脾门的硬纤维瘤:一种罕见的肿瘤,在一个不寻常的位置。

Nigerian Journal of Surgery Pub Date : 2020-07-01 Epub Date: 2020-07-27 DOI:10.4103/njs.NJS_35_19
Ana Sánchez-Gollarte, Fernando Mendoza-Moreno, Marina Pérez-González, Manuel Díez-Alonso, José María Mugüerza-Huguet, María Del Rocío Díez-Gago, Fernando Noguerales-Fraguas, Alberto José Gutiérrez-Calvo
{"title":"脾门的硬纤维瘤:一种罕见的肿瘤,在一个不寻常的位置。","authors":"Ana Sánchez-Gollarte,&nbsp;Fernando Mendoza-Moreno,&nbsp;Marina Pérez-González,&nbsp;Manuel Díez-Alonso,&nbsp;José María Mugüerza-Huguet,&nbsp;María Del Rocío Díez-Gago,&nbsp;Fernando Noguerales-Fraguas,&nbsp;Alberto José Gutiérrez-Calvo","doi":"10.4103/njs.NJS_35_19","DOIUrl":null,"url":null,"abstract":"<p><p>Desmoid-type fibromatoses (DTFs), also known as desmoid tumors, are benign but infiltrative neoplasms that often appear next to previous surgical site. Intra-abdominal tumors usually involve the mesentery, but splenic hilum is an unusual localization. We present a case of a desmoid tumor of the splenic hilum laparoscopically resected in a 70-year-old male with a previous history of chromophobe renal cell carcinoma and ocular spindle melanoma. Although benign, desmoid tumors might be infiltrative and produce serious complications. Treatment remains controversial, ranging from surgery and medical therapies to observation. Management of DTF must be individualized, considering the risk of complications and recurrence.</p>","PeriodicalId":30399,"journal":{"name":"Nigerian Journal of Surgery","volume":"26 2","pages":"166-169"},"PeriodicalIF":0.0000,"publicationDate":"2020-07-01","publicationTypes":"Journal Article","fieldsOfStudy":null,"isOpenAccess":false,"openAccessPdf":"https://ftp.ncbi.nlm.nih.gov/pub/pmc/oa_pdf/30/b9/NJS-26-166.PMC7659762.pdf","citationCount":"0","resultStr":"{\"title\":\"Desmoid-type Fibromatosis of the Splenic Hilum: A Rare Tumor at an Unusual Location.\",\"authors\":\"Ana Sánchez-Gollarte,&nbsp;Fernando Mendoza-Moreno,&nbsp;Marina Pérez-González,&nbsp;Manuel Díez-Alonso,&nbsp;José María Mugüerza-Huguet,&nbsp;María Del Rocío Díez-Gago,&nbsp;Fernando Noguerales-Fraguas,&nbsp;Alberto José Gutiérrez-Calvo\",\"doi\":\"10.4103/njs.NJS_35_19\",\"DOIUrl\":null,\"url\":null,\"abstract\":\"<p><p>Desmoid-type fibromatoses (DTFs), also known as desmoid tumors, are benign but infiltrative neoplasms that often appear next to previous surgical site. Intra-abdominal tumors usually involve the mesentery, but splenic hilum is an unusual localization. We present a case of a desmoid tumor of the splenic hilum laparoscopically resected in a 70-year-old male with a previous history of chromophobe renal cell carcinoma and ocular spindle melanoma. Although benign, desmoid tumors might be infiltrative and produce serious complications. Treatment remains controversial, ranging from surgery and medical therapies to observation. Management of DTF must be individualized, considering the risk of complications and recurrence.</p>\",\"PeriodicalId\":30399,\"journal\":{\"name\":\"Nigerian Journal of Surgery\",\"volume\":\"26 2\",\"pages\":\"166-169\"},\"PeriodicalIF\":0.0000,\"publicationDate\":\"2020-07-01\",\"publicationTypes\":\"Journal Article\",\"fieldsOfStudy\":null,\"isOpenAccess\":false,\"openAccessPdf\":\"https://ftp.ncbi.nlm.nih.gov/pub/pmc/oa_pdf/30/b9/NJS-26-166.PMC7659762.pdf\",\"citationCount\":\"0\",\"resultStr\":null,\"platform\":\"Semanticscholar\",\"paperid\":null,\"PeriodicalName\":\"Nigerian Journal of Surgery\",\"FirstCategoryId\":\"1085\",\"ListUrlMain\":\"https://doi.org/10.4103/njs.NJS_35_19\",\"RegionNum\":0,\"RegionCategory\":null,\"ArticlePicture\":[],\"TitleCN\":null,\"AbstractTextCN\":null,\"PMCID\":null,\"EPubDate\":\"2020/7/27 0:00:00\",\"PubModel\":\"Epub\",\"JCR\":\"\",\"JCRName\":\"\",\"Score\":null,\"Total\":0}","platform":"Semanticscholar","paperid":null,"PeriodicalName":"Nigerian Journal of Surgery","FirstCategoryId":"1085","ListUrlMain":"https://doi.org/10.4103/njs.NJS_35_19","RegionNum":0,"RegionCategory":null,"ArticlePicture":[],"TitleCN":null,"AbstractTextCN":null,"PMCID":null,"EPubDate":"2020/7/27 0:00:00","PubModel":"Epub","JCR":"","JCRName":"","Score":null,"Total":0}
引用次数: 0

