经导管主动脉瓣植入与亚临床和临床小叶血栓形成:多模态成像诊断和风险分层。

European cardiology Pub Date : 2021-09-24 eCollection Date: 2021-02-01 DOI:10.15420/ecr.2021.09
María Martín, Javier Cuevas, Helena Cigarrán, Juan Calvo, César Morís
{"title":"经导管主动脉瓣植入与亚临床和临床小叶血栓形成:多模态成像诊断和风险分层。","authors":"María Martín,&nbsp;Javier Cuevas,&nbsp;Helena Cigarrán,&nbsp;Juan Calvo,&nbsp;César Morís","doi":"10.15420/ecr.2021.09","DOIUrl":null,"url":null,"abstract":"<p><p>In recent years, the phenomenon of subclinical leaflet thrombosis (SLT) in patients who have undergone transcatheter aortic valve implantation has become increasingly relevant. Hypo-attenuating leaflet thickening and hypo-attenuation affecting motion diagnosed by CT are the hallmarks of SLT, and their incidence varies depending on the intensity of screening. Whether these phenomena are a surrogate for leaflet thrombosis reducing valve durability and increasing the risk of stroke is still a matter of debate. Uncertainty remains over the optimal antithrombotic therapy after TAVI and the best treatment strategy is still not confirmed. Ongoing and future trials will provide more evidence about the best strategy for the prevention and treatment of SLT.</p>","PeriodicalId":93994,"journal":{"name":"European cardiology","volume":" ","pages":"e35"},"PeriodicalIF":0.0000,"publicationDate":"2021-09-24","publicationTypes":"Journal Article","fieldsOfStudy":null,"isOpenAccess":false,"openAccessPdf":"https://ftp.ncbi.nlm.nih.gov/pub/pmc/oa_pdf/62/10/ecr-16-e35.PMC8546909.pdf","citationCount":"8","resultStr":"{\"title\":\"Transcatheter Aortic Valve Implantation and Subclinical and Clinical Leaflet Thrombosis: Multimodality Imaging for Diagnosis and Risk Stratification.\",\"authors\":\"María Martín,&nbsp;Javier Cuevas,&nbsp;Helena Cigarrán,&nbsp;Juan Calvo,&nbsp;César Morís\",\"doi\":\"10.15420/ecr.2021.09\",\"DOIUrl\":null,\"url\":null,\"abstract\":\"<p><p>In recent years, the phenomenon of subclinical leaflet thrombosis (SLT) in patients who have undergone transcatheter aortic valve implantation has become increasingly relevant. Hypo-attenuating leaflet thickening and hypo-attenuation affecting motion diagnosed by CT are the hallmarks of SLT, and their incidence varies depending on the intensity of screening. Whether these phenomena are a surrogate for leaflet thrombosis reducing valve durability and increasing the risk of stroke is still a matter of debate. Uncertainty remains over the optimal antithrombotic therapy after TAVI and the best treatment strategy is still not confirmed. Ongoing and future trials will provide more evidence about the best strategy for the prevention and treatment of SLT.</p>\",\"PeriodicalId\":93994,\"journal\":{\"name\":\"European cardiology\",\"volume\":\" \",\"pages\":\"e35\"},\"PeriodicalIF\":0.0000,\"publicationDate\":\"2021-09-24\",\"publicationTypes\":\"Journal Article\",\"fieldsOfStudy\":null,\"isOpenAccess\":false,\"openAccessPdf\":\"https://ftp.ncbi.nlm.nih.gov/pub/pmc/oa_pdf/62/10/ecr-16-e35.PMC8546909.pdf\",\"citationCount\":\"8\",\"resultStr\":null,\"platform\":\"Semanticscholar\",\"paperid\":null,\"PeriodicalName\":\"European cardiology\",\"FirstCategoryId\":\"1085\",\"ListUrlMain\":\"https://doi.org/10.15420/ecr.2021.09\",\"RegionNum\":0,\"RegionCategory\":null,\"ArticlePicture\":[],\"TitleCN\":null,\"AbstractTextCN\":null,\"PMCID\":null,\"EPubDate\":\"2021/2/1 0:00:00\",\"PubModel\":\"eCollection\",\"JCR\":\"\",\"JCRName\":\"\",\"Score\":null,\"Total\":0}","platform":"Semanticscholar","paperid":null,"PeriodicalName":"European cardiology","FirstCategoryId":"1085","ListUrlMain":"https://doi.org/10.15420/ecr.2021.09","RegionNum":0,"RegionCategory":null,"ArticlePicture":[],"TitleCN":null,"AbstractTextCN":null,"PMCID":null,"EPubDate":"2021/2/1 0:00:00","PubModel":"eCollection","JCR":"","JCRName":"","Score":null,"Total":0}
引用次数: 8

