人乳头瘤病毒在10575例侵袭性宫颈癌神经内分泌肿瘤中的作用

IF 3.2
Maria Alejo , Laia Alemany , Omar Clavero , Beatriz Quiros , Susana Vighi , Muhieddine Seoud , Chou Cheng-Yang , Suzanne M. Garland , Nuria Juanpere , Josep Lloreta , Sara Tous , Jo Ellen Klaustermeier , Wim Quint , F. Xavier Bosch , Silvia de Sanjosé , Belen Lloveras , on behalf of RIS HPV TT study group
{"title":"人乳头瘤病毒在10575例侵袭性宫颈癌神经内分泌肿瘤中的作用","authors":"Maria Alejo ,&nbsp;Laia Alemany ,&nbsp;Omar Clavero ,&nbsp;Beatriz Quiros ,&nbsp;Susana Vighi ,&nbsp;Muhieddine Seoud ,&nbsp;Chou Cheng-Yang ,&nbsp;Suzanne M. Garland ,&nbsp;Nuria Juanpere ,&nbsp;Josep Lloreta ,&nbsp;Sara Tous ,&nbsp;Jo Ellen Klaustermeier ,&nbsp;Wim Quint ,&nbsp;F. Xavier Bosch ,&nbsp;Silvia de Sanjosé ,&nbsp;Belen Lloveras ,&nbsp;on behalf of RIS HPV TT study group","doi":"10.1016/j.pvr.2018.03.005","DOIUrl":null,"url":null,"abstract":"<div><h3>Aims</h3><p>Neuroendocrine tumors (NET) of the cervix are rare tumors with a very aggressive course. The human papillomavirus (HPV) has been linked to its etiology. The objective of this study is to describe HPV prevalence and genotype distribution of NET.</p></div><div><h3>Methods and Results</h3><p>Forty-nine tumors with histological neuroendocrine features were identified among 10,575 invasive cervical cancer (ICC) cases from an international study. HPV DNA detection was done using SPF10/DEIA /LiPA<sub>25</sub> system. Immunohistochemical (IHC) staining for neuroendocrine markers (chromogranin A, synaptophysin, CD56) and for p16<sup>INK4a</sup> as a surrogate for HPV transforming infection was performed. In 13 samples with negative IHC for all 3 neuroendocrine markers studied, it was possible to conduct electron microscopy (EM).</p><p>NET represented 0.5% of the total ICC series and HPV was detected in 42 out of 49 samples (85.7%, 95%CI:72.8%,94.1%). HPV16 was the predominant type (54.8%), followed by HPV18 (40.5%). p16<sup>INK4a</sup> overexpression was observed in 38/44 cases (86.4%). Neuroendocrine IHC markers could be demonstrated in 24/37 (64.9%) cases. EM identified neuroendocrine granules in 8 samples with negative IHC markers.</p></div><div><h3>Conclusions</h3><p>Our data confirms the association of cervical NET with HPV and p16<sup>INK4a</sup> overexpression. Specifically, HPV16 and 18 accounted together for over 95% of the HPV positive cases. Current HPV vaccines could largely prevent these aggressive tumors.</p></div>","PeriodicalId":46835,"journal":{"name":"Papillomavirus Research","volume":"5 ","pages":"Pages 134-142"},"PeriodicalIF":3.2000,"publicationDate":"2018-06-01","publicationTypes":"Journal Article","fieldsOfStudy":null,"isOpenAccess":false,"openAccessPdf":"https://sci-hub-pdf.com/10.1016/j.pvr.2018.03.005","citationCount":"47","resultStr":"{\"title\":\"Contribution of Human papillomavirus in neuroendocrine tumors from a series of 10,575 invasive cervical cancer cases\",\"authors\":\"Maria Alejo ,&nbsp;Laia Alemany ,&nbsp;Omar Clavero ,&nbsp;Beatriz Quiros ,&nbsp;Susana Vighi ,&nbsp;Muhieddine Seoud ,&nbsp;Chou Cheng-Yang ,&nbsp;Suzanne M. Garland ,&nbsp;Nuria Juanpere ,&nbsp;Josep Lloreta ,&nbsp;Sara Tous ,&nbsp;Jo Ellen Klaustermeier ,&nbsp;Wim Quint ,&nbsp;F. Xavier Bosch ,&nbsp;Silvia de Sanjosé ,&nbsp;Belen Lloveras ,&nbsp;on behalf of RIS HPV TT study group\",\"doi\":\"10.1016/j.pvr.2018.03.005\",\"DOIUrl\":null,\"url\":null,\"abstract\":\"<div><h3>Aims</h3><p>Neuroendocrine tumors (NET) of the cervix are rare tumors with a very aggressive course. The human papillomavirus (HPV) has been linked to its etiology. The objective of this study is to describe HPV prevalence and genotype distribution of NET.</p></div><div><h3>Methods and Results</h3><p>Forty-nine tumors with histological neuroendocrine features were identified among 10,575 invasive cervical cancer (ICC) cases from an international study. HPV DNA detection was done using SPF10/DEIA /LiPA<sub>25</sub> system. Immunohistochemical (IHC) staining for neuroendocrine markers (chromogranin A, synaptophysin, CD56) and for p16<sup>INK4a</sup> as a surrogate for HPV transforming infection was performed. In 13 samples with negative IHC for all 3 neuroendocrine markers studied, it was possible to conduct electron microscopy (EM).</p><p>NET represented 0.5% of the total ICC series and HPV was detected in 42 out of 49 samples (85.7%, 95%CI:72.8%,94.1%). HPV16 was the predominant type (54.8%), followed by HPV18 (40.5%). p16<sup>INK4a</sup> overexpression was observed in 38/44 cases (86.4%). Neuroendocrine IHC markers could be demonstrated in 24/37 (64.9%) cases. EM identified neuroendocrine granules in 8 samples with negative IHC markers.</p></div><div><h3>Conclusions</h3><p>Our data confirms the association of cervical NET with HPV and p16<sup>INK4a</sup> overexpression. Specifically, HPV16 and 18 accounted together for over 95% of the HPV positive cases. Current HPV vaccines could largely prevent these aggressive tumors.</p></div>\",\"PeriodicalId\":46835,\"journal\":{\"name\":\"Papillomavirus Research\",\"volume\":\"5 \",\"pages\":\"Pages 134-142\"},\"PeriodicalIF\":3.2000,\"publicationDate\":\"2018-06-01\",\"publicationTypes\":\"Journal Article\",\"fieldsOfStudy\":null,\"isOpenAccess\":false,\"openAccessPdf\":\"https://sci-hub-pdf.com/10.1016/j.pvr.2018.03.005\",\"citationCount\":\"47\",\"resultStr\":null,\"platform\":\"Semanticscholar\",\"paperid\":null,\"PeriodicalName\":\"Papillomavirus Research\",\"FirstCategoryId\":\"1085\",\"ListUrlMain\":\"https://www.sciencedirect.com/science/article/pii/S2405852117300447\",\"RegionNum\":0,\"RegionCategory\":null,\"ArticlePicture\":[],\"TitleCN\":null,\"AbstractTextCN\":null,\"PMCID\":null,\"EPubDate\":\"\",\"PubModel\":\"\",\"JCR\":\"\",\"JCRName\":\"\",\"Score\":null,\"Total\":0}","platform":"Semanticscholar","paperid":null,"PeriodicalName":"Papillomavirus Research","FirstCategoryId":"1085","ListUrlMain":"https://www.sciencedirect.com/science/article/pii/S2405852117300447","RegionNum":0,"RegionCategory":null,"ArticlePicture":[],"TitleCN":null,"AbstractTextCN":null,"PMCID":null,"EPubDate":"","PubModel":"","JCR":"","JCRName":"","Score":null,"Total":0}
引用次数: 47

