颅内巨大脑膜瘤的外科治疗。

Soner Yaşar, Alparslan Kırık
{"title":"颅内巨大脑膜瘤的外科治疗。","authors":"Soner Yaşar,&nbsp;Alparslan Kırık","doi":"10.5152/eurasianjmed.2021.20155","DOIUrl":null,"url":null,"abstract":"<p><strong>Objective: </strong>Giant intracranial meningiomas are a challenge for neurosurgeons because of their size and location in the cranium. Difficult tumor dissection and encasement of important neurovascular structures make them a horrible nightmare. The aims of this study are to present our giant intracranial meningioma series and to compare our experience using advanced surgical technology with the current literature.</p><p><strong>Materials and methods: </strong>The data of patients with the diagnosis of giant intracranial meningioma between 2014 and 2020 who underwent surgical treatment were retrospectively reviewed. The demographic, radiological, and surgical characteristics of patients were documented. The size and location of tumors as well as surgical technique were analyzed in detail.</p><p><strong>Results: </strong>A total of 61 patients with intracranial meningioma underwent surgical treatment over a 7-year period, and 10 (16.4%) tumors were larger than 5 cm in diameter, which were classified as giant meningioma. Seven patients were male and 3 were female, with a mean age of 64.9 years. Four tumors were located at the skull base. Histological diagnosis was meningioma World Health Organization grade I in 7 patients and grade II in 3 patients. Simpson grade 1 resection was achieved in 6 patients and grade 2 resection in 4 patients. No mortality was observed.</p><p><strong>Conclusion: </strong>Careful surgical planning should be made for giant intracranial meningiomas. Their location, adjacent neurovascular structures, and vascular supply affect the resection level of these giant tumors. Simpson grade 1 resection is seldom possible for skull base meningiomas.</p>","PeriodicalId":517142,"journal":{"name":"The Eurasian Journal of Medicine","volume":" ","pages":"73-78"},"PeriodicalIF":0.0000,"publicationDate":"2021-06-01","publicationTypes":"Journal Article","fieldsOfStudy":null,"isOpenAccess":false,"openAccessPdf":"https://www.ncbi.nlm.nih.gov/pmc/articles/PMC8184033/pdf/","citationCount":"3","resultStr":"{\"title\":\"Surgical Management of Giant Intracranial Meningiomas.\",\"authors\":\"Soner Yaşar,&nbsp;Alparslan Kırık\",\"doi\":\"10.5152/eurasianjmed.2021.20155\",\"DOIUrl\":null,\"url\":null,\"abstract\":\"<p><strong>Objective: </strong>Giant intracranial meningiomas are a challenge for neurosurgeons because of their size and location in the cranium. Difficult tumor dissection and encasement of important neurovascular structures make them a horrible nightmare. The aims of this study are to present our giant intracranial meningioma series and to compare our experience using advanced surgical technology with the current literature.</p><p><strong>Materials and methods: </strong>The data of patients with the diagnosis of giant intracranial meningioma between 2014 and 2020 who underwent surgical treatment were retrospectively reviewed. The demographic, radiological, and surgical characteristics of patients were documented. The size and location of tumors as well as surgical technique were analyzed in detail.</p><p><strong>Results: </strong>A total of 61 patients with intracranial meningioma underwent surgical treatment over a 7-year period, and 10 (16.4%) tumors were larger than 5 cm in diameter, which were classified as giant meningioma. Seven patients were male and 3 were female, with a mean age of 64.9 years. Four tumors were located at the skull base. Histological diagnosis was meningioma World Health Organization grade I in 7 patients and grade II in 3 patients. Simpson grade 1 resection was achieved in 6 patients and grade 2 resection in 4 patients. No mortality was observed.</p><p><strong>Conclusion: </strong>Careful surgical planning should be made for giant intracranial meningiomas. Their location, adjacent neurovascular structures, and vascular supply affect the resection level of these giant tumors. Simpson grade 1 resection is seldom possible for skull base meningiomas.</p>\",\"PeriodicalId\":517142,\"journal\":{\"name\":\"The Eurasian Journal of Medicine\",\"volume\":\" \",\"pages\":\"73-78\"},\"PeriodicalIF\":0.0000,\"publicationDate\":\"2021-06-01\",\"publicationTypes\":\"Journal Article\",\"fieldsOfStudy\":null,\"isOpenAccess\":false,\"openAccessPdf\":\"https://www.ncbi.nlm.nih.gov/pmc/articles/PMC8184033/pdf/\",\"citationCount\":\"3\",\"resultStr\":null,\"platform\":\"Semanticscholar\",\"paperid\":null,\"PeriodicalName\":\"The Eurasian Journal of Medicine\",\"FirstCategoryId\":\"1085\",\"ListUrlMain\":\"https://doi.org/10.5152/eurasianjmed.2021.20155\",\"RegionNum\":0,\"RegionCategory\":null,\"ArticlePicture\":[],\"TitleCN\":null,\"AbstractTextCN\":null,\"PMCID\":null,\"EPubDate\":\"\",\"PubModel\":\"\",\"JCR\":\"\",\"JCRName\":\"\",\"Score\":null,\"Total\":0}","platform":"Semanticscholar","paperid":null,"PeriodicalName":"The Eurasian Journal of Medicine","FirstCategoryId":"1085","ListUrlMain":"https://doi.org/10.5152/eurasianjmed.2021.20155","RegionNum":0,"RegionCategory":null,"ArticlePicture":[],"TitleCN":null,"AbstractTextCN":null,"PMCID":null,"EPubDate":"","PubModel":"","JCR":"","JCRName":"","Score":null,"Total":0}
引用次数: 3

