食道混合性腺神经内分泌癌1例报告及文献复习。

Fernando Mendoza-Moreno, M R Díez-Gago, J Mínguez-García, B Tallón-Iglesias, G Zarzosa-Hernández, S Fernández, M Solana-Maoño, J M Argüello-De-Andrés
{"title":"食道混合性腺神经内分泌癌1例报告及文献复习。","authors":"Fernando Mendoza-Moreno,&nbsp;M R Díez-Gago,&nbsp;J Mínguez-García,&nbsp;B Tallón-Iglesias,&nbsp;G Zarzosa-Hernández,&nbsp;S Fernández,&nbsp;M Solana-Maoño,&nbsp;J M Argüello-De-Andrés","doi":"10.4103/njs.NJS_43_17","DOIUrl":null,"url":null,"abstract":"<p><p>The most frequent presentation of esophageal cancer is adenocarcinoma and squamous cell carcinoma. In recent years, the latter has decreased its incidence increasing the adenocarcinoma. Currently, another type of tumor with a much lower incidence has been described, which has a neuroendocrine component along with another exocrine glandular component and has been classified since 2010 as mixed adenoneuroendocrine carcinoma (MANEC). We present the case of a 68-year-old male with a history of dyspepsia and epigastric pain who after performing a gastroscopy, was diagnosed with a malignant neoplasm of the esophagus. The patient underwent a total esophagectomy with reconstruction by tubular gastroplasty with cervical anastomosis. The final result of the piece after immunohistochemistry revealed that the tumor was composed of one component of adenocarcinoma in 60% together with another component compatible with neuroendocrine in 40%. With these findings and according to the World Health Organization classification of 2010 was diagnosed as esophageal MANEC. MANECs are rare tumors, described in other locations of the digestive tract, the esophagus being an infrequent location. Its preoperative diagnosis is difficult, and it is not until the final analysis of the complete piece by means of specific immunohistochemical techniques when its diagnosis can be established. Its treatment is fundamentally surgical, whereas the adjuvant therapeutic schemes with chemotherapy are not well defined at present because of their low incidence.</p>","PeriodicalId":30399,"journal":{"name":"Nigerian Journal of Surgery","volume":"24 2","pages":"131-134"},"PeriodicalIF":0.0000,"publicationDate":"2018-07-01","publicationTypes":"Journal Article","fieldsOfStudy":null,"isOpenAccess":false,"openAccessPdf":"https://ftp.ncbi.nlm.nih.gov/pub/pmc/oa_pdf/ca/40/NJS-24-131.PMC6158990.pdf","citationCount":"5","resultStr":"{\"title\":\"Mixed Adenoneuroendocrine Carcinoma of the Esophagus: A Case Report and Review of the Literature.\",\"authors\":\"Fernando Mendoza-Moreno,&nbsp;M R Díez-Gago,&nbsp;J Mínguez-García,&nbsp;B Tallón-Iglesias,&nbsp;G Zarzosa-Hernández,&nbsp;S Fernández,&nbsp;M Solana-Maoño,&nbsp;J M Argüello-De-Andrés\",\"doi\":\"10.4103/njs.NJS_43_17\",\"DOIUrl\":null,\"url\":null,\"abstract\":\"<p><p>The most frequent presentation of esophageal cancer is adenocarcinoma and squamous cell carcinoma. In recent years, the latter has decreased its incidence increasing the adenocarcinoma. Currently, another type of tumor with a much lower incidence has been described, which has a neuroendocrine component along with another exocrine glandular component and has been classified since 2010 as mixed adenoneuroendocrine carcinoma (MANEC). We present the case of a 68-year-old male with a history of dyspepsia and epigastric pain who after performing a gastroscopy, was diagnosed with a malignant neoplasm of the esophagus. The patient underwent a total esophagectomy with reconstruction by tubular gastroplasty with cervical anastomosis. The final result of the piece after immunohistochemistry revealed that the tumor was composed of one component of adenocarcinoma in 60% together with another component compatible with neuroendocrine in 40%. With these findings and according to the World Health Organization classification of 2010 was diagnosed as esophageal MANEC. MANECs are rare tumors, described in other locations of the digestive tract, the esophagus being an infrequent location. Its preoperative diagnosis is difficult, and it is not until the final analysis of the complete piece by means of specific immunohistochemical techniques when its diagnosis can be established. Its treatment is fundamentally surgical, whereas the adjuvant therapeutic schemes with chemotherapy are not well defined at present because of their low incidence.</p>\",\"PeriodicalId\":30399,\"journal\":{\"name\":\"Nigerian Journal of Surgery\",\"volume\":\"24 2\",\"pages\":\"131-134\"},\"PeriodicalIF\":0.0000,\"publicationDate\":\"2018-07-01\",\"publicationTypes\":\"Journal Article\",\"fieldsOfStudy\":null,\"isOpenAccess\":false,\"openAccessPdf\":\"https://ftp.ncbi.nlm.nih.gov/pub/pmc/oa_pdf/ca/40/NJS-24-131.PMC6158990.pdf\",\"citationCount\":\"5\",\"resultStr\":null,\"platform\":\"Semanticscholar\",\"paperid\":null,\"PeriodicalName\":\"Nigerian Journal of Surgery\",\"FirstCategoryId\":\"1085\",\"ListUrlMain\":\"https://doi.org/10.4103/njs.NJS_43_17\",\"RegionNum\":0,\"RegionCategory\":null,\"ArticlePicture\":[],\"TitleCN\":null,\"AbstractTextCN\":null,\"PMCID\":null,\"EPubDate\":\"\",\"PubModel\":\"\",\"JCR\":\"\",\"JCRName\":\"\",\"Score\":null,\"Total\":0}","platform":"Semanticscholar","paperid":null,"PeriodicalName":"Nigerian Journal of Surgery","FirstCategoryId":"1085","ListUrlMain":"https://doi.org/10.4103/njs.NJS_43_17","RegionNum":0,"RegionCategory":null,"ArticlePicture":[],"TitleCN":null,"AbstractTextCN":null,"PMCID":null,"EPubDate":"","PubModel":"","JCR":"","JCRName":"","Score":null,"Total":0}
引用次数: 5