摘要

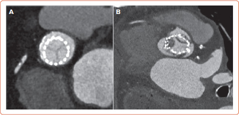
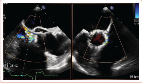
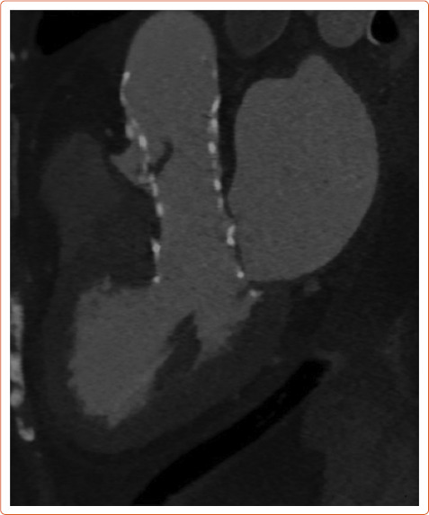
近年来,经导管主动脉瓣植入术患者发生亚临床小叶血栓形成(SLT)的现象越来越重要。CT诊断的低衰减小叶增厚和影响运动的低衰减是SLT的标志,其发生率随筛查强度而变化。这些现象是否代表小叶血栓形成,降低瓣膜耐久性和增加中风风险仍然是一个有争议的问题。TAVI后的最佳抗血栓治疗仍不确定,最佳治疗策略仍未确定。正在进行和未来的试验将为预防和治疗SLT的最佳策略提供更多证据。
本文章由计算机程序翻译,如有差异,请以英文原文为准。

Transcatheter Aortic Valve Implantation and Subclinical and Clinical Leaflet Thrombosis: Multimodality Imaging for Diagnosis and Risk Stratification.

Transcatheter Aortic Valve Implantation and Subclinical and Clinical Leaflet Thrombosis: Multimodality Imaging for Diagnosis and Risk Stratification.

Transcatheter Aortic Valve Implantation and Subclinical and Clinical Leaflet Thrombosis: Multimodality Imaging for Diagnosis and Risk Stratification.

Transcatheter Aortic Valve Implantation and Subclinical and Clinical Leaflet Thrombosis: Multimodality Imaging for Diagnosis and Risk Stratification.

In recent years, the phenomenon of subclinical leaflet thrombosis (SLT) in patients who have undergone transcatheter aortic valve implantation has become increasingly relevant. Hypo-attenuating leaflet thickening and hypo-attenuation affecting motion diagnosed by CT are the hallmarks of SLT, and their incidence varies depending on the intensity of screening. Whether these phenomena are a surrogate for leaflet thrombosis reducing valve durability and increasing the risk of stroke is still a matter of debate. Uncertainty remains over the optimal antithrombotic therapy after TAVI and the best treatment strategy is still not confirmed. Ongoing and future trials will provide more evidence about the best strategy for the prevention and treatment of SLT.

求助全文
通过发布文献求助,成功后即可免费获取论文全文。 去求助
来源期刊
自引率
0.00%
发文量
0
×
引用
GB/T 7714-2015
复制
MLA
复制
APA
复制
导出至
BibTeX EndNote RefMan NoteFirst NoteExpress
×
提示
您的信息不完整,为了账户安全,请先补充。
现在去补充
×
提示
您因"违规操作"
具体请查看互助需知
我知道了
×
提示
确定
请完成安全验证×
copy
已复制链接
快去分享给好友吧!
我知道了
右上角分享
点击右上角分享
0
联系我们:info@booksci.cn Book学术提供免费学术资源搜索服务,方便国内外学者检索中英文文献。致力于提供最便捷和优质的服务体验。 Copyright © 2023 布克学术 All rights reserved.
京ICP备2023020795号-1
ghs 京公网安备 11010802042870号
Book学术文献互助
Book学术文献互助群
群 号:604180095
Book学术官方微信