腹腔镜与膀胱镜联合检索丢失移位宫内节育器。

Taiwo O Alabi, Mohan Keshavamurthy, Shabeer Ahmed, Rufus W Ojewola, Mahendra Jain, Kehinde H Tijani
{"title":"腹腔镜与膀胱镜联合检索丢失移位宫内节育器。","authors":"Taiwo O Alabi,&nbsp;Mohan Keshavamurthy,&nbsp;Shabeer Ahmed,&nbsp;Rufus W Ojewola,&nbsp;Mahendra Jain,&nbsp;Kehinde H Tijani","doi":"10.4103/njs.NJS_18_17","DOIUrl":null,"url":null,"abstract":"<p><p>The most commonly used long-term reversible female contraception is intrauterine contraceptive device (IUCD). Its use is however associated with documented complications. Uterine perforation, though rare, is arguably the most surgically important of all these complications. We report a case of a 48-year-old para 4<sup>+0</sup> (4 alive) woman who had IUCD insertion 17 years earlier and had forgotten she had the device having had two children thereafter. The IUCD was subsequently translocated through the dome of the bladder into the peritoneal cavity with calculus formation around the tail and thread of the IUCD in the urinary bladder causing recurrent urinary tract infection. This \"Collar Stud\" effect made either cystoscopic or laparoscopic retrieval alone unsuccessful necessitating a combined approach. This case report highlights the need for a combined laparoscopic and cystoscopic approach in the retrieval of the unusual presentation of translocated IUCD.</p>","PeriodicalId":30399,"journal":{"name":"Nigerian Journal of Surgery","volume":"24 1","pages":"48-51"},"PeriodicalIF":0.0000,"publicationDate":"2018-01-01","publicationTypes":"Journal Article","fieldsOfStudy":null,"isOpenAccess":false,"openAccessPdf":"https://sci-hub-pdf.com/10.4103/njs.NJS_18_17","citationCount":"3","resultStr":"{\"title\":\"Combined Laparoscopic and Cystoscopic Retrieval of Forgotten Translocated Intrauterine Contraceptive Device.\",\"authors\":\"Taiwo O Alabi,&nbsp;Mohan Keshavamurthy,&nbsp;Shabeer Ahmed,&nbsp;Rufus W Ojewola,&nbsp;Mahendra Jain,&nbsp;Kehinde H Tijani\",\"doi\":\"10.4103/njs.NJS_18_17\",\"DOIUrl\":null,\"url\":null,\"abstract\":\"<p><p>The most commonly used long-term reversible female contraception is intrauterine contraceptive device (IUCD). Its use is however associated with documented complications. Uterine perforation, though rare, is arguably the most surgically important of all these complications. We report a case of a 48-year-old para 4<sup>+0</sup> (4 alive) woman who had IUCD insertion 17 years earlier and had forgotten she had the device having had two children thereafter. The IUCD was subsequently translocated through the dome of the bladder into the peritoneal cavity with calculus formation around the tail and thread of the IUCD in the urinary bladder causing recurrent urinary tract infection. This \\\"Collar Stud\\\" effect made either cystoscopic or laparoscopic retrieval alone unsuccessful necessitating a combined approach. This case report highlights the need for a combined laparoscopic and cystoscopic approach in the retrieval of the unusual presentation of translocated IUCD.</p>\",\"PeriodicalId\":30399,\"journal\":{\"name\":\"Nigerian Journal of Surgery\",\"volume\":\"24 1\",\"pages\":\"48-51\"},\"PeriodicalIF\":0.0000,\"publicationDate\":\"2018-01-01\",\"publicationTypes\":\"Journal Article\",\"fieldsOfStudy\":null,\"isOpenAccess\":false,\"openAccessPdf\":\"https://sci-hub-pdf.com/10.4103/njs.NJS_18_17\",\"citationCount\":\"3\",\"resultStr\":null,\"platform\":\"Semanticscholar\",\"paperid\":null,\"PeriodicalName\":\"Nigerian Journal of Surgery\",\"FirstCategoryId\":\"1085\",\"ListUrlMain\":\"https://doi.org/10.4103/njs.NJS_18_17\",\"RegionNum\":0,\"RegionCategory\":null,\"ArticlePicture\":[],\"TitleCN\":null,\"AbstractTextCN\":null,\"PMCID\":null,\"EPubDate\":\"\",\"PubModel\":\"\",\"JCR\":\"\",\"JCRName\":\"\",\"Score\":null,\"Total\":0}","platform":"Semanticscholar","paperid":null,"PeriodicalName":"Nigerian Journal of Surgery","FirstCategoryId":"1085","ListUrlMain":"https://doi.org/10.4103/njs.NJS_18_17","RegionNum":0,"RegionCategory":null,"ArticlePicture":[],"TitleCN":null,"AbstractTextCN":null,"PMCID":null,"EPubDate":"","PubModel":"","JCR":"","JCRName":"","Score":null,"Total":0}
引用次数: 3

