肛门黑色素瘤:尼日利亚郊区教学医院一例罕见且致命的恶性肿瘤。

Nigerian Journal of Surgery Pub Date : 2021-01-01 Epub Date: 2021-03-09 DOI:10.4103/njs.NJS_63_19
Samuel Oluwafemi Fatudimu, Oladipo Omoseebi, Olakunle Fatai Babalola, Saheed Olatunde Akanni
{"title":"肛门黑色素瘤:尼日利亚郊区教学医院一例罕见且致命的恶性肿瘤。","authors":"Samuel Oluwafemi Fatudimu,&nbsp;Oladipo Omoseebi,&nbsp;Olakunle Fatai Babalola,&nbsp;Saheed Olatunde Akanni","doi":"10.4103/njs.NJS_63_19","DOIUrl":null,"url":null,"abstract":"<p><p>The aim of this report is to highlight the challenges involved in the diagnosis and treatment of anal melanoma in a tertiary hospital in Nigeria. It is a case report of an 84-year-old man who was managed for anal malignant melanoma. Despite inadequate investigative tools and less radical surgical treatment, the survival period of the index patient was comparable to the median survival quoted in the literature. Despite its rarity, mucosal melanomas also occur in the tropics. Prompt diagnosis, adequate imaging, and standardized treatment may improve its outlook in the nearest future.</p>","PeriodicalId":30399,"journal":{"name":"Nigerian Journal of Surgery","volume":"27 1","pages":"59-62"},"PeriodicalIF":0.0000,"publicationDate":"2021-01-01","publicationTypes":"Journal Article","fieldsOfStudy":null,"isOpenAccess":false,"openAccessPdf":"https://ftp.ncbi.nlm.nih.gov/pub/pmc/oa_pdf/ba/fc/NJS-27-59.PMC8112359.pdf","citationCount":"0","resultStr":"{\"title\":\"Anal Melanoma: A Case Report of a Rare and Lethal Malignancy in a Suburban Nigerian Teaching Hospital.\",\"authors\":\"Samuel Oluwafemi Fatudimu,&nbsp;Oladipo Omoseebi,&nbsp;Olakunle Fatai Babalola,&nbsp;Saheed Olatunde Akanni\",\"doi\":\"10.4103/njs.NJS_63_19\",\"DOIUrl\":null,\"url\":null,\"abstract\":\"<p><p>The aim of this report is to highlight the challenges involved in the diagnosis and treatment of anal melanoma in a tertiary hospital in Nigeria. It is a case report of an 84-year-old man who was managed for anal malignant melanoma. Despite inadequate investigative tools and less radical surgical treatment, the survival period of the index patient was comparable to the median survival quoted in the literature. Despite its rarity, mucosal melanomas also occur in the tropics. Prompt diagnosis, adequate imaging, and standardized treatment may improve its outlook in the nearest future.</p>\",\"PeriodicalId\":30399,\"journal\":{\"name\":\"Nigerian Journal of Surgery\",\"volume\":\"27 1\",\"pages\":\"59-62\"},\"PeriodicalIF\":0.0000,\"publicationDate\":\"2021-01-01\",\"publicationTypes\":\"Journal Article\",\"fieldsOfStudy\":null,\"isOpenAccess\":false,\"openAccessPdf\":\"https://ftp.ncbi.nlm.nih.gov/pub/pmc/oa_pdf/ba/fc/NJS-27-59.PMC8112359.pdf\",\"citationCount\":\"0\",\"resultStr\":null,\"platform\":\"Semanticscholar\",\"paperid\":null,\"PeriodicalName\":\"Nigerian Journal of Surgery\",\"FirstCategoryId\":\"1085\",\"ListUrlMain\":\"https://doi.org/10.4103/njs.NJS_63_19\",\"RegionNum\":0,\"RegionCategory\":null,\"ArticlePicture\":[],\"TitleCN\":null,\"AbstractTextCN\":null,\"PMCID\":null,\"EPubDate\":\"2021/3/9 0:00:00\",\"PubModel\":\"Epub\",\"JCR\":\"\",\"JCRName\":\"\",\"Score\":null,\"Total\":0}","platform":"Semanticscholar","paperid":null,"PeriodicalName":"Nigerian Journal of Surgery","FirstCategoryId":"1085","ListUrlMain":"https://doi.org/10.4103/njs.NJS_63_19","RegionNum":0,"RegionCategory":null,"ArticlePicture":[],"TitleCN":null,"AbstractTextCN":null,"PMCID":null,"EPubDate":"2021/3/9 0:00:00","PubModel":"Epub","JCR":"","JCRName":"","Score":null,"Total":0}
引用次数: 0

