膜性肾小球肾病伴高松动脉炎1例。

Case reports in nephrology and urology Pub Date : 2014-04-01 eCollection Date: 2014-01-01 DOI:10.1159/000360850
Ryo Koda, Atsunori Yoshino, Yuji Imanishi, Shinya Kawamoto, Yoshihiko Ueda, Junichiro James Kazama, Ichiei Narita, Tetsuro Takeda
{"title":"膜性肾小球肾病伴高松动脉炎1例。","authors":"Ryo Koda,&nbsp;Atsunori Yoshino,&nbsp;Yuji Imanishi,&nbsp;Shinya Kawamoto,&nbsp;Yoshihiko Ueda,&nbsp;Junichiro James Kazama,&nbsp;Ichiei Narita,&nbsp;Tetsuro Takeda","doi":"10.1159/000360850","DOIUrl":null,"url":null,"abstract":"<p><p>Glomerulonephropathy is a rare complication of Takayasu's arteritis (TA). To date, most glomerulonephropathies associated with TA show the histological feature of mesangial proliferation. Membranous glomerulonephropathy (MG) is a form of glomerulonephropathy in which the mesangial proliferation is not conspicuous and its association with TA is extremely rare. A 54-year-old man was referred to our hospital due to progressive edema in the lower limbs and nephrotic range proteinuria. Five years previously, he underwent percutaneous angioplasty for left subclavian artery stenosis. Kidney biopsy revealed stage II MG. General examination including enhanced CT scan confirmed the presence of TA. He started oral prednisolone therapy at a dose of 40 mg daily. The C-reactive protein level normalized 7 days after the prednisolone therapy. Three months later, proteinuria had remitted. Though the true relationship between MG and TA was not revealed in present case, considering the fact that complete remission of nephrotic syndrome occurred following the improvement of C-reactive protein level in response to steroid therapy, TA might be the secondary cause of MG. To our best knowledge, only two case reports described the association of MG and TA previously. Those two patients, however, also demonstrated the feature of systemic lupus erythematosus in addition to TA. This is the first case report that describes a patient who presented as MG associated with TA, but not complicated by systemic lupus erythematosus. </p>","PeriodicalId":89663,"journal":{"name":"Case reports in nephrology and urology","volume":"4 1","pages":"60-9"},"PeriodicalIF":0.0000,"publicationDate":"2014-04-01","publicationTypes":"Journal Article","fieldsOfStudy":null,"isOpenAccess":false,"openAccessPdf":"https://sci-hub-pdf.com/10.1159/000360850","citationCount":"6","resultStr":"{\"title\":\"A Case of Membranous Glomerulonephropathy Associated with Takayasu's Arteritis.\",\"authors\":\"Ryo Koda,&nbsp;Atsunori Yoshino,&nbsp;Yuji Imanishi,&nbsp;Shinya Kawamoto,&nbsp;Yoshihiko Ueda,&nbsp;Junichiro James Kazama,&nbsp;Ichiei Narita,&nbsp;Tetsuro Takeda\",\"doi\":\"10.1159/000360850\",\"DOIUrl\":null,\"url\":null,\"abstract\":\"<p><p>Glomerulonephropathy is a rare complication of Takayasu's arteritis (TA). To date, most glomerulonephropathies associated with TA show the histological feature of mesangial proliferation. Membranous glomerulonephropathy (MG) is a form of glomerulonephropathy in which the mesangial proliferation is not conspicuous and its association with TA is extremely rare. A 54-year-old man was referred to our hospital due to progressive edema in the lower limbs and nephrotic range proteinuria. Five years previously, he underwent percutaneous angioplasty for left subclavian artery stenosis. Kidney biopsy revealed stage II MG. General examination including enhanced CT scan confirmed the presence of TA. He started oral prednisolone therapy at a dose of 40 mg daily. The C-reactive protein level normalized 7 days after the prednisolone therapy. Three months later, proteinuria had remitted. Though the true relationship between MG and TA was not revealed in present case, considering the fact that complete remission of nephrotic syndrome occurred following the improvement of C-reactive protein level in response to steroid therapy, TA might be the secondary cause of MG. To our best knowledge, only two case reports described the association of MG and TA previously. Those two patients, however, also demonstrated the feature of systemic lupus erythematosus in addition to TA. This is the first case report that describes a patient who presented as MG associated with TA, but not complicated by systemic lupus erythematosus. </p>\",\"PeriodicalId\":89663,\"journal\":{\"name\":\"Case reports in nephrology and urology\",\"volume\":\"4 1\",\"pages\":\"60-9\"},\"PeriodicalIF\":0.0000,\"publicationDate\":\"2014-04-01\",\"publicationTypes\":\"Journal Article\",\"fieldsOfStudy\":null,\"isOpenAccess\":false,\"openAccessPdf\":\"https://sci-hub-pdf.com/10.1159/000360850\",\"citationCount\":\"6\",\"resultStr\":null,\"platform\":\"Semanticscholar\",\"paperid\":null,\"PeriodicalName\":\"Case reports in nephrology and urology\",\"FirstCategoryId\":\"1085\",\"ListUrlMain\":\"https://doi.org/10.1159/000360850\",\"RegionNum\":0,\"RegionCategory\":null,\"ArticlePicture\":[],\"TitleCN\":null,\"AbstractTextCN\":null,\"PMCID\":null,\"EPubDate\":\"2014/1/1 0:00:00\",\"PubModel\":\"eCollection\",\"JCR\":\"\",\"JCRName\":\"\",\"Score\":null,\"Total\":0}","platform":"Semanticscholar","paperid":null,"PeriodicalName":"Case reports in nephrology and urology","FirstCategoryId":"1085","ListUrlMain":"https://doi.org/10.1159/000360850","RegionNum":0,"RegionCategory":null,"ArticlePicture":[],"TitleCN":null,"AbstractTextCN":null,"PMCID":null,"EPubDate":"2014/1/1 0:00:00","PubModel":"eCollection","JCR":"","JCRName":"","Score":null,"Total":0}
引用次数: 6

