恶性胸膜间皮瘤的临床分期:目前的观点。

IF 3.3 Q1 ONCOLOGY
Lung Cancer: Targets and Therapy Pub Date : 2017-08-18 eCollection Date: 2017-01-01 DOI:10.2147/LCTT.S102113
Maria Bonomi, Costantino De Filippis, Egesta Lopci, Letizia Gianoncelli, Giovanna Rizzardi, Eleonora Cerchiaro, Luigi Bortolotti, Alessandro Zanello, Giovanni Luca Ceresoli
{"title":"恶性胸膜间皮瘤的临床分期:目前的观点。","authors":"Maria Bonomi,&nbsp;Costantino De Filippis,&nbsp;Egesta Lopci,&nbsp;Letizia Gianoncelli,&nbsp;Giovanna Rizzardi,&nbsp;Eleonora Cerchiaro,&nbsp;Luigi Bortolotti,&nbsp;Alessandro Zanello,&nbsp;Giovanni Luca Ceresoli","doi":"10.2147/LCTT.S102113","DOIUrl":null,"url":null,"abstract":"<p><p>Malignant pleural mesothelioma (MPM) is a disease with limited therapeutic options, the management of which is still controversial. Diagnosis is usually made by thoracoscopy, which allows multiple biopsies with histological subtyping and is indicated for staging purposes in surgical candidates. The recommended and recently updated classification for clinical use is the TNM staging system established by the International Mesothelioma Interest Group and the International Association for the Study of Lung Cancer, which is based mainly on surgical and pathological variables, as well as on cross-sectional imaging. Contrast-enhanced computed tomography is the primary imaging procedure. Currently, the most used measurement system for MPM is the modified Response Evaluation Criteria in Solid Tumors (RECIST) method, which is based on unidimensional measurements of tumor thickness perpendicular to the chest wall or mediastinum. Magnetic resonance imaging and functional imaging with <sup>18</sup>F-fluoro-2-deoxy-D-glucose positron-emission tomography can provide additional staging information in selected cases, although the usefulness of this method is limited in patients undergoing pleurodesis. Molecular reclassification of MPM and gene expression or miRNA prognostic models have the potential to improve prognostication and patient selection for a proper treatment algorithm; however, they await prospective validation to be introduced in clinical practice.</p>","PeriodicalId":18066,"journal":{"name":"Lung Cancer: Targets and Therapy","volume":"8 ","pages":"127-139"},"PeriodicalIF":3.3000,"publicationDate":"2017-08-18","publicationTypes":"Journal Article","fieldsOfStudy":null,"isOpenAccess":false,"openAccessPdf":"https://sci-hub-pdf.com/10.2147/LCTT.S102113","citationCount":"25","resultStr":"{\"title\":\"Clinical staging of malignant pleural mesothelioma: current perspectives.\",\"authors\":\"Maria Bonomi,&nbsp;Costantino De Filippis,&nbsp;Egesta Lopci,&nbsp;Letizia Gianoncelli,&nbsp;Giovanna Rizzardi,&nbsp;Eleonora Cerchiaro,&nbsp;Luigi Bortolotti,&nbsp;Alessandro Zanello,&nbsp;Giovanni Luca Ceresoli\",\"doi\":\"10.2147/LCTT.S102113\",\"DOIUrl\":null,\"url\":null,\"abstract\":\"<p><p>Malignant pleural mesothelioma (MPM) is a disease with limited therapeutic options, the management of which is still controversial. Diagnosis is usually made by thoracoscopy, which allows multiple biopsies with histological subtyping and is indicated for staging purposes in surgical candidates. The recommended and recently updated classification for clinical use is the TNM staging system established by the International Mesothelioma Interest Group and the International Association for the Study of Lung Cancer, which is based mainly on surgical and pathological variables, as well as on cross-sectional imaging. Contrast-enhanced computed tomography is the primary imaging procedure. Currently, the most used measurement system for MPM is the modified Response Evaluation Criteria in Solid Tumors (RECIST) method, which is based on unidimensional measurements of tumor thickness perpendicular to the chest wall or mediastinum. Magnetic resonance imaging and functional imaging with <sup>18</sup>F-fluoro-2-deoxy-D-glucose positron-emission tomography can provide additional staging information in selected cases, although the usefulness of this method is limited in patients undergoing pleurodesis. Molecular reclassification of MPM and gene expression or miRNA prognostic models have the potential to improve prognostication and patient selection for a proper treatment algorithm; however, they await prospective validation to be introduced in clinical practice.</p>\",\"PeriodicalId\":18066,\"journal\":{\"name\":\"Lung Cancer: Targets and Therapy\",\"volume\":\"8 \",\"pages\":\"127-139\"},\"PeriodicalIF\":3.3000,\"publicationDate\":\"2017-08-18\",\"publicationTypes\":\"Journal Article\",\"fieldsOfStudy\":null,\"isOpenAccess\":false,\"openAccessPdf\":\"https://sci-hub-pdf.com/10.2147/LCTT.S102113\",\"citationCount\":\"25\",\"resultStr\":null,\"platform\":\"Semanticscholar\",\"paperid\":null,\"PeriodicalName\":\"Lung Cancer: Targets and Therapy\",\"FirstCategoryId\":\"1085\",\"ListUrlMain\":\"https://doi.org/10.2147/LCTT.S102113\",\"RegionNum\":0,\"RegionCategory\":null,\"ArticlePicture\":[],\"TitleCN\":null,\"AbstractTextCN\":null,\"PMCID\":null,\"EPubDate\":\"2017/1/1 0:00:00\",\"PubModel\":\"eCollection\",\"JCR\":\"Q1\",\"JCRName\":\"ONCOLOGY\",\"Score\":null,\"Total\":0}","platform":"Semanticscholar","paperid":null,"PeriodicalName":"Lung Cancer: Targets and Therapy","FirstCategoryId":"1085","ListUrlMain":"https://doi.org/10.2147/LCTT.S102113","RegionNum":0,"RegionCategory":null,"ArticlePicture":[],"TitleCN":null,"AbstractTextCN":null,"PMCID":null,"EPubDate":"2017/1/1 0:00:00","PubModel":"eCollection","JCR":"Q1","JCRName":"ONCOLOGY","Score":null,"Total":0}
引用次数: 25

