致编辑的信非典型肉芽肿性肌炎和肺结节病。

Q4 Medicine
Open Rheumatology Journal Pub Date : 2015-07-10 eCollection Date: 2015-01-01 DOI:10.2174/1874312901409010057
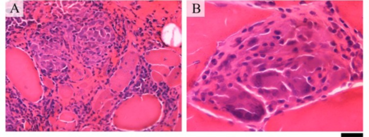
Renata Siciliani Scalco, Stefen Brady, Jefferson Becker, Irenio Gomes, Janice L Holton, Henrique L Staub
{"title":"致编辑的信非典型肉芽肿性肌炎和肺结节病。","authors":"Renata Siciliani Scalco, Stefen Brady, Jefferson Becker, Irenio Gomes, Janice L Holton, Henrique L Staub","doi":"10.2174/1874312901409010057","DOIUrl":null,"url":null,"abstract":"A 45-year-old Brazilian white female was admitted with a four-year history of progressive proximal muscle weakness and myalgia. A chest radiogram was normal at the beginning of the clinical presentation. A few weeks before hospital admission, she developed diffuse weakness, dysphagia and exertion dyspnea. A physical examination showed weakness of facial and proximal muscles and severe wasting of hand muscles. Her family history was negative for neuromuscular diseases. The erythrocyte sedimentation rate was 92 mm in the first hour, and the serum creatine kinase level was high (6,683 IU/L, with a normal range being up to 176 IU/L). Antinuclear antibodies (1/640, granular pattern) and circulating anti-Ro/SSA antibodies (56.7 IU) were present. No other autoantibodies were found. A dried blood spot test for Pompe disease was negative. Neurophysiology assessment showed myopathic changes. A muscle biopsy performed 4 years after disease onset showed increased variation in fibre size, increased connective tissue, internal nuclei, occasional atrophic fibres and necrotic fibres. There was a prominent endomysial and perimysial inflammatory infiltrate composed of lymphoctes and macrophages with the formation of non-necrotic granulomas including small numbers of multinucleate giant cells (Fig. 1). A second piece of tissue taken from the same muscle showed no inflammatory features. Investigations for tuberculosis, fungi and brucellosis were negative. Lung computed tomography performed after 4 years of disease onset showed typical bilateral hilar lymphadenopathy and interstitial pneumonitis","PeriodicalId":39124,"journal":{"name":"Open Rheumatology Journal","volume":"9 ","pages":"57-9"},"PeriodicalIF":0.0000,"publicationDate":"2015-07-10","publicationTypes":"Journal Article","fieldsOfStudy":null,"isOpenAccess":false,"openAccessPdf":"https://ftp.ncbi.nlm.nih.gov/pub/pmc/oa_pdf/f3/c2/TORJ-9-57.PMC4541420.pdf","citationCount":"4","resultStr":"{\"title\":\"LETTER TO THE EDITOR Atypical Granulomatous Myositis and Pulmonary Sarcoidosis.\",\"authors\":\"Renata Siciliani Scalco, Stefen Brady, Jefferson Becker, Irenio Gomes, Janice L Holton, Henrique L Staub\",\"doi\":\"10.2174/1874312901409010057\",\"DOIUrl\":null,\"url\":null,\"abstract\":\"A 45-year-old Brazilian white female was admitted with a four-year history of progressive proximal muscle weakness and myalgia. A chest radiogram was normal at the beginning of the clinical presentation. A few weeks before hospital admission, she developed diffuse weakness, dysphagia and exertion dyspnea. A physical examination showed weakness of facial and proximal muscles and severe wasting of hand muscles. Her family history was negative for neuromuscular diseases. The erythrocyte sedimentation rate was 92 mm in the first hour, and the serum creatine kinase level was high (6,683 IU/L, with a normal range being up to 176 IU/L). Antinuclear antibodies (1/640, granular pattern) and circulating anti-Ro/SSA antibodies (56.7 IU) were present. No other autoantibodies were found. A dried blood spot test for Pompe disease was negative. Neurophysiology assessment showed myopathic changes. A muscle biopsy performed 4 years after disease onset showed increased variation in fibre size, increased connective tissue, internal nuclei, occasional atrophic fibres and necrotic fibres. There was a prominent endomysial and perimysial inflammatory infiltrate composed of lymphoctes and macrophages with the formation of non-necrotic granulomas including small numbers of multinucleate giant cells (Fig. 1). A second piece of tissue taken from the same muscle showed no inflammatory features. Investigations for tuberculosis, fungi and brucellosis were negative. Lung computed tomography performed after 4 years of disease onset showed typical bilateral hilar lymphadenopathy and interstitial pneumonitis\",\"PeriodicalId\":39124,\"journal\":{\"name\":\"Open Rheumatology Journal\",\"volume\":\"9 \",\"pages\":\"57-9\"},\"PeriodicalIF\":0.0000,\"publicationDate\":\"2015-07-10\",\"publicationTypes\":\"Journal Article\",\"fieldsOfStudy\":null,\"isOpenAccess\":false,\"openAccessPdf\":\"https://ftp.ncbi.nlm.nih.gov/pub/pmc/oa_pdf/f3/c2/TORJ-9-57.PMC4541420.pdf\",\"citationCount\":\"4\",\"resultStr\":null,\"platform\":\"Semanticscholar\",\"paperid\":null,\"PeriodicalName\":\"Open Rheumatology Journal\",\"FirstCategoryId\":\"1085\",\"ListUrlMain\":\"https://doi.org/10.2174/1874312901409010057\",\"RegionNum\":0,\"RegionCategory\":null,\"ArticlePicture\":[],\"TitleCN\":null,\"AbstractTextCN\":null,\"PMCID\":null,\"EPubDate\":\"2015/1/1 0:00:00\",\"PubModel\":\"eCollection\",\"JCR\":\"Q4\",\"JCRName\":\"Medicine\",\"Score\":null,\"Total\":0}","platform":"Semanticscholar","paperid":null,"PeriodicalName":"Open Rheumatology Journal","FirstCategoryId":"1085","ListUrlMain":"https://doi.org/10.2174/1874312901409010057","RegionNum":0,"RegionCategory":null,"ArticlePicture":[],"TitleCN":null,"AbstractTextCN":null,"PMCID":null,"EPubDate":"2015/1/1 0:00:00","PubModel":"eCollection","JCR":"Q4","JCRName":"Medicine","Score":null,"Total":0}
引用次数: 4

