奥卡姆悖论?导丝辅助椎弓根螺钉置入的tapia综合征变异及未报道的并发症。

Osa Emohare, Erik Peterson, Nathaniel Slinkard, Seth Janus, Robert Morgan
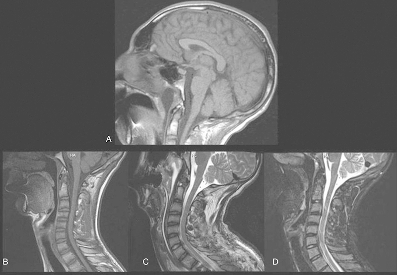
{"title":"奥卡姆悖论?导丝辅助椎弓根螺钉置入的tapia综合征变异及未报道的并发症。","authors":"Osa Emohare,&nbsp;Erik Peterson,&nbsp;Nathaniel Slinkard,&nbsp;Seth Janus,&nbsp;Robert Morgan","doi":"10.1055/s-0033-1357355","DOIUrl":null,"url":null,"abstract":"<p><p>Study Design Case report. Clinical Question The clinical aim is to report on a previously unknown association between guidewire-assisted pedicle screw insertion and neuropraxia of the recurrent laryngeal nerve (RLN), and how this may overlap with the signs of Tapia syndrome; we also report our approach to the clinical management of this patient. Methods A 17-year-old male patient with idiopathic scoliosis experienced Tapia syndrome after posterior instrumentation and arthrodesis at the level of T1-L1. After extubation, the patient had a hoarse voice and difficulty in swallowing. Imaging showed a breach in the cortex of the anterior body of T1 corresponding to the RLN on the right. Results Otolaryngological examination noted right vocal fold immobility, decreased sensation of the endolarynx, and pooling of secretions on flexible laryngoscopy that indicated right-sided cranial nerve X injury and left-sided tongue deviation. Aspiration during a modified barium swallow prompted insertion of a percutaneous endoscopic gastrostomy tube before the patient was sent home. On postoperative day 20, a barium swallow demonstrated reduced aspiration, and the patient reported complete resolution of symptoms. The feeding tube was removed, and the patient resumed a normal diet 1 month later. Tapia syndrome, or persistent unilateral laryngeal and hypoglossal paralysis, is an uncommon neuropraxia, which has previously not been observed in association with a breached vertebral body at T1 along the course of the RLN. Conclusion Tapia syndrome should be a differential diagnostic consideration whenever these symptoms persist postoperatively and spine surgeons should be aware of this as a potential complication of guidewires in spinal instrumentation. </p>","PeriodicalId":89675,"journal":{"name":"Evidence-based spine-care journal","volume":"4 2","pages":"132-6"},"PeriodicalIF":0.0000,"publicationDate":"2013-10-01","publicationTypes":"Journal Article","fieldsOfStudy":null,"isOpenAccess":false,"openAccessPdf":"https://sci-hub-pdf.com/10.1055/s-0033-1357355","citationCount":"4","resultStr":"{\"title\":\"Occam paradox? A variation of tapia syndrome and an unreported complication of guidewire-assisted pedicle screw insertion.\",\"authors\":\"Osa Emohare,&nbsp;Erik Peterson,&nbsp;Nathaniel Slinkard,&nbsp;Seth Janus,&nbsp;Robert Morgan\",\"doi\":\"10.1055/s-0033-1357355\",\"DOIUrl\":null,\"url\":null,\"abstract\":\"<p><p>Study Design Case report. Clinical Question The clinical aim is to report on a previously unknown association between guidewire-assisted pedicle screw insertion and neuropraxia of the recurrent laryngeal nerve (RLN), and how this may overlap with the signs of Tapia syndrome; we also report our approach to the clinical management of this patient. Methods A 17-year-old male patient with idiopathic scoliosis experienced Tapia syndrome after posterior instrumentation and arthrodesis at the level of T1-L1. After extubation, the patient had a hoarse voice and difficulty in swallowing. Imaging showed a breach in the cortex of the anterior body of T1 corresponding to the RLN on the right. Results Otolaryngological examination noted right vocal fold immobility, decreased sensation of the endolarynx, and pooling of secretions on flexible laryngoscopy that indicated right-sided cranial nerve X injury and left-sided tongue deviation. Aspiration during a modified barium swallow prompted insertion of a percutaneous endoscopic gastrostomy tube before the patient was sent home. On postoperative day 20, a barium swallow demonstrated reduced aspiration, and the patient reported complete resolution of symptoms. The feeding tube was removed, and the patient resumed a normal diet 1 month later. Tapia syndrome, or persistent unilateral laryngeal and hypoglossal paralysis, is an uncommon neuropraxia, which has previously not been observed in association with a breached vertebral body at T1 along the course of the RLN. Conclusion Tapia syndrome should be a differential diagnostic consideration whenever these symptoms persist postoperatively and spine surgeons should be aware of this as a potential complication of guidewires in spinal instrumentation. </p>\",\"PeriodicalId\":89675,\"journal\":{\"name\":\"Evidence-based spine-care journal\",\"volume\":\"4 2\",\"pages\":\"132-6\"},\"PeriodicalIF\":0.0000,\"publicationDate\":\"2013-10-01\",\"publicationTypes\":\"Journal Article\",\"fieldsOfStudy\":null,\"isOpenAccess\":false,\"openAccessPdf\":\"https://sci-hub-pdf.com/10.1055/s-0033-1357355\",\"citationCount\":\"4\",\"resultStr\":null,\"platform\":\"Semanticscholar\",\"paperid\":null,\"PeriodicalName\":\"Evidence-based spine-care journal\",\"FirstCategoryId\":\"1085\",\"ListUrlMain\":\"https://doi.org/10.1055/s-0033-1357355\",\"RegionNum\":0,\"RegionCategory\":null,\"ArticlePicture\":[],\"TitleCN\":null,\"AbstractTextCN\":null,\"PMCID\":null,\"EPubDate\":\"\",\"PubModel\":\"\",\"JCR\":\"\",\"JCRName\":\"\",\"Score\":null,\"Total\":0}","platform":"Semanticscholar","paperid":null,"PeriodicalName":"Evidence-based spine-care journal","FirstCategoryId":"1085","ListUrlMain":"https://doi.org/10.1055/s-0033-1357355","RegionNum":0,"RegionCategory":null,"ArticlePicture":[],"TitleCN":null,"AbstractTextCN":null,"PMCID":null,"EPubDate":"","PubModel":"","JCR":"","JCRName":"","Score":null,"Total":0}
引用次数: 4

