以呼吸窘迫为表现的胸骨后甲状腺肿患者气道管理的挑战。

Nigerian Journal of Surgery Pub Date : 2021-01-01 Epub Date: 2021-03-09 DOI:10.4103/njs.NJS_58_19
Babatunde B Osinaike, Alaba O Ogunsiji, Olufunke C Joseph
{"title":"以呼吸窘迫为表现的胸骨后甲状腺肿患者气道管理的挑战。","authors":"Babatunde B Osinaike,&nbsp;Alaba O Ogunsiji,&nbsp;Olufunke C Joseph","doi":"10.4103/njs.NJS_58_19","DOIUrl":null,"url":null,"abstract":"<p><p>A number of options exist for patients with anticipated difficult intubation on account of a retrosternal goiter compressing on the trachea. The chosen technique(s) to secure the airway in this delicate situation often depends on the location and degree of airway obstruction, available resources/facilities, and an anesthetist's experience and preferences. We report the case of a 68-year-old woman with severe airway obstruction from a retrosternal goiter coming for total thyroidectomy. Airway management started with an awake fiber-optic intubation, proceeded to a tracheostomy and finally to use of a rigid bronchoscope following failure of the earlier techniques to achieve adequate ventilation.</p>","PeriodicalId":30399,"journal":{"name":"Nigerian Journal of Surgery","volume":"27 1","pages":"66-70"},"PeriodicalIF":0.0000,"publicationDate":"2021-01-01","publicationTypes":"Journal Article","fieldsOfStudy":null,"isOpenAccess":false,"openAccessPdf":"https://ftp.ncbi.nlm.nih.gov/pub/pmc/oa_pdf/f5/cb/NJS-27-66.PMC8112356.pdf","citationCount":"1","resultStr":"{\"title\":\"Challenging Airway Management in a Patient with Retrosternal Goiter Presenting in Respiratory Distress.\",\"authors\":\"Babatunde B Osinaike,&nbsp;Alaba O Ogunsiji,&nbsp;Olufunke C Joseph\",\"doi\":\"10.4103/njs.NJS_58_19\",\"DOIUrl\":null,\"url\":null,\"abstract\":\"<p><p>A number of options exist for patients with anticipated difficult intubation on account of a retrosternal goiter compressing on the trachea. The chosen technique(s) to secure the airway in this delicate situation often depends on the location and degree of airway obstruction, available resources/facilities, and an anesthetist's experience and preferences. We report the case of a 68-year-old woman with severe airway obstruction from a retrosternal goiter coming for total thyroidectomy. Airway management started with an awake fiber-optic intubation, proceeded to a tracheostomy and finally to use of a rigid bronchoscope following failure of the earlier techniques to achieve adequate ventilation.</p>\",\"PeriodicalId\":30399,\"journal\":{\"name\":\"Nigerian Journal of Surgery\",\"volume\":\"27 1\",\"pages\":\"66-70\"},\"PeriodicalIF\":0.0000,\"publicationDate\":\"2021-01-01\",\"publicationTypes\":\"Journal Article\",\"fieldsOfStudy\":null,\"isOpenAccess\":false,\"openAccessPdf\":\"https://ftp.ncbi.nlm.nih.gov/pub/pmc/oa_pdf/f5/cb/NJS-27-66.PMC8112356.pdf\",\"citationCount\":\"1\",\"resultStr\":null,\"platform\":\"Semanticscholar\",\"paperid\":null,\"PeriodicalName\":\"Nigerian Journal of Surgery\",\"FirstCategoryId\":\"1085\",\"ListUrlMain\":\"https://doi.org/10.4103/njs.NJS_58_19\",\"RegionNum\":0,\"RegionCategory\":null,\"ArticlePicture\":[],\"TitleCN\":null,\"AbstractTextCN\":null,\"PMCID\":null,\"EPubDate\":\"2021/3/9 0:00:00\",\"PubModel\":\"Epub\",\"JCR\":\"\",\"JCRName\":\"\",\"Score\":null,\"Total\":0}","platform":"Semanticscholar","paperid":null,"PeriodicalName":"Nigerian Journal of Surgery","FirstCategoryId":"1085","ListUrlMain":"https://doi.org/10.4103/njs.NJS_58_19","RegionNum":0,"RegionCategory":null,"ArticlePicture":[],"TitleCN":null,"AbstractTextCN":null,"PMCID":null,"EPubDate":"2021/3/9 0:00:00","PubModel":"Epub","JCR":"","JCRName":"","Score":null,"Total":0}
引用次数: 1

摘要

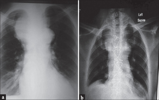
对于由于胸骨后甲状腺肿压迫气管而预期插管困难的患者,存在多种选择。在这种微妙的情况下,选择何种技术来保护气道通常取决于气道阻塞的位置和程度、可用的资源/设施以及麻醉师的经验和偏好。我们报告的情况下,68岁的妇女严重气道阻塞从胸骨后甲状腺肿来全甲状腺切除术。气道管理从清醒光纤插管开始,进行气管切开术,最后在早期技术失败后使用刚性支气管镜获得足够的通气。
本文章由计算机程序翻译,如有差异,请以英文原文为准。

Challenging Airway Management in a Patient with Retrosternal Goiter Presenting in Respiratory Distress.

Challenging Airway Management in a Patient with Retrosternal Goiter Presenting in Respiratory Distress.

Challenging Airway Management in a Patient with Retrosternal Goiter Presenting in Respiratory Distress.

Challenging Airway Management in a Patient with Retrosternal Goiter Presenting in Respiratory Distress.

A number of options exist for patients with anticipated difficult intubation on account of a retrosternal goiter compressing on the trachea. The chosen technique(s) to secure the airway in this delicate situation often depends on the location and degree of airway obstruction, available resources/facilities, and an anesthetist's experience and preferences. We report the case of a 68-year-old woman with severe airway obstruction from a retrosternal goiter coming for total thyroidectomy. Airway management started with an awake fiber-optic intubation, proceeded to a tracheostomy and finally to use of a rigid bronchoscope following failure of the earlier techniques to achieve adequate ventilation.

求助全文
通过发布文献求助,成功后即可免费获取论文全文。 去求助
来源期刊
自引率
0.00%
发文量
0
审稿时长
37 weeks
×
引用
GB/T 7714-2015
复制
MLA
复制
APA
复制
导出至
BibTeX EndNote RefMan NoteFirst NoteExpress
×
提示
您的信息不完整,为了账户安全,请先补充。
现在去补充
×
提示
您因"违规操作"
具体请查看互助需知
我知道了
×
提示
确定
请完成安全验证×
copy
已复制链接
快去分享给好友吧!
我知道了
右上角分享
点击右上角分享
0
联系我们:info@booksci.cn Book学术提供免费学术资源搜索服务,方便国内外学者检索中英文文献。致力于提供最便捷和优质的服务体验。 Copyright © 2023 布克学术 All rights reserved.
京ICP备2023020795号-1
ghs 京公网安备 11010802042870号
Book学术文献互助
Book学术文献互助群
群 号:604180095
Book学术官方微信