急性肾动脉闭塞缺血时间延长后支架置入术抢救肾。

IF 1.5 Q3 CARDIAC & CARDIOVASCULAR SYSTEMS
JRSM Cardiovascular Disease Pub Date : 2020-08-23 eCollection Date: 2020-01-01 DOI:10.1177/2048004020940520
Yue Gao, Dimitrios Miserlis, G Matthew Longo, Nitin Garg
{"title":"急性肾动脉闭塞缺血时间延长后支架置入术抢救肾。","authors":"Yue Gao,&nbsp;Dimitrios Miserlis,&nbsp;G Matthew Longo,&nbsp;Nitin Garg","doi":"10.1177/2048004020940520","DOIUrl":null,"url":null,"abstract":"<p><strong>Purpose: </strong>To describe a patient with acute renal artery occlusion who underwent successful revascularization procedure after experiencing a protracted ischemic period, which resulted in successful retrieval of renal function.</p><p><strong>Case report: </strong>A 58-year-old male with a history of left renal artery stenosis and stent graft placement presented with symptoms of chest pain, shortness of breath, and flank pain. The patient was admitted to the Intensive Care Unit with the diagnosis of multiorgan failure and subsequent anuria that led to the initiation of hemodialysis. Computed tomography angiography demonstrated an aortic occlusion along with bilateral proximal renal artery occlusion with reconstitution of the mid to distal renal arteries via collateralization. The patient underwent angioplasty with bilateral renal artery stent-graft placement and successful revascularization of proximal renal arteries. Post-operatively, his renal function and urine output improved, and the patient was able to be weaned off hemodialysis along with the benefit of concurrent amelioration of his renovascular hypertension.</p><p><strong>Conclusion: </strong>For select patients with renal artery occlusion, revascularization of the renal arteries may result in dialysis independence and stabilization of renovascular hypertension, despite prolonged time of ischemia.</p>","PeriodicalId":30457,"journal":{"name":"JRSM Cardiovascular Disease","volume":" ","pages":"2048004020940520"},"PeriodicalIF":1.5000,"publicationDate":"2020-08-23","publicationTypes":"Journal Article","fieldsOfStudy":null,"isOpenAccess":false,"openAccessPdf":"https://sci-hub-pdf.com/10.1177/2048004020940520","citationCount":"4","resultStr":"{\"title\":\"Renal salvage using stent graft placement after acute renal artery occlusion with prolonged ischemic time.\",\"authors\":\"Yue Gao,&nbsp;Dimitrios Miserlis,&nbsp;G Matthew Longo,&nbsp;Nitin Garg\",\"doi\":\"10.1177/2048004020940520\",\"DOIUrl\":null,\"url\":null,\"abstract\":\"<p><strong>Purpose: </strong>To describe a patient with acute renal artery occlusion who underwent successful revascularization procedure after experiencing a protracted ischemic period, which resulted in successful retrieval of renal function.</p><p><strong>Case report: </strong>A 58-year-old male with a history of left renal artery stenosis and stent graft placement presented with symptoms of chest pain, shortness of breath, and flank pain. The patient was admitted to the Intensive Care Unit with the diagnosis of multiorgan failure and subsequent anuria that led to the initiation of hemodialysis. Computed tomography angiography demonstrated an aortic occlusion along with bilateral proximal renal artery occlusion with reconstitution of the mid to distal renal arteries via collateralization. The patient underwent angioplasty with bilateral renal artery stent-graft placement and successful revascularization of proximal renal arteries. Post-operatively, his renal function and urine output improved, and the patient was able to be weaned off hemodialysis along with the benefit of concurrent amelioration of his renovascular hypertension.</p><p><strong>Conclusion: </strong>For select patients with renal artery occlusion, revascularization of the renal arteries may result in dialysis independence and stabilization of renovascular hypertension, despite prolonged time of ischemia.</p>\",\"PeriodicalId\":30457,\"journal\":{\"name\":\"JRSM Cardiovascular Disease\",\"volume\":\" \",\"pages\":\"2048004020940520\"},\"PeriodicalIF\":1.5000,\"publicationDate\":\"2020-08-23\",\"publicationTypes\":\"Journal Article\",\"fieldsOfStudy\":null,\"isOpenAccess\":false,\"openAccessPdf\":\"https://sci-hub-pdf.com/10.1177/2048004020940520\",\"citationCount\":\"4\",\"resultStr\":null,\"platform\":\"Semanticscholar\",\"paperid\":null,\"PeriodicalName\":\"JRSM Cardiovascular Disease\",\"FirstCategoryId\":\"1085\",\"ListUrlMain\":\"https://doi.org/10.1177/2048004020940520\",\"RegionNum\":0,\"RegionCategory\":null,\"ArticlePicture\":[],\"TitleCN\":null,\"AbstractTextCN\":null,\"PMCID\":null,\"EPubDate\":\"2020/1/1 0:00:00\",\"PubModel\":\"eCollection\",\"JCR\":\"Q3\",\"JCRName\":\"CARDIAC & CARDIOVASCULAR SYSTEMS\",\"Score\":null,\"Total\":0}","platform":"Semanticscholar","paperid":null,"PeriodicalName":"JRSM Cardiovascular Disease","FirstCategoryId":"1085","ListUrlMain":"https://doi.org/10.1177/2048004020940520","RegionNum":0,"RegionCategory":null,"ArticlePicture":[],"TitleCN":null,"AbstractTextCN":null,"PMCID":null,"EPubDate":"2020/1/1 0:00:00","PubModel":"eCollection","JCR":"Q3","JCRName":"CARDIAC & CARDIOVASCULAR SYSTEMS","Score":null,"Total":0}
引用次数: 4

