肺动脉栓塞:腔静脉滤器插入和手术取栓后SFJ漂浮血栓的成功治疗。

IF 1.5 Q3 CARDIAC & CARDIOVASCULAR SYSTEMS
JRSM Cardiovascular Disease Pub Date : 2020-11-30 eCollection Date: 2020-01-01 DOI:10.1177/2048004020976256
Andrea Ascoli Marchetti, Bernardo Orellana Davila, Fabio Massimo Oddi, Arnaldo Ippoliti
{"title":"肺动脉栓塞:腔静脉滤器插入和手术取栓后SFJ漂浮血栓的成功治疗。","authors":"Andrea Ascoli Marchetti,&nbsp;Bernardo Orellana Davila,&nbsp;Fabio Massimo Oddi,&nbsp;Arnaldo Ippoliti","doi":"10.1177/2048004020976256","DOIUrl":null,"url":null,"abstract":"<p><p>The floating venous thrombus in the common femoral vein has a high potential risk for pulmonary embolization. Clinical treatments, using anticoagulants or fibrinolytic, open thrombectomies, or thrombectomies by endovascular devices have all been used. Our case describe an obese patient affected by floating thrombus coming from GSV and diving in common femoral vein successful treated by combined both temporary vena cava insertion and open surgical thrombectomy.</p>","PeriodicalId":30457,"journal":{"name":"JRSM Cardiovascular Disease","volume":" ","pages":"2048004020976256"},"PeriodicalIF":1.5000,"publicationDate":"2020-11-30","publicationTypes":"Journal Article","fieldsOfStudy":null,"isOpenAccess":false,"openAccessPdf":"https://sci-hub-pdf.com/10.1177/2048004020976256","citationCount":"1","resultStr":"{\"title\":\"Pulmonary embolism: Successful treatment of floating thrombus in SFJ after vena cava filter insertion and surgical thrombectomy.\",\"authors\":\"Andrea Ascoli Marchetti,&nbsp;Bernardo Orellana Davila,&nbsp;Fabio Massimo Oddi,&nbsp;Arnaldo Ippoliti\",\"doi\":\"10.1177/2048004020976256\",\"DOIUrl\":null,\"url\":null,\"abstract\":\"<p><p>The floating venous thrombus in the common femoral vein has a high potential risk for pulmonary embolization. Clinical treatments, using anticoagulants or fibrinolytic, open thrombectomies, or thrombectomies by endovascular devices have all been used. Our case describe an obese patient affected by floating thrombus coming from GSV and diving in common femoral vein successful treated by combined both temporary vena cava insertion and open surgical thrombectomy.</p>\",\"PeriodicalId\":30457,\"journal\":{\"name\":\"JRSM Cardiovascular Disease\",\"volume\":\" \",\"pages\":\"2048004020976256\"},\"PeriodicalIF\":1.5000,\"publicationDate\":\"2020-11-30\",\"publicationTypes\":\"Journal Article\",\"fieldsOfStudy\":null,\"isOpenAccess\":false,\"openAccessPdf\":\"https://sci-hub-pdf.com/10.1177/2048004020976256\",\"citationCount\":\"1\",\"resultStr\":null,\"platform\":\"Semanticscholar\",\"paperid\":null,\"PeriodicalName\":\"JRSM Cardiovascular Disease\",\"FirstCategoryId\":\"1085\",\"ListUrlMain\":\"https://doi.org/10.1177/2048004020976256\",\"RegionNum\":0,\"RegionCategory\":null,\"ArticlePicture\":[],\"TitleCN\":null,\"AbstractTextCN\":null,\"PMCID\":null,\"EPubDate\":\"2020/1/1 0:00:00\",\"PubModel\":\"eCollection\",\"JCR\":\"Q3\",\"JCRName\":\"CARDIAC & CARDIOVASCULAR SYSTEMS\",\"Score\":null,\"Total\":0}","platform":"Semanticscholar","paperid":null,"PeriodicalName":"JRSM Cardiovascular Disease","FirstCategoryId":"1085","ListUrlMain":"https://doi.org/10.1177/2048004020976256","RegionNum":0,"RegionCategory":null,"ArticlePicture":[],"TitleCN":null,"AbstractTextCN":null,"PMCID":null,"EPubDate":"2020/1/1 0:00:00","PubModel":"eCollection","JCR":"Q3","JCRName":"CARDIAC & CARDIOVASCULAR SYSTEMS","Score":null,"Total":0}
引用次数: 1