摘要

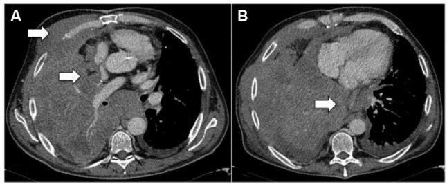
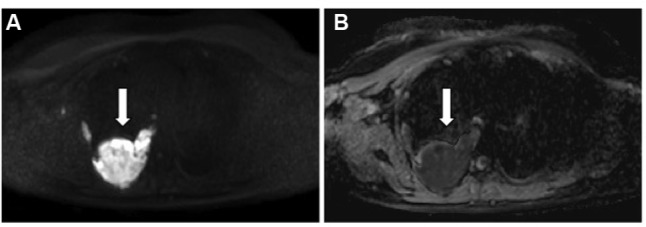
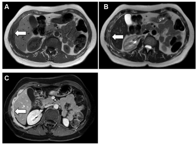
恶性胸膜间皮瘤(MPM)是一种治疗选择有限的疾病,其管理仍然存在争议。通常通过胸腔镜进行诊断,允许多次活检并进行组织学分型,并用于外科候选人的分期目的。国际间皮瘤兴趣小组和国际肺癌研究协会建立的TNM分期系统是临床使用的推荐和最近更新的分类,该系统主要基于手术和病理变量以及横断面成像。对比增强计算机断层扫描是主要的成像程序。目前,最常用的MPM测量系统是改进的实体肿瘤反应评价标准(RECIST)方法,该方法基于垂直于胸壁或纵隔的肿瘤厚度的一维测量。磁共振成像和18f -氟-2-脱氧-d -葡萄糖正电子发射断层扫描的功能成像可以提供额外的分期信息在选择的情况下,尽管这种方法的有用性是有限的患者接受胸膜切除术。MPM的分子重分类和基因表达或miRNA预后模型有可能改善预后和患者选择适当的治疗算法;然而,他们等待在临床实践中引入前瞻性验证。
本文章由计算机程序翻译,如有差异,请以英文原文为准。

Clinical staging of malignant pleural mesothelioma: current perspectives.

Clinical staging of malignant pleural mesothelioma: current perspectives.

Clinical staging of malignant pleural mesothelioma: current perspectives.

Clinical staging of malignant pleural mesothelioma: current perspectives.

Malignant pleural mesothelioma (MPM) is a disease with limited therapeutic options, the management of which is still controversial. Diagnosis is usually made by thoracoscopy, which allows multiple biopsies with histological subtyping and is indicated for staging purposes in surgical candidates. The recommended and recently updated classification for clinical use is the TNM staging system established by the International Mesothelioma Interest Group and the International Association for the Study of Lung Cancer, which is based mainly on surgical and pathological variables, as well as on cross-sectional imaging. Contrast-enhanced computed tomography is the primary imaging procedure. Currently, the most used measurement system for MPM is the modified Response Evaluation Criteria in Solid Tumors (RECIST) method, which is based on unidimensional measurements of tumor thickness perpendicular to the chest wall or mediastinum. Magnetic resonance imaging and functional imaging with 18F-fluoro-2-deoxy-D-glucose positron-emission tomography can provide additional staging information in selected cases, although the usefulness of this method is limited in patients undergoing pleurodesis. Molecular reclassification of MPM and gene expression or miRNA prognostic models have the potential to improve prognostication and patient selection for a proper treatment algorithm; however, they await prospective validation to be introduced in clinical practice.

求助全文
通过发布文献求助,成功后即可免费获取论文全文。 去求助
来源期刊
CiteScore
8.10
自引率
0.00%
发文量
10
审稿时长
16 weeks
×
引用
GB/T 7714-2015
复制
MLA
复制
APA
复制
导出至
BibTeX EndNote RefMan NoteFirst NoteExpress
×
提示
您的信息不完整,为了账户安全,请先补充。
现在去补充
×
提示
您因"违规操作"
具体请查看互助需知
我知道了
×
提示
确定
请完成安全验证×
copy
已复制链接
快去分享给好友吧!
我知道了
右上角分享
点击右上角分享
0
联系我们:info@booksci.cn Book学术提供免费学术资源搜索服务,方便国内外学者检索中英文文献。致力于提供最便捷和优质的服务体验。 Copyright © 2023 布克学术 All rights reserved.
京ICP备2023020795号-1
ghs 京公网安备 11010802042870号
Book学术文献互助
Book学术文献互助群
群 号:604180095
Book学术官方微信