基于智能算法的肺部ct扫描图像处理对COVID-19的检测与分类

IF 1.1 Q4 ENGINEERING, BIOMEDICAL
Journal of Medical Signals & Sensors Pub Date : 2021-10-20 eCollection Date: 2021-10-01 DOI:10.4103/jmss.JMSS_55_20
Naser Safdarian, Nader Jafarnia Dabanloo
{"title":"基于智能算法的肺部ct扫描图像处理对COVID-19的检测与分类","authors":"Naser Safdarian,&nbsp;Nader Jafarnia Dabanloo","doi":"10.4103/jmss.JMSS_55_20","DOIUrl":null,"url":null,"abstract":"<p><p>The latest World Health Organization statistics show that the number of people living with COVID-19 disease is now more than 42 million worldwide. Some diagnosis methods include detecting and observing clinical symptoms associated with the disease (fever, dry cough, shortness of breath, sore throat, and muscle fatigue). Some other methods, such as computed tomography (CT)-scan imaging from the lungs, are the more accurate diagnostic methods. In this study, we examine the types of abnormal COVID-19 can cause in the lungs of infected subjects and detect and classify this disease. In this paper, we used data from the lung's CT-scan images from the 79 participants. To do this, in this article, for processing CT-scan images of the lungs to diagnose and classification of the COVID-19 disease in men and women of different ages, for rapid diagnosis and high accuracy of this disease by the automatic classification algorithm is used. The final results showed that the proposed method could base on different categories (gender, age categories, and type of damage caused by COVID-19) with high detection and classification accuracy. The algorithm presented in this article has accurately identified the data of healthy subjects and patients with coronavirus.</p>","PeriodicalId":37680,"journal":{"name":"Journal of Medical Signals & Sensors","volume":"11 4","pages":"274-284"},"PeriodicalIF":1.1000,"publicationDate":"2021-10-20","publicationTypes":"Journal Article","fieldsOfStudy":null,"isOpenAccess":false,"openAccessPdf":"https://ftp.ncbi.nlm.nih.gov/pub/pmc/oa_pdf/1a/f6/JMSS-11-274.PMC8588881.pdf","citationCount":"1","resultStr":"{\"title\":\"Detection and Classification of COVID-19 by Lungs Computed Tomography Scan Image Processing using Intelligence Algorithm.\",\"authors\":\"Naser Safdarian,&nbsp;Nader Jafarnia Dabanloo\",\"doi\":\"10.4103/jmss.JMSS_55_20\",\"DOIUrl\":null,\"url\":null,\"abstract\":\"<p><p>The latest World Health Organization statistics show that the number of people living with COVID-19 disease is now more than 42 million worldwide. Some diagnosis methods include detecting and observing clinical symptoms associated with the disease (fever, dry cough, shortness of breath, sore throat, and muscle fatigue). Some other methods, such as computed tomography (CT)-scan imaging from the lungs, are the more accurate diagnostic methods. In this study, we examine the types of abnormal COVID-19 can cause in the lungs of infected subjects and detect and classify this disease. In this paper, we used data from the lung's CT-scan images from the 79 participants. To do this, in this article, for processing CT-scan images of the lungs to diagnose and classification of the COVID-19 disease in men and women of different ages, for rapid diagnosis and high accuracy of this disease by the automatic classification algorithm is used. The final results showed that the proposed method could base on different categories (gender, age categories, and type of damage caused by COVID-19) with high detection and classification accuracy. The algorithm presented in this article has accurately identified the data of healthy subjects and patients with coronavirus.</p>\",\"PeriodicalId\":37680,\"journal\":{\"name\":\"Journal of Medical Signals & Sensors\",\"volume\":\"11 4\",\"pages\":\"274-284\"},\"PeriodicalIF\":1.1000,\"publicationDate\":\"2021-10-20\",\"publicationTypes\":\"Journal Article\",\"fieldsOfStudy\":null,\"isOpenAccess\":false,\"openAccessPdf\":\"https://ftp.ncbi.nlm.nih.gov/pub/pmc/oa_pdf/1a/f6/JMSS-11-274.PMC8588881.pdf\",\"citationCount\":\"1\",\"resultStr\":null,\"platform\":\"Semanticscholar\",\"paperid\":null,\"PeriodicalName\":\"Journal of Medical Signals & Sensors\",\"FirstCategoryId\":\"1085\",\"ListUrlMain\":\"https://doi.org/10.4103/jmss.JMSS_55_20\",\"RegionNum\":0,\"RegionCategory\":null,\"ArticlePicture\":[],\"TitleCN\":null,\"AbstractTextCN\":null,\"PMCID\":null,\"EPubDate\":\"2021/10/1 0:00:00\",\"PubModel\":\"eCollection\",\"JCR\":\"Q4\",\"JCRName\":\"ENGINEERING, BIOMEDICAL\",\"Score\":null,\"Total\":0}","platform":"Semanticscholar","paperid":null,"PeriodicalName":"Journal of Medical Signals & Sensors","FirstCategoryId":"1085","ListUrlMain":"https://doi.org/10.4103/jmss.JMSS_55_20","RegionNum":0,"RegionCategory":null,"ArticlePicture":[],"TitleCN":null,"AbstractTextCN":null,"PMCID":null,"EPubDate":"2021/10/1 0:00:00","PubModel":"eCollection","JCR":"Q4","JCRName":"ENGINEERING, BIOMEDICAL","Score":null,"Total":0}
引用次数: 1