摘要

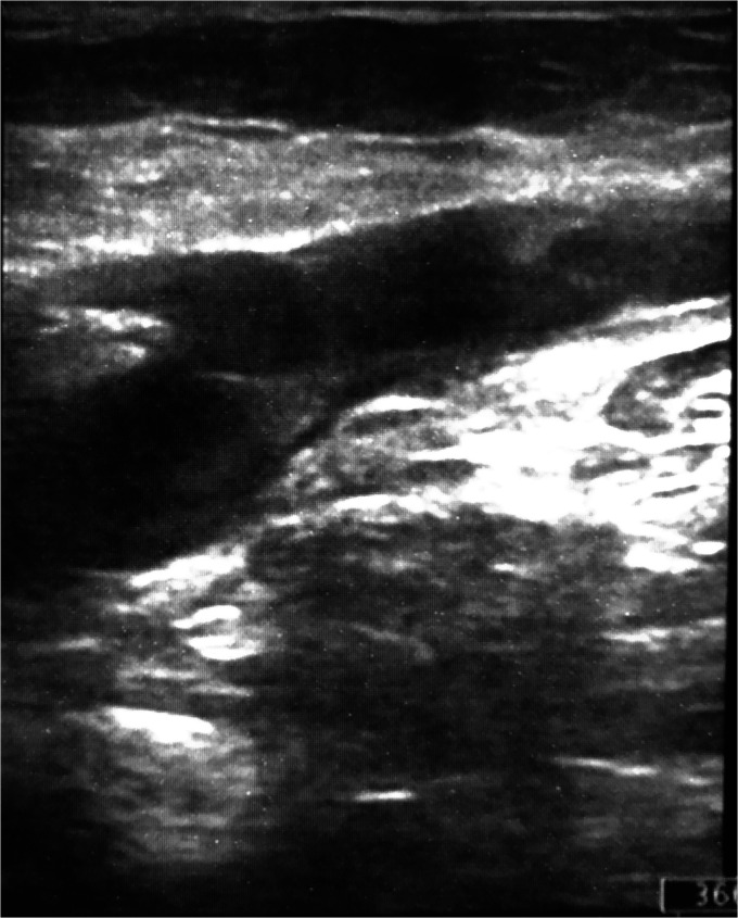
股总静脉浮静脉血栓具有肺动脉栓塞的高潜在风险。临床治疗,使用抗凝剂或纤溶剂,开放血栓切除术,或血管内装置血栓切除术都已被使用。我们的病例描述了一名肥胖患者,他受到来自GSV的漂浮血栓的影响,并潜入股总静脉,通过联合临时腔静脉插入和开放手术取栓成功治疗。
本文章由计算机程序翻译,如有差异,请以英文原文为准。

Pulmonary embolism: Successful treatment of floating thrombus in SFJ after vena cava filter insertion and surgical thrombectomy.

Pulmonary embolism: Successful treatment of floating thrombus in SFJ after vena cava filter insertion and surgical thrombectomy.

Pulmonary embolism: Successful treatment of floating thrombus in SFJ after vena cava filter insertion and surgical thrombectomy.

Pulmonary embolism: Successful treatment of floating thrombus in SFJ after vena cava filter insertion and surgical thrombectomy.

The floating venous thrombus in the common femoral vein has a high potential risk for pulmonary embolization. Clinical treatments, using anticoagulants or fibrinolytic, open thrombectomies, or thrombectomies by endovascular devices have all been used. Our case describe an obese patient affected by floating thrombus coming from GSV and diving in common femoral vein successful treated by combined both temporary vena cava insertion and open surgical thrombectomy.

求助全文
通过发布文献求助,成功后即可免费获取论文全文。 去求助
来源期刊
JRSM Cardiovascular Disease
JRSM Cardiovascular Disease CARDIAC & CARDIOVASCULAR SYSTEMS-
自引率
6.20%
发文量
12
审稿时长
12 weeks
×
引用
GB/T 7714-2015
复制
MLA
复制
APA
复制
导出至
BibTeX EndNote RefMan NoteFirst NoteExpress
×
提示
您的信息不完整,为了账户安全,请先补充。
现在去补充
×
提示
您因"违规操作"
具体请查看互助需知
我知道了
×
提示
确定
请完成安全验证×
copy
已复制链接
快去分享给好友吧!
我知道了
右上角分享
点击右上角分享
0
联系我们:info@booksci.cn Book学术提供免费学术资源搜索服务,方便国内外学者检索中英文文献。致力于提供最便捷和优质的服务体验。 Copyright © 2023 布克学术 All rights reserved.
京ICP备2023020795号-1
ghs 京公网安备 11010802042870号
Book学术文献互助
Book学术文献互助群
群 号:604180095
Book学术官方微信