摘要

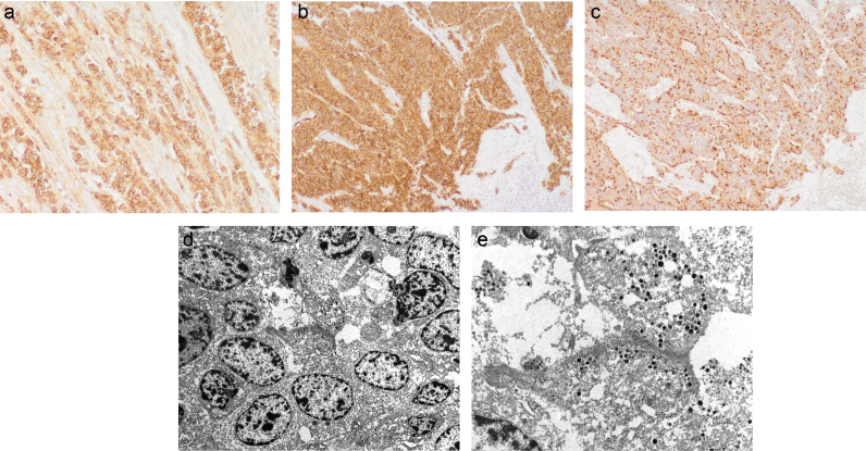
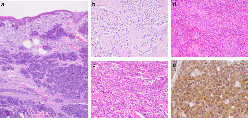
目的宫颈神经内分泌肿瘤是一种具有侵袭性的罕见肿瘤。人类乳头瘤病毒(HPV)与其病因有关。本研究的目的是描述HPV患病率和NET的基因型分布。方法和结果在10575例浸润性宫颈癌(ICC)病例中发现49例具有组织学神经内分泌特征的肿瘤。HPV DNA检测采用SPF10/DEIA /LiPA25检测系统。对神经内分泌标志物(嗜铬粒蛋白A、突触素、CD56)和HPV转化感染替代物p16INK4a进行免疫组化(IHC)染色。在所有3种神经内分泌标记物免疫组化阴性的13个样本中,可以进行电子显微镜(EM)检查。NET占总ICC系列的0.5%,49个样本中有42个检测到HPV (85.7%, 95%CI:72.8%,94.1%)。以HPV16型为主(54.8%),其次为HPV18型(40.5%)。p16INK4a过表达38/44例(86.4%)。24/37例(64.9%)患者可检测到神经内分泌免疫组化标志物。8例免疫组化(IHC)标志物阴性的样本中,EM检测出神经内分泌颗粒。结论sour数据证实宫颈NET与HPV和p16INK4a过表达相关。具体来说,HPV16和hpv18占HPV阳性病例的95%以上。目前的HPV疫苗可以在很大程度上预防这些侵袭性肿瘤。
本文章由计算机程序翻译,如有差异,请以英文原文为准。

