子宫腺肌病引起的子宫内膜浆液性癌:临床病理观察。

Amrita Talwar, Pushpanjali Behera, Arvind Ahuja, Bani Sarkar, Ravi Hari Phulware
{"title":"子宫腺肌病引起的子宫内膜浆液性癌:临床病理观察。","authors":"Amrita Talwar,&nbsp;Pushpanjali Behera,&nbsp;Arvind Ahuja,&nbsp;Bani Sarkar,&nbsp;Ravi Hari Phulware","doi":"10.18502/jfrh.v15i2.6454","DOIUrl":null,"url":null,"abstract":"<p><p><b>Objective:</b> Endometrial cancer (EC) is the most commonly diagnosed malignancy and has the second-highest mortality rate among gynecological cancers. Adenomyosis is well-known for abnormal uterine bleeding and is a widely reported entity; however, an EC arising from the adenomyosis is a rare event; even rarer is the occurrence of serous endometrial carcinoma. <b>Case report</b> <b>:</b> A 60-year post-menopausal female presented with post-menopausal bleeding. Subsequently, she underwent a hysterectomy, which showed atrophic and cystic endometrium with extensive adenomyosis and atypical endometrial glands, which are diffusely P53 positive with intervening negative benign and focally positive dysplastic endometrial glands. A final diagnosis of serous endometrial carcinoma arising from adenomyosis was rendered. In a table format, previously reported serous endometrial carcinoma Arising cases from adenomyosis using PubMed search had been described. <b>Conclusion:</b> Serous endometrial carcinoma arising from adenomyosis (<20 cases reported) and has a slightly more dismal prognosis than those deriving from the endometrial cavity. Hence, this case report highlights the occurrence, rarity, and importance of such an entity.</p>","PeriodicalId":15845,"journal":{"name":"Journal of Family and Reproductive Health","volume":"15 2","pages":"125-129"},"PeriodicalIF":0.0000,"publicationDate":"2021-06-01","publicationTypes":"Journal Article","fieldsOfStudy":null,"isOpenAccess":false,"openAccessPdf":"https://ftp.ncbi.nlm.nih.gov/pub/pmc/oa_pdf/55/3b/JFRH-15-125.PMC8520663.pdf","citationCount":"1","resultStr":"{\"title\":\"Endometrial Serous Carcinoma Arising From Adenomyosis: A Clinico-Pathological Insight.\",\"authors\":\"Amrita Talwar,&nbsp;Pushpanjali Behera,&nbsp;Arvind Ahuja,&nbsp;Bani Sarkar,&nbsp;Ravi Hari Phulware\",\"doi\":\"10.18502/jfrh.v15i2.6454\",\"DOIUrl\":null,\"url\":null,\"abstract\":\"<p><p><b>Objective:</b> Endometrial cancer (EC) is the most commonly diagnosed malignancy and has the second-highest mortality rate among gynecological cancers. Adenomyosis is well-known for abnormal uterine bleeding and is a widely reported entity; however, an EC arising from the adenomyosis is a rare event; even rarer is the occurrence of serous endometrial carcinoma. <b>Case report</b> <b>:</b> A 60-year post-menopausal female presented with post-menopausal bleeding. Subsequently, she underwent a hysterectomy, which showed atrophic and cystic endometrium with extensive adenomyosis and atypical endometrial glands, which are diffusely P53 positive with intervening negative benign and focally positive dysplastic endometrial glands. A final diagnosis of serous endometrial carcinoma arising from adenomyosis was rendered. In a table format, previously reported serous endometrial carcinoma Arising cases from adenomyosis using PubMed search had been described. <b>Conclusion:</b> Serous endometrial carcinoma arising from adenomyosis (<20 cases reported) and has a slightly more dismal prognosis than those deriving from the endometrial cavity. Hence, this case report highlights the occurrence, rarity, and importance of such an entity.</p>\",\"PeriodicalId\":15845,\"journal\":{\"name\":\"Journal of Family and Reproductive Health\",\"volume\":\"15 2\",\"pages\":\"125-129\"},\"PeriodicalIF\":0.0000,\"publicationDate\":\"2021-06-01\",\"publicationTypes\":\"Journal Article\",\"fieldsOfStudy\":null,\"isOpenAccess\":false,\"openAccessPdf\":\"https://ftp.ncbi.nlm.nih.gov/pub/pmc/oa_pdf/55/3b/JFRH-15-125.PMC8520663.pdf\",\"citationCount\":\"1\",\"resultStr\":null,\"platform\":\"Semanticscholar\",\"paperid\":null,\"PeriodicalName\":\"Journal of Family and Reproductive Health\",\"FirstCategoryId\":\"1085\",\"ListUrlMain\":\"https://doi.org/10.18502/jfrh.v15i2.6454\",\"RegionNum\":0,\"RegionCategory\":null,\"ArticlePicture\":[],\"TitleCN\":null,\"AbstractTextCN\":null,\"PMCID\":null,\"EPubDate\":\"\",\"PubModel\":\"\",\"JCR\":\"\",\"JCRName\":\"\",\"Score\":null,\"Total\":0}","platform":"Semanticscholar","paperid":null,"PeriodicalName":"Journal of Family and Reproductive Health","FirstCategoryId":"1085","ListUrlMain":"https://doi.org/10.18502/jfrh.v15i2.6454","RegionNum":0,"RegionCategory":null,"ArticlePicture":[],"TitleCN":null,"AbstractTextCN":null,"PMCID":null,"EPubDate":"","PubModel":"","JCR":"","JCRName":"","Score":null,"Total":0}
引用次数: 1

