小鼠胰岛β细胞中蛋白酶丝氨酸S1家族成员53作为线粒体蛋白的鉴定。

IF 1.7 4区 医学 Q3 ENDOCRINOLOGY & METABOLISM
Islets Pub Date : 2022-01-01 Epub Date: 2021-10-12 DOI:10.1080/19382014.2021.1982325
Noriko Mizusawa, Nagakatsu Harada, Takeo Iwata, Izumi Ohigashi, Mitsuo Itakura, Katsuhiko Yoshimoto
{"title":"小鼠胰岛β细胞中蛋白酶丝氨酸S1家族成员53作为线粒体蛋白的鉴定。","authors":"Noriko Mizusawa,&nbsp;Nagakatsu Harada,&nbsp;Takeo Iwata,&nbsp;Izumi Ohigashi,&nbsp;Mitsuo Itakura,&nbsp;Katsuhiko Yoshimoto","doi":"10.1080/19382014.2021.1982325","DOIUrl":null,"url":null,"abstract":"<p><p>The aim of this study was to identify genes that are specifically expressed in pancreatic islet β-cells (hereafter referred to as β-cells). Large-scale complementary DNA-sequencing analysis was performed for 3,429 expressed sequence tags derived from murine MIN6 β-cells, through homology comparisons using the GenBank database. Three individual ESTs were found to code for protease serine S1 family member 53 (<i>Prss53</i>). <i>Prss53</i> mRNA is processed into both a short and long form, which encode 482 and 552 amino acids, respectively. Transient overexpression of myc-tagged Prss53 in COS-7 cells showed that Prss53 was strongly associated with the luminal surfaces of organellar membranes and that it underwent signal peptide cleavage and N-glycosylation. Immunoelectron microscopy and western blotting revealed that Prss53 localized to mitochondria in MIN6 cells. Short hairpin RNA-mediated <i>Prss53</i> knockdown resulted in <i>Ppargc1a</i> downregulation and <i>Ucp2</i> and <i>Glut2</i> upregulation. JC-1 staining revealed that the mitochondria were depolarized in <i>Prss53</i>-knockdown MIN6 cells; however, no change was observed in glucose-stimulated insulin secretion. Our results suggest that mitochondrial Prss53 expression plays an important role in maintaining the health of β-cells.</p>","PeriodicalId":14671,"journal":{"name":"Islets","volume":" ","pages":"1-13"},"PeriodicalIF":1.7000,"publicationDate":"2022-01-01","publicationTypes":"Journal Article","fieldsOfStudy":null,"isOpenAccess":false,"openAccessPdf":"https://ftp.ncbi.nlm.nih.gov/pub/pmc/oa_pdf/a6/f0/KISL_14_1982325.PMC8812782.pdf","citationCount":"1","resultStr":"{\"title\":\"Identification of protease serine S1 family member 53 as a mitochondrial protein in murine islet beta cells.\",\"authors\":\"Noriko Mizusawa,&nbsp;Nagakatsu Harada,&nbsp;Takeo Iwata,&nbsp;Izumi Ohigashi,&nbsp;Mitsuo Itakura,&nbsp;Katsuhiko Yoshimoto\",\"doi\":\"10.1080/19382014.2021.1982325\",\"DOIUrl\":null,\"url\":null,\"abstract\":\"<p><p>The aim of this study was to identify genes that are specifically expressed in pancreatic islet β-cells (hereafter referred to as β-cells). Large-scale complementary DNA-sequencing analysis was performed for 3,429 expressed sequence tags derived from murine MIN6 β-cells, through homology comparisons using the GenBank database. Three individual ESTs were found to code for protease serine S1 family member 53 (<i>Prss53</i>). <i>Prss53</i> mRNA is processed into both a short and long form, which encode 482 and 552 amino acids, respectively. Transient overexpression of myc-tagged Prss53 in COS-7 cells showed that Prss53 was strongly associated with the luminal surfaces of organellar membranes and that it underwent signal peptide cleavage and N-glycosylation. Immunoelectron microscopy and western blotting revealed that Prss53 localized to mitochondria in MIN6 cells. Short hairpin RNA-mediated <i>Prss53</i> knockdown resulted in <i>Ppargc1a</i> downregulation and <i>Ucp2</i> and <i>Glut2</i> upregulation. JC-1 staining revealed that the mitochondria were depolarized in <i>Prss53</i>-knockdown MIN6 cells; however, no change was observed in glucose-stimulated insulin secretion. Our results suggest that mitochondrial Prss53 expression plays an important role in maintaining the health of β-cells.</p>\",\"PeriodicalId\":14671,\"journal\":{\"name\":\"Islets\",\"volume\":\" \",\"pages\":\"1-13\"},\"PeriodicalIF\":1.7000,\"publicationDate\":\"2022-01-01\",\"publicationTypes\":\"Journal Article\",\"fieldsOfStudy\":null,\"isOpenAccess\":false,\"openAccessPdf\":\"https://ftp.ncbi.nlm.nih.gov/pub/pmc/oa_pdf/a6/f0/KISL_14_1982325.PMC8812782.pdf\",\"citationCount\":\"1\",\"resultStr\":null,\"platform\":\"Semanticscholar\",\"paperid\":null,\"PeriodicalName\":\"Islets\",\"FirstCategoryId\":\"3\",\"ListUrlMain\":\"https://doi.org/10.1080/19382014.2021.1982325\",\"RegionNum\":4,\"RegionCategory\":\"医学\",\"ArticlePicture\":[],\"TitleCN\":null,\"AbstractTextCN\":null,\"PMCID\":null,\"EPubDate\":\"2021/10/12 0:00:00\",\"PubModel\":\"Epub\",\"JCR\":\"Q3\",\"JCRName\":\"ENDOCRINOLOGY & METABOLISM\",\"Score\":null,\"Total\":0}","platform":"Semanticscholar","paperid":null,"PeriodicalName":"Islets","FirstCategoryId":"3","ListUrlMain":"https://doi.org/10.1080/19382014.2021.1982325","RegionNum":4,"RegionCategory":"医学","ArticlePicture":[],"TitleCN":null,"AbstractTextCN":null,"PMCID":null,"EPubDate":"2021/10/12 0:00:00","PubModel":"Epub","JCR":"Q3","JCRName":"ENDOCRINOLOGY & METABOLISM","Score":null,"Total":0}
引用次数: 1