摘要

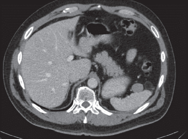
硬纤维瘤,也称为硬纤维瘤,是一种良性的浸润性肿瘤,常出现在既往手术部位旁边。腹内肿瘤通常累及肠系膜,但脾门少见。我们报告一例经腹腔镜切除的脾门硬纤维瘤,患者为70岁男性,既往有嫌色性肾细胞癌及眼梭形黑色素瘤病史。虽然是良性的,但硬纤维瘤可能是浸润性的,并产生严重的并发症。治疗方法仍然存在争议,从手术和药物治疗到观察。考虑到并发症和复发的风险,DTF的治疗必须个体化。
本文章由计算机程序翻译,如有差异,请以英文原文为准。

Desmoid-type Fibromatosis of the Splenic Hilum: A Rare Tumor at an Unusual Location.

Desmoid-type Fibromatosis of the Splenic Hilum: A Rare Tumor at an Unusual Location.

Desmoid-type Fibromatosis of the Splenic Hilum: A Rare Tumor at an Unusual Location.

Desmoid-type Fibromatosis of the Splenic Hilum: A Rare Tumor at an Unusual Location.

Desmoid-type fibromatoses (DTFs), also known as desmoid tumors, are benign but infiltrative neoplasms that often appear next to previous surgical site. Intra-abdominal tumors usually involve the mesentery, but splenic hilum is an unusual localization. We present a case of a desmoid tumor of the splenic hilum laparoscopically resected in a 70-year-old male with a previous history of chromophobe renal cell carcinoma and ocular spindle melanoma. Although benign, desmoid tumors might be infiltrative and produce serious complications. Treatment remains controversial, ranging from surgery and medical therapies to observation. Management of DTF must be individualized, considering the risk of complications and recurrence.

求助全文
通过发布文献求助,成功后即可免费获取论文全文。 去求助
来源期刊
自引率
0.00%
发文量
0
审稿时长
37 weeks
×
引用
GB/T 7714-2015
复制
MLA
复制
APA
复制
导出至
BibTeX EndNote RefMan NoteFirst NoteExpress
×
提示
您的信息不完整,为了账户安全,请先补充。
现在去补充
×
提示
您因"违规操作"
具体请查看互助需知
我知道了
×
提示
确定
请完成安全验证×
copy
已复制链接
快去分享给好友吧!
我知道了
右上角分享
点击右上角分享
0
联系我们:info@booksci.cn Book学术提供免费学术资源搜索服务,方便国内外学者检索中英文文献。致力于提供最便捷和优质的服务体验。 Copyright © 2023 布克学术 All rights reserved.
京ICP备2023020795号-1
ghs 京公网安备 11010802042870号
Book学术文献互助
Book学术文献互助群
群 号:604180095
Book学术官方微信