三维器官培养系统中大鼠肢体芽的整体DNA甲基化和软骨形成。

IF 3.4 4区 医学 Q2 MEDICINE, RESEARCH & EXPERIMENTAL
Vedrana Mužić Radović, Paula Bunoza, Tihana Marić, Marta Himelreich-Perić, Floriana Bulić-Jakuš, Marta Takahashi, Gordana Jurić-Lekić, Nino Sinčić, Davor Ježek, Ana Katušić-Bojanac
{"title":"三维器官培养系统中大鼠肢体芽的整体DNA甲基化和软骨形成。","authors":"Vedrana Mužić Radović,&nbsp;Paula Bunoza,&nbsp;Tihana Marić,&nbsp;Marta Himelreich-Perić,&nbsp;Floriana Bulić-Jakuš,&nbsp;Marta Takahashi,&nbsp;Gordana Jurić-Lekić,&nbsp;Nino Sinčić,&nbsp;Davor Ježek,&nbsp;Ana Katušić-Bojanac","doi":"10.17305/bjbms.2021.6584","DOIUrl":null,"url":null,"abstract":"<p><p>Although DNA methylation epigenetically regulates development, data on global DNA methylation during development of limb buds (LBs) are scarce. We aimed to investigate the global DNA methylation developmental dynamics in rat LBs cultivated in a serum-supplemented (SS) and in chemically defined serum- and protein-free (SF) three-dimensional organ culture. Fischer rat front- and hind-LBs at 13th and 14th gestation days (GD) were cultivated at the air-liquid interface in Eagle's Minimal Essential Medium (MEM) or MEM with 50% rat serum for 14 days, as SF and SS conditions, respectively. The methylation of repetitive DNA sequences (SINE rat ID elements) was assessed by pyrosequencing. Development was evaluated by light microscopy and extracellular matrix glycosaminoglycans staining by Safranin O. Upon isolation, weak Safranin O staining was present only in more developed GD14 front-LBs. Chondrogenesis proceeded well in all cultures towards day 14, except in the SF-cultivated GD13 hind-LBs, where Safranin O staining was almost absent on day 3. That was associated with a higher percentage of DNA methylation than in SF-cultivated GD13 front-LBs on day three. In SF-cultivated front-LBs, a significant methylation increase between the 3rd and 14th day was detected. In SS-cultivated GD13 front-LBs, methylation increased significantly on day three and then decreased. In older GD14 SS-cultivated LBs, there was no increase of DNA methylation, but they were significantly hypomethylated relative to the SS-cultivated GD13 at days 3 and 14. We confirmed that the global DNA methylation increase is associated with less developed limb organ primordia that strive towards differentiation in vitro, which is of importance for regenerative medicine strategies.</p>","PeriodicalId":9147,"journal":{"name":"Bosnian journal of basic medical sciences","volume":" ","pages":"560-568"},"PeriodicalIF":3.4000,"publicationDate":"2022-07-29","publicationTypes":"Journal Article","fieldsOfStudy":null,"isOpenAccess":false,"openAccessPdf":"https://www.ncbi.nlm.nih.gov/pmc/articles/PMC9392980/pdf/","citationCount":"1","resultStr":"{\"title\":\"Global DNA methylation and chondrogenesis of rat limb buds in a three-dimensional organ culture system.\",\"authors\":\"Vedrana Mužić Radović,&nbsp;Paula Bunoza,&nbsp;Tihana Marić,&nbsp;Marta Himelreich-Perić,&nbsp;Floriana Bulić-Jakuš,&nbsp;Marta Takahashi,&nbsp;Gordana Jurić-Lekić,&nbsp;Nino Sinčić,&nbsp;Davor Ježek,&nbsp;Ana Katušić-Bojanac\",\"doi\":\"10.17305/bjbms.2021.6584\",\"DOIUrl\":null,\"url\":null,\"abstract\":\"<p><p>Although DNA methylation epigenetically regulates development, data on global DNA methylation during development of limb buds (LBs) are scarce. We aimed to investigate the global DNA methylation developmental dynamics in rat LBs cultivated in a serum-supplemented (SS) and in chemically defined serum- and protein-free (SF) three-dimensional organ culture. Fischer rat front- and hind-LBs at 13th and 14th gestation days (GD) were cultivated at the air-liquid interface in Eagle's Minimal Essential Medium (MEM) or MEM with 50% rat serum for 14 days, as SF and SS conditions, respectively. The methylation of repetitive DNA sequences (SINE rat ID elements) was assessed by pyrosequencing. Development was evaluated by light microscopy and extracellular matrix glycosaminoglycans staining by Safranin O. Upon isolation, weak Safranin O staining was present only in more developed GD14 front-LBs. Chondrogenesis proceeded well in all cultures towards day 14, except in the SF-cultivated GD13 hind-LBs, where Safranin O staining was almost absent on day 3. That was associated with a higher percentage of DNA methylation than in SF-cultivated GD13 front-LBs on day three. In SF-cultivated front-LBs, a significant methylation increase between the 3rd and 14th day was detected. In SS-cultivated GD13 front-LBs, methylation increased significantly on day three and then decreased. In older GD14 SS-cultivated LBs, there was no increase of DNA methylation, but they were significantly hypomethylated relative to the SS-cultivated GD13 at days 3 and 14. We confirmed that the global DNA methylation increase is associated with less developed limb organ primordia that strive towards differentiation in vitro, which is of importance for regenerative medicine strategies.</p>\",\"PeriodicalId\":9147,\"journal\":{\"name\":\"Bosnian journal of basic medical sciences\",\"volume\":\" \",\"pages\":\"560-568\"},\"PeriodicalIF\":3.4000,\"publicationDate\":\"2022-07-29\",\"publicationTypes\":\"Journal Article\",\"fieldsOfStudy\":null,\"isOpenAccess\":false,\"openAccessPdf\":\"https://www.ncbi.nlm.nih.gov/pmc/articles/PMC9392980/pdf/\",\"citationCount\":\"1\",\"resultStr\":null,\"platform\":\"Semanticscholar\",\"paperid\":null,\"PeriodicalName\":\"Bosnian journal of basic medical sciences\",\"FirstCategoryId\":\"3\",\"ListUrlMain\":\"https://doi.org/10.17305/bjbms.2021.6584\",\"RegionNum\":4,\"RegionCategory\":\"医学\",\"ArticlePicture\":[],\"TitleCN\":null,\"AbstractTextCN\":null,\"PMCID\":null,\"EPubDate\":\"\",\"PubModel\":\"\",\"JCR\":\"Q2\",\"JCRName\":\"MEDICINE, RESEARCH & EXPERIMENTAL\",\"Score\":null,\"Total\":0}","platform":"Semanticscholar","paperid":null,"PeriodicalName":"Bosnian journal of basic medical sciences","FirstCategoryId":"3","ListUrlMain":"https://doi.org/10.17305/bjbms.2021.6584","RegionNum":4,"RegionCategory":"医学","ArticlePicture":[],"TitleCN":null,"AbstractTextCN":null,"PMCID":null,"EPubDate":"","PubModel":"","JCR":"Q2","JCRName":"MEDICINE, RESEARCH & EXPERIMENTAL","Score":null,"Total":0}
引用次数: 1