摘要

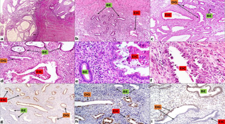
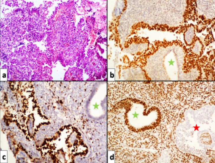
目的:子宫内膜癌(EC)是最常见的恶性肿瘤,在妇科癌症中死亡率第二高。子宫腺肌病是众所周知的异常子宫出血,是一个广泛报道的实体;然而,由子宫腺肌病引起的EC是一种罕见的事件;浆液性子宫内膜癌的发生更为罕见。病例报告:一位60岁的绝经后女性出现绝经后出血。随后,患者行子宫切除术,发现子宫内膜萎缩、囊性,伴广泛子宫腺肌病和不典型子宫内膜腺,弥漫性P53阳性,其间有良性阴性和局灶性阳性子宫内膜腺发育不良。最后诊断浆液性子宫内膜癌由子宫腺肌病引起。在表格格式中,先前报道的浆液性子宫内膜癌由子宫腺肌病引起的病例使用PubMed检索已被描述。结论:子宫腺肌病并发浆液性子宫内膜癌(
本文章由计算机程序翻译,如有差异,请以英文原文为准。

Endometrial Serous Carcinoma Arising From Adenomyosis: A Clinico-Pathological Insight.

Endometrial Serous Carcinoma Arising From Adenomyosis: A Clinico-Pathological Insight.

Endometrial Serous Carcinoma Arising From Adenomyosis: A Clinico-Pathological Insight.

Objective: Endometrial cancer (EC) is the most commonly diagnosed malignancy and has the second-highest mortality rate among gynecological cancers. Adenomyosis is well-known for abnormal uterine bleeding and is a widely reported entity; however, an EC arising from the adenomyosis is a rare event; even rarer is the occurrence of serous endometrial carcinoma. Case report : A 60-year post-menopausal female presented with post-menopausal bleeding. Subsequently, she underwent a hysterectomy, which showed atrophic and cystic endometrium with extensive adenomyosis and atypical endometrial glands, which are diffusely P53 positive with intervening negative benign and focally positive dysplastic endometrial glands. A final diagnosis of serous endometrial carcinoma arising from adenomyosis was rendered. In a table format, previously reported serous endometrial carcinoma Arising cases from adenomyosis using PubMed search had been described. Conclusion: Serous endometrial carcinoma arising from adenomyosis (<20 cases reported) and has a slightly more dismal prognosis than those deriving from the endometrial cavity. Hence, this case report highlights the occurrence, rarity, and importance of such an entity.

求助全文
通过发布文献求助,成功后即可免费获取论文全文。 去求助
来源期刊
自引率
0.00%
发文量
30
审稿时长
5 weeks
期刊介绍: The Journal of Family & Reproductive Health (JFRH) is the quarterly official journal of Vali–e–Asr Reproductive Health Research Center. This journal features fulllength, peerreviewed papers reporting original research, clinical case histories, review articles, as well as opinions and debates on topical issues. Papers published cover the scientific and medical aspects of reproductive physiology and pathology including genetics, endocrinology, andrology, embryology, gynecologic urology, fetomaternal medicine, oncology, infectious disease, public health, nutrition, surgery, menopause, family planning, infertility, psychiatry–psychology, demographic modeling, perinatalogy–neonatolgy ethics and social issues, and pharmacotherapy. A high scientific and editorial standard is maintained throughout the journal along with a regular rate of publication. All published articles will become the property of the JFRH. The editor and publisher accept no responsibility for the statements expressed by the authors here in. Also they do not guarantee, warrant or endorse any product or service advertised in the journal.
×
引用
GB/T 7714-2015
复制
MLA
复制
APA
复制
导出至
BibTeX EndNote RefMan NoteFirst NoteExpress
×
提示
您的信息不完整,为了账户安全,请先补充。
现在去补充
×
提示
您因"违规操作"
具体请查看互助需知
我知道了
×
提示
确定
请完成安全验证×
copy
已复制链接
快去分享给好友吧!
我知道了
右上角分享
点击右上角分享
0
联系我们:info@booksci.cn Book学术提供免费学术资源搜索服务,方便国内外学者检索中英文文献。致力于提供最便捷和优质的服务体验。 Copyright © 2023 布克学术 All rights reserved.
京ICP备2023020795号-1
ghs 京公网安备 11010802042870号
Book学术文献互助
Book学术文献互助群
群 号:604180095
Book学术官方微信