摘要

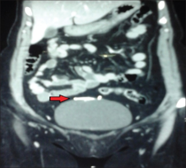
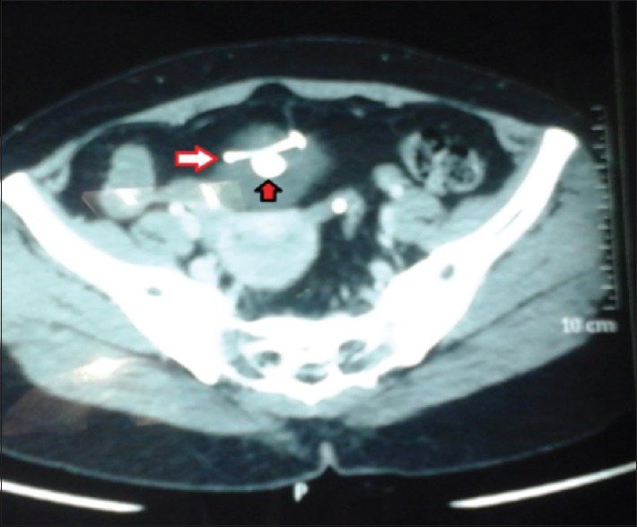
最常用的长期可逆女性避孕方法是宫内节育器(IUCD)。然而,它的使用与文献记载的并发症有关。子宫穿孔,虽然罕见,但可以说是所有这些并发症中最重要的手术。我们报告一例48岁的4+0(4活着)妇女,17年前植入了IUCD,此后有两个孩子,却忘记了她有这个装置。随后,宫内节育器经膀胱穹窿移位至腹膜腔,膀胱内宫内节育器尾线周围形成结石,引起反复尿路感染。这种“衣领钉”效应使得单独的膀胱镜或腹腔镜手术不成功,需要联合手术。本病例报告强调需要联合腹腔镜和膀胱镜的方法在检索的不寻常的表现易位宫内节育器。
本文章由计算机程序翻译,如有差异,请以英文原文为准。

Combined Laparoscopic and Cystoscopic Retrieval of Forgotten Translocated Intrauterine Contraceptive Device.

Combined Laparoscopic and Cystoscopic Retrieval of Forgotten Translocated Intrauterine Contraceptive Device.

Combined Laparoscopic and Cystoscopic Retrieval of Forgotten Translocated Intrauterine Contraceptive Device.

Combined Laparoscopic and Cystoscopic Retrieval of Forgotten Translocated Intrauterine Contraceptive Device.

The most commonly used long-term reversible female contraception is intrauterine contraceptive device (IUCD). Its use is however associated with documented complications. Uterine perforation, though rare, is arguably the most surgically important of all these complications. We report a case of a 48-year-old para 4+0 (4 alive) woman who had IUCD insertion 17 years earlier and had forgotten she had the device having had two children thereafter. The IUCD was subsequently translocated through the dome of the bladder into the peritoneal cavity with calculus formation around the tail and thread of the IUCD in the urinary bladder causing recurrent urinary tract infection. This "Collar Stud" effect made either cystoscopic or laparoscopic retrieval alone unsuccessful necessitating a combined approach. This case report highlights the need for a combined laparoscopic and cystoscopic approach in the retrieval of the unusual presentation of translocated IUCD.

求助全文
通过发布文献求助,成功后即可免费获取论文全文。 去求助
来源期刊
自引率
0.00%
发文量
0
审稿时长
37 weeks
×
引用
GB/T 7714-2015
复制
MLA
复制
APA
复制
导出至
BibTeX EndNote RefMan NoteFirst NoteExpress
×
提示
您的信息不完整,为了账户安全,请先补充。
现在去补充
×
提示
您因"违规操作"
具体请查看互助需知
我知道了
×
提示
确定
请完成安全验证×
copy
已复制链接
快去分享给好友吧!
我知道了
右上角分享
点击右上角分享
0
联系我们:info@booksci.cn Book学术提供免费学术资源搜索服务,方便国内外学者检索中英文文献。致力于提供最便捷和优质的服务体验。 Copyright © 2023 布克学术 All rights reserved.
京ICP备2023020795号-1
ghs 京公网安备 11010802042870号
Book学术文献互助
Book学术文献互助群
群 号:604180095
Book学术官方微信