摘要

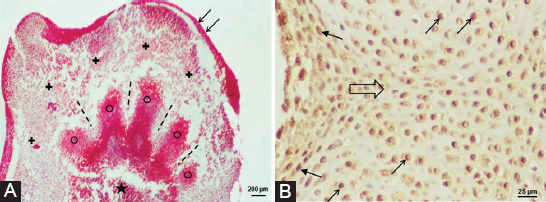
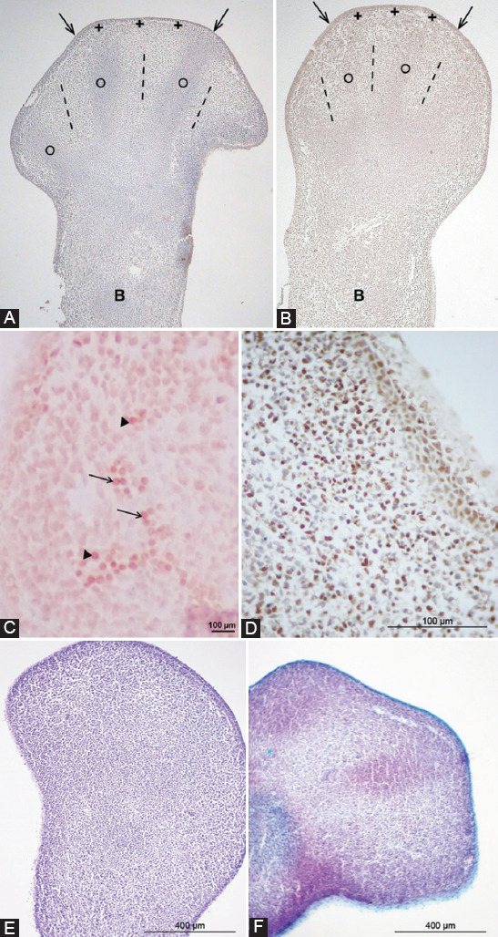
虽然DNA甲基化在表观遗传学上调控发育,但关于肢体芽发育过程中DNA甲基化的数据很少。我们的目的是研究在血清补充(SS)和化学定义的无血清和无蛋白(SF)三维器官培养中培养的大鼠LBs的整体DNA甲基化发育动力学。将妊娠第13天和第14天的Fischer大鼠前、后臀肌分别在含50%大鼠血清的Eagle’s Minimal Essential Medium (MEM)或MEM的气液界面培养14 d,分别作为SF和SS条件。用焦磷酸测序法测定重复DNA序列(sin大鼠ID元件)的甲基化程度。通过光镜和细胞外基质糖胺聚糖(Safranin O)染色评估其发育情况。分离后,仅在较发达的GD14 front-LBs中存在微弱的Safranin O染色。在所有培养物中,软骨形成在第14天进行得很好,除了在sf培养的GD13 hind-LBs中,在第3天几乎没有红花素O染色。在第三天,与sf培养的GD13前磅相比,这与更高的DNA甲基化百分比有关。在sf培养的前端lbs中,甲基化在第3天和第14天显著增加。在ss培养的GD13前端lbs中,甲基化在第3天显著增加,然后下降。在ss培养的老GD14中,DNA甲基化没有增加,但在第3天和第14天,它们的甲基化水平相对于ss培养的GD13显著降低。我们证实,全球DNA甲基化增加与较不发达的肢体器官原基有关,这些原基在体外努力分化,这对再生医学策略很重要。
本文章由计算机程序翻译,如有差异,请以英文原文为准。

