L4、L5椎体切除巨细胞瘤整体切除及文献复习。

David R Santiago-Dieppa, Lee S Hwang, Ali Bydon, Ziya L Gokaslan, Edward F McCarthy, Timothy F Witham
{"title":"L4、L5椎体切除巨细胞瘤整体切除及文献复习。","authors":"David R Santiago-Dieppa,&nbsp;Lee S Hwang,&nbsp;Ali Bydon,&nbsp;Ziya L Gokaslan,&nbsp;Edward F McCarthy,&nbsp;Timothy F Witham","doi":"10.1055/s-0034-1387804","DOIUrl":null,"url":null,"abstract":"<p><p>Study Design Case report and review of the literature. Objective We present the case of a two-level lumbar spondylectomy at L4 and L5 for en bloc resection of a giant cell tumor (GCT) and lumbopelvic reconstruction. Methods A 58-year-old woman presented with a 7-month history of progressive intractable back and leg pain secondary to a biopsy-proven Enneking stage III GCT of the L4 and L5 vertebrae. The patient underwent a successful L4-L5 spondylectomy and lumbopelvic reconstruction using a combined posterior and anterior approach over two operative stages. Results Postoperative complications included a deep wound infection and a cerebrospinal fluid leak; however, following surgical debridement and long-term antibiotic treatment, the patient was neurologically intact with minimal pain and there was no evidence of tumor recurrence or instrumentation failure at more than 2 years of follow-up. Conclusion Spondylectomy that achieves en bloc resection is a viable and effective treatment option that can be curative for Enneking stage III GCTs involving the lower lumbar spine. The lumbosacral junction represents a challenging anatomic location for spinal reconstruction after spondylectomy with unique technical considerations. </p>","PeriodicalId":89675,"journal":{"name":"Evidence-based spine-care journal","volume":"5 2","pages":"151-7"},"PeriodicalIF":0.0000,"publicationDate":"2014-10-01","publicationTypes":"Journal Article","fieldsOfStudy":null,"isOpenAccess":false,"openAccessPdf":"https://sci-hub-pdf.com/10.1055/s-0034-1387804","citationCount":"13","resultStr":"{\"title\":\"L4 and L5 spondylectomy for en bloc resection of giant cell tumor and review of the literature.\",\"authors\":\"David R Santiago-Dieppa,&nbsp;Lee S Hwang,&nbsp;Ali Bydon,&nbsp;Ziya L Gokaslan,&nbsp;Edward F McCarthy,&nbsp;Timothy F Witham\",\"doi\":\"10.1055/s-0034-1387804\",\"DOIUrl\":null,\"url\":null,\"abstract\":\"<p><p>Study Design Case report and review of the literature. Objective We present the case of a two-level lumbar spondylectomy at L4 and L5 for en bloc resection of a giant cell tumor (GCT) and lumbopelvic reconstruction. Methods A 58-year-old woman presented with a 7-month history of progressive intractable back and leg pain secondary to a biopsy-proven Enneking stage III GCT of the L4 and L5 vertebrae. The patient underwent a successful L4-L5 spondylectomy and lumbopelvic reconstruction using a combined posterior and anterior approach over two operative stages. Results Postoperative complications included a deep wound infection and a cerebrospinal fluid leak; however, following surgical debridement and long-term antibiotic treatment, the patient was neurologically intact with minimal pain and there was no evidence of tumor recurrence or instrumentation failure at more than 2 years of follow-up. Conclusion Spondylectomy that achieves en bloc resection is a viable and effective treatment option that can be curative for Enneking stage III GCTs involving the lower lumbar spine. The lumbosacral junction represents a challenging anatomic location for spinal reconstruction after spondylectomy with unique technical considerations. </p>\",\"PeriodicalId\":89675,\"journal\":{\"name\":\"Evidence-based spine-care journal\",\"volume\":\"5 2\",\"pages\":\"151-7\"},\"PeriodicalIF\":0.0000,\"publicationDate\":\"2014-10-01\",\"publicationTypes\":\"Journal Article\",\"fieldsOfStudy\":null,\"isOpenAccess\":false,\"openAccessPdf\":\"https://sci-hub-pdf.com/10.1055/s-0034-1387804\",\"citationCount\":\"13\",\"resultStr\":null,\"platform\":\"Semanticscholar\",\"paperid\":null,\"PeriodicalName\":\"Evidence-based spine-care journal\",\"FirstCategoryId\":\"1085\",\"ListUrlMain\":\"https://doi.org/10.1055/s-0034-1387804\",\"RegionNum\":0,\"RegionCategory\":null,\"ArticlePicture\":[],\"TitleCN\":null,\"AbstractTextCN\":null,\"PMCID\":null,\"EPubDate\":\"\",\"PubModel\":\"\",\"JCR\":\"\",\"JCRName\":\"\",\"Score\":null,\"Total\":0}","platform":"Semanticscholar","paperid":null,"PeriodicalName":"Evidence-based spine-care journal","FirstCategoryId":"1085","ListUrlMain":"https://doi.org/10.1055/s-0034-1387804","RegionNum":0,"RegionCategory":null,"ArticlePicture":[],"TitleCN":null,"AbstractTextCN":null,"PMCID":null,"EPubDate":"","PubModel":"","JCR":"","JCRName":"","Score":null,"Total":0}
引用次数: 13

