类肉瘤性肾细胞癌的天疱疮:一种罕见的副肿瘤表现。

Nigerian Journal of Surgery Pub Date : 2020-01-01 Epub Date: 2020-02-10 DOI:10.4103/njs.NJS_4_19
Amit Gupta, Ashish Gupta, Sweety Gupta, Prashant Durgapal, Bina Ravi, Rohik Anjum T Sideek
{"title":"类肉瘤性肾细胞癌的天疱疮:一种罕见的副肿瘤表现。","authors":"Amit Gupta,&nbsp;Ashish Gupta,&nbsp;Sweety Gupta,&nbsp;Prashant Durgapal,&nbsp;Bina Ravi,&nbsp;Rohik Anjum T Sideek","doi":"10.4103/njs.NJS_4_19","DOIUrl":null,"url":null,"abstract":"<p><p>Renal cell carcinoma with sarcomatoid features is a rare presentation with a 5% incidence. Sarcomatoid renal cell carcinoma is usually associated with poor prognosis. It commonly metastasizes to the lungs, bones, and liver. Dermatological manifestation with paraneoplastic syndrome is extremely rare. Pathogenesis of PNP in renal cell carcinoma is not cleat; till date, however, few literature suggest antibodies against a group plakin family which plays a key role in intermediate filament attachment in RCC. We present PNP in a 64-year-old female associated with renal cell carcinoma.</p>","PeriodicalId":30399,"journal":{"name":"Nigerian Journal of Surgery","volume":"26 1","pages":"81-83"},"PeriodicalIF":0.0000,"publicationDate":"2020-01-01","publicationTypes":"Journal Article","fieldsOfStudy":null,"isOpenAccess":false,"openAccessPdf":"https://ftp.ncbi.nlm.nih.gov/pub/pmc/oa_pdf/c1/e2/NJS-26-81.PMC7041359.pdf","citationCount":"2","resultStr":"{\"title\":\"Pemphigus in Sarcomatoid Renal Cell Carcinoma: A Rare Paraneoplastic Manifestation.\",\"authors\":\"Amit Gupta,&nbsp;Ashish Gupta,&nbsp;Sweety Gupta,&nbsp;Prashant Durgapal,&nbsp;Bina Ravi,&nbsp;Rohik Anjum T Sideek\",\"doi\":\"10.4103/njs.NJS_4_19\",\"DOIUrl\":null,\"url\":null,\"abstract\":\"<p><p>Renal cell carcinoma with sarcomatoid features is a rare presentation with a 5% incidence. Sarcomatoid renal cell carcinoma is usually associated with poor prognosis. It commonly metastasizes to the lungs, bones, and liver. Dermatological manifestation with paraneoplastic syndrome is extremely rare. Pathogenesis of PNP in renal cell carcinoma is not cleat; till date, however, few literature suggest antibodies against a group plakin family which plays a key role in intermediate filament attachment in RCC. We present PNP in a 64-year-old female associated with renal cell carcinoma.</p>\",\"PeriodicalId\":30399,\"journal\":{\"name\":\"Nigerian Journal of Surgery\",\"volume\":\"26 1\",\"pages\":\"81-83\"},\"PeriodicalIF\":0.0000,\"publicationDate\":\"2020-01-01\",\"publicationTypes\":\"Journal Article\",\"fieldsOfStudy\":null,\"isOpenAccess\":false,\"openAccessPdf\":\"https://ftp.ncbi.nlm.nih.gov/pub/pmc/oa_pdf/c1/e2/NJS-26-81.PMC7041359.pdf\",\"citationCount\":\"2\",\"resultStr\":null,\"platform\":\"Semanticscholar\",\"paperid\":null,\"PeriodicalName\":\"Nigerian Journal of Surgery\",\"FirstCategoryId\":\"1085\",\"ListUrlMain\":\"https://doi.org/10.4103/njs.NJS_4_19\",\"RegionNum\":0,\"RegionCategory\":null,\"ArticlePicture\":[],\"TitleCN\":null,\"AbstractTextCN\":null,\"PMCID\":null,\"EPubDate\":\"2020/2/10 0:00:00\",\"PubModel\":\"Epub\",\"JCR\":\"\",\"JCRName\":\"\",\"Score\":null,\"Total\":0}","platform":"Semanticscholar","paperid":null,"PeriodicalName":"Nigerian Journal of Surgery","FirstCategoryId":"1085","ListUrlMain":"https://doi.org/10.4103/njs.NJS_4_19","RegionNum":0,"RegionCategory":null,"ArticlePicture":[],"TitleCN":null,"AbstractTextCN":null,"PMCID":null,"EPubDate":"2020/2/10 0:00:00","PubModel":"Epub","JCR":"","JCRName":"","Score":null,"Total":0}
引用次数: 2