摘要

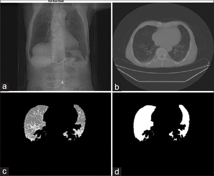
世界卫生组织的最新统计数据显示,目前全球COVID-19患者人数超过4200万。一些诊断方法包括发现和观察与疾病相关的临床症状(发热、干咳、呼吸短促、喉咙痛、肌肉疲劳)。其他一些方法,如计算机断层扫描(CT)——肺部扫描成像,是更准确的诊断方法。在本研究中,我们检测了COVID-19在被感染者肺部可能引起的异常类型,并对该疾病进行了检测和分类。在本文中,我们使用了79名参与者的肺部ct扫描图像数据。为此,本文通过处理肺部ct扫描图像对不同年龄段的男性和女性COVID-19疾病进行诊断和分类,采用自动分类算法对该疾病进行快速诊断和高准确率。最终结果表明,该方法可以基于不同类别(性别、年龄类别和COVID-19造成的损害类型),具有较高的检测和分类精度。本文提出的算法准确地识别了健康受试者和冠状病毒患者的数据。
本文章由计算机程序翻译,如有差异,请以英文原文为准。

Detection and Classification of COVID-19 by Lungs Computed Tomography Scan Image Processing using Intelligence Algorithm.

Detection and Classification of COVID-19 by Lungs Computed Tomography Scan Image Processing using Intelligence Algorithm.

The latest World Health Organization statistics show that the number of people living with COVID-19 disease is now more than 42 million worldwide. Some diagnosis methods include detecting and observing clinical symptoms associated with the disease (fever, dry cough, shortness of breath, sore throat, and muscle fatigue). Some other methods, such as computed tomography (CT)-scan imaging from the lungs, are the more accurate diagnostic methods. In this study, we examine the types of abnormal COVID-19 can cause in the lungs of infected subjects and detect and classify this disease. In this paper, we used data from the lung's CT-scan images from the 79 participants. To do this, in this article, for processing CT-scan images of the lungs to diagnose and classification of the COVID-19 disease in men and women of different ages, for rapid diagnosis and high accuracy of this disease by the automatic classification algorithm is used. The final results showed that the proposed method could base on different categories (gender, age categories, and type of damage caused by COVID-19) with high detection and classification accuracy. The algorithm presented in this article has accurately identified the data of healthy subjects and patients with coronavirus.

求助全文
通过发布文献求助,成功后即可免费获取论文全文。 去求助
来源期刊
Journal of Medical Signals & Sensors
Journal of Medical Signals & Sensors ENGINEERING, BIOMEDICAL-
CiteScore
2.30
自引率
0.00%
发文量
53
审稿时长
33 weeks
期刊介绍: JMSS is an interdisciplinary journal that incorporates all aspects of the biomedical engineering including bioelectrics, bioinformatics, medical physics, health technology assessment, etc. Subject areas covered by the journal include: - Bioelectric: Bioinstruments Biosensors Modeling Biomedical signal processing Medical image analysis and processing Medical imaging devices Control of biological systems Neuromuscular systems Cognitive sciences Telemedicine Robotic Medical ultrasonography Bioelectromagnetics Electrophysiology Cell tracking - Bioinformatics and medical informatics: Analysis of biological data Data mining Stochastic modeling Computational genomics Artificial intelligence & fuzzy Applications Medical softwares Bioalgorithms Electronic health - Biophysics and medical physics: Computed tomography Radiation therapy Laser therapy - Education in biomedical engineering - Health technology assessment - Standard in biomedical engineering.
×
引用
GB/T 7714-2015
复制
MLA
复制
APA
复制
导出至
BibTeX EndNote RefMan NoteFirst NoteExpress
×
提示
您的信息不完整,为了账户安全,请先补充。
现在去补充
×
提示
您因"违规操作"
具体请查看互助需知
我知道了
×
提示
确定
请完成安全验证×
copy
已复制链接
快去分享给好友吧!
我知道了
右上角分享
点击右上角分享
0
联系我们:info@booksci.cn Book学术提供免费学术资源搜索服务,方便国内外学者检索中英文文献。致力于提供最便捷和优质的服务体验。 Copyright © 2023 布克学术 All rights reserved.
京ICP备2023020795号-1
ghs 京公网安备 11010802042870号
Book学术文献互助
Book学术文献互助群
群 号:604180095
Book学术官方微信