摘要

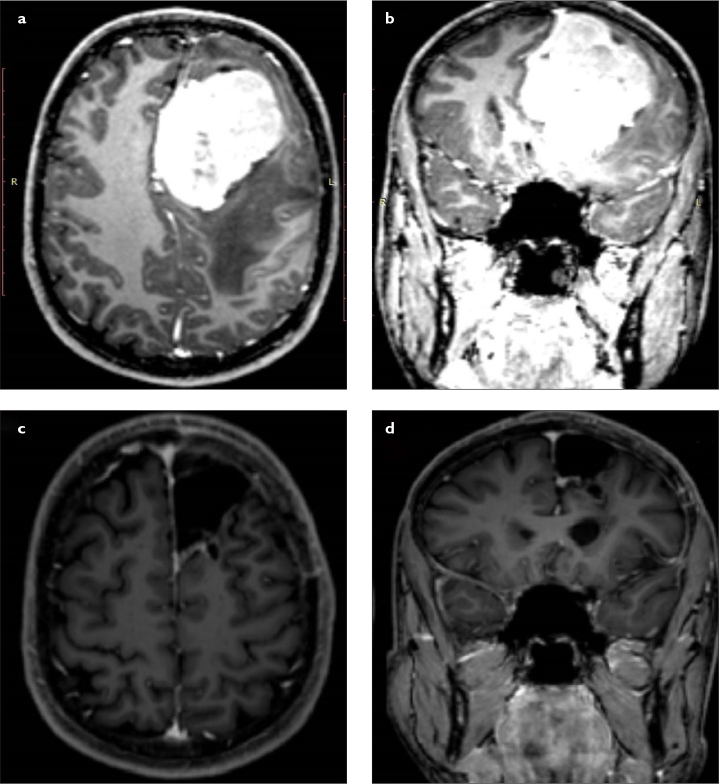
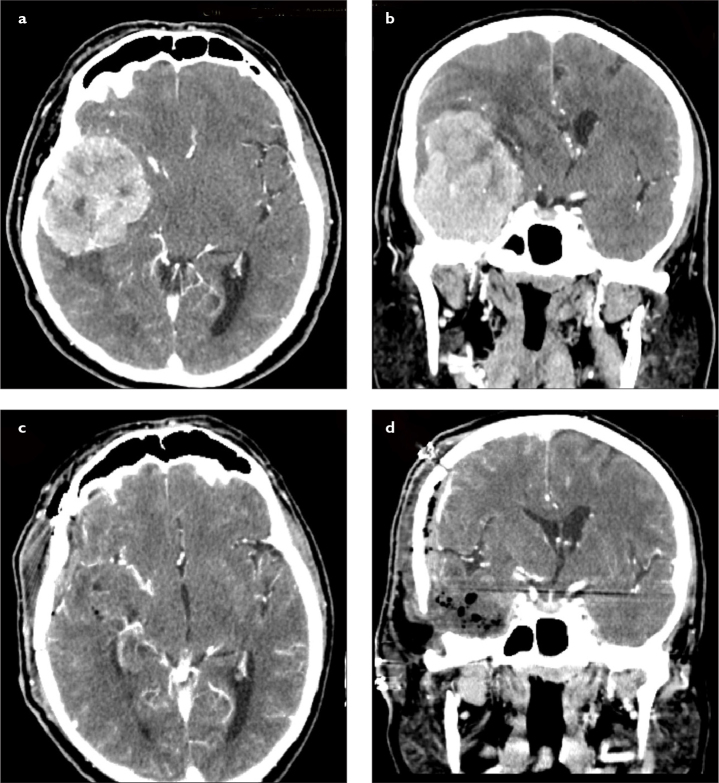
目的:颅内巨大脑膜瘤因其在颅骨的大小和位置而成为神经外科医生的一个挑战。困难的肿瘤解剖和重要的神经血管结构的包裹使他们成为可怕的噩梦。本研究的目的是介绍我们的颅内巨大脑膜瘤系列,并将我们使用先进手术技术的经验与现有文献进行比较。材料与方法:回顾性分析2014 ~ 2020年诊断为颅内巨大脑膜瘤并行手术治疗的患者资料。记录了患者的人口统计学、放射学和外科特征。详细分析了肿瘤的大小、部位及手术方法。结果:颅内脑膜瘤共61例患者在7年内接受了手术治疗,其中直径大于5cm的有10例(16.4%),分类为巨大脑膜瘤。男性7例,女性3例,平均年龄64.9岁。4个肿瘤位于颅底。组织学诊断为脑膜瘤7例世界卫生组织一级,3例世界卫生组织二级。6例患者获得Simpson 1级切除,4例患者获得2级切除。未观察到死亡。结论:颅内巨大脑膜瘤的手术治疗应周密规划。它们的位置、邻近的神经血管结构和血管供应影响这些巨大肿瘤的切除程度。颅底脑膜瘤的Simpson 1级切除很少可行。
本文章由计算机程序翻译,如有差异,请以英文原文为准。

