婴儿心外膜永久性起搏器植入术后罕见并发症1例:气道压迫、皮肤坏死、肠穿孔。

Q3 Medicine
Woojung Kim, Jae Gun Kwak, Jooncheol Min, Woong-Han Kim
{"title":"婴儿心外膜永久性起搏器植入术后罕见并发症1例:气道压迫、皮肤坏死、肠穿孔。","authors":"Woojung Kim,&nbsp;Jae Gun Kwak,&nbsp;Jooncheol Min,&nbsp;Woong-Han Kim","doi":"10.5090/kjtcs.2020.53.2.82","DOIUrl":null,"url":null,"abstract":"<p><p>Insertion of an epicardial pacemaker is a useful treatment for pediatric patients with an abnormal heart rhythm. However, there are limitations and concerns when implanting epicardial pacemakers in infants and neonates due to their small body size. We report a patient who experienced rare complications after implantation of a permanent pacemaker.</p>","PeriodicalId":38678,"journal":{"name":"Korean Journal of Thoracic and Cardiovascular Surgery","volume":"53 2","pages":"82-85"},"PeriodicalIF":0.0000,"publicationDate":"2020-04-05","publicationTypes":"Journal Article","fieldsOfStudy":null,"isOpenAccess":false,"openAccessPdf":"https://ftp.ncbi.nlm.nih.gov/pub/pmc/oa_pdf/df/f4/kjtcv-53-082.PMC7155185.pdf","citationCount":"1","resultStr":"{\"title\":\"A Case Report of Rare Complications after Epicardial Permanent Pacemaker Implantation in an Infant: Airway Compression, Skin Necrosis, and Bowel Perforation.\",\"authors\":\"Woojung Kim,&nbsp;Jae Gun Kwak,&nbsp;Jooncheol Min,&nbsp;Woong-Han Kim\",\"doi\":\"10.5090/kjtcs.2020.53.2.82\",\"DOIUrl\":null,\"url\":null,\"abstract\":\"<p><p>Insertion of an epicardial pacemaker is a useful treatment for pediatric patients with an abnormal heart rhythm. However, there are limitations and concerns when implanting epicardial pacemakers in infants and neonates due to their small body size. We report a patient who experienced rare complications after implantation of a permanent pacemaker.</p>\",\"PeriodicalId\":38678,\"journal\":{\"name\":\"Korean Journal of Thoracic and Cardiovascular Surgery\",\"volume\":\"53 2\",\"pages\":\"82-85\"},\"PeriodicalIF\":0.0000,\"publicationDate\":\"2020-04-05\",\"publicationTypes\":\"Journal Article\",\"fieldsOfStudy\":null,\"isOpenAccess\":false,\"openAccessPdf\":\"https://ftp.ncbi.nlm.nih.gov/pub/pmc/oa_pdf/df/f4/kjtcv-53-082.PMC7155185.pdf\",\"citationCount\":\"1\",\"resultStr\":null,\"platform\":\"Semanticscholar\",\"paperid\":null,\"PeriodicalName\":\"Korean Journal of Thoracic and Cardiovascular Surgery\",\"FirstCategoryId\":\"1085\",\"ListUrlMain\":\"https://doi.org/10.5090/kjtcs.2020.53.2.82\",\"RegionNum\":0,\"RegionCategory\":null,\"ArticlePicture\":[],\"TitleCN\":null,\"AbstractTextCN\":null,\"PMCID\":null,\"EPubDate\":\"\",\"PubModel\":\"\",\"JCR\":\"Q3\",\"JCRName\":\"Medicine\",\"Score\":null,\"Total\":0}","platform":"Semanticscholar","paperid":null,"PeriodicalName":"Korean Journal of Thoracic and Cardiovascular Surgery","FirstCategoryId":"1085","ListUrlMain":"https://doi.org/10.5090/kjtcs.2020.53.2.82","RegionNum":0,"RegionCategory":null,"ArticlePicture":[],"TitleCN":null,"AbstractTextCN":null,"PMCID":null,"EPubDate":"","PubModel":"","JCR":"Q3","JCRName":"Medicine","Score":null,"Total":0}
引用次数: 1

摘要

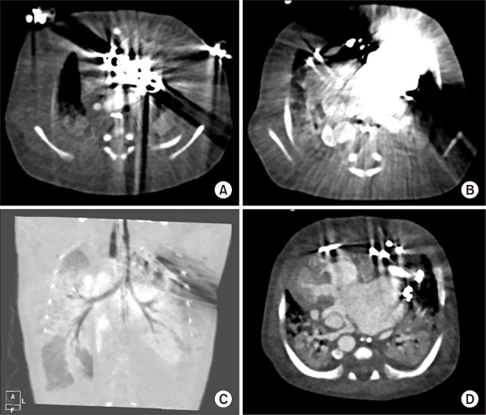
心外膜起搏器的插入是一个有用的治疗小儿患者心律异常。然而,由于婴儿和新生儿体型小,在植入心外膜起搏器时存在局限性和担忧。我们报告了一位在植入永久性起搏器后出现罕见并发症的患者。
本文章由计算机程序翻译,如有差异,请以英文原文为准。

A Case Report of Rare Complications after Epicardial Permanent Pacemaker Implantation in an Infant: Airway Compression, Skin Necrosis, and Bowel Perforation.

A Case Report of Rare Complications after Epicardial Permanent Pacemaker Implantation in an Infant: Airway Compression, Skin Necrosis, and Bowel Perforation.

A Case Report of Rare Complications after Epicardial Permanent Pacemaker Implantation in an Infant: Airway Compression, Skin Necrosis, and Bowel Perforation.

A Case Report of Rare Complications after Epicardial Permanent Pacemaker Implantation in an Infant: Airway Compression, Skin Necrosis, and Bowel Perforation.

Insertion of an epicardial pacemaker is a useful treatment for pediatric patients with an abnormal heart rhythm. However, there are limitations and concerns when implanting epicardial pacemakers in infants and neonates due to their small body size. We report a patient who experienced rare complications after implantation of a permanent pacemaker.

求助全文
通过发布文献求助,成功后即可免费获取论文全文。 去求助
来源期刊
自引率
0.00%
发文量
0
审稿时长
36 weeks
×
引用
GB/T 7714-2015
复制
MLA
复制
APA
复制
导出至
BibTeX EndNote RefMan NoteFirst NoteExpress
×
提示
您的信息不完整,为了账户安全,请先补充。
现在去补充
×
提示
您因"违规操作"
具体请查看互助需知
我知道了
×
提示
确定
请完成安全验证×
copy
已复制链接
快去分享给好友吧!
我知道了
右上角分享
点击右上角分享
0
联系我们:info@booksci.cn Book学术提供免费学术资源搜索服务,方便国内外学者检索中英文文献。致力于提供最便捷和优质的服务体验。 Copyright © 2023 布克学术 All rights reserved.
京ICP备2023020795号-1
ghs 京公网安备 11010802042870号
Book学术文献互助
Book学术文献互助群
群 号:604180095
Book学术官方微信