摘要

本文章由计算机程序翻译,如有差异,请以英文原文为准。

LETTER TO THE EDITOR Atypical Granulomatous Myositis and Pulmonary Sarcoidosis.

LETTER TO THE EDITOR Atypical Granulomatous Myositis and Pulmonary Sarcoidosis.
A 45-year-old Brazilian white female was admitted with a four-year history of progressive proximal muscle weakness and myalgia. A chest radiogram was normal at the beginning of the clinical presentation. A few weeks before hospital admission, she developed diffuse weakness, dysphagia and exertion dyspnea. A physical examination showed weakness of facial and proximal muscles and severe wasting of hand muscles. Her family history was negative for neuromuscular diseases. The erythrocyte sedimentation rate was 92 mm in the first hour, and the serum creatine kinase level was high (6,683 IU/L, with a normal range being up to 176 IU/L). Antinuclear antibodies (1/640, granular pattern) and circulating anti-Ro/SSA antibodies (56.7 IU) were present. No other autoantibodies were found. A dried blood spot test for Pompe disease was negative. Neurophysiology assessment showed myopathic changes. A muscle biopsy performed 4 years after disease onset showed increased variation in fibre size, increased connective tissue, internal nuclei, occasional atrophic fibres and necrotic fibres. There was a prominent endomysial and perimysial inflammatory infiltrate composed of lymphoctes and macrophages with the formation of non-necrotic granulomas including small numbers of multinucleate giant cells (Fig. 1). A second piece of tissue taken from the same muscle showed no inflammatory features. Investigations for tuberculosis, fungi and brucellosis were negative. Lung computed tomography performed after 4 years of disease onset showed typical bilateral hilar lymphadenopathy and interstitial pneumonitis
求助全文
通过发布文献求助,成功后即可免费获取论文全文。 去求助
来源期刊
Open Rheumatology Journal
Open Rheumatology Journal Medicine-Rheumatology
CiteScore
0.80
自引率
0.00%
发文量
2
期刊介绍: ENTHAM Open publishes a number of peer-reviewed, open access journals. These free-to-view online journals cover all major disciplines of science, medicine, technology and social sciences. BENTHAM Open provides researchers a platform to rapidly publish their research in a good-quality peer-reviewed journal. All peer-reviewed accepted submissions meeting high research and ethical standards are published with free access to all.
×
引用
GB/T 7714-2015
复制
MLA
复制
APA
复制
导出至
BibTeX EndNote RefMan NoteFirst NoteExpress
×
提示
您的信息不完整,为了账户安全,请先补充。
现在去补充
×
提示
您因"违规操作"
具体请查看互助需知
我知道了
×
提示
确定
请完成安全验证×
copy
已复制链接
快去分享给好友吧!
我知道了
右上角分享
点击右上角分享
0
联系我们:info@booksci.cn Book学术提供免费学术资源搜索服务,方便国内外学者检索中英文文献。致力于提供最便捷和优质的服务体验。 Copyright © 2023 布克学术 All rights reserved.
京ICP备2023020795号-1
ghs 京公网安备 11010802042870号
Book学术文献互助
Book学术文献互助群
群 号:604180095
Book学术官方微信