功能性心内副神经节瘤。

Q3 Medicine
Yongwoo Chung, Jae Woong Choi, Kyung-Hwan Kim
{"title":"功能性心内副神经节瘤。","authors":"Yongwoo Chung,&nbsp;Jae Woong Choi,&nbsp;Kyung-Hwan Kim","doi":"10.5090/kjtcs.2020.53.2.86","DOIUrl":null,"url":null,"abstract":"<p><p>A 39-year-old man presented to the department of emergency medicine in Seoul National University Hospital complaining of chest pain, heart palpitation, and headache. Upon arrival, a computed tomography scan showed a 7.0 cm×6.2 cm lesion with the typical features of a paraganglioma. The patient was treated with an alpha-blocker and a beta-blocker prior to surgical intervention. We removed the tumor successfully, and histopathologic findings indicated that the tumor was indeed a paraganglioma. Since intracardiac paraganglioma is a rare disease, we present this case together with a literature review.</p>","PeriodicalId":38678,"journal":{"name":"Korean Journal of Thoracic and Cardiovascular Surgery","volume":"53 2","pages":"86-88"},"PeriodicalIF":0.0000,"publicationDate":"2020-04-05","publicationTypes":"Journal Article","fieldsOfStudy":null,"isOpenAccess":false,"openAccessPdf":"https://ftp.ncbi.nlm.nih.gov/pub/pmc/oa_pdf/73/19/kjtcv-53-086.PMC7155182.pdf","citationCount":"1","resultStr":"{\"title\":\"Functional Intracardiac Paraganglioma.\",\"authors\":\"Yongwoo Chung,&nbsp;Jae Woong Choi,&nbsp;Kyung-Hwan Kim\",\"doi\":\"10.5090/kjtcs.2020.53.2.86\",\"DOIUrl\":null,\"url\":null,\"abstract\":\"<p><p>A 39-year-old man presented to the department of emergency medicine in Seoul National University Hospital complaining of chest pain, heart palpitation, and headache. Upon arrival, a computed tomography scan showed a 7.0 cm×6.2 cm lesion with the typical features of a paraganglioma. The patient was treated with an alpha-blocker and a beta-blocker prior to surgical intervention. We removed the tumor successfully, and histopathologic findings indicated that the tumor was indeed a paraganglioma. Since intracardiac paraganglioma is a rare disease, we present this case together with a literature review.</p>\",\"PeriodicalId\":38678,\"journal\":{\"name\":\"Korean Journal of Thoracic and Cardiovascular Surgery\",\"volume\":\"53 2\",\"pages\":\"86-88\"},\"PeriodicalIF\":0.0000,\"publicationDate\":\"2020-04-05\",\"publicationTypes\":\"Journal Article\",\"fieldsOfStudy\":null,\"isOpenAccess\":false,\"openAccessPdf\":\"https://ftp.ncbi.nlm.nih.gov/pub/pmc/oa_pdf/73/19/kjtcv-53-086.PMC7155182.pdf\",\"citationCount\":\"1\",\"resultStr\":null,\"platform\":\"Semanticscholar\",\"paperid\":null,\"PeriodicalName\":\"Korean Journal of Thoracic and Cardiovascular Surgery\",\"FirstCategoryId\":\"1085\",\"ListUrlMain\":\"https://doi.org/10.5090/kjtcs.2020.53.2.86\",\"RegionNum\":0,\"RegionCategory\":null,\"ArticlePicture\":[],\"TitleCN\":null,\"AbstractTextCN\":null,\"PMCID\":null,\"EPubDate\":\"\",\"PubModel\":\"\",\"JCR\":\"Q3\",\"JCRName\":\"Medicine\",\"Score\":null,\"Total\":0}","platform":"Semanticscholar","paperid":null,"PeriodicalName":"Korean Journal of Thoracic and Cardiovascular Surgery","FirstCategoryId":"1085","ListUrlMain":"https://doi.org/10.5090/kjtcs.2020.53.2.86","RegionNum":0,"RegionCategory":null,"ArticlePicture":[],"TitleCN":null,"AbstractTextCN":null,"PMCID":null,"EPubDate":"","PubModel":"","JCR":"Q3","JCRName":"Medicine","Score":null,"Total":0}
引用次数: 1