摘要

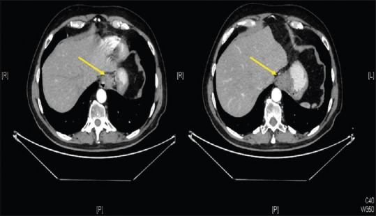
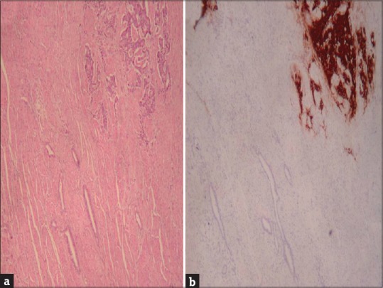
食管癌最常见的表现是腺癌和鳞状细胞癌。近年来,后者的发病率有所下降,增加了腺癌的发病率。目前,另一种发病率低得多的肿瘤被描述为具有神经内分泌成分和另一种外分泌腺成分的肿瘤,自2010年以来被归类为混合性腺神经内分泌癌(MANEC)。我们提出的情况下,68岁的男性消化不良和胃脘痛的历史后,进行胃镜检查,被诊断为恶性肿瘤的食道。患者行全食管切除术,经颈吻合术重建胃管状成形术。免疫组化后的最终结果显示,肿瘤由60%的腺癌成分和40%的与神经内分泌相容的成分组成。根据这些发现并根据世界卫生组织2010年的分类被诊断为食道MANEC。manec是一种罕见的肿瘤,发生在消化道的其他部位,食道是一个罕见的位置。其术前诊断困难,需要通过特异性免疫组织化学技术对完整片进行最终分析才能确定诊断。它的治疗基本上是手术,而化疗辅助治疗方案由于发病率低,目前还没有很好的定义。
本文章由计算机程序翻译,如有差异,请以英文原文为准。

Mixed Adenoneuroendocrine Carcinoma of the Esophagus: A Case Report and Review of the Literature.

Mixed Adenoneuroendocrine Carcinoma of the Esophagus: A Case Report and Review of the Literature.

Mixed Adenoneuroendocrine Carcinoma of the Esophagus: A Case Report and Review of the Literature.

The most frequent presentation of esophageal cancer is adenocarcinoma and squamous cell carcinoma. In recent years, the latter has decreased its incidence increasing the adenocarcinoma. Currently, another type of tumor with a much lower incidence has been described, which has a neuroendocrine component along with another exocrine glandular component and has been classified since 2010 as mixed adenoneuroendocrine carcinoma (MANEC). We present the case of a 68-year-old male with a history of dyspepsia and epigastric pain who after performing a gastroscopy, was diagnosed with a malignant neoplasm of the esophagus. The patient underwent a total esophagectomy with reconstruction by tubular gastroplasty with cervical anastomosis. The final result of the piece after immunohistochemistry revealed that the tumor was composed of one component of adenocarcinoma in 60% together with another component compatible with neuroendocrine in 40%. With these findings and according to the World Health Organization classification of 2010 was diagnosed as esophageal MANEC. MANECs are rare tumors, described in other locations of the digestive tract, the esophagus being an infrequent location. Its preoperative diagnosis is difficult, and it is not until the final analysis of the complete piece by means of specific immunohistochemical techniques when its diagnosis can be established. Its treatment is fundamentally surgical, whereas the adjuvant therapeutic schemes with chemotherapy are not well defined at present because of their low incidence.

求助全文
通过发布文献求助,成功后即可免费获取论文全文。 去求助
来源期刊
自引率
0.00%
发文量
0
审稿时长
37 weeks
×
引用
GB/T 7714-2015
复制
MLA
复制
APA
复制
导出至
BibTeX EndNote RefMan NoteFirst NoteExpress
×
提示
您的信息不完整,为了账户安全,请先补充。
现在去补充
×
提示
您因"违规操作"
具体请查看互助需知
我知道了
×
提示
确定
请完成安全验证×
copy
已复制链接
快去分享给好友吧!
我知道了
右上角分享
点击右上角分享
0
联系我们:info@booksci.cn Book学术提供免费学术资源搜索服务,方便国内外学者检索中英文文献。致力于提供最便捷和优质的服务体验。 Copyright © 2023 布克学术 All rights reserved.
京ICP备2023020795号-1
ghs 京公网安备 11010802042870号
Book学术文献互助
Book学术文献互助群
群 号:604180095
Book学术官方微信