摘要

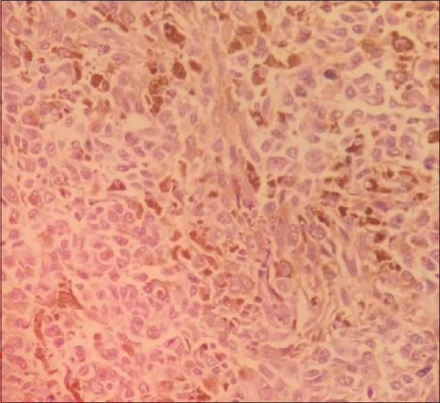
本报告的目的是强调在尼日利亚一家三级医院诊断和治疗肛门黑色素瘤所涉及的挑战。这是一个病例报告,84岁的男子谁是管理肛门恶性黑色素瘤。尽管没有足够的调查工具和较少的根治性手术治疗,指数患者的生存期与文献中引用的中位生存期相当。尽管罕见,粘膜黑色素瘤也发生在热带地区。及时的诊断,充分的影像和标准化的治疗可能在不久的将来改善其前景。
本文章由计算机程序翻译,如有差异,请以英文原文为准。

Anal Melanoma: A Case Report of a Rare and Lethal Malignancy in a Suburban Nigerian Teaching Hospital.

Anal Melanoma: A Case Report of a Rare and Lethal Malignancy in a Suburban Nigerian Teaching Hospital.

Anal Melanoma: A Case Report of a Rare and Lethal Malignancy in a Suburban Nigerian Teaching Hospital.

Anal Melanoma: A Case Report of a Rare and Lethal Malignancy in a Suburban Nigerian Teaching Hospital.

The aim of this report is to highlight the challenges involved in the diagnosis and treatment of anal melanoma in a tertiary hospital in Nigeria. It is a case report of an 84-year-old man who was managed for anal malignant melanoma. Despite inadequate investigative tools and less radical surgical treatment, the survival period of the index patient was comparable to the median survival quoted in the literature. Despite its rarity, mucosal melanomas also occur in the tropics. Prompt diagnosis, adequate imaging, and standardized treatment may improve its outlook in the nearest future.

求助全文
通过发布文献求助,成功后即可免费获取论文全文。 去求助
来源期刊
自引率
0.00%
发文量
0
审稿时长
37 weeks
×
引用
GB/T 7714-2015
复制
MLA
复制
APA
复制
导出至
BibTeX EndNote RefMan NoteFirst NoteExpress
×
提示
您的信息不完整,为了账户安全,请先补充。
现在去补充
×
提示
您因"违规操作"
具体请查看互助需知
我知道了
×
提示
确定
请完成安全验证×
copy
已复制链接
快去分享给好友吧!
我知道了
右上角分享
点击右上角分享
0
联系我们:info@booksci.cn Book学术提供免费学术资源搜索服务,方便国内外学者检索中英文文献。致力于提供最便捷和优质的服务体验。 Copyright © 2023 布克学术 All rights reserved.
京ICP备2023020795号-1
ghs 京公网安备 11010802042870号
Book学术文献互助
Book学术文献互助群
群 号:604180095
Book学术官方微信