输卵管绝育后输卵管卵巢针状脓肿的腹腔镜治疗。

Jyoti S Ghongdemath, Vishwanath V Shindholimath, L Krishna
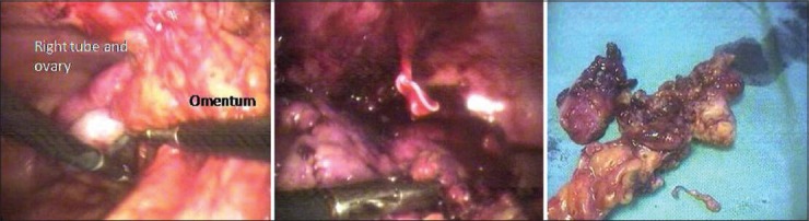
{"title":"输卵管绝育后输卵管卵巢针状脓肿的腹腔镜治疗。","authors":"Jyoti S Ghongdemath, Vishwanath V Shindholimath, L Krishna","doi":"10.4103/0974-1216.114174","DOIUrl":null,"url":null,"abstract":"Tubo-ovarian abscess usually results from ascending infection of the lower genital tract. In few cases, it can occur as a result of direct contamination at the time of tubal sterilization. We describe two rare cases of “tubo-ovarian stitch abscess” after post-partum tubal sterilization and managed successfully by laparoscopy at a tertiary care teaching hospital.","PeriodicalId":89586,"journal":{"name":"Journal of gynecological endoscopy and surgery","volume":"2 2","pages":"112-4"},"PeriodicalIF":0.0000,"publicationDate":"2011-07-01","publicationTypes":"Journal Article","fieldsOfStudy":null,"isOpenAccess":false,"openAccessPdf":"https://ftp.ncbi.nlm.nih.gov/pub/pmc/oa_pdf/f2/61/JGES-2-112.PMC4453203.pdf","citationCount":"0","resultStr":"{\"title\":\"Laparoscopic Management of Tubo-Ovarian Stitch Abscess after Tubal Sterilization.\",\"authors\":\"Jyoti S Ghongdemath, Vishwanath V Shindholimath, L Krishna\",\"doi\":\"10.4103/0974-1216.114174\",\"DOIUrl\":null,\"url\":null,\"abstract\":\"Tubo-ovarian abscess usually results from ascending infection of the lower genital tract. In few cases, it can occur as a result of direct contamination at the time of tubal sterilization. We describe two rare cases of “tubo-ovarian stitch abscess” after post-partum tubal sterilization and managed successfully by laparoscopy at a tertiary care teaching hospital.\",\"PeriodicalId\":89586,\"journal\":{\"name\":\"Journal of gynecological endoscopy and surgery\",\"volume\":\"2 2\",\"pages\":\"112-4\"},\"PeriodicalIF\":0.0000,\"publicationDate\":\"2011-07-01\",\"publicationTypes\":\"Journal Article\",\"fieldsOfStudy\":null,\"isOpenAccess\":false,\"openAccessPdf\":\"https://ftp.ncbi.nlm.nih.gov/pub/pmc/oa_pdf/f2/61/JGES-2-112.PMC4453203.pdf\",\"citationCount\":\"0\",\"resultStr\":null,\"platform\":\"Semanticscholar\",\"paperid\":null,\"PeriodicalName\":\"Journal of gynecological endoscopy and surgery\",\"FirstCategoryId\":\"1085\",\"ListUrlMain\":\"https://doi.org/10.4103/0974-1216.114174\",\"RegionNum\":0,\"RegionCategory\":null,\"ArticlePicture\":[],\"TitleCN\":null,\"AbstractTextCN\":null,\"PMCID\":null,\"EPubDate\":\"\",\"PubModel\":\"\",\"JCR\":\"\",\"JCRName\":\"\",\"Score\":null,\"Total\":0}","platform":"Semanticscholar","paperid":null,"PeriodicalName":"Journal of gynecological endoscopy and surgery","FirstCategoryId":"1085","ListUrlMain":"https://doi.org/10.4103/0974-1216.114174","RegionNum":0,"RegionCategory":null,"ArticlePicture":[],"TitleCN":null,"AbstractTextCN":null,"PMCID":null,"EPubDate":"","PubModel":"","JCR":"","JCRName":"","Score":null,"Total":0}
引用次数: 0

摘要

输卵管卵巢脓肿通常由下生殖道上行感染引起。在少数情况下,它可以发生在输卵管绝育时直接污染的结果。我们描述了两个罕见的“输卵管卵巢针状脓肿”后,产后输卵管绝育和成功地处理腹腔镜在三级护理教学医院。
本文章由计算机程序翻译,如有差异,请以英文原文为准。

Laparoscopic Management of Tubo-Ovarian Stitch Abscess after Tubal Sterilization.

Laparoscopic Management of Tubo-Ovarian Stitch Abscess after Tubal Sterilization.

Laparoscopic Management of Tubo-Ovarian Stitch Abscess after Tubal Sterilization.
Tubo-ovarian abscess usually results from ascending infection of the lower genital tract. In few cases, it can occur as a result of direct contamination at the time of tubal sterilization. We describe two rare cases of “tubo-ovarian stitch abscess” after post-partum tubal sterilization and managed successfully by laparoscopy at a tertiary care teaching hospital.
求助全文
通过发布文献求助,成功后即可免费获取论文全文。 去求助
来源期刊
自引率
0.00%
发文量
0
×
引用
GB/T 7714-2015
复制
MLA
复制
APA
复制
导出至
BibTeX EndNote RefMan NoteFirst NoteExpress
×
提示
您的信息不完整,为了账户安全,请先补充。
现在去补充
×
提示
您因"违规操作"
具体请查看互助需知
我知道了
×
提示
确定
请完成安全验证×
copy
已复制链接
快去分享给好友吧!
我知道了
右上角分享
点击右上角分享
0
联系我们:info@booksci.cn Book学术提供免费学术资源搜索服务,方便国内外学者检索中英文文献。致力于提供最便捷和优质的服务体验。 Copyright © 2023 布克学术 All rights reserved.
京ICP备2023020795号-1
ghs 京公网安备 11010802042870号
Book学术文献互助
Book学术文献互助群
群 号:604180095
Book学术官方微信