Contribution of Human papillomavirus in neuroendocrine tumors from a series of 10,575 invasive cervical cancer cases

Contribution of Human papillomavirus in neuroendocrine tumors from a series of 10,575 invasive cervical cancer cases

Contribution of Human papillomavirus in neuroendocrine tumors from a series of 10,575 invasive cervical cancer cases

Contribution of Human papillomavirus in neuroendocrine tumors from a series of 10,575 invasive cervical cancer cases

Aims

Neuroendocrine tumors (NET) of the cervix are rare tumors with a very aggressive course. The human papillomavirus (HPV) has been linked to its etiology. The objective of this study is to describe HPV prevalence and genotype distribution of NET.

Methods and Results

Forty-nine tumors with histological neuroendocrine features were identified among 10,575 invasive cervical cancer (ICC) cases from an international study. HPV DNA detection was done using SPF10/DEIA /LiPA25 system. Immunohistochemical (IHC) staining for neuroendocrine markers (chromogranin A, synaptophysin, CD56) and for p16INK4a as a surrogate for HPV transforming infection was performed. In 13 samples with negative IHC for all 3 neuroendocrine markers studied, it was possible to conduct electron microscopy (EM).

NET represented 0.5% of the total ICC series and HPV was detected in 42 out of 49 samples (85.7%, 95%CI:72.8%,94.1%). HPV16 was the predominant type (54.8%), followed by HPV18 (40.5%). p16INK4a overexpression was observed in 38/44 cases (86.4%). Neuroendocrine IHC markers could be demonstrated in 24/37 (64.9%) cases. EM identified neuroendocrine granules in 8 samples with negative IHC markers.

Conclusions

Our data confirms the association of cervical NET with HPV and p16INK4a overexpression. Specifically, HPV16 and 18 accounted together for over 95% of the HPV positive cases. Current HPV vaccines could largely prevent these aggressive tumors.

求助全文
通过发布文献求助,成功后即可免费获取论文全文。 去求助
来源期刊
自引率
0.00%
发文量
0
审稿时长
14 weeks
期刊介绍: The official Journal of the International Papillomavirus Society Papillomavirus Research (PVR), the Journal of HPV and other Small DNA Tumor Viruses publishes innovative papers related to all aspects of papillomaviruses and other small DNA tumor viruses. The official journal of the International Papillomavirus Society, PVR is an open access publication that aims to bring together virologists, immunologists, epidemiologists and clinicians working in the booming field of HPV and animal papillomaviruses, polyomaviruses and other small DNA tumor viruses and their associated diseases, in order to foster and facilitate interdisciplinary communication. The journal welcomes original research articles, reviews, short communications, opinion articles and regional update reports on papillomaviruses and other tumor viruses in the following sections: a. Biology of papillomaviruses and related viruses from life cycle to cancer b. Epidemiology etiology and natural history studies c. Natural and induced immunity including vaccine research d. Intervention studies and strategies including i. Clinical studies and trials ii. HPV treatments iii. HPV vaccination programs iv. Diagnostics and screening e. Infection and disease prevention, modeling studies f. Guidelines and public health recommendations g. HPV Studies in special populations Regional and local studies on these viruses.
×
引用
GB/T 7714-2015
复制
MLA
复制
APA
复制
导出至
BibTeX EndNote RefMan NoteFirst NoteExpress
×
提示
您的信息不完整,为了账户安全,请先补充。
现在去补充
×
提示
您因"违规操作"
具体请查看互助需知
我知道了
×
提示
确定
请完成安全验证×
copy
已复制链接
快去分享给好友吧!
我知道了
右上角分享
点击右上角分享
0
联系我们:info@booksci.cn Book学术提供免费学术资源搜索服务,方便国内外学者检索中英文文献。致力于提供最便捷和优质的服务体验。 Copyright © 2023 布克学术 All rights reserved.
京ICP备2023020795号-1
ghs 京公网安备 11010802042870号
Book学术文献互助
Book学术文献互助群
群 号:604180095
Book学术官方微信