摘要

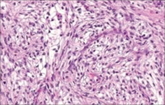
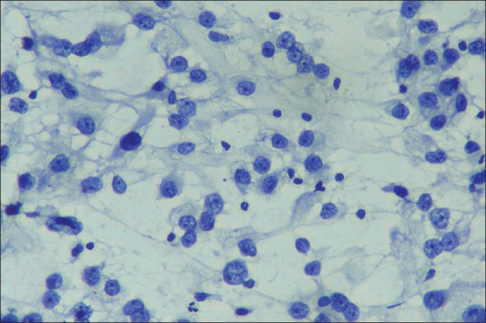
具有肉瘤样特征的肾细胞癌是一种罕见的表现,发病率为5%。肉瘤样肾细胞癌通常伴有不良预后。它通常转移到肺、骨和肝。伴有副肿瘤综合征的皮肤病表现极为罕见。肾细胞癌中PNP的发病机制尚不清楚;然而,迄今为止,很少有文献报道针对一组plakin家族的抗体,该家族在RCC的中间丝附着中起关键作用。我们报告一例64岁女性肾细胞癌合并PNP病例。
本文章由计算机程序翻译,如有差异,请以英文原文为准。

Pemphigus in Sarcomatoid Renal Cell Carcinoma: A Rare Paraneoplastic Manifestation.

Pemphigus in Sarcomatoid Renal Cell Carcinoma: A Rare Paraneoplastic Manifestation.

Pemphigus in Sarcomatoid Renal Cell Carcinoma: A Rare Paraneoplastic Manifestation.

Pemphigus in Sarcomatoid Renal Cell Carcinoma: A Rare Paraneoplastic Manifestation.

Renal cell carcinoma with sarcomatoid features is a rare presentation with a 5% incidence. Sarcomatoid renal cell carcinoma is usually associated with poor prognosis. It commonly metastasizes to the lungs, bones, and liver. Dermatological manifestation with paraneoplastic syndrome is extremely rare. Pathogenesis of PNP in renal cell carcinoma is not cleat; till date, however, few literature suggest antibodies against a group plakin family which plays a key role in intermediate filament attachment in RCC. We present PNP in a 64-year-old female associated with renal cell carcinoma.

求助全文
通过发布文献求助,成功后即可免费获取论文全文。 去求助
来源期刊
自引率
0.00%
发文量
0
审稿时长
37 weeks
×
引用
GB/T 7714-2015
复制
MLA
复制
APA
复制
导出至
BibTeX EndNote RefMan NoteFirst NoteExpress
×
提示
您的信息不完整,为了账户安全,请先补充。
现在去补充
×
提示
您因"违规操作"
具体请查看互助需知
我知道了
×
提示
确定
请完成安全验证×
copy
已复制链接
快去分享给好友吧!
我知道了
右上角分享
点击右上角分享
0
联系我们:info@booksci.cn Book学术提供免费学术资源搜索服务,方便国内外学者检索中英文文献。致力于提供最便捷和优质的服务体验。 Copyright © 2023 布克学术 All rights reserved.
京ICP备2023020795号-1
ghs 京公网安备 11010802042870号
Book学术文献互助
Book学术文献互助群
群 号:604180095
Book学术官方微信