异位胰腺引起部分胃出口梗阻1例报告并文献复习。

Abdurrahaman Abba Sheshe, Ibrahim Yusuf
{"title":"异位胰腺引起部分胃出口梗阻1例报告并文献复习。","authors":"Abdurrahaman Abba Sheshe,&nbsp;Ibrahim Yusuf","doi":"10.4103/njs.NJS_27_17","DOIUrl":null,"url":null,"abstract":"<p><p>Ectopic pancreas is a rare cause of gastric outlet obstruction, perhaps rarer still among Africans. Although the entity is known, the diagnostic challenges are enormous, especially in the poor-resource environment. Gastric outlet obstruction resulting from ectopic pancreas in an adult is the first of its kind in our center; we, therefore, present this case to describe the challenges faced with diagnosis, treatment, and the lesson learned. Ectopic pancreas should be considered in the differential diagnosis of gastric outlet obstruction.</p>","PeriodicalId":30399,"journal":{"name":"Nigerian Journal of Surgery","volume":"24 1","pages":"56-59"},"PeriodicalIF":0.0000,"publicationDate":"2018-01-01","publicationTypes":"Journal Article","fieldsOfStudy":null,"isOpenAccess":false,"openAccessPdf":"https://ftp.ncbi.nlm.nih.gov/pub/pmc/oa_pdf/93/54/NJS-24-56.PMC5883853.pdf","citationCount":"4","resultStr":"{\"title\":\"Ectopic Pancreas Causing Partial Gastric Outlet Obstruction: A Case Report and Review of Literature.\",\"authors\":\"Abdurrahaman Abba Sheshe,&nbsp;Ibrahim Yusuf\",\"doi\":\"10.4103/njs.NJS_27_17\",\"DOIUrl\":null,\"url\":null,\"abstract\":\"<p><p>Ectopic pancreas is a rare cause of gastric outlet obstruction, perhaps rarer still among Africans. Although the entity is known, the diagnostic challenges are enormous, especially in the poor-resource environment. Gastric outlet obstruction resulting from ectopic pancreas in an adult is the first of its kind in our center; we, therefore, present this case to describe the challenges faced with diagnosis, treatment, and the lesson learned. Ectopic pancreas should be considered in the differential diagnosis of gastric outlet obstruction.</p>\",\"PeriodicalId\":30399,\"journal\":{\"name\":\"Nigerian Journal of Surgery\",\"volume\":\"24 1\",\"pages\":\"56-59\"},\"PeriodicalIF\":0.0000,\"publicationDate\":\"2018-01-01\",\"publicationTypes\":\"Journal Article\",\"fieldsOfStudy\":null,\"isOpenAccess\":false,\"openAccessPdf\":\"https://ftp.ncbi.nlm.nih.gov/pub/pmc/oa_pdf/93/54/NJS-24-56.PMC5883853.pdf\",\"citationCount\":\"4\",\"resultStr\":null,\"platform\":\"Semanticscholar\",\"paperid\":null,\"PeriodicalName\":\"Nigerian Journal of Surgery\",\"FirstCategoryId\":\"1085\",\"ListUrlMain\":\"https://doi.org/10.4103/njs.NJS_27_17\",\"RegionNum\":0,\"RegionCategory\":null,\"ArticlePicture\":[],\"TitleCN\":null,\"AbstractTextCN\":null,\"PMCID\":null,\"EPubDate\":\"\",\"PubModel\":\"\",\"JCR\":\"\",\"JCRName\":\"\",\"Score\":null,\"Total\":0}","platform":"Semanticscholar","paperid":null,"PeriodicalName":"Nigerian Journal of Surgery","FirstCategoryId":"1085","ListUrlMain":"https://doi.org/10.4103/njs.NJS_27_17","RegionNum":0,"RegionCategory":null,"ArticlePicture":[],"TitleCN":null,"AbstractTextCN":null,"PMCID":null,"EPubDate":"","PubModel":"","JCR":"","JCRName":"","Score":null,"Total":0}
引用次数: 4

摘要

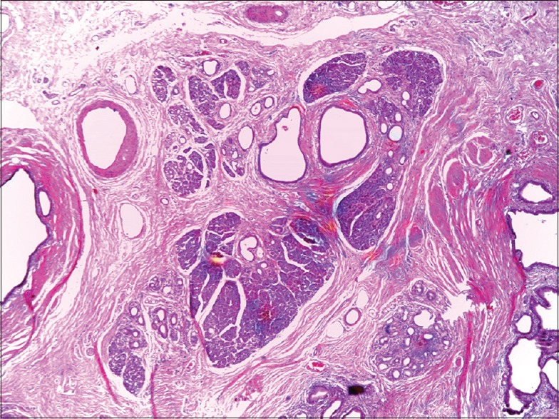
异位胰腺是胃出口梗阻的罕见病因,在非洲人中可能更罕见。虽然该实体是已知的,但诊断挑战是巨大的,特别是在资源贫乏的环境中。成人异位胰腺引起的胃出口梗阻是我们中心的首例;因此,我们提出这个病例来描述诊断、治疗所面临的挑战和吸取的教训。胃出口梗阻的鉴别诊断应考虑胰腺异位。
本文章由计算机程序翻译,如有差异,请以英文原文为准。

Ectopic Pancreas Causing Partial Gastric Outlet Obstruction: A Case Report and Review of Literature.

Ectopic Pancreas Causing Partial Gastric Outlet Obstruction: A Case Report and Review of Literature.

Ectopic Pancreas Causing Partial Gastric Outlet Obstruction: A Case Report and Review of Literature.

Ectopic Pancreas Causing Partial Gastric Outlet Obstruction: A Case Report and Review of Literature.

Ectopic pancreas is a rare cause of gastric outlet obstruction, perhaps rarer still among Africans. Although the entity is known, the diagnostic challenges are enormous, especially in the poor-resource environment. Gastric outlet obstruction resulting from ectopic pancreas in an adult is the first of its kind in our center; we, therefore, present this case to describe the challenges faced with diagnosis, treatment, and the lesson learned. Ectopic pancreas should be considered in the differential diagnosis of gastric outlet obstruction.

求助全文
通过发布文献求助,成功后即可免费获取论文全文。 去求助
来源期刊
自引率
0.00%
发文量
0
审稿时长
37 weeks
×
引用
GB/T 7714-2015
复制
MLA
复制
APA
复制
导出至
BibTeX EndNote RefMan NoteFirst NoteExpress
×
提示
您的信息不完整,为了账户安全,请先补充。
现在去补充
×
提示
您因"违规操作"
具体请查看互助需知
我知道了
×
提示
确定
请完成安全验证×
copy
已复制链接
快去分享给好友吧!
我知道了
右上角分享
点击右上角分享
0
联系我们:info@booksci.cn Book学术提供免费学术资源搜索服务,方便国内外学者检索中英文文献。致力于提供最便捷和优质的服务体验。 Copyright © 2023 布克学术 All rights reserved.
京ICP备2023020795号-1
ghs 京公网安备 11010802042870号
Book学术文献互助
Book学术文献互助群
群 号:604180095
Book学术官方微信