Surgical Management of Giant Intracranial Meningiomas.

Surgical Management of Giant Intracranial Meningiomas.

Surgical Management of Giant Intracranial Meningiomas.

Surgical Management of Giant Intracranial Meningiomas.

Objective: Giant intracranial meningiomas are a challenge for neurosurgeons because of their size and location in the cranium. Difficult tumor dissection and encasement of important neurovascular structures make them a horrible nightmare. The aims of this study are to present our giant intracranial meningioma series and to compare our experience using advanced surgical technology with the current literature.

Materials and methods: The data of patients with the diagnosis of giant intracranial meningioma between 2014 and 2020 who underwent surgical treatment were retrospectively reviewed. The demographic, radiological, and surgical characteristics of patients were documented. The size and location of tumors as well as surgical technique were analyzed in detail.

Results: A total of 61 patients with intracranial meningioma underwent surgical treatment over a 7-year period, and 10 (16.4%) tumors were larger than 5 cm in diameter, which were classified as giant meningioma. Seven patients were male and 3 were female, with a mean age of 64.9 years. Four tumors were located at the skull base. Histological diagnosis was meningioma World Health Organization grade I in 7 patients and grade II in 3 patients. Simpson grade 1 resection was achieved in 6 patients and grade 2 resection in 4 patients. No mortality was observed.

Conclusion: Careful surgical planning should be made for giant intracranial meningiomas. Their location, adjacent neurovascular structures, and vascular supply affect the resection level of these giant tumors. Simpson grade 1 resection is seldom possible for skull base meningiomas.

求助全文
通过发布文献求助,成功后即可免费获取论文全文。 去求助
来源期刊
自引率
0.00%
发文量
0
×
引用
GB/T 7714-2015
复制
MLA
复制
APA
复制
导出至
BibTeX EndNote RefMan NoteFirst NoteExpress
×
提示
您的信息不完整,为了账户安全,请先补充。
现在去补充
×
提示
您因"违规操作"
具体请查看互助需知
我知道了
×
提示
确定
请完成安全验证×
copy
已复制链接
快去分享给好友吧!
我知道了
右上角分享
点击右上角分享
0
联系我们:info@booksci.cn Book学术提供免费学术资源搜索服务,方便国内外学者检索中英文文献。致力于提供最便捷和优质的服务体验。 Copyright © 2023 布克学术 All rights reserved.
京ICP备2023020795号-1
ghs 京公网安备 11010802042870号
Book学术文献互助
Book学术文献互助群
群 号:604180095
Book学术官方微信