摘要

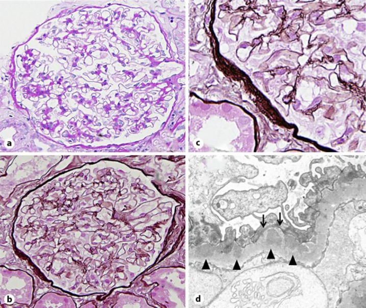
摘要肾小球肾病是高松动脉炎(TA)的罕见并发症。迄今为止,大多数与TA相关的肾小球肾病表现为系膜增生的组织学特征。膜性肾小球肾病(MG)是肾小球肾病的一种形式,其中系膜增生不明显,与TA的关联极为罕见。一名54岁男性患者因进行性下肢水肿及肾病性蛋白尿而转诊至我院。五年前,他接受了经皮血管成形术治疗左锁骨下动脉狭窄。肾活检显示II期MG。一般检查包括增强CT扫描证实TA的存在。他开始口服强的松龙治疗,剂量为每天40毫克。强的松龙治疗7天后c反应蛋白水平恢复正常。三个月后,蛋白尿缓解。虽然本病例没有揭示MG和TA之间的真正关系,但考虑到类固醇治疗后c反应蛋白水平改善后肾病综合征完全缓解,TA可能是MG的继发原因。据我们所知,以前只有两个病例报告描述了MG和TA的关联。然而,这两名患者除了TA外,还表现出系统性红斑狼疮的特征。这是第一个病例报告,描述了一个病人谁表现为MG合并TA,但没有并发系统性红斑狼疮。
本文章由计算机程序翻译,如有差异,请以英文原文为准。

A Case of Membranous Glomerulonephropathy Associated with Takayasu's Arteritis.

A Case of Membranous Glomerulonephropathy Associated with Takayasu's Arteritis.

A Case of Membranous Glomerulonephropathy Associated with Takayasu's Arteritis.

A Case of Membranous Glomerulonephropathy Associated with Takayasu's Arteritis.

Glomerulonephropathy is a rare complication of Takayasu's arteritis (TA). To date, most glomerulonephropathies associated with TA show the histological feature of mesangial proliferation. Membranous glomerulonephropathy (MG) is a form of glomerulonephropathy in which the mesangial proliferation is not conspicuous and its association with TA is extremely rare. A 54-year-old man was referred to our hospital due to progressive edema in the lower limbs and nephrotic range proteinuria. Five years previously, he underwent percutaneous angioplasty for left subclavian artery stenosis. Kidney biopsy revealed stage II MG. General examination including enhanced CT scan confirmed the presence of TA. He started oral prednisolone therapy at a dose of 40 mg daily. The C-reactive protein level normalized 7 days after the prednisolone therapy. Three months later, proteinuria had remitted. Though the true relationship between MG and TA was not revealed in present case, considering the fact that complete remission of nephrotic syndrome occurred following the improvement of C-reactive protein level in response to steroid therapy, TA might be the secondary cause of MG. To our best knowledge, only two case reports described the association of MG and TA previously. Those two patients, however, also demonstrated the feature of systemic lupus erythematosus in addition to TA. This is the first case report that describes a patient who presented as MG associated with TA, but not complicated by systemic lupus erythematosus.

求助全文
通过发布文献求助,成功后即可免费获取论文全文。 去求助
来源期刊
自引率
0.00%
发文量
0
×
引用
GB/T 7714-2015
复制
MLA
复制
APA
复制
导出至
BibTeX EndNote RefMan NoteFirst NoteExpress
×
提示
您的信息不完整,为了账户安全,请先补充。
现在去补充
×
提示
您因"违规操作"
具体请查看互助需知
我知道了
×
提示
确定
请完成安全验证×
copy
已复制链接
快去分享给好友吧!
我知道了
右上角分享
点击右上角分享
0
联系我们:info@booksci.cn Book学术提供免费学术资源搜索服务,方便国内外学者检索中英文文献。致力于提供最便捷和优质的服务体验。 Copyright © 2023 布克学术 All rights reserved.
京ICP备2023020795号-1
ghs 京公网安备 11010802042870号
Book学术文献互助
Book学术文献互助群
群 号:604180095
Book学术官方微信