Global DNA methylation and chondrogenesis of rat limb buds in a three-dimensional organ culture system.

Global DNA methylation and chondrogenesis of rat limb buds in a three-dimensional organ culture system.

Global DNA methylation and chondrogenesis of rat limb buds in a three-dimensional organ culture system.

Global DNA methylation and chondrogenesis of rat limb buds in a three-dimensional organ culture system.

Although DNA methylation epigenetically regulates development, data on global DNA methylation during development of limb buds (LBs) are scarce. We aimed to investigate the global DNA methylation developmental dynamics in rat LBs cultivated in a serum-supplemented (SS) and in chemically defined serum- and protein-free (SF) three-dimensional organ culture. Fischer rat front- and hind-LBs at 13th and 14th gestation days (GD) were cultivated at the air-liquid interface in Eagle's Minimal Essential Medium (MEM) or MEM with 50% rat serum for 14 days, as SF and SS conditions, respectively. The methylation of repetitive DNA sequences (SINE rat ID elements) was assessed by pyrosequencing. Development was evaluated by light microscopy and extracellular matrix glycosaminoglycans staining by Safranin O. Upon isolation, weak Safranin O staining was present only in more developed GD14 front-LBs. Chondrogenesis proceeded well in all cultures towards day 14, except in the SF-cultivated GD13 hind-LBs, where Safranin O staining was almost absent on day 3. That was associated with a higher percentage of DNA methylation than in SF-cultivated GD13 front-LBs on day three. In SF-cultivated front-LBs, a significant methylation increase between the 3rd and 14th day was detected. In SS-cultivated GD13 front-LBs, methylation increased significantly on day three and then decreased. In older GD14 SS-cultivated LBs, there was no increase of DNA methylation, but they were significantly hypomethylated relative to the SS-cultivated GD13 at days 3 and 14. We confirmed that the global DNA methylation increase is associated with less developed limb organ primordia that strive towards differentiation in vitro, which is of importance for regenerative medicine strategies.

求助全文
通过发布文献求助,成功后即可免费获取论文全文。 去求助
来源期刊
Bosnian journal of basic medical sciences
Bosnian journal of basic medical sciences 医学-医学:研究与实验
CiteScore
7.40
自引率
5.90%
发文量
98
审稿时长
35 days
期刊介绍: The Bosnian Journal of Basic Medical Sciences (BJBMS) is an international, English-language, peer reviewed journal, publishing original articles from different disciplines of basic medical sciences. BJBMS welcomes original research and comprehensive reviews as well as short research communications in the field of biochemistry, genetics, immunology, microbiology, pathology, pharmacology, pharmaceutical sciences and physiology.
×
引用
GB/T 7714-2015
复制
MLA
复制
APA
复制
导出至
BibTeX EndNote RefMan NoteFirst NoteExpress
×
提示
您的信息不完整,为了账户安全,请先补充。
现在去补充
×
提示
您因"违规操作"
具体请查看互助需知
我知道了
×
提示
确定
请完成安全验证×
copy
已复制链接
快去分享给好友吧!
我知道了
右上角分享
点击右上角分享
0
联系我们:info@booksci.cn Book学术提供免费学术资源搜索服务,方便国内外学者检索中英文文献。致力于提供最便捷和优质的服务体验。 Copyright © 2023 布克学术 All rights reserved.
京ICP备2023020795号-1
ghs 京公网安备 11010802042870号
Book学术文献互助
Book学术文献互助群
群 号:604180095
Book学术官方微信