摘要

研究设计案例报告。临床目的是报道导丝辅助椎弓根螺钉置入与喉返神经(RLN)神经失用症之间先前未知的关联,以及这种关联如何与Tapia综合征的症状重叠;我们还报告了我们对该患者的临床管理方法。方法1例17岁男性特发性脊柱侧凸患者经后路内固定及T1-L1关节融合术后出现Tapia综合征。拔管后,患者声音沙哑,吞咽困难。影像学显示T1前体皮层与右侧RLN相对应的裂口。结果耳鼻喉科检查发现右声带不动,喉内感觉减弱,软喉镜下分泌物淤积提示右侧颅神经X损伤,左侧舌偏。在病人被送回家之前,在改良的钡吞咽过程中误吸促使插入经皮内窥镜胃造口管。术后第20天,钡剂吞咽显示误吸减少,患者报告症状完全缓解。取下饲管,1个月后恢复正常饮食。Tapia综合征,或持续性单侧喉部和舌下麻痹,是一种罕见的神经失用症,以前未观察到其与T1沿RLN路径的椎体破裂有关。结论Tapia综合征在术后症状持续时应作为鉴别诊断的考虑因素,脊柱外科医生应意识到这是脊柱内固定导丝的潜在并发症。
本文章由计算机程序翻译,如有差异,请以英文原文为准。

Occam paradox? A variation of tapia syndrome and an unreported complication of guidewire-assisted pedicle screw insertion.

Occam paradox? A variation of tapia syndrome and an unreported complication of guidewire-assisted pedicle screw insertion.

Occam paradox? A variation of tapia syndrome and an unreported complication of guidewire-assisted pedicle screw insertion.

Occam paradox? A variation of tapia syndrome and an unreported complication of guidewire-assisted pedicle screw insertion.

Study Design Case report. Clinical Question The clinical aim is to report on a previously unknown association between guidewire-assisted pedicle screw insertion and neuropraxia of the recurrent laryngeal nerve (RLN), and how this may overlap with the signs of Tapia syndrome; we also report our approach to the clinical management of this patient. Methods A 17-year-old male patient with idiopathic scoliosis experienced Tapia syndrome after posterior instrumentation and arthrodesis at the level of T1-L1. After extubation, the patient had a hoarse voice and difficulty in swallowing. Imaging showed a breach in the cortex of the anterior body of T1 corresponding to the RLN on the right. Results Otolaryngological examination noted right vocal fold immobility, decreased sensation of the endolarynx, and pooling of secretions on flexible laryngoscopy that indicated right-sided cranial nerve X injury and left-sided tongue deviation. Aspiration during a modified barium swallow prompted insertion of a percutaneous endoscopic gastrostomy tube before the patient was sent home. On postoperative day 20, a barium swallow demonstrated reduced aspiration, and the patient reported complete resolution of symptoms. The feeding tube was removed, and the patient resumed a normal diet 1 month later. Tapia syndrome, or persistent unilateral laryngeal and hypoglossal paralysis, is an uncommon neuropraxia, which has previously not been observed in association with a breached vertebral body at T1 along the course of the RLN. Conclusion Tapia syndrome should be a differential diagnostic consideration whenever these symptoms persist postoperatively and spine surgeons should be aware of this as a potential complication of guidewires in spinal instrumentation.

求助全文
通过发布文献求助,成功后即可免费获取论文全文。 去求助
来源期刊
自引率
0.00%
发文量
0
×
引用
GB/T 7714-2015
复制
MLA
复制
APA
复制
导出至
BibTeX EndNote RefMan NoteFirst NoteExpress
×
提示
您的信息不完整,为了账户安全,请先补充。
现在去补充
×
提示
您因"违规操作"
具体请查看互助需知
我知道了
×
提示
确定
请完成安全验证×
copy
已复制链接
快去分享给好友吧!
我知道了
右上角分享
点击右上角分享
0
联系我们:info@booksci.cn Book学术提供免费学术资源搜索服务,方便国内外学者检索中英文文献。致力于提供最便捷和优质的服务体验。 Copyright © 2023 布克学术 All rights reserved.
京ICP备2023020795号-1
ghs 京公网安备 11010802042870号
Book学术文献互助
Book学术文献互助群
群 号:604180095
Book学术官方微信