1例成年女性腹腔镜胆囊切除术中位置不明确异常。

Nigerian Journal of Surgery Pub Date : 2020-01-01 Epub Date: 2020-02-10 DOI:10.4103/njs.NJS_47_183
Brij Mohan Joshi, Sumitoj Singh, Ashok Kumar, Mandeep Singh Sandhu, Deepak Rana
{"title":"1例成年女性腹腔镜胆囊切除术中位置不明确异常。","authors":"Brij Mohan Joshi,&nbsp;Sumitoj Singh,&nbsp;Ashok Kumar,&nbsp;Mandeep Singh Sandhu,&nbsp;Deepak Rana","doi":"10.4103/njs.NJS_47_183","DOIUrl":null,"url":null,"abstract":"<p><p>Situs anomalies are rare structural defects affecting 0.01% of general population. They present with multisystem structural defects mostly involving cardiovascular, respiratory and GI systems. Situs abnormality with presence of multiple spleen is termed as left atrial isomerism with anatomical and structural differences to its countertype situs ambiguous with asplenia (right atrial isomerism). In this case report, we present an adult case of situs ambiguous anomaly which was diagnosed incidentally during laparoscopic cholecystectomy. The patient had enlarged left lobe of liver, multiple splenules on right side, malrotated small and large gut, interrupted inferior vena cava with azygos continuation, and bilateral bilobed lungs. It is concluded that variations in situs ambiguous cases differ and a single description is not possible. It is crucial to reveal these variations by using imaging modalities and being aware of them prior to surgery and invasive intervention to prevents the possible risks and complications.</p>","PeriodicalId":30399,"journal":{"name":"Nigerian Journal of Surgery","volume":"26 1","pages":"72-77"},"PeriodicalIF":0.0000,"publicationDate":"2020-01-01","publicationTypes":"Journal Article","fieldsOfStudy":null,"isOpenAccess":false,"openAccessPdf":"https://ftp.ncbi.nlm.nih.gov/pub/pmc/oa_pdf/aa/6a/NJS-26-72.PMC7041347.pdf","citationCount":"0","resultStr":"{\"title\":\"Situs Ambiguous Anomaly during Laparoscopic Cholecystectomy in an Adult Female.\",\"authors\":\"Brij Mohan Joshi,&nbsp;Sumitoj Singh,&nbsp;Ashok Kumar,&nbsp;Mandeep Singh Sandhu,&nbsp;Deepak Rana\",\"doi\":\"10.4103/njs.NJS_47_183\",\"DOIUrl\":null,\"url\":null,\"abstract\":\"<p><p>Situs anomalies are rare structural defects affecting 0.01% of general population. They present with multisystem structural defects mostly involving cardiovascular, respiratory and GI systems. Situs abnormality with presence of multiple spleen is termed as left atrial isomerism with anatomical and structural differences to its countertype situs ambiguous with asplenia (right atrial isomerism). In this case report, we present an adult case of situs ambiguous anomaly which was diagnosed incidentally during laparoscopic cholecystectomy. The patient had enlarged left lobe of liver, multiple splenules on right side, malrotated small and large gut, interrupted inferior vena cava with azygos continuation, and bilateral bilobed lungs. It is concluded that variations in situs ambiguous cases differ and a single description is not possible. It is crucial to reveal these variations by using imaging modalities and being aware of them prior to surgery and invasive intervention to prevents the possible risks and complications.</p>\",\"PeriodicalId\":30399,\"journal\":{\"name\":\"Nigerian Journal of Surgery\",\"volume\":\"26 1\",\"pages\":\"72-77\"},\"PeriodicalIF\":0.0000,\"publicationDate\":\"2020-01-01\",\"publicationTypes\":\"Journal Article\",\"fieldsOfStudy\":null,\"isOpenAccess\":false,\"openAccessPdf\":\"https://ftp.ncbi.nlm.nih.gov/pub/pmc/oa_pdf/aa/6a/NJS-26-72.PMC7041347.pdf\",\"citationCount\":\"0\",\"resultStr\":null,\"platform\":\"Semanticscholar\",\"paperid\":null,\"PeriodicalName\":\"Nigerian Journal of Surgery\",\"FirstCategoryId\":\"1085\",\"ListUrlMain\":\"https://doi.org/10.4103/njs.NJS_47_183\",\"RegionNum\":0,\"RegionCategory\":null,\"ArticlePicture\":[],\"TitleCN\":null,\"AbstractTextCN\":null,\"PMCID\":null,\"EPubDate\":\"2020/2/10 0:00:00\",\"PubModel\":\"Epub\",\"JCR\":\"\",\"JCRName\":\"\",\"Score\":null,\"Total\":0}","platform":"Semanticscholar","paperid":null,"PeriodicalName":"Nigerian Journal of Surgery","FirstCategoryId":"1085","ListUrlMain":"https://doi.org/10.4103/njs.NJS_47_183","RegionNum":0,"RegionCategory":null,"ArticlePicture":[],"TitleCN":null,"AbstractTextCN":null,"PMCID":null,"EPubDate":"2020/2/10 0:00:00","PubModel":"Epub","JCR":"","JCRName":"","Score":null,"Total":0}
引用次数: 0