摘要

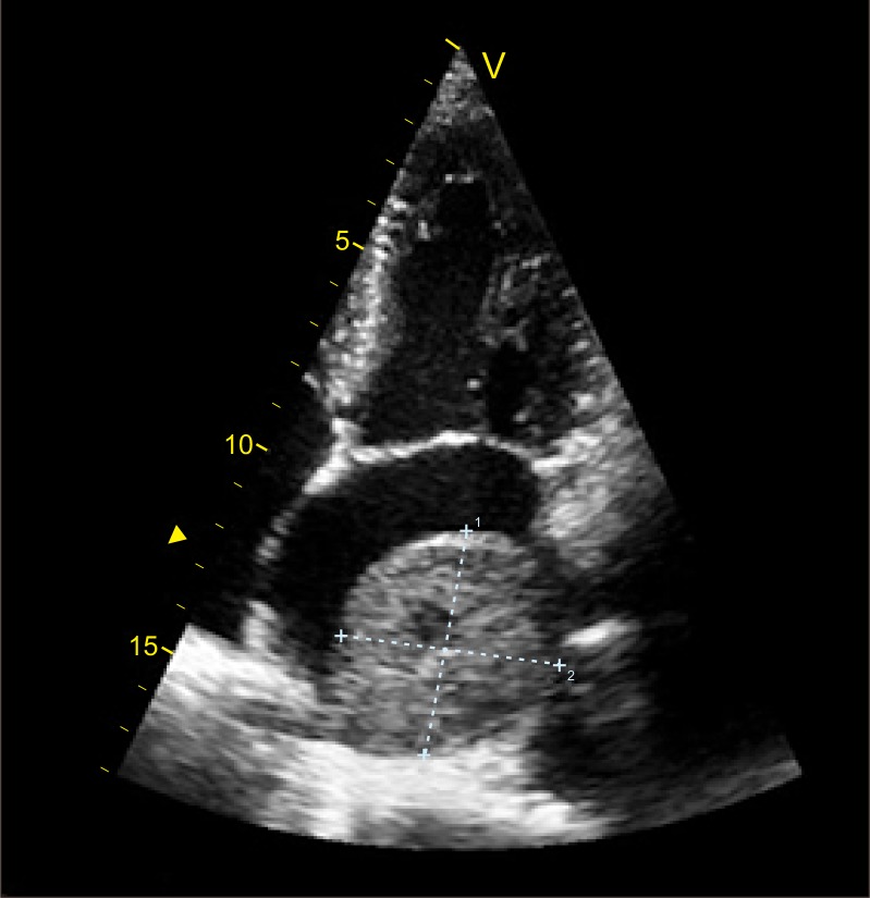
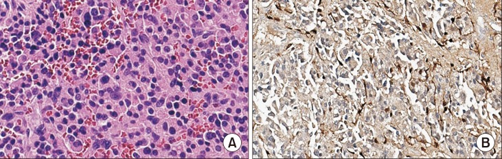
一名39岁男子到首尔大学医院急诊科就诊,主诉胸痛、心悸、头痛。到达后,计算机断层扫描显示7.0 cm×6.2 cm病变,具有副神经节瘤的典型特征。患者在手术前接受了α -受体阻滞剂和β -受体阻滞剂的治疗。我们成功切除了肿瘤,组织病理学结果表明肿瘤确实是副神经节瘤。由于心内副神经节瘤是一种罕见的疾病,我们提出这个病例并进行文献回顾。
本文章由计算机程序翻译,如有差异,请以英文原文为准。

Functional Intracardiac Paraganglioma.

Functional Intracardiac Paraganglioma.

Functional Intracardiac Paraganglioma.

Functional Intracardiac Paraganglioma.

A 39-year-old man presented to the department of emergency medicine in Seoul National University Hospital complaining of chest pain, heart palpitation, and headache. Upon arrival, a computed tomography scan showed a 7.0 cm×6.2 cm lesion with the typical features of a paraganglioma. The patient was treated with an alpha-blocker and a beta-blocker prior to surgical intervention. We removed the tumor successfully, and histopathologic findings indicated that the tumor was indeed a paraganglioma. Since intracardiac paraganglioma is a rare disease, we present this case together with a literature review.

求助全文
通过发布文献求助,成功后即可免费获取论文全文。 去求助
来源期刊
自引率
0.00%
发文量
0
审稿时长
36 weeks
×
引用
GB/T 7714-2015
复制
MLA
复制
APA
复制
导出至
BibTeX EndNote RefMan NoteFirst NoteExpress
×
提示
您的信息不完整,为了账户安全,请先补充。
现在去补充
×
提示
您因"违规操作"
具体请查看互助需知
我知道了
×
提示
确定
请完成安全验证×
copy
已复制链接
快去分享给好友吧!
我知道了
右上角分享
点击右上角分享
0
联系我们:info@booksci.cn Book学术提供免费学术资源搜索服务,方便国内外学者检索中英文文献。致力于提供最便捷和优质的服务体验。 Copyright © 2023 布克学术 All rights reserved.
京ICP备2023020795号-1
ghs 京公网安备 11010802042870号
Book学术文献互助
Book学术文献互助群
群 号:604180095
Book学术官方微信