双侧浆液性视网膜脱离:细小病毒感染的可能并发症?]

4区 医学 Q3 Medicine
Ophthalmologe Pub Date : 2022-01-01 Epub Date: 2021-01-14 DOI:10.1007/s00347-020-01314-z
V Schöneberger, A Händel, T Osterholt, P Brinkkötter, L Altay
{"title":"双侧浆液性视网膜脱离:细小病毒感染的可能并发症?]","authors":"V Schöneberger, A Händel, T Osterholt, P Brinkkötter, L Altay","doi":"10.1007/s00347-020-01314-z","DOIUrl":null,"url":null,"abstract":"","PeriodicalId":54676,"journal":{"name":"Ophthalmologe","volume":" ","pages":"83-86"},"PeriodicalIF":0.0000,"publicationDate":"2022-01-01","publicationTypes":"Journal Article","fieldsOfStudy":null,"isOpenAccess":false,"openAccessPdf":"https://sci-hub-pdf.com/10.1007/s00347-020-01314-z","citationCount":"0","resultStr":"{\"title\":\"[Bilateral serous retinal detachment: possible complication of parvovirus infection?]\",\"authors\":\"V Schöneberger, A Händel, T Osterholt, P Brinkkötter, L Altay\",\"doi\":\"10.1007/s00347-020-01314-z\",\"DOIUrl\":null,\"url\":null,\"abstract\":\"\",\"PeriodicalId\":54676,\"journal\":{\"name\":\"Ophthalmologe\",\"volume\":\" \",\"pages\":\"83-86\"},\"PeriodicalIF\":0.0000,\"publicationDate\":\"2022-01-01\",\"publicationTypes\":\"Journal Article\",\"fieldsOfStudy\":null,\"isOpenAccess\":false,\"openAccessPdf\":\"https://sci-hub-pdf.com/10.1007/s00347-020-01314-z\",\"citationCount\":\"0\",\"resultStr\":null,\"platform\":\"Semanticscholar\",\"paperid\":null,\"PeriodicalName\":\"Ophthalmologe\",\"FirstCategoryId\":\"3\",\"ListUrlMain\":\"https://doi.org/10.1007/s00347-020-01314-z\",\"RegionNum\":4,\"RegionCategory\":\"医学\",\"ArticlePicture\":[],\"TitleCN\":null,\"AbstractTextCN\":null,\"PMCID\":null,\"EPubDate\":\"2021/1/14 0:00:00\",\"PubModel\":\"Epub\",\"JCR\":\"Q3\",\"JCRName\":\"Medicine\",\"Score\":null,\"Total\":0}","platform":"Semanticscholar","paperid":null,"PeriodicalName":"Ophthalmologe","FirstCategoryId":"3","ListUrlMain":"https://doi.org/10.1007/s00347-020-01314-z","RegionNum":4,"RegionCategory":"医学","ArticlePicture":[],"TitleCN":null,"AbstractTextCN":null,"PMCID":null,"EPubDate":"2021/1/14 0:00:00","PubModel":"Epub","JCR":"Q3","JCRName":"Medicine","Score":null,"Total":0}
引用次数: 0

摘要

本文章由计算机程序翻译,如有差异,请以英文原文为准。

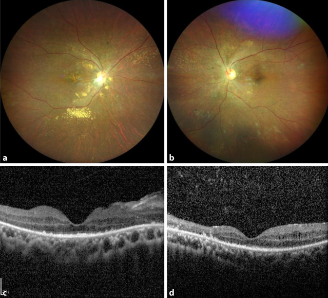
[Bilateral serous retinal detachment: possible complication of parvovirus infection?]

[Bilateral serous retinal detachment: possible complication of parvovirus infection?]

[Bilateral serous retinal detachment: possible complication of parvovirus infection?]

[Bilateral serous retinal detachment: possible complication of parvovirus infection?]
求助全文
通过发布文献求助,成功后即可免费获取论文全文。 去求助
来源期刊
Ophthalmologe
Ophthalmologe 医学-眼科学
CiteScore
1.80
自引率
0.00%
发文量
95
审稿时长
4-8 weeks
期刊介绍: Der Ophthalmologe is an internationally recognized journal dealing with all aspects of ophthalmology. The journal serves both the scientific exchange and the continuing education of ophthalmologists. Freely submitted original papers allow the presentation of important clinical studies and serve scientific exchange. Case reports feature interesting cases and aim at optimizing diagnostic and therapeutic strategies. Comprehensive reviews on a specific topical issue focus on providing evidenced based information on diagnostics and therapy. Review articles under the rubric ''Continuing Medical Education'' present verified results of scientific research and their integration into daily practice.
×
引用
GB/T 7714-2015
复制
MLA
复制
APA
复制
导出至
BibTeX EndNote RefMan NoteFirst NoteExpress
×
提示
您的信息不完整,为了账户安全,请先补充。
现在去补充
×
提示
您因"违规操作"
具体请查看互助需知
我知道了
×
提示
确定
请完成安全验证×
copy
已复制链接
快去分享给好友吧!
我知道了
右上角分享
点击右上角分享
0
联系我们:info@booksci.cn Book学术提供免费学术资源搜索服务,方便国内外学者检索中英文文献。致力于提供最便捷和优质的服务体验。 Copyright © 2023 布克学术 All rights reserved.
京ICP备2023020795号-1
ghs 京公网安备 11010802042870号
Book学术文献互助
Book学术文献互助群
群 号:604180095
Book学术官方微信