一种罕见的餐后腹痛原因。

Jesse Zhen Cheng Lee, Kamal Aryal
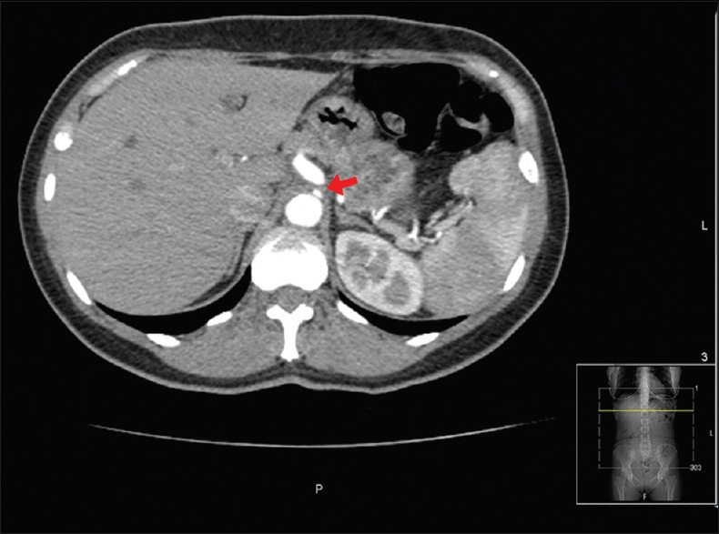
{"title":"一种罕见的餐后腹痛原因。","authors":"Jesse Zhen Cheng Lee,&nbsp;Kamal Aryal","doi":"10.4103/2006-8808.184936","DOIUrl":null,"url":null,"abstract":"<p><p>A 49-year-old woman with medical history of polymyalgia rheumatica presented with 3 weeks history of epigastric pain worse after meal. Gallstones, peptic ulcer, bowel ischemia, bowel obstruction, gastroesophageal reflux disease, chest pathology, etc., were excluded from the study. Computerized tomography showed a short stenotic segment at coeliac trunk with poststenotic dilatation of 8 mm. Ultrasound scan showed peak velocity of 326 cm/s at the coeliac artery. Diagnosis of median arcuate ligament syndrome was made. </p>","PeriodicalId":89430,"journal":{"name":"Journal of surgical technique and case report","volume":"7 1","pages":"12-3"},"PeriodicalIF":0.0000,"publicationDate":"2015-01-01","publicationTypes":"Journal Article","fieldsOfStudy":null,"isOpenAccess":false,"openAccessPdf":"https://ftp.ncbi.nlm.nih.gov/pub/pmc/oa_pdf/8e/16/JSTCR-7-12.PMC4959404.pdf","citationCount":"0","resultStr":"{\"title\":\"A Rare Cause of Postprandial Abdominal Pain.\",\"authors\":\"Jesse Zhen Cheng Lee,&nbsp;Kamal Aryal\",\"doi\":\"10.4103/2006-8808.184936\",\"DOIUrl\":null,\"url\":null,\"abstract\":\"<p><p>A 49-year-old woman with medical history of polymyalgia rheumatica presented with 3 weeks history of epigastric pain worse after meal. Gallstones, peptic ulcer, bowel ischemia, bowel obstruction, gastroesophageal reflux disease, chest pathology, etc., were excluded from the study. Computerized tomography showed a short stenotic segment at coeliac trunk with poststenotic dilatation of 8 mm. Ultrasound scan showed peak velocity of 326 cm/s at the coeliac artery. Diagnosis of median arcuate ligament syndrome was made. </p>\",\"PeriodicalId\":89430,\"journal\":{\"name\":\"Journal of surgical technique and case report\",\"volume\":\"7 1\",\"pages\":\"12-3\"},\"PeriodicalIF\":0.0000,\"publicationDate\":\"2015-01-01\",\"publicationTypes\":\"Journal Article\",\"fieldsOfStudy\":null,\"isOpenAccess\":false,\"openAccessPdf\":\"https://ftp.ncbi.nlm.nih.gov/pub/pmc/oa_pdf/8e/16/JSTCR-7-12.PMC4959404.pdf\",\"citationCount\":\"0\",\"resultStr\":null,\"platform\":\"Semanticscholar\",\"paperid\":null,\"PeriodicalName\":\"Journal of surgical technique and case report\",\"FirstCategoryId\":\"1085\",\"ListUrlMain\":\"https://doi.org/10.4103/2006-8808.184936\",\"RegionNum\":0,\"RegionCategory\":null,\"ArticlePicture\":[],\"TitleCN\":null,\"AbstractTextCN\":null,\"PMCID\":null,\"EPubDate\":\"\",\"PubModel\":\"\",\"JCR\":\"\",\"JCRName\":\"\",\"Score\":null,\"Total\":0}","platform":"Semanticscholar","paperid":null,"PeriodicalName":"Journal of surgical technique and case report","FirstCategoryId":"1085","ListUrlMain":"https://doi.org/10.4103/2006-8808.184936","RegionNum":0,"RegionCategory":null,"ArticlePicture":[],"TitleCN":null,"AbstractTextCN":null,"PMCID":null,"EPubDate":"","PubModel":"","JCR":"","JCRName":"","Score":null,"Total":0}
引用次数: 0

摘要

49岁女性,既往有风湿病多肌痛病史,3周后腹痛加重。排除胆结石、消化性溃疡、肠缺血、肠梗阻、胃食管反流病、胸部病理等。计算机断层显示乳糜干狭窄段短,狭窄后扩张8mm。超声扫描显示腹腔动脉峰值速度为326 cm/s。诊断为正中弓状韧带综合征。
本文章由计算机程序翻译,如有差异,请以英文原文为准。

A Rare Cause of Postprandial Abdominal Pain.

A Rare Cause of Postprandial Abdominal Pain.

A 49-year-old woman with medical history of polymyalgia rheumatica presented with 3 weeks history of epigastric pain worse after meal. Gallstones, peptic ulcer, bowel ischemia, bowel obstruction, gastroesophageal reflux disease, chest pathology, etc., were excluded from the study. Computerized tomography showed a short stenotic segment at coeliac trunk with poststenotic dilatation of 8 mm. Ultrasound scan showed peak velocity of 326 cm/s at the coeliac artery. Diagnosis of median arcuate ligament syndrome was made.

求助全文
通过发布文献求助,成功后即可免费获取论文全文。 去求助
来源期刊
自引率
0.00%
发文量
0
×
引用
GB/T 7714-2015
复制
MLA
复制
APA
复制
导出至
BibTeX EndNote RefMan NoteFirst NoteExpress
×
提示
您的信息不完整,为了账户安全,请先补充。
现在去补充
×
提示
您因"违规操作"
具体请查看互助需知
我知道了
×
提示
确定
请完成安全验证×
copy
已复制链接
快去分享给好友吧!
我知道了
右上角分享
点击右上角分享
0
联系我们:info@booksci.cn Book学术提供免费学术资源搜索服务,方便国内外学者检索中英文文献。致力于提供最便捷和优质的服务体验。 Copyright © 2023 布克学术 All rights reserved.
京ICP备2023020795号-1
ghs 京公网安备 11010802042870号
Book学术文献互助
Book学术文献互助群
群 号:604180095
Book学术官方微信