摘要

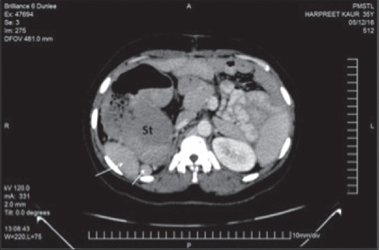
位置异常是一种罕见的结构缺陷,约占总人口的0.01%。他们表现出多系统的结构缺陷,主要涉及心血管、呼吸和胃肠道系统。存在多脾的位置异常被称为左心房异构体,其解剖和结构与脾不全的对应位置(右心房异构体)不同。在这个病例报告中,我们提出了一个成人病例的位置模糊异常是偶然诊断在腹腔镜胆囊切除术。患者肝左叶肿大,右侧多发脾,小肠和大肠旋转不良,下腔静脉中断伴奇静脉延续,双侧双叶肺。结论是,位置模糊情况的变化是不同的,单一的描述是不可能的。在手术和侵入性干预之前,利用成像方式揭示这些变异是至关重要的,以防止可能的风险和并发症。
本文章由计算机程序翻译,如有差异,请以英文原文为准。

Situs Ambiguous Anomaly during Laparoscopic Cholecystectomy in an Adult Female.

Situs Ambiguous Anomaly during Laparoscopic Cholecystectomy in an Adult Female.

Situs Ambiguous Anomaly during Laparoscopic Cholecystectomy in an Adult Female.

Situs Ambiguous Anomaly during Laparoscopic Cholecystectomy in an Adult Female.

Situs anomalies are rare structural defects affecting 0.01% of general population. They present with multisystem structural defects mostly involving cardiovascular, respiratory and GI systems. Situs abnormality with presence of multiple spleen is termed as left atrial isomerism with anatomical and structural differences to its countertype situs ambiguous with asplenia (right atrial isomerism). In this case report, we present an adult case of situs ambiguous anomaly which was diagnosed incidentally during laparoscopic cholecystectomy. The patient had enlarged left lobe of liver, multiple splenules on right side, malrotated small and large gut, interrupted inferior vena cava with azygos continuation, and bilateral bilobed lungs. It is concluded that variations in situs ambiguous cases differ and a single description is not possible. It is crucial to reveal these variations by using imaging modalities and being aware of them prior to surgery and invasive intervention to prevents the possible risks and complications.

求助全文
通过发布文献求助,成功后即可免费获取论文全文。 去求助
来源期刊
自引率
0.00%
发文量
0
审稿时长
37 weeks
×
引用
GB/T 7714-2015
复制
MLA
复制
APA
复制
导出至
BibTeX EndNote RefMan NoteFirst NoteExpress
×
提示
您的信息不完整,为了账户安全,请先补充。
现在去补充
×
提示
您因"违规操作"
具体请查看互助需知
我知道了
×
提示
确定
请完成安全验证×
copy
已复制链接
快去分享给好友吧!
我知道了
右上角分享
点击右上角分享
0
联系我们:info@booksci.cn Book学术提供免费学术资源搜索服务,方便国内外学者检索中英文文献。致力于提供最便捷和优质的服务体验。 Copyright © 2023 布克学术 All rights reserved.
京ICP备2023020795号-1
ghs 京公网安备 11010802042870号
Book学术文献互助
Book学术文献互助群
群 号:604180095
Book学术官方微信