摘要

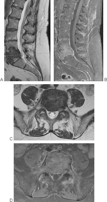
研究设计个案报告及文献回顾。目的:我们在L4和L5行两节段腰椎切除术,以实现巨细胞瘤(GCT)的整体切除和腰骨盆重建。方法一名58岁的女性,有7个月的进行性顽固性背痛和腿部疼痛史,继发于活检证实的L4和L5椎体Enneking III期GCT。患者在两个手术阶段成功接受了L4-L5椎体切除和前后联合入路腰骨盆重建。结果术后并发症包括深部伤口感染和脑脊液漏;然而,在手术清创和长期抗生素治疗后,患者神经功能完好,疼痛最小,随访2年以上无肿瘤复发或器械失效的证据。结论椎体切除术是治疗Enneking III期gct累及下腰椎的一种可行且有效的治疗方法。腰骶交界处是脊柱切除后重建的一个具有挑战性的解剖位置,具有独特的技术考虑。
本文章由计算机程序翻译,如有差异,请以英文原文为准。

L4 and L5 spondylectomy for en bloc resection of giant cell tumor and review of the literature.

L4 and L5 spondylectomy for en bloc resection of giant cell tumor and review of the literature.

L4 and L5 spondylectomy for en bloc resection of giant cell tumor and review of the literature.

L4 and L5 spondylectomy for en bloc resection of giant cell tumor and review of the literature.

Study Design Case report and review of the literature. Objective We present the case of a two-level lumbar spondylectomy at L4 and L5 for en bloc resection of a giant cell tumor (GCT) and lumbopelvic reconstruction. Methods A 58-year-old woman presented with a 7-month history of progressive intractable back and leg pain secondary to a biopsy-proven Enneking stage III GCT of the L4 and L5 vertebrae. The patient underwent a successful L4-L5 spondylectomy and lumbopelvic reconstruction using a combined posterior and anterior approach over two operative stages. Results Postoperative complications included a deep wound infection and a cerebrospinal fluid leak; however, following surgical debridement and long-term antibiotic treatment, the patient was neurologically intact with minimal pain and there was no evidence of tumor recurrence or instrumentation failure at more than 2 years of follow-up. Conclusion Spondylectomy that achieves en bloc resection is a viable and effective treatment option that can be curative for Enneking stage III GCTs involving the lower lumbar spine. The lumbosacral junction represents a challenging anatomic location for spinal reconstruction after spondylectomy with unique technical considerations.

求助全文
通过发布文献求助,成功后即可免费获取论文全文。 去求助
来源期刊
自引率
0.00%
发文量
0
×
引用
GB/T 7714-2015
复制
MLA
复制
APA
复制
导出至
BibTeX EndNote RefMan NoteFirst NoteExpress
×
提示
您的信息不完整,为了账户安全,请先补充。
现在去补充
×
提示
您因"违规操作"
具体请查看互助需知
我知道了
×
提示
确定
请完成安全验证×
copy
已复制链接
快去分享给好友吧!
我知道了
右上角分享
点击右上角分享
0
联系我们:info@booksci.cn Book学术提供免费学术资源搜索服务,方便国内外学者检索中英文文献。致力于提供最便捷和优质的服务体验。 Copyright © 2023 布克学术 All rights reserved.
京ICP备2023020795号-1
ghs 京公网安备 11010802042870号
Book学术文献互助
Book学术文献互助群
群 号:604180095
Book学术官方微信