layer V until merging with layer VI polymorphic cells. From three-dimensional (3D) reconstructed images, we describe the cell body, two main longitudinally oriented ascending and descending dendrites as well as the occurrence of spines from proximal to distal segments. The primary dendritic shafts give rise to thin collateral branches with a radial orientation, and pleomorphic spines were observed with a sparse to moderate density along the dendritic length. Other spindle-shaped cells were observed with straight dendritic shafts and rare branches or with an axon emerging from the soma. We discuss the morphology of these cells and those considered VENs in cortical areas forming integrated brain networks for higher-order activities. The presence of spindle-shaped neurons and the current discussion on the morphology of putative VENs address the need for an in-depth neurochemical and transcriptomic characterization of the PC cytoarchitecture. These findings would include these spindle-shaped cells in the synaptic and information processing by the default mode network and for general intelligence in healthy individuals and in neuropsychiatric disorders involving the PC in the context of the PMC functioning.

求助全文
通过发布文献求助,成功后即可免费获取论文全文。 去求助
来源期刊
CiteScore
7.10
自引率
2.70%
发文量
74
审稿时长
14 weeks
×
引用
GB/T 7714-2015
复制
MLA
复制
APA
复制
导出至
BibTeX EndNote RefMan NoteFirst NoteExpress
×
提示
您的信息不完整,为了账户安全,请先补充。
现在去补充
×
提示
您因"违规操作"
具体请查看互助需知
我知道了
×
提示
确定
请完成安全验证×
copy
已复制链接
快去分享给好友吧!
我知道了
右上角分享
点击右上角分享
0
联系我们:info@booksci.cn Book学术提供免费学术资源搜索服务,方便国内外学者检索中英文文献。致力于提供最便捷和优质的服务体验。 Copyright © 2023 布克学术 All rights reserved.
京ICP备2023020795号-1
ghs 京公网安备 11010802042870号
Book学术文献互助
Book学术文献互助群
群 号:604180095
Book学术官方微信