摘要

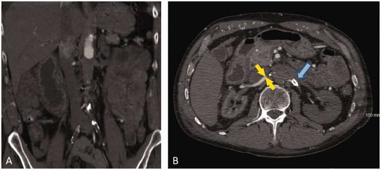
目的:描述一个急性肾动脉闭塞的病人在经历了长时间的缺血后,成功地进行了血运重建手术,并成功地恢复了肾功能。病例报告:一名58岁男性,有左肾动脉狭窄和支架置入术史,表现为胸痛、呼吸短促和侧腹疼痛。患者因多器官功能衰竭和随后的无尿导致开始血液透析而被送入重症监护病房。计算机断层血管造影显示主动脉阻塞和双侧肾近端动脉阻塞,并通过侧支重建肾中远端动脉。患者接受双侧肾动脉支架置入术,肾近端动脉血运重建成功。术后,患者的肾功能和尿量得到改善,患者可以停止血液透析,同时肾血管性高血压也得到改善。结论:对于部分肾动脉闭塞患者,肾动脉血运重建术虽然延长了缺血时间,但可使肾血管性高血压的透析独立性和稳定性得到改善。
本文章由计算机程序翻译,如有差异,请以英文原文为准。

Renal salvage using stent graft placement after acute renal artery occlusion with prolonged ischemic time.

Renal salvage using stent graft placement after acute renal artery occlusion with prolonged ischemic time.

Renal salvage using stent graft placement after acute renal artery occlusion with prolonged ischemic time.

Renal salvage using stent graft placement after acute renal artery occlusion with prolonged ischemic time.

Purpose: To describe a patient with acute renal artery occlusion who underwent successful revascularization procedure after experiencing a protracted ischemic period, which resulted in successful retrieval of renal function.

Case report: A 58-year-old male with a history of left renal artery stenosis and stent graft placement presented with symptoms of chest pain, shortness of breath, and flank pain. The patient was admitted to the Intensive Care Unit with the diagnosis of multiorgan failure and subsequent anuria that led to the initiation of hemodialysis. Computed tomography angiography demonstrated an aortic occlusion along with bilateral proximal renal artery occlusion with reconstitution of the mid to distal renal arteries via collateralization. The patient underwent angioplasty with bilateral renal artery stent-graft placement and successful revascularization of proximal renal arteries. Post-operatively, his renal function and urine output improved, and the patient was able to be weaned off hemodialysis along with the benefit of concurrent amelioration of his renovascular hypertension.

Conclusion: For select patients with renal artery occlusion, revascularization of the renal arteries may result in dialysis independence and stabilization of renovascular hypertension, despite prolonged time of ischemia.

求助全文
通过发布文献求助,成功后即可免费获取论文全文。 去求助
来源期刊
JRSM Cardiovascular Disease
JRSM Cardiovascular Disease CARDIAC & CARDIOVASCULAR SYSTEMS-
自引率
6.20%
发文量
12
审稿时长
12 weeks
×
引用
GB/T 7714-2015
复制
MLA
复制
APA
复制
导出至
BibTeX EndNote RefMan NoteFirst NoteExpress
×
提示
您的信息不完整,为了账户安全,请先补充。
现在去补充
×
提示
您因"违规操作"
具体请查看互助需知
我知道了
×
提示
确定
请完成安全验证×
copy
已复制链接
快去分享给好友吧!
我知道了
右上角分享
点击右上角分享
0
联系我们:info@booksci.cn Book学术提供免费学术资源搜索服务,方便国内外学者检索中英文文献。致力于提供最便捷和优质的服务体验。 Copyright © 2023 布克学术 All rights reserved.
京ICP备2023020795号-1
ghs 京公网安备 11010802042870号
Book学术文献互助
Book学术文献互助群
群 号:604180095
Book学术官方微信