摘要

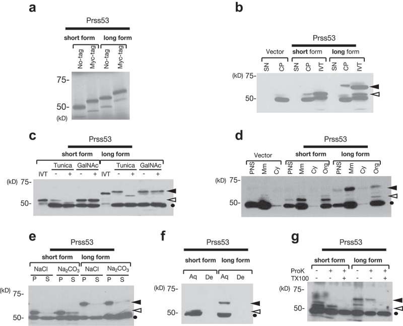
本研究的目的是鉴定在胰岛β细胞(以下简称β细胞)中特异性表达的基因。通过GenBank数据库的同源性比较,对来自小鼠MIN6 β-细胞的3,429个表达序列标签进行了大规模的互补dna测序分析。发现3个独立的est编码蛋白酶丝氨酸S1家族成员53 (Prss53)。Prss53 mRNA被加工成短形式和长形式,分别编码482和552个氨基酸。在COS-7细胞中短暂过表达myc标记的Prss53表明,Prss53与细胞器膜腔面密切相关,并经历了信号肽裂解和n -糖基化。免疫电镜和western blotting显示,Prss53定位于MIN6细胞的线粒体。短发夹rna介导的Prss53敲低导致Ppargc1a下调,Ucp2和Glut2上调。JC-1染色显示,prss53敲低的MIN6细胞线粒体去极化;然而,葡萄糖刺激的胰岛素分泌没有变化。我们的研究结果表明,线粒体Prss53的表达在维持β细胞的健康中起着重要作用。
本文章由计算机程序翻译,如有差异,请以英文原文为准。

Identification of protease serine S1 family member 53 as a mitochondrial protein in murine islet beta cells.

Identification of protease serine S1 family member 53 as a mitochondrial protein in murine islet beta cells.

Identification of protease serine S1 family member 53 as a mitochondrial protein in murine islet beta cells.

Identification of protease serine S1 family member 53 as a mitochondrial protein in murine islet beta cells.

The aim of this study was to identify genes that are specifically expressed in pancreatic islet β-cells (hereafter referred to as β-cells). Large-scale complementary DNA-sequencing analysis was performed for 3,429 expressed sequence tags derived from murine MIN6 β-cells, through homology comparisons using the GenBank database. Three individual ESTs were found to code for protease serine S1 family member 53 (Prss53). Prss53 mRNA is processed into both a short and long form, which encode 482 and 552 amino acids, respectively. Transient overexpression of myc-tagged Prss53 in COS-7 cells showed that Prss53 was strongly associated with the luminal surfaces of organellar membranes and that it underwent signal peptide cleavage and N-glycosylation. Immunoelectron microscopy and western blotting revealed that Prss53 localized to mitochondria in MIN6 cells. Short hairpin RNA-mediated Prss53 knockdown resulted in Ppargc1a downregulation and Ucp2 and Glut2 upregulation. JC-1 staining revealed that the mitochondria were depolarized in Prss53-knockdown MIN6 cells; however, no change was observed in glucose-stimulated insulin secretion. Our results suggest that mitochondrial Prss53 expression plays an important role in maintaining the health of β-cells.

求助全文
通过发布文献求助,成功后即可免费获取论文全文。 去求助
来源期刊
Islets
Islets ENDOCRINOLOGY & METABOLISM-
CiteScore
3.30
自引率
4.50%
发文量
10
审稿时长
>12 weeks
期刊介绍: Islets is the first international, peer-reviewed research journal dedicated to islet biology. Islets publishes high-quality clinical and experimental research into the physiology and pathology of the islets of Langerhans. In addition to original research manuscripts, Islets is the leading source for cutting-edge Perspectives, Reviews and Commentaries. Our goal is to foster communication and a rapid exchange of information through timely publication of important results using print as well as electronic formats.
×
引用
GB/T 7714-2015
复制
MLA
复制
APA
复制
导出至
BibTeX EndNote RefMan NoteFirst NoteExpress
×
提示
您的信息不完整,为了账户安全,请先补充。
现在去补充
×
提示
您因"违规操作"
具体请查看互助需知
我知道了
×
提示
确定
请完成安全验证×
copy
已复制链接
快去分享给好友吧!
我知道了
右上角分享
点击右上角分享
0
联系我们:info@booksci.cn Book学术提供免费学术资源搜索服务,方便国内外学者检索中英文文献。致力于提供最便捷和优质的服务体验。 Copyright © 2023 布克学术 All rights reserved.
京ICP备2023020795号-1
ghs 京公网安备 11010802042870号
Book学术文献互助
Book学术文献互助群
群 号:604180095
Book学术官方微信