镰状细胞性贫血并发自发性硬膜外血肿:1例报告及文献复习。

Bankole O Babatola, Yusuf A Salman, Asha M Abiola, Kanu O Okezie, Arigbabu S Oladele
{"title":"镰状细胞性贫血并发自发性硬膜外血肿:1例报告及文献复习。","authors":"Bankole O Babatola,&nbsp;Yusuf A Salman,&nbsp;Asha M Abiola,&nbsp;Kanu O Okezie,&nbsp;Arigbabu S Oladele","doi":"10.4103/2006-8808.110271","DOIUrl":null,"url":null,"abstract":"<p><p>Non traumatic spontaneous epidural Haematoma is a rare and often unmentioned complication of sickle cell disease. It is often associated with skull bone infarction. We report an eighteen year old boy with sickle cell anaemia who developed persistence headache during a vaso-occlusive crisis. Brain computed tomography (CT) revealed a right frontal epidural Haematoma (EDH) compressing on the brain. No other etiologic factor was identified. A right frontal craniotomy and evacuation of the Haematoma was performed and he made good recovery. The possible pathogeneses of this rare condition are discussed.</p>","PeriodicalId":89430,"journal":{"name":"Journal of surgical technique and case report","volume":"4 2","pages":"135-7"},"PeriodicalIF":0.0000,"publicationDate":"2012-07-01","publicationTypes":"Journal Article","fieldsOfStudy":null,"isOpenAccess":false,"openAccessPdf":"https://ftp.ncbi.nlm.nih.gov/pub/pmc/oa_pdf/d0/96/JSTCR-4-135.PMC3673360.pdf","citationCount":"23","resultStr":"{\"title\":\"Spontaneous epidural haematoma in sickle cell anaemia: case report and literature review.\",\"authors\":\"Bankole O Babatola,&nbsp;Yusuf A Salman,&nbsp;Asha M Abiola,&nbsp;Kanu O Okezie,&nbsp;Arigbabu S Oladele\",\"doi\":\"10.4103/2006-8808.110271\",\"DOIUrl\":null,\"url\":null,\"abstract\":\"<p><p>Non traumatic spontaneous epidural Haematoma is a rare and often unmentioned complication of sickle cell disease. It is often associated with skull bone infarction. We report an eighteen year old boy with sickle cell anaemia who developed persistence headache during a vaso-occlusive crisis. Brain computed tomography (CT) revealed a right frontal epidural Haematoma (EDH) compressing on the brain. No other etiologic factor was identified. A right frontal craniotomy and evacuation of the Haematoma was performed and he made good recovery. The possible pathogeneses of this rare condition are discussed.</p>\",\"PeriodicalId\":89430,\"journal\":{\"name\":\"Journal of surgical technique and case report\",\"volume\":\"4 2\",\"pages\":\"135-7\"},\"PeriodicalIF\":0.0000,\"publicationDate\":\"2012-07-01\",\"publicationTypes\":\"Journal Article\",\"fieldsOfStudy\":null,\"isOpenAccess\":false,\"openAccessPdf\":\"https://ftp.ncbi.nlm.nih.gov/pub/pmc/oa_pdf/d0/96/JSTCR-4-135.PMC3673360.pdf\",\"citationCount\":\"23\",\"resultStr\":null,\"platform\":\"Semanticscholar\",\"paperid\":null,\"PeriodicalName\":\"Journal of surgical technique and case report\",\"FirstCategoryId\":\"1085\",\"ListUrlMain\":\"https://doi.org/10.4103/2006-8808.110271\",\"RegionNum\":0,\"RegionCategory\":null,\"ArticlePicture\":[],\"TitleCN\":null,\"AbstractTextCN\":null,\"PMCID\":null,\"EPubDate\":\"\",\"PubModel\":\"\",\"JCR\":\"\",\"JCRName\":\"\",\"Score\":null,\"Total\":0}","platform":"Semanticscholar","paperid":null,"PeriodicalName":"Journal of surgical technique and case report","FirstCategoryId":"1085","ListUrlMain":"https://doi.org/10.4103/2006-8808.110271","RegionNum":0,"RegionCategory":null,"ArticlePicture":[],"TitleCN":null,"AbstractTextCN":null,"PMCID":null,"EPubDate":"","PubModel":"","JCR":"","JCRName":"","Score":null,"Total":0}
引用次数: 23

摘要

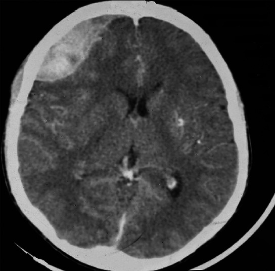
非外伤性自发性硬膜外血肿是镰状细胞病中一种罕见且常未被提及的并发症。它常与颅骨梗死有关。我们报告一位十八岁的镰状细胞性贫血的男孩,他在血管闭塞危机期间出现了持续性头痛。脑部电脑断层扫描(CT)显示右侧额叶硬膜外血肿(EDH)压迫脑部。未发现其他病因。右额叶开颅并清除血肿,患者恢复良好。本文还讨论了这种罕见疾病的可能病因。
本文章由计算机程序翻译,如有差异,请以英文原文为准。

Spontaneous epidural haematoma in sickle cell anaemia: case report and literature review.

Spontaneous epidural haematoma in sickle cell anaemia: case report and literature review.

Spontaneous epidural haematoma in sickle cell anaemia: case report and literature review.

Non traumatic spontaneous epidural Haematoma is a rare and often unmentioned complication of sickle cell disease. It is often associated with skull bone infarction. We report an eighteen year old boy with sickle cell anaemia who developed persistence headache during a vaso-occlusive crisis. Brain computed tomography (CT) revealed a right frontal epidural Haematoma (EDH) compressing on the brain. No other etiologic factor was identified. A right frontal craniotomy and evacuation of the Haematoma was performed and he made good recovery. The possible pathogeneses of this rare condition are discussed.

求助全文
通过发布文献求助,成功后即可免费获取论文全文。 去求助
来源期刊
自引率
0.00%
发文量
0
×
引用
GB/T 7714-2015
复制
MLA
复制
APA
复制
导出至
BibTeX EndNote RefMan NoteFirst NoteExpress
×
提示
您的信息不完整,为了账户安全,请先补充。
现在去补充
×
提示
您因"违规操作"
具体请查看互助需知
我知道了
×
提示
确定
请完成安全验证×
copy
已复制链接
快去分享给好友吧!
我知道了
右上角分享
点击右上角分享
0
联系我们:info@booksci.cn Book学术提供免费学术资源搜索服务,方便国内外学者检索中英文文献。致力于提供最便捷和优质的服务体验。 Copyright © 2023 布克学术 All rights reserved.
京ICP备2023020795号-1
ghs 京公网安备 11010802042870号
Book学术文献互助
Book学术文献互助群
群 号:604180095
Book学术官方微信